316Situations de départ
Symptômes et signes cliniques
27 Chute de la personne âgée.
30 Dénutrition/malnutrition.
31 Perte d’autonomie progressive.
43 Découverte d’une hypotension artérielle.
66 Apparition d’une difficulté à la marche.
67 Douleurs articulaires.
68 Boiterie.
69 Claudication intermittente d’un membre.
126 Mouvements anormaux.
128 Tremblements.
129 Troubles de l’attention.
130 Troubles de l’équilibre.
Paraclinique
226 Découverte d’une anomalie du cerveau à l’examen d’imagerie médicale.
227 Découverte d’une anomalie médullaire ou vertébrale à l’examen d’imagerie médicale.
Prise en charge
247 Prescription d’une rééducation.
Objectifs pédagogiques
Item 109 – Troubles de la marche et de l’équilibre
Devant un trouble de la marche ou de l’équilibre, argumenter les hypothèses diagnostiques et justifier les examens complémentaires pertinents.
Connaître le syndrome post-chute.
317Item 131 – Troubles de la marche et de l’équilibre chez le sujet âgé
Particularités chez le sujet âgé.
Argumenter le caractère de gravité des chutes et décrire la prise en charge. Les étudiants pourront aussi se reporter à l’item 130 du référentiel de gériatrie.
Hiérarchisation des connaissances
Item 109 – Troubles de la marche et de l’équilibre
| Rang | Rubrique | Intitulé | Descriptif |
|---|---|---|---|
| Diagnostic positif | Connaître les éléments de l’interrogatoire devant un trouble de la marche | ||
| Diagnostic positif | Connaître les modalités de l’examen d’un patient présentant un trouble de la marche | ||
| Diagnostic positif | Connaître les échelles d’analyse de l’équilibre et de la marche (examen clinique, démarche diagnostique) | ||
| Diagnostic positif | Connaître les caractéristiques cliniques des principales étiologies des troubles de la marche | ||
| Diagnostic positif | Connaître les modalités du diagnostic d’une boiterie (examen clinique, démarche diagnostique) | ||
| Définition | Connaître la définition de l’astasie-abasie | ||
| Étiologies | Connaître les étiologies de l’astasie-abasie | ||
| Étiologies | Connaître l’étiologie des démarches dandinantes | ||
| Étiologies | Connaître le syndrome post-chute | ||
| Étiologies | Savoir évoquer une étiologie somato-fonctionnelle devant un trouble de la marche et/ou de l’équilibre | ||
| Contenu multimédia | Reconnaître les principaux troubles de la marche devant un cas vidéo | ||
| Examens complémentaires | Connaître l’indication et l’intérêt des examens d’imagerie devant un trouble de la marche ou de l’équilibre | ||
| Examens complémentaires | Citer les principaux examens complémentaires hors imagerie devant un trouble de la marche ou de l’équilibre |

Item 131 – Troubles de la marche et de l’équilibre chez le sujet âgé
| Rang | Rubrique | Intitulé | Descriptif |
|---|---|---|---|
| Physiopathologie | Connaître le système antigravitaire, l’adaptation posturale, le système vestibulaire et la proprioception | ||
| Physiopathologie | Connaître la modification de la marche et de la posture induite par le vieillissement | ||
| Examens complémentaires | Connaître les tests de marche et de posture | ||
| Diagnostic positif | Connaître les troubles de la marche (voir aussi item 109) | ||
| Définition | Connaître la définition d’une chute et d’une chute à répétition (HAS) | ||
| Diagnostic positif | Connaître les principaux troubles de la marche et de l’équilibre chez le sujet âgé | ||
| Épidémiologie | Connaître les fréquences et complications des chutes dans la population âgée | ||
| Examens complémentaires | Connaître l’objectif des examens d’imagerie devant un trouble de la marche ou de l’équilibre du sujet âgé | ||
| Examens complémentaires | Connaître le bilan de gravité | ||
| Diagnostic positif | Définir et décrire le syndrome post-chute | ||
| Suivi/pronostic | Décrire les conséquences médicales et psychosociales des chutes chez le sujet âgé | ||
| Identifier une urgence | Connaître les conséquences médicales urgentes d’une chute | ||
| Définition | Connaître la définition d’une hypotension orthostatique (HTO) | ||
| Physiopathologie | Connaître les facteurs favorisant l’HTO avec l’âge | ||
| Étiologie | Connaître les causes d’HTO | ||
| Prise en charge | Connaître la prise en charge de l’HTO | ||
| Examens complémentaires | Connaître l’indication des examens d’imagerie devant un trouble de la marche ou de l’équilibre du sujet âgé | ||
| Examens complémentaires | Savoir énoncer les autres examens complémentaires chez un patient âgé venant de faire une chute | ||
| Prise en charge | Savoir proposer une attitude thérapeutique au décours d’une chute (HAS) et les mesures de prévention de récidive | ||
| Prise en charge | Connaître les modalités de kinésithérapie type pour un sujet âgé chuteur |

Item 109 – Troubles de la marche et de l’équilibre
- I 318Pour comprendre
- II Examen clinique d’un trouble de la marche et de l’équilibre
- III Principaux troubles de la marche
Les troubles de la marche et de l’équilibre sont une plainte fréquente en neurologie. Celle-ci peut même exister en dehors de toute maladie identifiable, en particulier dans le cadre du vieillissement physiologique (marche à petits pas, chutes), à l’origine d’un véritable problème de santé publique.
L’examen clinique est capital pour typer ces troubles et conduire une démarche diagnostique.
319La classification des troubles de la marche est complexe; nous en proposons une simplifiée (tableau 19.1), adaptée à la pratique clinique.
Classification des troubles de la marche et de l’équilibre.
| Douleur | |||
| Ataxie | Cérébelleuse | ||
| Vestibulaire | |||
| Proprioceptive | |||
| Troubles moteurs | Déficit moteur | Central | |
| Périphérique | |||
| Mouvements anormaux | Dystonie | ||
| Chorée | |||
| Tremblements | Essentiel | ||
| Orthostatique | |||
| Troubles hypokinétiques (marche | Syndromes parkinsoniens | ||
| à petits pas) | Hydrocéphalie chronique de l’adulte | ||
| États lacunaires | |||
| Marche précautionneuse et phobie de la marche | |||
| Troubles psychogènes | |||

Sont exclus le domaine des troubles de l’acquisition de la marche, ainsi que les troubles apparaissant dans l’enfance.
