CHAPITRE 28: Item 340 Accidents vasculaires cérébraux

Situations de départ

 

image28 Coma et troubles de conscience.

image62 Troubles de déglutition ou fausse route.

image64 Vertige et sensation vertigineuse.

image66 Apparition d’une difficulté à la marche.

image73 Douleur, brûlure, crampes et paresthésies.

image117 Apathie.

image121 Déficit neurologique sensitif et/ou moteur.

image127 Paralysie faciale.

image134 Troubles du langage et/ou phonation.

image138 Anomalie de la vision.

image143 Diplopie.

image226 Découverte d’une anomalie du cerveau à l’examen d’imagerie médicale.

image231 Demande d’un examen d’imagerie.

image248 Prescription et suivi d’un traitement par anticoagulant et/ou anti-agrégant.

image276 Prise en charge d’un patient en décubitus prolongé.

image285 Consultation de suivi et éducation thérapeutique d’un patient avec un antécédent cardiovasculaire.

image320 Prévention des maladies cardiovasculaires.

image345 Situation de handicap.

Objectifs pédagogiques

Diagnostiquer un accident vasculaire cérébral.

 

image Identifier les situations d’urgence et planifier leur prise en charge préhospitalière et hospitalière.

image Connaître les principes de la prise en charge à la phase aiguë de l’accident vasculaire cérébral ischémique.

511Hiérarchisation des connaissances

Rang Rubrique Intitulé Descriptif
Figure Définition Connaître la définition et la classification des accidents vasculaires cérébraux (AVC) Ischémique (constitué et transitoire), hémorragique et veineux
Figure Prévalence, épidémiologie Connaître les facteurs de risque des AVC Facteurs de risque des AVC ischémiques et hémorragiques, leur importance relative et les risques vasculaires ultérieurs après un AVC (récidive, risque cardiaque)
Figure Identifier une urgence Connaître l’urgence diagnostique et thérapeutique des AVC  
Figure Éléments physiopathologiques Connaître la physiopathologie de l’ischémie cérébrale Zone centrale, zone périphérique (zone de pénombre)
Figure Diagnostic positif Connaître les arguments cliniques diagnostiques en faveur des infarctus cérébraux constitués, accident ischémique transitoire, hémorragies intraparenchymateuses Savoir faire préciser l’anamnèse au patient ou à son entourage et savoir chercher les signes neurologiques de localisation (territoire cérébral antérieur, territoire cérébral moyen, territoire cérébral postérieur, territoire du tronc cérébral et du cervelet)
Figure Diagnostic positif Énumérer les arguments du diagnostic de dissection d’une artère à destinée cérébrale  
Figure Diagnostic positif Énumérer les arguments du diagnostic de thrombophlébite cérébrale  
Figure Diagnostic positif Connaître les signes de gravité d’un AVC  
Figure Étiologies Connaître les principales causes d’AVC ischémiques  
Figure Étiologies Connaître les principales causes d’AVC hémorragiques  
Figure Examens complémentaires Connaître la stratégie d’explorations complémentaires à la phase aiguë d’un AVC  
Figure Examens complémentaires Connaître le bilan étiologique de première ligne d’un AVC ischémique et d’un AVC hémorragique  
Figure Contenu multimédia Exemple d’AVC ischémique en phase aiguë en TDM  
Figure Contenu multimédia Exemple d’AVC hémorragique profond en phase aiguë en TDM  
Figure Prise en charge Connaître les actions à réaliser lors de la phase préhospitalière Notification préhospitalière de tous les acteurs prenant en charge le patient
Figure Prise en charge Connaître les principes de la prise en charge a la phase aiguë de l’AVC ischémique Thrombolyse, thrombectomie
Figure Prise en charge Connaître les mesures mises en œuvre dans la prévention primaire et secondaire Facteurs de risque vasculaire et handicaps moteurs, cognitifs et sensoriels
Figure Suivi et/ou pronostic Connaître le pronostic fonctionnel et vital des AVC  
Figure Suivi et/ou pronostic Connaître les principes de l’évaluation du rapport bénéfice/risque de la prise en charge d’un patient atteint d’AVC Transmission d’une information éclairée, prise en compte d’éventuelles directives anticipées en cas d’évolution défavorable

image

 

I 512Pour comprendre

A Définitions et épidémiologie

 

  • Figure Les accidents vasculaires cérébraux (AVC) sont caractérisés par la survenue brutale d’un déficit neurologique focal.
  • • Ils affectent environ 150 000 patients par an, un nombre qui a tendance à augmenter en raison de l’augmentation de la population et de son vieillissement.
  • • Environ un quart des AVC sont des récidives survenant chez des patients ayant un antécédent cérébrovasculaire.
  • • Les AVC peuvent survenir à tout âge, y compris dans l’enfance, mais, dans 75 % des cas, ils affectent des patients âgés de plus de 65 ans.
  • • L’âge moyen de survenue d’un AVC est de 73 ans (70 ans pour les hommes et 76 ans pour les femmes).
  • • L’AVC est une pathologie fréquente et potentiellement grave qui constitue une urgence médicale et, parfois, chirurgicale.
  • • Le terme d’AVC regroupe l’ensemble des pathologies vasculaires cérébrales d’origine artérielle ou veineuse, à savoir :

    • – les ischémies cérébrales artérielles (80 %) :

      • – transitoires : accident ischémique transitoire (AIT),
      • – constituées : infarctus cérébraux;
      • – les hémorragies cérébrales, ou intraparenchymateuses (20 %);
    • – les thromboses veineuses cérébrales (rares).
  • • Environ un quart des hémorragies cérébrales (5 % de tous les AVC) correspondent à une hémorragie sous-arachnoïdienne (HSA), dont la prise en charge est totalement différente (neurochirurgie ou radiologie interventionnelle) (voir chapitre 29 – item 341, et le référentiel du Collège de neurochirurgie).
  • • Les AVC représentent :

    • – la première cause de handicap moteur acquis de l’adulte;
    • – la première cause de mortalité pour les femmes et la deuxième pour les hommes après les cancers;
    • – la deuxième cause de troubles cognitifs majeurs après la maladie d’Alzheimer.
  • • L’amélioration du pronostic dépend de la qualité de la prévention primaire et secondaire et de la rapidité de prise en charge diagnostique et thérapeutique à la phase aiguë.

B Physiopathologie

 

  • Figure Le fonctionnement cérébral nécessite un apport sanguin constant en oxygène et en glucose. En raison de l’absence de réserve de ces deux substrats, toute réduction aiguë du flux artériel cérébral sera responsable d’une souffrance du parenchyme cérébral situé en aval de l’occlusion artérielle. La vitesse d’extension de la zone ischémiée dépendra de la mise en jeu de systèmes de suppléances artérielles (collatérales) et de leur qualité (encadré 28.1). Ainsi, en cas d’ischémie cérébrale, il existe :

     

    • – une zone centrale où la nécrose s’installe immédiatement et qui sera responsable des séquelles neurologiques : elle s’accompagne d’un œdème cytotoxique responsable d’une restriction de la diffusion des molécules d’eau extracellulaires (fig. 28.1);

      L'image montre trois diagrammes de diffusion des molécules d'eau dans le cerveau, avec des variations indiquant l'influence de l'inflammation et de l'œdème cérébral sur cette diffusion.

      Fig. 28.1 Figure Concept de diffusion des molécules d’eau dans le parenchyme cérébral.  
      Phénomène évaluable in vivo en IRM par la séquence de diffusion et la mesure du coefficient apparent de diffusion. A. Diffusion normale (libre) des molécules d’eau dans le compartiment extracellulaire. B. Restriction de diffusion : œdème cytotoxique par œdème intracellulaire réduisant la mobilité de l’eau dans l’espace extracellulaire. C. Diffusion accélérée : œdème vasogénique par augmentation de la quantité de molécules d’eau dans le compartiment extracellulaire.  
      Illustration de Carole Fumat

      L'image montre trois diagrammes illustrant la diffusion des molécules d'eau dans le parenchyme cérébral. Dans le diagramme A, on voit des cellules nerveuses entourées de quelques cellules jaunes avec des noyaux rouges. Les flèches blanches indiquent la direction de la diffusion des molécules d'eau. Cela montre comment l'eau se déplace dans le cerveau en passant d'une cellule à l'autre. Le diagramme B montre une augmentation du nombre de cellules jaunes autour des cellules nerveuses, ce qui semble indiquer une accumulation de liquide ou une inflammation. Les flèches blanches continuent de montrer la diffusion des molécules d'eau, mais de manière plus intense en raison de l'augmentation du liquide. Le diagramme C présente une situation où les cellules nerveuses sont entourées de nombreuses cellules jaunes et de nombreuses flèches blanches, suggérant une diffusion accrue des molécules d'eau dans le parenchyme cérébral. Cette image montre une situation où il y a une forte diffusion des molécules d'eau, ce qui peut être associé à des conditions pathologiques comme l'œdème cérébral. Ces images illustrent comment les molécules d'eau se diffusent dans le cerveau, et peuvent être utiles pour comprendre des conditions neurologiques où la gestion des fluides est cruciale.

    • – une zone périphérique, dite « zone de pénombre » (fig. 28.2), où les perturbations tissu-laires sont réversibles si le débit sanguin cérébral est rétabli rapidement (premières heures) et qui est responsable des symptômes présentés par le patient : cette zone constitue la cible des traitements d’urgence de revascularisation au cours de l’ischémie cérébrale.

      L'image illustre l'évolution de l'ischémie cérébrale sans recanalisation, montrant l'extension de la nécrose et la réduction de la zone récupérable, soulignant l'urgence d'une intervention.

      Fig. 28.2 Figure Évolution de la zone de l’ischémie cérébrale en l’absence de recanalisation.  
      Illustration : Hélène Fournie.

      L'image montre l'évolution de la zone d'ischémie cérébrale en l'absence de recanalisation. Elle présente deux cerveaux en coupe latérale, l'un à gauche et l'autre à droite, avec une flèche indiquant la progression de l'ischémie. Dans le cerveau de gauche, il y a deux zones distinctes : une zone grise plus claire appelée "Zone de pénombre" et une zone noire plus foncée appelée "Zone de nécrose". La zone de pénombre représente la partie du cerveau qui est à risque mais encore récupérable si une intervention rapide est effectuée. La zone de nécrose, en revanche, représente la partie du cerveau qui a subi des dommages irréversibles en raison du manque de circulation sanguine. Dans le cerveau de droite, on observe que la zone de nécrose s'est étendue, englobant une plus grande partie du cerveau, tandis que la zone de pénombre a diminué. Cela illustre comment, en l'absence de recanalisation, la zone de nécrose s'agrandit, entraînant une perte de tissu cérébral fonctionnel. Cette image montre visuellement l'importance d'une intervention rapide pour limiter les dommages cérébraux lors d'un accident vasculaire cérébral (AVC). Elle met en évidence la progression des dommages cérébraux en l'absence de traitement, soulignant l'urgence d'une prise en charge médicale rapide pour sauver le plus de tissu cérébral possible.

  • • 513514On considère que chaque minute en ischémie est responsable d’une perte de 2 millions de neurones.
  • Figure L’ischémie cérébrale peut être la conséquence de deux mécanismes différents :
  •     

    • – thrombotique ou thromboembolique (le plus fréquent) : occlusion artérielle;
    • – hémodynamique (rare) : chute de la perfusion cérébrale sans occlusion, à l’occasion d’un effondrement de la pression artérielle :

      • Figure régionale par sténose aiguë artérielle pré-occlusive (sur athérosclérose par hématome sous plaque, dissection, vasospasme),
      • – systémique (arrêt cardiaque);
      • – en cas de mécanisme hémodynamique, l’infarctus cérébral touche volontiers une zone jonctionnelle entre deux territoires artériels (perfusion de « dernier pré » : voir plus loin fig. 28.4E).