I Pour comprendre
- •
La marche, production motrice très automatisée, échappe largement au contrôle conscient. Elle est constituée d’une activité alternée des membres inférieurs, succession de doubles appuis et d’appuis unilatéraux. Sur une activité rythmique et cyclique de fond viennent se greffer les modulations nécessaires à l’adaptation à l’environnement, aux caractéristiques de la personne et à sa volonté. - • À un niveau supérieur, la locomotion est déclenchée chez tous les vertébrés, des plus primitifs aux plus évolués, par une commande descendante provenant des « régions locomotrices » localisées dans le tronc cérébral. Les ganglions de la base interviennent au premier chef dans le contrôle de la locomotion (les troubles de la marche sont constants dans les syndromes parkinsoniens).
- • Les afférences sensorielles intervenant dans le contrôle de la marche sont plurimodales : sensibilité proprioceptive et cutanée, entrées vestibulaires et visuelles. Elles exercent une action modulatrice sur l’activité spinale afin d’adapter au mieux la locomotion aux conditions rencontrées. Le cervelet joue également un rôle de contrôle permanent de l’exécution de la commande motrice et de l’adaptation aux contraintes extérieures.
II 320Examen clinique d’un trouble de la marche et de l’équilibre
A Interrogatoire
Comme dans toute démarche clinique, il s’agit d’un temps essentiel. Les principaux points à faire préciser sont :
- • la date de début des troubles, leur mode d’installation, le type de la plainte principale : douleur et sa relation avec l’effort, faiblesse, instabilité (à bien différencier d’un vertige), petits pas, raideur. Le regard d’un tiers est parfois nécessaire, certains troubles étant mieux perçus par l’entourage que par le patient (ralentissement, perte du ballant d’un bras);
- • la sévérité du trouble doit être évaluée dans la vie quotidienne : chutes ou « presque chutes », leurs conséquences en termes de morbidité (traumatismes, fractures, hospitalisations) ou en termes d’autonomie (sorties non accompagnées du domicile avec ou sans prise de transports en commun, sorties accompagnées, absence de sorties du domicile);
- • la capacité des sujets à monter (force) ou descendre un escalier (équilibre), leur autonomie pour les activités (ménage, cuisine) et les gestes de la vie quotidienne (habillage et toilette en particulier), l’utilisation d’une canne, d’un fauteuil roulant ou d’un déambulateur;
- • la liste complète des médicaments pris, qui doit être également connue (premier facteur de risque de chutes du sujet âgé).
B Examen clinique
L’examen en lui-même comporte l’examen neurologique général, l’examen spécifique de l’équilibre, de la posture et de la marche. Cet examen se fait, le malade ayant les pieds nus, dans un espace suffisant et bien éclairé.
1 Posture dans sa composante d’équilibre
Deux manœuvres sont à réaliser.
a Épreuve de Romberg (vidéo 19.1
)
Le patient est debout les talons joints et les pieds légèrement écartés à 45°. Les bras peuvent être ballants ou tendus à la recherche d’une déviation latéralisée. L’examen se fait yeux ouverts puis fermés afin d’évaluer la contribution visuelle, toujours plus importante en cas de déficit d’une autre entrée sensorielle en particulier proprioceptive.
Le signe de Romberg est l’aggravation à la fermeture des yeux et signe l’origine sensorielle de l’ataxie.
b Réflexes posturaux
On teste les capacités du sujet à maintenir l’équilibre après une rétropulsion brusque de l’examinateur placé derrière le patient prévenu de la poussée pour évaluer les réflexes d’anticipation.
2 321Posture dans sa composante d’orientation
Un trouble de la position du tronc et/ou de l’axe cervicocéphalique est recherché :
- • soit dans le plan sagittal : flexion (camptocormie) ou extension du tronc, de la nuque (anté-colis, rétrocolis);
- • soit dans le plan frontal : Pisa syndrome, qui est une inclinaison latérale marquée du tronc. Son origine dystonique ou déficitaire doit être évaluée mais parfois sans possibilité de trancher.
3 Marche
- •
Plusieurs temps doivent être examinés : l’initiation, la marche stabilisée et le demi-tour. - • Le demi-tour ou le passage d’une porte ou d’un obstacle peuvent mettre en évidence un freezing (arrêt brutal et involontaire de la marche, paroxystique).
- • La longueur du pas, sa largeur, la vitesse de marche doivent être évaluées de façon subjective ou quantifiée au cours d’une épreuve standardisée (voir le test Get up and go).
- • L’absence de ballant d’un membre supérieur est recherchée.
- • Dans certains cas où l’ataxie est peu importante, l’épreuve de Romberg peut être normale ainsi que la marche standard, et seule la marche funambulesque sera perturbée.
- • En cas d’ataxie, la marche est effectuée les yeux fermés : le déséquilibre est aggravé dans l’ataxie d’origine proprioceptive et vestibulaire, pas dans l’ataxie cérébelleuse.
4 Examen neurologique
Ce temps essentiel est orienté selon le contexte clinique. Il recherche en particulier un déficit moteur, un syndrome pyramidal, parkinsonien ou cérébelleux, des troubles de la sensibilité profonde, des troubles cognitifs.
5 Examen clinique général
Il est indispensable, en particulier pour procéder à une auscultation cardiaque et des gros vaisseaux et à une mesure de la tension artérielle debout/couché, car l’hypotension artérielle orthostatique est fréquente dans de nombreuses affections cardiaques, neurologiques, ou peut être une conséquence d’une prise de médicament.
C Explorations complémentaires
- • Des explorations complémentaires seront demandées selon le contexte clinique : IRM de la moelle spinale ou du cerveau, électromyogramme, examen audiovestibulaire; une analyse quantifiée de la marche, réalisable dans certains centres, permet de définir et de quantifier au mieux les déficits (longueur et durée des cycles, asymétrie du pas).
- • Quelquefois des tests thérapeutiques peuvent être utiles : test de soustraction du LCS dans les suspicions d’hydrocéphalie à pression normale, ou test à la lévodopa devant une marche à petits pas ou une dystonie à la recherche d’une dopa-sensibilité.
III 322Principaux troubles de la marche
Nous aborderons les troubles de la marche et de l’équilibre à partir du déficit fonctionnel principal tel qu’il a pu être défini au terme de l’enquête clinique précédemment décrite. Cela n’implique pas que ce trouble est isolé, mais qu’il est le mécanisme central contre lequel lutter, en particulier sur le plan thérapeutique.
A Douleur
- • La douleur est souvent le mécanisme mis en avant par les malades pour expliquer une gêne à la marche.