        Les orientations diagnostiques d'AVC se divisent en transitoire (AIT probable ou possible) et persistant (infarctus ou hémorragie). Différentiels : migraine, hypoglycémie, etc.

        Fig. 28.4 Figure Infarctus de la circulation antérieure.  
        A. Infarctus sylvien superficiel (IRM séquence de diffusion). B. Infarctus sylvien profond (IRM séquence diffusion). C. Infarctus sylvien total (IRM séquence diffusion). D. Infarctus cérébral antérieur (IRM séquence diffusion). E. Infarctus jonctionnel (IRM séquence diffusion).

        Les orientations diagnostiques devant une suspicion d'AVC se divisent en deux catégories principales : transitoire et persistant. Pour un AVC transitoire, qui dure moins d'une heure avec une imagerie cérébrale normale, on distingue deux sous-catégories : AIT probable et AIT possible. Pour un AIT probable, les symptômes incluent des déficits moteurs et/ou sensitifs unilatéraux touchant la face et/ou les membres, des troubles visuels comme une hémianopsie latérale homonyme ou cécité corticale, et des troubles aphasiques. Les troubles vertébrobasilaires peuvent inclure des troubles moteurs et/ou sensitifs bilatéraux ou à bascule, ainsi que des troubles visuels. Pour un AIT possible, les symptômes incluent des vertiges, une diplopie, une dysarthrie, des troubles de la déglutition, des pertes d'équilibre, des symptômes sensitifs isolés ne touchant qu'une partie d'un membre ou d'une hémiface, et des drop-attacks. Pour un AVC persistant, qui dure plus de deux minutes, on distingue l'AVC constitué en deux types : infarctus et hémorragie. Pour un infarctus, les symptômes incluent un déficit neurologique systématisé à un territoire artériel et l'absence de signes d'HTIC précoces. Pour une hémorragie, les symptômes incluent un déficit neurologique non systématisé à un territoire artériel, des signes d'HTIC précoces, et une aggravation en tache d'huile. Les diagnostics différentiels incluent l'aura migraineuse, le déficit post-critique, l'hypoglycémie, l'anxiété, et le trouble neurologique fonctionnel.

  • Figure L’hémorragie cérébrale peut être la conséquence de deux mécanismes :

    • – rupture d’une artère cérébrale de moyen ou petit calibre (le plus fréquent);
    • – hyperpression veineuse dans le cadre d’une thrombose veineuse cérébrale.
  • • Les lésions neuronales associées à l’hémorragie cérébrale sont liées à :

    • – la destruction directe par l’hématome;
    • – la survenue d’un œdème cérébral.

C Facteurs de risque d’AVC

On distingue des facteurs de risque :

 

  • • non modifiables tels que l’âge avancé, le sexe masculin et les antécédents familiaux de pathologie vasculaire;
  • • modifiables tels que :

    • – hypertension artérielle (HTA) : principal facteur de risque des AVC, ischémiques ou hémorragiques : augmentation du risque relatif (RR) de 4 environ; plus de la moitié des AVC surviennent dans un contexte d’HTA chronique;
  • – diabète :

    • Figure RR = 1,5,
    • Figure augmente le risque d’AVC ischémiques et hémorragiques;
  • – hypercholestérolémie :

    • – B RR = 1,5,
    • – A ce facteur de risque majeur de l’infarctus du myocarde est un facteur de risque plus accessoire des infarctus cérébraux;
  • – tabac :

    • Figure RR = 2,
    • Figure important facteur de risque d’athérosclérose des troncs supra-aortiques cause d’ischémie cérébrale;
    • – alcoolisme chronique : augmentation progressive du risque au-delà de 3 verres standard par jour (risque d’infarctus cérébral et d’hémorragie intraparenchymateuse);
    • – migraine : augmentation du risque d’infarctus cérébral chez la femme jeune, surtout en cas de migraine avec aura associée à un tabagisme et une contraception orale œstrogénique;
    • – contraception orale œstrogénique : faible augmentation du RR d’infarctus cérébral, limitée encore par l’utilisation des pilules microdosées; le risque est essentiellement lié à l’effet synergique avec le tabac;
    • – obésité, syndrome métabolique, absence d’activité physique, syndrome d’apnées obstructives du sommeil : leur rôle est moins bien démontré que pour les cardiopathies ischémiques;
    • – certaines manifestations cliniques sont associées à un risque accru d’infarctus cérébral telles que les troubles du rythme cardiaque (palpitations, tachycardie) et notamment la fibrillation auriculaire ou la présence d’un souffle carotidien (découverte d’un souffle vasculaire);
    • – le risque d’AVC peut être augmenté au décours de certains traumatismes (voir item 334 du référentiel du Collège de neurochirurgie);
    • – l’usage des antithrombotiques augmente le risque d’hémorragies cérébrales.

Le contrôle des neuf facteurs de risque suivant réduit de 90 % le risque d’AVC : HTA, diabète, dyslipidémie, obésité, consommation de tabac, consommation d’alcool, activité physique régulière, alimentation équilibrée, traitement de la fibrillation atriale

II Clinique des AVC

Un AVC doit être évoqué devant l’association (fig. 28.3) :

Pour réduire le risque d'AVC de 90 %, contrôlez votre pression artérielle, arrêtez de fumer, surveillez cholestérol et glycémie, et pratiquez une activité physique régulière.

Fig. 28.3 Figure Orientations diagnostiques devant une suspicion d’AVC.