- • Le trouble observé relève d’un mécanisme d’évitement de la douleur (boiterie : perturbation de la marche responsable d’une asymétrie du pas) ou d’une véritable limitation (claudication intermittente). Certaines douleurs sont très spécifiques (myalgies d’effort et phénomène de second souffle d’une maladie de McArdle : glycogénose musculaire).
- • L’apparition de sciatiques tronquées et à bascule à la marche évoque une claudication radi-culaire intermittente dans le cadre d’un canal lombaire étroit.
B Ataxie
1 Ataxie cérébelleuse (vidéo 19.2
)
On distingue cliniquement :
- • le syndrome cérébelleux statique, en relation avec une lésion du vermis;
- • le syndrome cérébelleux cinétique, secondaire à une lésion des hémisphères.
L’ataxie est multidirectionnelle à l’épreuve de Romberg, sans anomalie des réflexes posturaux, non majorée à l’occlusion des yeux.
La marche est classiquement ébrieuse, le polygone de sustentation est élargi, la marche funambulesque précocement altérée.
Les principales causes sont l’alcoolisme, la sclérose en plaques, un accident vasculaire cérébral ou une tumeur.
Plus rarement sont à évoquer une ataxie cérébelleuse héréditaire autosomique récessive à début précoce le plus souvent (ataxie de Friedreich, déficit en vitamine E) ou autosomique dominante à début plus tardif après 30 ans (mutations SCA), un syndrome paranéoplasique ou la maladie de Creutzfeldt-Jakob.
2 Ataxie vestibulaire
- •
Généralement de survenue aiguë, le syndrome vestibulaire périphérique est bruyant, se manifestant sous la forme d’un vertige rotatoire accompagné de vomissements et de signes végétatifs. - • Les anomalies de la marche et de l’équilibre sont latéralisées du côté de la saccade lente du nystagmus, vers le côté malade.
- • Cette déviation est beaucoup moins systématique dans les vertiges centraux, où le syndrome vestibulaire est dit dysharmonieux, par opposition avec le syndrome vestibulaire périphérique.
- • Les causes sont nombreuses : virale, vasculaire, tumorale…
3 323Ataxie proprioceptive (vidéo 19.3
)
- • L’atteinte des voies proprioceptives périphériques (fibres sensitives myélinisées de grand diamètre, ganglion spinal) ou centrales (cordons postérieurs de la moelle spinale et relais) provoque un déficit de la sensibilité profonde (vibrations, sens de position et de mouvement) responsable d’une ataxie et parfois d’un tremblement.
- • L’épreuve de Romberg est très perturbée, aggravée nettement à la fermeture des yeux. Les réflexes de posture sont normaux, le polygone est élargi. La marche est talonnante, l’appui au sol est mal contrôlé et le contact parfois violent.
- • La maladie de Biermer, les syndromes paranéoplasiques, le tabès (syphilis tertiaire), les neuropathies inflammatoires (IgM monoclonale, polyradiculonévrites) sont les grandes causes de ce groupe.
C Troubles moteurs déficitaires
1 D’origine centrale
- • Le déficit s’associe le plus souvent à une spasticité après un certain temps d’évolution; il faut faire la part clinique entre ce qui revient à l’hypertonie et ce qui revient à la faiblesse.
- • Les syndromes les plus fréquents sont les séquelles d’accident vasculaire cérébral, essentiellement sous la forme d’une hémiparésie ou d’une hémiplégie à l’origine d’un fauchage, le membre supérieur homolatéral étant fixé en adduction.
- • Les paraparésies avec spasticité (vidéo 19.4) donnent des marches très enraidies qualifiées parfois de marche « en ciseaux ». Elles sont secondaires à des affections de la moelle spinale : sclérose en plaques, myélite, compression tumorale ou mécanique, et paraparésie spastique héréditaire.
- • Une claudication intermittente médullaire plus déficitaire que douloureuse peut se voir; des troubles sensitifs et sphinctériens peuvent être présents dans certaines étiologies, une ataxie proprioceptive pouvant alors s’intriquer au déficit moteur.
2 D’origine périphérique
Il peut s’agir d’une neuropathie périphérique où le déficit touche et prédomine souvent sur les extrémités (steppage) (vidéo 19.5).
Il peut s’agir d’affections musculaires dont la topographie déficitaire est souvent symétrique et à prédominance proximale, donnant une démarche dandinante se combinant parfois à un déficit axial donnant une attitude dite « en roi de comédie » (vidéo 19.6). Des chutes par déro-bement sont possibles.
D Troubles moteurs hyperkinétiques (mouvements anormaux)
1 Dystonie (vidéo 19.7)
- • Il s’agit du type de mouvement anormal donnant le plus de troubles de la marche et, dans un certain nombre de cas, le trouble moteur se révèle par un trouble de la marche isolée. Les dystonies des membres inférieurs peuvent être uni- ou bilatérales.
- • Les aspects cliniques sont très variables selon les formes : pseudo-steppage, pied en varus équin douloureux, marche dite « en héron » avec élévation des genoux, marche pseudo-spastique, « marche de dromadaire » par flexion–extension alternative du tronc. Un test de dopa-sensibilité doit être réalisé.
- • 324Les principales causes sont les dystonies généralisées héréditaires (mutation DYT1), les dys-tonies dopa-sensibles, la maladie de Parkinson surtout à début précoce d’origine génétique (mutations de la parkine), les anoxies néonatales.
2 Chorée
- • Dans la chorée de Huntington, les troubles de la marche et de l’équilibre sont complexes : atteinte sévère des réflexes posturaux, syndrome akinétique, mouvements choréo-dystoniques axiaux et des membres. La marche est souvent perdue au cours de l’évolution et les chutes sont fréquentes, parfois très traumatisantes, d’autant que le patient, autant par anosognosie que par impulsivité, prend peu de précautions.
- • Dans la maladie de Parkinson, les dyskinésies induites par la lévodopa induisent des déséquilibres à la marche, plus rarement des chutes.
3 Tremblements
a Tremblement essentiel
Peu symptomatique, un discret trouble de l’équilibre proche de ce qui est mis en évidence dans les syndromes cérébelleux est identifié.
b Tremblement orthostatique
Il s’agit d’un tremblement de fréquence élevée (14–18 Hz), touchant surtout les membres inférieurs et non perçu par le patient qui se plaint d’une sensation d’instabilité ou de dérobe-ment en position debout immobile, la marche n’étant pas touchée. Il est révélé par un EMG des membres inférieurs qui doit être réalisé en position debout immobile pour révéler l’activité EMG caractéristique.
E Troubles moteurs hypokinétiques (marche à petits pas)
Les principales entités de ce groupe sont :
- • les syndromes parkinsoniens;
- • l’hydrocéphalie chronique de l’adulte;
- • les états lacunaires;
- • la phobie de la chute.
1 Syndromes parkinsoniens
a Maladie de Parkinson
Il s’agit du modèle le plus pur, du moins en début d’évolution, de trouble hypokinétique de la marche. De nombreuses études quantifiées ont permis d’en définir les principales caractéristiques (vidéo 19.8
).
325On différencie deux grandes périodes :
- • la forme de début, où la marche est ralentie par réduction de la longueur d’enjambée : il existe constamment une prédominance sur un hémicorps et une très bonne dopa-sensibilité; le patient arrive à normaliser sa marche avec un effort de volonté; il n’y a pas ou peu de troubles posturaux;
- • dans les formes plus tardives, la longueur de l’enjambée est très réduite, seulement partiellement corrigeable par la volonté; des signes peu sensibles à la lévodopa apparaissent comme le freezing : arrêt brutal et involontaire de la marche, paroxystique, apparaissant au début au démarrage, à la traversée d’un passage étroit ou lors d’un demi-tour, pouvant provoquer des chutes en avant.
Une perte progressive des réflexes posturaux s’associe le plus souvent, entraînant des chutes dans ce cas plutôt vers l’arrière.
b Autres syndromes parkinsoniens
L’atrophie multisystématisée (AMS) dans sa forme parkinsonienne ou dans sa forme cérébelleuse et la paralysie supranucléaire progressive (PSP) comportent des troubles posturaux et locomoteurs plus précoces et plus sévères que la maladie de Parkinson, avec en particulier des chutes en début d’évolution, donnée clinique devant remettre en cause le diagnostic de maladie de Parkinson (« drapeau rouge »).
2 Hydrocéphalie chronique de l’adulte
Il s’agit d’une hydrocéphalie communicante (avec peu d’hypertension intracrânienne) liée à une obstruction des espaces méningés au niveau des citernes de la base. Elle touche le sujet âgé; elle peut être idiopathique ou secondaire à un traumatisme crânien, une hémorragie méningée ou une méningite survenus plusieurs décennies plus tôt.
L’évolution est lentement progressive et se caractérise cliniquement par la triade de Hakim et Adams :
- • troubles de la marche et de l’équilibre : les réflexes posturaux sont très perturbés, la marche est lente, à petits pas, le ballant des bras est conservé. Il existe un élargissement du polygone de sustentation et un freezing dans 20 à 30 % des cas. On peut également noter une aimantation à la marche distincte d’un freezing : le patient avance en faisant glisser ses pieds qui restent collés au sol comme s’il patinait. Ce trouble est considéré parfois comme une apraxie de la marche, c’est-à-dire une incapacité à générer un pas normal, et peut aboutir à une perte complète de la marche, le patient restant debout immobile, incapable d’avancer;
- • troubles sphinctériens (surtout urination);
- • syndrome démentiel de type sous-cortico-frontal.
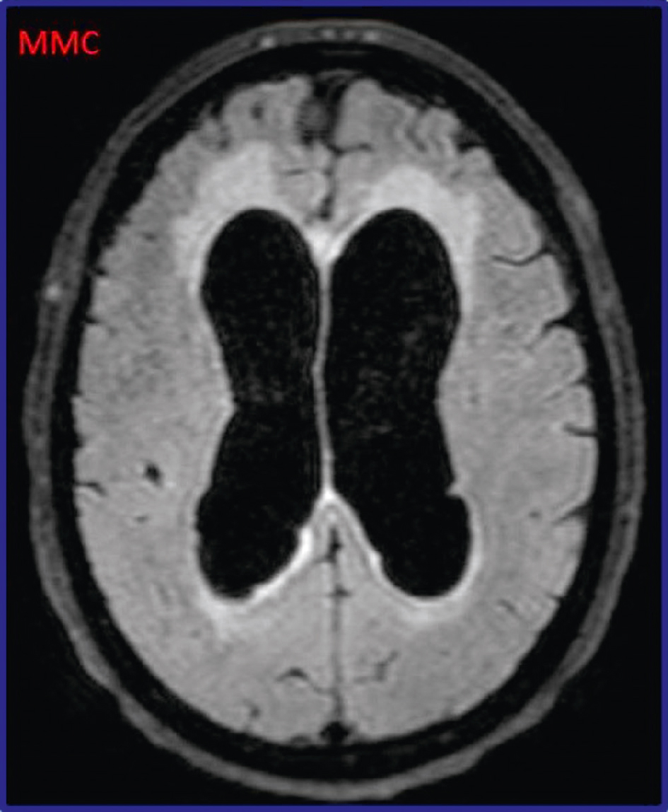
Le diagnostic repose sur l’IRM cérébrale qui montre une dilatation tétraventriculaire avec peu d’atrophie corticale et des plages d’hyposignal T2 autour des ventricules, traduction de la résorption trans-épendymaire du LCS (fig. 19.1).

Hydrocéphalie chronique : IRM cérébrale. Dilatation tétraventriculaire, avec atrophie corticale comparativement modérée.
Cette image en coupes axiales d’IRM cérébrale montre une dilatation marquée et symétrique des ventricules latéraux, sans élargissement cortical périphérique proportionnel, ce qui évoque une hydrocéphalie chronique à pression normale. Le signal est homogène au sein du liquide céphalorachidien intraventriculaire, et les cornes frontales comme occipitales sont nettement arrondies, accentuant la forme en oreilles de Mickey caractéristique. L’élargissement ventriculaire s’effectue aux dépens du parenchyme péri-ventriculaire, sans signes visibles d’œdème actif ou de processus expansif. Cet aspect radiologique est évocateur d’un trouble de la résorption du liquide céphalorachidien, souvent associé à une triade clinique incluant troubles de la marche, troubles cognitifs et incontinence urinaire, typique du tableau de l’hydrocéphalie chronique de l’adulte.
Le traitement consiste en une dérivation ventriculopéritonéale qui entraîne une amélioration inconstante des troubles moteurs et cognitifs. Elle est indiquée après réalisation d’une ponction lombaire soustractive de 40 mL qui doit améliorer d’au moins 30 % les paramètres de marche (vitesse, nombre de pas) dans les 24 heures qui suivent.
3 États lacunaires
- • On regroupe ici des troubles complexes de la marche et de l’équilibre souvent associés à des troubles cognitifs frontaux, pyramidaux, à un syndrome pseudobulbaire.