Pour réduire le risque d'accidents vasculaires cérébraux (AVC) de près de 90 %, voici neuf mesures essentielles : Contrôler sa pression artérielle : L'hypertension est le principal facteur de risque d'AVC. Beaucoup de personnes hypertendues ignorent leur condition. Arrêter de fumer : Le tabac double le risque d'AVC. Surveiller son cholestérol : Demandez conseil à votre médecin pour connaître votre taux de cholestérol. Contrôler son rythme cardiaque : La fibrillation auriculaire augmente le risque d'AVC de cinq fois. Faites vérifier votre pouls régulièrement. Surveiller sa glycémie : Le diabète double le risque d'AVC. Faites vérifier votre glycémie régulièrement. Maintenir un poids normal : Le surpoids et l'obésité augmentent le risque d'AVC. Adopter une alimentation saine : Consommez des légumes, des fruits, des poissons, des huiles végétales, des noix et des céréales complètes. Pratiquer une activité physique régulière : Marchez au moins 30 minutes par jour. Limiter la consommation d'alcool : Ne dépassez pas deux verres par jour pour les hommes et un verre par jour pour les femmes. Ces mesures simples et pratiques peuvent grandement contribuer à réduire le risque d'accidents vasculaires cérébraux en favorisant un mode de vie sain et équilibré.

 

  • • « déficit neurologique » :

    • – seules les pertes de fonction (motricité, sensibilité, vision, langage, déglutition, etc.) sont à prendre en compte,
    • – toute manifestation productive (clonies, phosphènes, douleurs, etc.) doit faire remettre en question le diagnostic;
  • • « focal » : la perte de fonction correspond à la lésion d’une structure anatomique cérébrale donnée (voir chapitres de « sémiologie topographique » du référentiel du premier cycle du CEN);
  • • « d’apparition soudaine » :

    • – le plus souvent le déficit apparaît sans prodromes et est d’emblée maximal (symptômes d’intensité maximale en moins de 2 minutes),
    • Figure plus rarement, le déficit peut connaître :
    •     

      • – une aggravation rapide sur quelques minutes (aggravation en « tache d’huile » évo-cateur d’une hémorragie intraparenchymateuse),
      • – des paliers d’aggravation successifs (évocateur d’une sténose artérielle pré-occlusive),
      • – des fluctuations initiales (évocateur d’une « lacune »).

Figure Le déficit peut rester stable ou s’améliorer progressivement.

La nature ischémique ou hémorragique d’un AVC peut être évoquée cliniquement en fonction :

 

  • • des données épidémiologiques (fréquence plus importante des infarctus cérébraux);
  • • 515Figure du contexte :

    • – affection cardiaque emboligène connue (valvulopathie, trouble du rythme) ou manifestations antérieures de maladie athéroscléreuse (coronaropathie, artériopathie des membres inférieurs) → infarctus cérébral,
    • – trouble de la coagulation → hémorragie intraparenchymateuse;
  • • des données cliniques :

    • – correspondance avec un territoire artériel → infarctus cérébral,
    • – symptomatologie d’hypertension intracrânienne (HTIC) associée précoce (céphalées, nausées, vomissements, troubles de la conscience) → hémorragie intraparenchymateuse.

Figure Cependant, seule l’imagerie cérébrale permet à ce jour de faire la différence.

A Infarctus cérébraux constitués

On distingue (tableau 28.1) :

Tableau 28.1

Figure Principales manifestations cliniques des infarctus cérébraux en fonction des territoires artériels.

Circulation antérieure
Artère ophtalmique
  • • Cécité monoculaire homolatérale
Artère cérébrale antérieure
  • • Déficit moteur à prédominance crurale
  • • Syndrome frontal
Artère cérébrale moyenne superficielle
  • • Déficit moteur à prédominance brachiofaciale
  • • Aphasie ou héminégligence
Artère cérébrale moyenne profonde
  • • Hémiplégie proportionnelle
Circulation postérieure
Artère cérébrale postérieure
  • • Hémlanopsie latérale homonyme
  • • Hémianesthésie
Territoire vertébrobasilaire
  • • Syndrome alterne (exemple : Wallenberg)
  • • Syndrome cérébelleux
  • • Infarctus médullaire cervical

image

516

  • • les infarctus cérébraux de la circulation antérieure :

    • Figure carotidiens : artères ophtalmique, cérébrale antérieure, cérébrale moyenne, choroï-dienne antérieure;
  • Figureles infarctus cérébraux de la circulation postérieure :

    • Figure vertébrobasilaires : artères vertébrales, cérébelleuses et cérébrales postérieures;
  • Figureles petits infarctus profonds (ou « lacunes »);
  • Figure les infarctus cérébraux jonctionnels (aux confins de deux territoires artériels).

1 517Infarctus cérébraux carotldlens

Figure Les symptômes déficitaires moteurs et sensitifs sont controlatéraux à la lésion cérébrale. Exception : l’occlusion de l’artère ophtalmique, qui provoque une cécité monoculaire homolatérale.

a Infarctus cérébraux de l’artère cérébrale moyenne (ou sylvien)

Ce sont les plus fréquents (++). On les différencie en infarctus cérébral superficiel, profond ou total.

Infarctus cérébral de l’artère cérébrale moyenne (ACM) superficiel (fig. 28.4A)

 

  • • Déficit moteur d’intensité variable à prédominance brachiofaciale (++).
  • • Troubles sensitifs dans le même territoire.
  • • Quadra- ou hémianopsie latérale homonyme (plus rare et non isolée).
  • Figure Ces signes pouvant être associés, selon la localisation de l’atteinte, à :    

    • – atteinte de l’hémisphère majeur :

      • – aphasie motrice et non fluente (aphasie de Broca) en cas d’infarctus antérieur,
      • – aphasie sensorielle et fluente (aphasie de Wernicke, aphasies de conduction) en cas d’infarctus postérieur,
    • – apraxie : idéomotrice et idéatoire (atteinte pariétale);
  • – atteinte de l’hémisphère mineur = syndrome d’Anton-Babinski :

    • – anosognosie (non-reconnaissance du trouble) (+),
    • – hémiasomatognosie (non-reconnaissance de l’hémicorps paralysé) (+),
    • – héminégligence (spatiale, motrice de l’hémicorps controlatéral, visuelle de l’hémi-champ controlatéral et auditive controlatérale).

Infarctus cérébral de l’ACM territoire profond (fig. 28.4B)

Figure Hémiplégie massive proportionnelle (atteinte de la capsule interne).

Infarctus cérébral de l’ACM total (fig. 28.4C)

Signes d’infarctus cérébraux superficiel et profond associés à :

 

  • • déviation conjuguée de la tête et des yeux vers la lésion (atteinte de l’aire oculocéphalogyre frontale);
  • • troubles de conscience initiaux fréquents.

b 518Infarctus cérébral antérieur (fig. 28.4D)

 

  • Figure Hémiplégie à prédominance crurale avec troubles sensitifs (atteinte du lobule paracentral).
  • • Apraxie idéomotrice de la main.
  • • Syndrome frontal (adynamie, syndrome dysexécutif); en cas d’atteinte bilatérale et complète, un mutisme akinétique est observé.

 

 

2 Infarctus cérébraux vertébrobasilaires

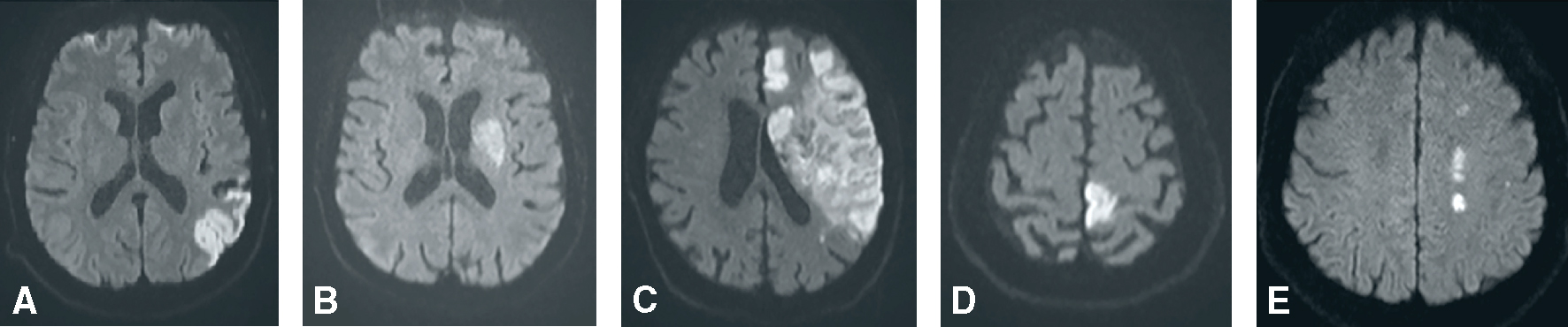
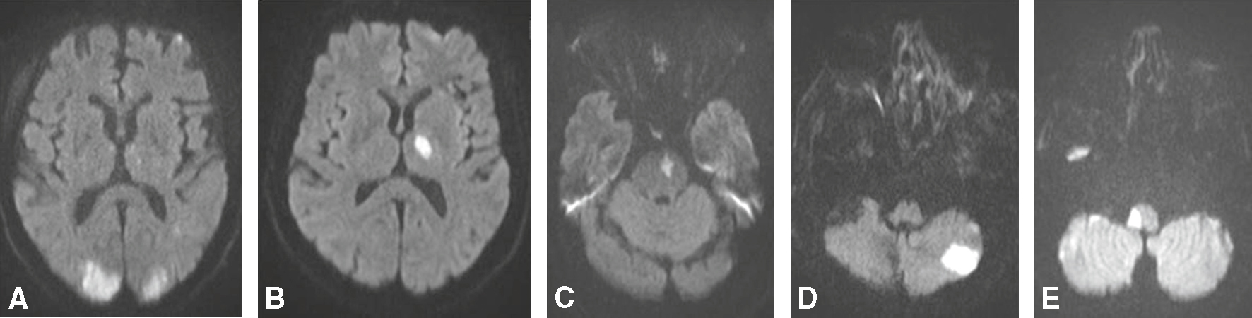
a Infarctus cérébral postérieur (fig. 28.5A et B)

Territoire superficiel

Figure Hémianopsie latérale homonyme souvent isolée (++) controlatérale, avec parfois :

L'infarctus de la circulation antérieure prive le cerveau d'oxygène. Les images IRM montrent des zones affectées, indiquant des dommages cérébraux nécessitant une intervention rapide.

Fig. 28.5 Figure Infarctus de la circulation postérieure. IRM séquence de diffusion.  
A. Infarctus cérébral postérieur superficiel droit et gauche. B. Infarctus thalamique gauche. C. Infarctus de perforante du pont (protubéranciel) gauche. D. Infarctus cérébelleux gauche. E. Infarctus de la fossette latérale du bulbe (syndrome de Wallenberg) droit.

L'infarctus de la circulation antérieure est une condition médicale grave où le flux sanguin vers la partie antérieure du cerveau est interrompu, généralement à cause d'un caillot sanguin. Cette interruption prive le cerveau d'oxygène et de nutriments essentiels, entraînant la mort des cellules cérébrales et des dommages permanents. Les images présentées montrent des scans IRM de différentes sections du cerveau, identifiées par les lettres A à E. Chaque image montre des zones de haute intensité, indiquant des régions du cerveau affectées par l'infarctus. Ces zones apparaissent plus claires sur les scans, permettant aux médecins de localiser précisément les zones endommagées. L'infarctus de la circulation antérieure peut entraîner des symptômes tels que la faiblesse ou la paralysie d'un côté du corps, des troubles de la parole, des problèmes de vision et des difficultés cognitives. La reconnaissance rapide et le traitement de cette condition sont essentiels pour minimiser les dommages cérébraux et améliorer les chances de récupération. Ces images fournissent une visualisation claire des effets de l'infarctus sur le cerveau, soulignant l'importance d'une intervention médicale rapide.