- • 326Le tableau peut associer une ataxie, des anomalies sévères des réflexes posturaux à l’origine d’une instabilité parfois majeure, une marche hypokinétique accompagnée ou non d’un freezing, une apraxie à la marche.
- • Ce syndrome multilacunaire évolue par poussées, entrecoupées de rémissions partielles.
- • Le terrain est une hypertension artérielle sévère instable.
-
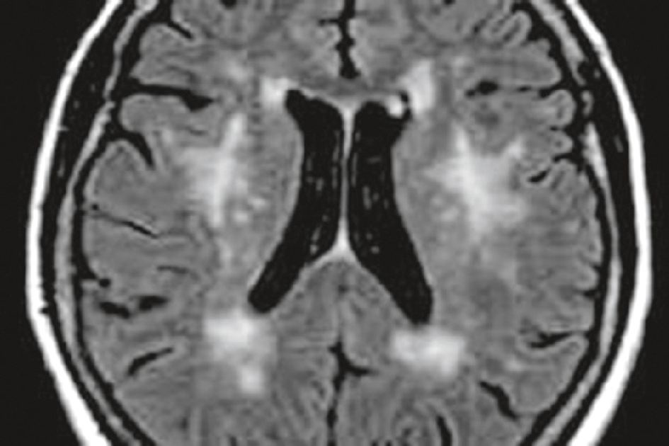
• L’IRM cérébrale montre des images caractéristiques (fig. 19.2).

Fig. 19.2
État lacunaire : IRM cérébrale.
L’IRM cérébrale montre les images caractéristiques sous forme de multiples hypersignaux au sein des noyaux gris centraux.Cette coupe axiale en séquence FLAIR met en évidence de multiples hypersignaux punctiformes bilatéraux au niveau de la substance blanche profonde, en particulier autour des ventricules latéraux et dans les régions fronto-pariétales. Ces lésions correspondent à des séquelles ischémiques de petite taille, appelées lacunes, typiques d’un état lacunaire. L’aspect est symétrique, sans effet de masse ni œdème périlésionnel. Les ventricules sont modérément élargis, ce qui peut traduire une atrophie cérébrale chronique. Ce tableau est caractéristique d’une microangiopathie cérébrale liée à des facteurs vasculaires comme l’hypertension artérielle.
4 327Marche précautionneuse, phobie de la chute, astasie-abasie
a Marche précautionneuse
Il s’agit d’une marche ralentie, prudente, sans déficit majeur, marquée par la recherche d’appuis et le besoin d’une réassurance ou d’une présence. Elle se voit chez les sujets âgés et plus fréquemment chez la femme. L’autonomie est respectée, seules certaines situations particulièrement anxiogènes sont évitées (foule, transports en commun). Ce trouble résulte de la sensation éprouvée par le sujet, justifiée ou non, d’une instabilité.
b Phobie de la chute
Il s’agit de l’étape ultérieure, déclenchée le plus souvent par la survenue de chutes, et d’autant plus marquée que le sujet est resté longtemps au sol.
Le sujet peut être porteur d’une affection neurologique responsable d’une instabilité ou être indemne de toute affection neurologique. Le tableau se présente comme une peur panique de marcher; si le patient est poussé à faire quelques pas, il s’agrippe à l’examinateur ou à des meubles, aux murs, au prix de postures hasardeuses à haut risque de chutes. Toute tentative de lâcher le sujet s’accompagne de réactions anxieuses majeures.
Une rééducation intensive est le seul traitement parfois efficace, alors que les psychotropes ont peu d’effets.
c Astasie-abasie
Elle se définit comme l’instabilité à la station debout avec rétropulsion spontanée (astasie) et l’incapacité de marcher (abasie) en dehors de la présence de tout syndrome pyramidal ou parkinsonien.
Ses principales étiologies sont une lésion frontale, une hydrocéphalie chronique de l’adulte, un état lacunaire, ou elle peut être sans cause apparente en relation avec le stade ultime d’une phobie de la chute (astasie-abasie pure).
F Troubles neurologiques fonctionnels
Les troubles neurologiques fonctionnels sont relativement fréquents et les troubles de la marche peuvent représenter jusqu’à 10 % des patients entrant dans cette catégorie. Ils regroupent un ensemble de manifestations cliniques où des prototypes de marche pathologique sont reproduits parfois de façon caricaturale (marche hémiplégique, marche ataxique, etc.). Une installation brutale, un certain nombre d’incohérences à l’examen clinique et la normalité des examens complémentaires permettent en général le diagnostic.
Item 131 – Troubles de la marche et de l’équilibre chez le sujet âgé
- I Particularités du sujet âgé
- II Objectifs pratiques : conduite à tenir devant une chute chez une personne âgée
I 328Particularités du sujet âgé
Chaque année en France, 20 à 30 % des plus de 65 ans et 50 % des plus de 85 ans sont victimes d’une chute au moins. Le caractère répétitif des chutes est considéré à partir d’au moins deux chutes sur une période de 12 mois.
- • Facteurs de risque de chute : la chute elle-même, âge, sexe féminin, origine caucasienne.
- • Conséquences de la chute : 15 % des chutes sont responsables de traumatismes osseux, notamment de fractures du col fémoral dans un tiers des cas. Les traumatismes sont responsables d’une mortalité à court terme qui augmente avec l’âge.
- • Facteur de gravité : l’incapacité pour la personne âgée de se relever ; une immobilisation au sol de plus de 1 heure est un facteur de gravité avec risque de décès de 50 % dans les 12 mois suivants.
A Facteurs favorisants et causes des chutes chez le sujet âgé
- • Les facteurs intrinsèques sont liés au vieillissement normal, à la prise de médicaments et à des processus pathologiques divers, notamment cardiovasculaires et neurologiques. Les chutes résultent souvent de l’association de plusieurs de ces facteurs, mais la plupart d’entre elles n’ont pas de cause facilement identifiable.
- • Les facteurs extrinsèques sont liés à l’environnement, essentiellement l’habitat. Le cumul de plusieurs causes conduit à franchir le seuil de défaillance provoquant la chute.
- • La notion d’un malaise, voire d’une perte de connaissance brève, au cours d’une chute doit être recherchée très soigneusement à l’interrogatoire.