 

  • Figure alexie/agnosie visuelle (hémisphère majeur);
  • • troubles de la représentation spatiale et prosopagnosie (physionomies) (hémisphère mineur).
Territoire profond

Figure Syndrome thalamique :

 

  • • troubles sensitifs à tous les modes de l’hémicorps controlatéral;
  • Figure parfois douleurs neuropathiques intenses (jusqu’à l’hyperpathie) de l’hémicorps controlatéral;
  • • rarement, mouvements anormaux de la main.

519Figure En cas d’atteinte bilatérale des 2 ACP et complète : cécité corticale et troubles mnésiques (syndrome de Korsakoff par atteinte bilatérale de la face interne des lobes temporaux).

b Infarctus cérébraux sous-tentoriels (fig. 28.5C, D et E)

Responsables de lésions du tronc cérébral et du cervelet par occlusion d’artères perforantes du tronc basilaire (infarctus paramédians ou latéraux) (fig. 28.5C) ou des branches d’artères cérébelleuses (fig. 28.5D).

Infarctus du tronc cérébral

 

  • Figure Ils peuvent être étagés et s’associer à des infarctus hémisphériques d’aval (artère cérébrale postérieure).
  • FigureResponsables de syndromes alternes définis par :
  •     

    • – l’atteinte d’un nerf crânien ou voie cérébelleuse du côté de la lésion;
    • – l’atteinte d’une voie longue, sensitive ou motrice, controlatérale à la lésion.
  • • Le plus fréquent est le syndrome de Wallenberg (+++) (ou syndrome alterne sensitif) (fig. 28.5E) :

    • Figure conséquence d’un infarctus de la partie latérale de la moelle allongée (rétro-olivaire) irriguée par l’artère de la fossette latérale de la moelle allongée, elle-même branche de l’artère cérébelleuse postéro-inférieure;
    • Figure symptomatologie initiale dominée par une sensation vertigineuse avec troubles de l’équilibre;
  • Figure à la phase d’état, le syndrome de Wallenberg se manifeste par :

    • – du côté de la lésion : syndrome de Claude Bernard-Horner : atteinte de la voie sympathique; hémisyndrome cérébelleux : atteinte du pédoncule cérébelleux inférieur; atteinte du VIII : syndrome vestibulaire avec nystagmus rotatoire; atteinte des nerfs mixtes (IX et X) : troubles de phonation et de déglutition (qui imposent un arrêt de l’alimentation orale), paralysie de l’hémivoile et de l’hémipharynx (signe du rideau); atteinte du V (racine descendante du trijumeau) : anesthésie de l’hémiface,
    • – du côté opposé : atteinte du faisceau spinothalamique se traduisant par une anes-thésie thermoalgique de l’hémicorps épargnant la face.
  • Figure Autre exemple : infarctus protubérantiel associant atteinte du VII de type périphérique homolatérale à la lésion et hémiplégie controlatérale épargnant la face.
Infarctus graves du tronc cérébral

Figure Conséquence, notamment, d’une occlusion du tronc basilaire, ils se révèlent par :

 

  • • une atteinte motrice bilatérale;
  • • au maximum un locked-in syndrome par infarctus bilatéral du pied du pont (ou protubérance) : quadriplégie avec diplégie faciale (seul mouvement possible : verticalité des yeux) mais conscience normale;
  • • un coma calme pouvant mener au décès.
Infarctus cérébelleux

Parfois asymptomatiques, ils se révèlent souvent par un trouble de l’équilibre et provoquent un hémisyndrome cérébelleux ipsilatéral à la lésion.

En cas d’infarctus cérébelleux de grande taille, il peut exister un risque vital par :

 

  • Figure compression du tronc cérébral par l’œdème cérébelleux;
  • • hydrocéphalie aiguë par compression du quatrième ventricule.

3 520Petits infarctus profonds ou « lacunes » (fig. 28.6)

 

L'infarctus de la circulation postérieure prive le cerveau d'oxygène. Les IRM montrent des zones claires d'infarctus, indiquant des dommages cérébraux dans des régions cruciales.

Fig. 28.6 Figure Microangiopathie cérébrale.  
A. Infarctus lacunaire récent (IRM séquence de diffusion) hémisphérique droit. B. Infarctus lacunaire ancien (IRM séquence FLAIR). C. Leucoencéphalopathie vasculaire (IRM séquence FLAIR). D. Microbleeds (microsaignement) (IRM séquence T2*).

L'infarctus de la circulation postérieure se produit lorsque le flux sanguin vers la partie postérieure du cerveau est interrompu, généralement en raison d'un caillot sanguin. Cela prive cette région du cerveau d'oxygène et de nutriments essentiels, entraînant la mort des cellules cérébrales et des dommages permanents. Les images montrent cinq coupes différentes d'IRM, étiquetées A, B, C, D et E, chacune représentant une vue différente du cerveau et mettant en évidence des zones d'infarctus. Ces régions apparaissent plus claires sur les scans, indiquant les zones de tissu cérébral endommagé. Les infarctus de la circulation postérieure peuvent toucher des zones critiques, notamment les lobes occipitaux, le tronc cérébral et le cervelet, entraînant des symptômes comme des troubles visuels, des vertiges, une instabilité et des problèmes de coordination. La reconnaissance rapide et le traitement de cette condition sont essentiels pour minimiser les dommages cérébraux et améliorer les chances de récupération. Les images fournissent une visualisation claire des effets de l'infarctus sur le cerveau, soulignant l'importance d'une intervention médicale rapide. Ces IRM permettent aux professionnels de santé de diagnostiquer précisément la localisation et l'étendue des dommages, offrant ainsi une meilleure compréhension de la condition et des options de traitement.