1 Prise de médicaments
Les médicaments sont un des facteurs de risque des chutes le plus fréquemment retrouvés chez les personnes âgées, agissant par divers mécanismes :
- • effet sédatif : barbituriques, benzodiazépines hypnotiques ou non, anticonvulsivants;
- • syndrome parkinsonien : neuroleptiques, médicaments aux propriétés neuroleptiques (neuroleptiques « cachés »);
- • hypotension orthostatique : antihypertenseurs, dont les bêtabloquants et les diurétiques, L-dopa et agonistes dopaminergiques, antidépresseurs;
- • troubles de conduction et du rythme cardiaque : tous les antiarythmiques, diurétiques hypokaliémiants (torsades de pointes);
Les anticoagulants peuvent aggraver les conséquences de la chute.
2 329Causes cardiovasculaires
- • Troubles de conduction auriculoventriculaire, troubles du rythme cardiaque (tachycardies, bradycardies), infarctus du myocarde et syndromes coronariens.
- • Modifications tensionnelles : l’hypotension orthostatique (HTO) est définie par une réduction de la pression systolique d’au moins 20 mmHg et/ou de la pression dias-tolique d’au moins 10 mmHg après 3 minutes en position debout. Elle peut se manifester chez les personnes âgées au lever après le repas ou après un alitement prolongé ou du fait de prises médicamenteuses, d’anémie, de déshydratation. Les facteurs favorisants et la prise en charge d’une HTO sont développés dans le référentiel de gériatrie.
- • Embolie pulmonaire.
- • Syncopes d’effort du rétrécissement aortique serré.
- • Chute au cours d’une syncope vagale, de cause instrumentale, mictionnelle, surtout la nuit, parfois syncope à glotte fermée (par exemple, ictus laryngé après un effort de toux).
3 Causes neurologiques
La plupart des affections neurologiques entraînent des troubles de la marche et de l’équilibre qui peuvent être responsables de chutes :
- • troubles proprioceptifs (neuropathies périphériques);
- • accidents vasculaires cérébraux et leurs séquelles;
- • pathologies neurodégénératives : syndromes parkinsoniens, syndromes cérébelleux…;
- • hydrocéphalie chronique (anciennement intitulée « à pression normale »);
- • troubles de l’équilibre d’origine vestibulaire : périphérique ou central;
- • crises convulsives;
- • cause neurosensorielle : baisse d’acuité visuelle (rarement isolée, mais facteur précipitant).
4 Causes mécaniques
Chutes au cours d’affection ou séquelle orthopédique ou rhumatologique (notamment l’arthrose et le port de prothèses de hanche et de genou).
5 Autres pathologies
- • Hypoglycémies, surtout iatrogènes.
- • Troubles ioniques : dyskaliémie, hypercalcémie, hypocalcémie, hyponatrémie.
- • Anémie.
6 Facteurs extrinsèques
Ce sont les facteurs liés à l’habitat et à l’environnement :
- • sol glissant, tapis, salle de bains non adaptée;
- • chaise ou fauteuil trop bas;
- • escalier ou logement mal éclairé;
- • animaux domestiques;
- • problèmes vestimentaires et de chaussage;
- • changement d’environnement (hospitalisation, déménagement).
B 330Syndrome post-chute
1 Définition
Il se définit par l’apparition, dans les jours suivant une chute chez une personne âgée, d’une diminution des activités et de l’autonomie physique, alors que l’examen clinique et le bilan radiologique ne décèlent pas de cause neurologique ou mécanique ou de complication traumatique.
Il correspond à une véritable sidération des automatismes de l’équilibre et de la marche.
2 Sémiologie clinique
Le syndrome post-chute associe :
-
• une composante motrice :
- – au fauteuil le patient a une tendance à la rétropulsion avec impossibilité de passage en antépulsion,
- – debout, la marche est talonnante avec élargissement du polygone de sustentation et flexion des genoux;
- • une composante psychologique : elle se traduit par une anxiété majeure; le patient a peur du vide antérieur; au maximum on parle d’astasie-abasie;
- • un syndrome de régression psychomotrice : il peut compliquer le syndrome post-chute avec l’apparition d’une recherche de dépendance (clinophilie, incontinence, aide aux repas);
- • un syndrome dépressif : à rechercher systématiquement.
3 Pronostic
- • Réversible s’il est identifié et pris en charge précocement (+++).
- • En l’absence de prise en charge rapide, spécifique et multidisciplinaire de cette véritable urgence gériatrique, l’évolution se fera vers un état grabataire irréversible.
C 331Conséquences médicales et psychosociales des chutes du sujet âgé
1 Conséquences médicales
Elles sont essentiellement de nature traumatique, avec une mortalité importante. Toutes les études indiquent que le risque fracturaire à la suite d’une chute est très corrélé au déficit de minéralisation osseuse. L’ostéoporose et l’ostéomalacie étant plus fréquentes chez les femmes, le risque de fracture est de ce fait plus élevé chez les femmes que chez les hommes.
Les différentes complications sont les suivantes :
a Fractures
Elles compliquent 5 % des chutes :
- • fracture du col du fémur (20 à 30 % des fractures);
- • autres fractures : avant-bras (dont le poignet avec fracture de Pouteau-Colles), bras (extrémité supérieure de l’humérus), cheville, rachis (tassement vertébral), bassin, côtes, crâne.
b Traumatismes sans fracture
Plaies, érosions cutanées, hématomes multiples, rhabdomyolyse. Ils surviennent dans 10 % des chutes et sont lourds de conséquences sur la restriction d’autonomie.
c Complications liées à l’immobilisation
Escarres, déshydratation, bronchopneumopathie, confusion.
2 Conséquences psychosociales
- • Un sujet âgé qui chute est souvent conduit en urgence en milieu hospitalier pour bilan. L’admission en urgence est source de stress et risque de précipiter le malade vers la perte d’autonomie et le placement en institution.
- • À moyen terme, la perte d’autonomie est observée chez près d’un tiers des malades qui n’ont pas eu de fracture. Elle est l’aboutissement des répercussions psychomotrices de la chute, c’est-à-dire le syndrome post-chute, du fait de la peur de chuter, de la perte de mobilité ou de troubles de la marche.
- • La chute engendre une diminution du champ d’action, de l’espace social, familial, voire corporel. La crainte d’une récidive conduit souvent à « institutionnaliser » le malade.
- • Les conséquences psychologiques peuvent s’installer plus sournoisement chez une personne âgée perdant brutalement confiance en lui, se sentant dévalorisé aux yeux de son entourage, qui, croyant bien faire, réagit parfois par un excès de surprotection, ce qui l’installe encore plus dans la dépendance et la restriction d’activité.
D Facteurs de risque de récidive des chutes chez le sujet âgé
Voir tableau 19.2.
Principales causes de chutes chez le sujet âgé.
| Affections neurologiques | Centrales | Démences Séquelles d’AVC Maladie de Parkinson Myélopathie cervicarthrosique |
| Périphériques | Neuropathies | |
| Affections neuromusculaires | Myopathies | Corticothérapie (iatrogénie), hypothyroïdie |
| Affections ostéoarticulaires | Rachis | Arthrose Malformations rachidiennes (cyphose, camptocormie) |
| Membres | Coxarthrose, gonarthrose, limitation de la dorsiflexion de la cheville | |
| Affections sensorielles | Vision | DMLA, cataracte, rétinopathie diabétique, glaucome |
| Dénutrition | Dénutrition protéino-énergétique, carences vitaminiques | |
| Cardiaque | Diminution de l’adaptation à l’effort | Hypotension, insuffisance cardiaque, BPCO, anémie, rétrécissement aortique |
| latrogénie (dont polymédication) | Médicaments affectant la vigilance | Psychotropes, antalgiques, neuroleptiques, benzodiazépines, morphiniques, antidépresseurs |
| Médicaments à l’origine d’hypotension orthostatique | Diurétiques, dérivés nitrés, antihypertenseurs centraux, neuroleptiques, anticholinergiques | |
| Médicaments provoquant des hypoglycémies | Sulfamides hypoglycémiants |

AVC : accident vasculaire cérébral; BPCO : bronchopneumopathie chronique obstructive; DMLA : dégénérescence maculaire liée à l’âge.
E 332Principales mesures préventives des chutes chez la personne âgée
Chez toute personne âgée, l’instabilité posturale peut être combattue par les mesures suivantes :
1 Hygiène de vie
- • Nutrition équilibrée, voire enrichie.
- • Supplémentation vitamino-calcique en cas d’ostéoporose.
- • Activité physique suffisante et notamment entretien de la force musculaire des membres inférieurs (marche, vélo d’appartement).
- • Activité intellectuelle régulière.
- • Rompre l’isolement pour une personne vivant seule.
2 Douleurs
Traitement des douleurs rhumatismales, opération (prothèse) en cas d’arthrose (hanche ou genou).
3 333Vue et audition
Correction des troubles de la vue (prescription de lunettes adaptées, opération d’une cataracte, détection précoce et traitement d’un glaucome chronique) et de l’audition (appareillage).
4 Troubles de la marche et de l’équilibre
- • Identification et traitement de leur cause lorsque cela est possible.
- • Évaluation de l’intérêt d’une kinésithérapie d’entretien ou d’une rééducation de la marche et de la posture, de l’utilité d’une canne, d’un déambulateur, voire d’un fauteuil roulant.
- • Vérification du port de chaussures confortables assurant une bonne stabilité (semelles épaisses ni trop adhérentes ni trop glissantes et de surface au sol importante, tenue de la cheville).
5 Prescriptions médicamenteuses
Réévaluation régulière des indications des médicaments prescrits, notamment ceux pouvant favoriser les chutes.
6 Habitat
- • Suppression de tous les facteurs de chutes (voir plus haut 6. Facteurs extrinsèques), et installation d’une rampe ou d’une barre d’appui dans les toilettes.
- • Pour les personnes vivant en institution, lorsque le risque de chute devient très élevé et le patient dangereux pour lui-même, mettre en balance le besoin de contention et son effet négatif de réduction d’autonomie.
II Objectifs pratiques : conduite à tenir devant une chute chez une personne âgée
La conduite à tenir comporte plusieurs temps.
A Interrogatoire
L’interrogatoire de la personne âgée est difficile du fait du déni fréquent ou, surtout, des troubles cognitifs, d’où l’importance de l’entourage familial et soignant :
- • recherche des antécédents cardiovasculaires, neurologiques, rhumatologiques et orthopédiques, ophtalmologiques et ORL, et de chutes antérieures;
- • inspection des ordonnances de médicaments en cours de prescription (ceux pouvant induire une hypotension orthostatique, un trouble du rythme cardiaque, une hypoglycémie, une anémie, un trouble de vigilance, un syndrome extrapyramidal iatrogène);
-
• description précise de la chute par le malade et par une personne ayant assisté à la chute :
- – lieu (le plus souvent la chambre ou la salle de bains ou les toilettes),
- – date et heure (jour ou nuit, au lever du lit ou de la chaise, juste après un repas, un effort, une miction),
- – notion de malaise lipothymique, de sueurs, de véritable perte de connaissance, voire de crise d’épilepsie (si l’entourage a assisté à la chute : le malade a-t-il convulsé ? Y a-t-il eu un épisode confusionnel post-critique ? Une perte d’urine ?…),
- – 334s’agit-il au contraire d’une chute sans trouble de conscience transitoire; dans ce cas, rechercher un facteur déclenchant (accrochage sur la moquette, déséquilibre, dérobe-ment des membres inférieurs.);
-
• évaluation rapide de la gravité de la chute :
- – le malade a-t-il pu se relever seul (le risque de traumatisme et de fracture est plus grand dans le cas contraire) ?
- – combien de temps est-il resté à terre (le maintien prolongé à terre expose à la déshydratation, la dénutrition) ?
- – a-t-il présenté des chutes à répétition ?
- – a-t-il des points douloureux (bassin, membres inférieurs, région lombaire pouvant faire craindre un traumatisme avec ou sans fracture) ?
B Examen clinique
1 Examen cardiovasculaire
- • Auscultation cardiaque et cervicale et prise du pouls (recherche d’un souffle, d’une arythmie).
- • Mesure de la pression artérielle en position couchée et debout (recherche d’une hypotension orthostatique).
- • Pouls périphériques.
2 Recherche d’un traumatisme
Conséquences traumatiques d’une chute : fracture (notamment du col du fémur), hématome, plaie, traumatisme crânien.
3 Examen neurologique, étude de la marche et de l’équilibre
Se reporter à la première partie du chapitre : voir plus haut Item 109 – Troubles de la marche et de l’équilibre.
a Examen de la marche
Si possible pieds nus sur une dizaine de mètres, avec étude du lever de la chaise et du demitour, évaluation de l’autonomie (nécessité ou non d’une canne, d’une aide par une tierce personne.).
b Échelles appropriées
-
•
Le Get up and go test est un test simple qui évalue les transferts assis, debout, la marche et les changements de direction du patient :- – le sujet est assis sur un siège avec accoudoirs, placé à 3 mètres d’un plot, il est invité à se lever, marcher jusqu’au plot, en faire le tour et revenir à son siège;
- – sont mesurés : le temps, le nombre de pas et éventuellement des événements paroxystiques (freezing de la marche dans les syndromes parkinsoniens).