  • Figure Conséquence d’une occlusion d’une artériole perforante (diamètre de 200 à 400 urn).
  • • 521Figure Des tableaux cliniques évocateurs divers peuvent révéler ces petits infarctus. Les plus fréquents sont :

    • – hémiplégie/hémiparésie pure (capsule interne ou tronc cérébral);
    • – hémianesthésie pure d’un hémicorps ou à prédominance chéiro-orale (thalamus);
    • – hémiparésie + hémi-hypo-esthésie (tronc cérébral);
    • – dysarthrie + main malhabile (bras postérieur de la capsule interne ou pied de la protubérance);
    • – hémiparésie + hémiataxie (protubérance ou substance blanche hémisphérique).
  • • La fluctuation à la phase initiale de l’intensité des manifestations cliniques mentionnées ci-dessus est évocatrice de ce type d’infarctus.
  • • L’état « multilacunaire » est la conséquence de la multiplication des petits infarctus profonds. Il est caractérisé par l’association de :

    • – syndrome pseudo-bulbaire, troubles de la déglutition et de la phonation (voix nasonnée);
    • – rires et pleurs spasmodiques;
    • – marche à petits pas (évoquant un syndrome parkinsonien atypique);
    • – troubles sphinctériens;
    • – détérioration des fonctions cognitives.

B Accident ischémique transitoire

1 Définition

Figure L’accident ischémique transitoire (AIT) est un épisode bref (typiquement de moins d’une heure) de dysfonction neurologique due à une ischémie focale cérébrale ou rétinienne, sans lésion cérébrale identifiable en imagerie.

2 Diagnostic de l’AIT

Il est difficile, du fait de la brièveté du phénomène. Il justifie un interrogatoire dit « policier » compte tenu des répercussions potentielles (bilan étiologique, complications socioprofessionnelles) d’un diagnostic d’AIT par excès ou par défaut pour le patient.

La symptomatologie clinique des AIT est aussi variée que celle des infarctus cérébraux.

On distingue AIT probable et AIT possible.

a AIT « probable »

Figure Installation rapide, habituellement en moins de 2 minutes, de l’un ou de plusieurs des symptômes suivants :

 

  • • symptômes évocateurs d’un AIT carotidien :

    • – cécité monoculaire,
    • – troubles du langage (aphasie),
    • – troubles moteurs et/ou sensitifs unilatéraux touchant la face et/ou les membres,
    • – hémianopsie latérale homonyme,
    • – ces symptômes moteurs, sensitifs ou visuels traduisent le plus souvent une ischémie du territoire carotidien mais, en l’absence d’autres signes, il n’est pas possible de trancher entre une atteinte carotidienne ou une atteinte vertébrobasilaire;
  • • symptômes évocateurs d’un AIT vertébrobasilaire :

    • – troubles moteurs et/ou sensitifs bilatéraux ou à bascule d’un épisode à l’autre, touchant la face et/ou les membres,
    • – 522perte de vision dans un hémichamp visuel homonyme (hémianopsie latérale homonyme) ou dans les deux hémichamps visuels homonymes (cécité corticale).

b AIT « possible »

 

  • • Les symptômes suivants sont compatibles avec un AIT mais ne doivent pas faire retenir le diagnostic en première intention s’ils sont isolés :

    • – vertige;
    • – diplopie;
    • – dysarthrie;
    • – troubles de la déglutition;
    • – perte de l’équilibre.
  • • Symptômes sensitifs isolés ne touchant qu’une partie d’un membre ou d’une hémiface.
  • • Drop-attack (dérobement des jambes sans trouble de la conscience).

Le diagnostic d’AIT devient probable si ces signes s’associent (++), de façon successive ou concomitante, entre eux ou aux signes cités ci-dessus (voir AIT « probables »).

 

  • FigureUne perte de connaissance, une confusion, une amnésie aiguë, une faiblesse généralisée transitoire ne sont pas évocatrices d’AIT.

3 AIT → situation d’urgence

L’AIT est un « syndrome de menace cérébrale » car :

 

  • Figure 30 % des infarctus cérébraux sont précédés d’AIT;
  • • 10 % des patients ayant eu un AIT vont présenter un infarctus cérébral constitué dans le mois qui suit en l’absence de traitement spécifique; ce risque est maximal dans les premiers jours suivant l’AIT.

 

4 523Etiologie

Figure Les AIT et les infarctus cérébraux partagent les mêmes causes. Le bilan étiologique sera identique dans les deux situations (voir ci-après).

5 Diagnostic différentiel de l’AIT

Les principaux diagnostics différentiels de l’AIT sont :

 

  • • neurologiques :

    • – aura migraineuse (importance de la marche migraineuse progressive),
    • – crise épileptique focale (ou déficit post-critique) révélatrice d’une lésion sous-jacente (tumeur, etc.);
  • • métaboliques :

    • – hypoglycémie,
    • Figure hyponatrémie,
    • Figure mitochondriopathie;
  • Figureautres = ils sont nombreux et varient selon la présentation clinique :

    • – vertige paroxystique bénin ou maladie de Menière (en cas de vertige),
    • – glaucome ou pathologie rétinienne (en cas de trouble visuel),
    • – lipothymie,
    • – trouble neurologique fonctionnel, etc.

C Hémorragies intraparenchymateuses

 

  • • La symptomatologie ne répond pas à une systématisation artérielle et dépend de la localisation de l’hémorragie intraparenchymateuse.
  • • Autres différences avec les infarctus cérébraux :    

    • – céphalées plus fréquentes et plus sévères;
    • – troubles de la vigilance plus précoces, conséquences de l’HTIC ou de la localisation de l’hémorragie.
  • • Néanmoins, la symptomatologie clinique ne permet pas de distinguer une hémorragie intraparenchymateuse d’un infarctus cérébral de manière fiable : l’imagerie cérébrale est indispensable (++).
  • • On distingue les hémorragies intraparenchymateuses en fonction de leur localisation :