-
• Le test des 6 minutes exige un parcours de 30 mètres :
- – on demande au sujet de marcher le plus vite possible pendant 6 minutes, les demi-tours sont matérialisés par des cônes. Le sujet peut s’arrêter s’il le juge nécessaire, mais il doit reprendre sitôt qu’il le peut;
- – 335la distance parcourue est comparée à des valeurs normatives en fonction de l’âge, du sexe, etc.;
- – ce test est un reflet global de la mobilité des patients et permet d’orienter la prescription de rééducation ou d’activité physique adaptée.
c Examen de l’équilibre
Rechercher un élargissement du polygone de sustentation, des oscillations à la station debout les pieds joints, les yeux ouverts puis fermés et, à la station monopodale, une déviation des index.
d Étude des réflexes de posture
Test de la rétropulsion (résistance à la poussée).
e Reste de l’examen neurologique
Amyotrophie des membres inférieurs, aréflexie, troubles trophiques, syndrome extrapyramidal, syndrome cérébelleux.
4 Examen ostéoarticulaire
Rechercher plus particulièrement :
- • une atteinte articulaire de la hanche, des genoux, des chevilles;
- • une claudication douloureuse (canal lombaire étroit);
- • un conflit discoradiculaire;
- • une ostéoporose compliquée de tassements vertébraux;
- • des troubles de la statique vertébrale ou du bassin (camptocormie, scoliose).
C Examens complémentaires
Ils sont demandés selon l’orientation donnée par l’interrogatoire et l’examen clinique. Leur réalisation n’est pas évidente pour une personne âgée qui n’est pas hospitalisée. Faut-il hospitaliser pour des examens qui risquent de ne pas modifier la conduite à tenir vis-à-vis des chutes des personnes âgées très dépendantes ?
Si des examens sont envisagés, certains sont à réaliser systématiquement :
- • ECG;
- • examens biologiques simples : glycémie, ionogramme sanguin, calcémie, NFS, dosage sérique de vitamine D; dosage des créatines phosphokinases (CPK) si l’immobilisation au sol a duré plus d’une heure;
-
• selon l’orientation clinique et le contexte, il est envisageable de les compléter par :
- – imagerie cérébrale (IRM);
- – EEG, ENMG, radiographies du rachis, du bassin, des hanches, voire des genoux, IRM rachidienne.
Au terme de ce bilan clinique et paraclinique, les conséquences traumatiques des chutes seront identifiées et leur cause très souvent élucidée. Les chutes pourront être classées en :
- • chute isolée sans cause retrouvée;
- • chutes répétitives pathologiques;
- • chutes associées à une cause directement responsable, avec ou sans perte de connaissance.
D 336Attitude thérapeutique
1 Traitement des conséquences de la chute
- • Traitement des fractures, des plaies, prévention antitétanique.
- • Lutte contre la douleur, si possible avec des antalgiques non sédatifs.
- • Lutte contre l’anxiété et l’agitation en rassurant le patient et dans certains cas avec des anxiolytiques mineurs.
- • Correction ou prévention de la déshydratation et de la dénutrition.
- • Prévention du syndrome post-chute : reprise de la marche le jour même (en l’absence de fracture ou de cause contre-indiquant celle-ci).
2 Traitement des causes de la chute lorsqu’elles sont identifiées
- • Modification des prescriptions avec si possible suppression (ou diminution de posologie) des médicaments pouvant favoriser les chutes.
- • Traitement de la cause de la chute : cardiaque, vasculaire, neurologique, rhumatologique ou autre.
E Mesures de maintien d’autonomie
et de prévention des récidives des chutes
Celles-ci sont essentielles :
- • reprise immédiate des activités d’autonomie élémentaires : prise des repas, habillage, toilette, lever du lit, continence des sphincters;
- • pour les personnes hospitalisées à la suite de la chute : préparer le retour à domicile, lutter contre l’isolement et la dépression souvent associés;
- • soins infirmiers dans les cas nécessaires, voire de pédicurie;
-
•
soins kinésithérapiques précoces et les plus actifs possibles :- – rééducation de l’équilibre et de la posture, si possible pieds nus pour rééduquer la sensibilité profonde, avec travail de la rétropulsion, exercices de lever de chaise, de transferts, de repositionnement du centre de gravité,
- – rééducation de la marche avec apprentissage des réactions posturales et réflexes de protection; si nécessaire, utiliser un déambulateur, une canne tripode, canne canadienne, canne simple,
- – automatisation de certains mouvements comme le retournement dans le lit, le relevé du sol (se retourner sur le ventre, se mettre à quatre pattes, puis sur les genoux, et se hisser en se tenant à un meuble fixe en s’aidant avec les membres supérieurs, chaise surtout, ou fauteuil, lit, autre meuble),
- – musculation des membres inférieurs,
- – plus généralement, réapprendre au patient la prise de conscience de son corps et du mouvement et la confiance dans ses capacités de marche (psychomotricité),
- – certains soins kinésithérapiques sont mis en œuvre en cas d’étiologie particulière (par exemple, un syndrome parkinsonien).
337
Compléments numériques
Des compléments numériques sont associés à ce chapitre. Ils proposent des vidéos indiquées dans le texte par un picto. Pour voir ces compléments, connectez-vous sur http://www.emconsulte/e-complement/478607 et suivez les instructions.
Vidéo 19.1. A Épreuve de Romberg.
Source : vidéothèque du Collège des enseignants de neurologie (https://www.cen-neurologie.fr/videotheque).
Vidéo 19.2. A Marche cérébelleuse.
Source : vidéothèque du Collège des enseignants de neurologie (https://www.cen-neurologie.fr/videotheque).
Vidéo 19.3. A Marche avec ataxie proprioceptive.
Source : vidéothèque du Collège des enseignants de neurologie (https://www.cen-neurologie.fr/videotheque).
Vidéo 19.4. A Marche spastique.
Source : vidéothèque du Collège des enseignants de neurologie (https://www.cen-neurologie.fr/videotheque).
Vidéo 19.5. A Marche avec steppage.
Source : vidéothèque du Collège des enseignants de neurologie (https://www.cen-neurologie.fr/videotheque).
Vidéo 19.6. A Marche myopathique (dandinante).
Source : vidéothèque du Collège des enseignants de neurologie (https://www.cen-neurologie.fr/videotheque).
Vidéo 19.7. A Marche avec dystonie du pied.
Source : Luc Defebvre.
Vidéo 19.8. A Marche lente Parkinson : marche lente.
Source : Luc Defebvre.
338