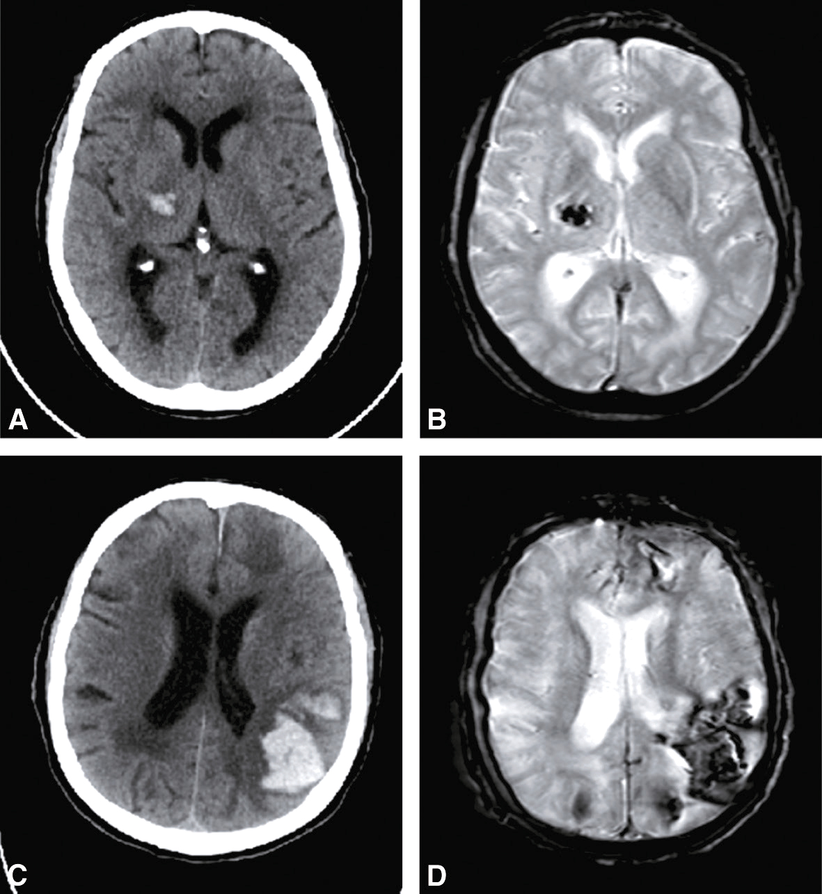
    • – hématomes profonds (noyaux gris) (fig. 28.7A et B);

      La microangiopathie cérébrale affecte les petits vaisseaux du cerveau. Les IRM montrent des lésions hyperintenses, des hyperintensités de la substance blanche, et des microhémorragies.

      Fig. 28.7 Figure Hémorragies intracérébrales.  
      A. Hématome sous-cortical de l’HTA en scanner. B. Hématome sous-cortical de l’HTA en IRM (séquence T2*). C. Hématome lobaire de l’angiopathie amyloïde en scanner. D. Hématome lobaire de l’angiopathie amyloïde en IRM (séquence T2*).

      La microangiopathie cérébrale est une condition qui affecte les petits vaisseaux sanguins du cerveau. Elle est souvent associée à des maladies chroniques comme l'hypertension artérielle et le diabète. Les images fournies montrent différentes coupes transversales du cerveau obtenues par imagerie par résonance magnétique (IRM). L'image A montre une séquence de diffusion où l'on peut observer une petite lésion hyperintense, ce qui peut indiquer un infarctus lacunaire, une petite zone de tissu cérébral endommagée par un manque de flux sanguin. L'image B est une séquence FLAIR (Fluid Attenuated Inversion Recovery) qui met en évidence des hyperintensités de la substance blanche, souvent observées dans la microangiopathie cérébrale. Ces hyperintensités sont des zones où la substance blanche du cerveau est endommagée. L'image C montre une autre séquence FLAIR avec des ventricules latéraux élargis, ce qui peut être un signe d'atrophie cérébrale ou de perte de tissu cérébral. Enfin, l'image D est une séquence T2* qui peut révéler des microhémorragies, de petites zones de saignement dans le cerveau, souvent associées à la microangiopathie cérébrale. Ces images sont importantes car elles permettent de visualiser les dommages causés par la microangiopathie cérébrale et d'évaluer l'étendue de la maladie. La détection précoce et la surveillance de ces lésions peuvent aider à gérer les symptômes et à prévenir des complications plus graves.

    • – hématomes superficiels (ou « lobaires ») (fig. 28.7C et D);
    • – hématomes sous-tentoriels (tronc cérébral, cervelet).
  • Figure Les hémorragies intraparenchymateuses doivent être distinguées des hémorragies sous-arachnoïdiennes (voir chapitre 29 – item 341) qui peuvent être localisées au niveau :

    • – de la base du crâne (origine souvent anévrismale);
    • – 524périmésencéphalique (origine souvent idiopathique);
    • – cortical (origine dominée par l’angiopathie amyloïde).

III Étiologie des AVC

A Infarctus cérébraux

 

  • Figure Les causes sont multiples.
  • • Plusieurs causes peuvent être présentes en même temps chez un même patient (par exemple, athérosclérose et fibrillation atriale).
  • • Dans 25 % des cas environ, l’infarctus cérébral reste d’origine indéterminée.
  • • Les infarctus cérébraux peuvent être dus à (fig. 28.8) :

    Les hémorragies intracérébrales se manifestent par des zones claires sur les scans, montrant du sang dans le cerveau. Ces images aident à diagnostiquer et à traiter la condition rapidement.

    Fig. 28.8 Figure Principales étiologies des infarctus cérébraux.

    Les hémorragies intracérébrales sont des saignements qui se produisent à l'intérieur du cerveau. L'image montre quatre coupes transversales de scans cérébraux, identifiées par les lettres A, B, C et D. Ces images illustrent différents types d'hémorragies intracérébrales. L'image A montre une hémorragie intracérébrale visible sous forme de zones blanches brillantes au centre du cerveau, indiquant la présence de sang. L'image B est une IRM qui montre des zones sombres et claires, représentant des saignements et des tissus cérébraux environnants. L'image C montre une hémorragie plus importante avec une grande zone blanche sur le côté droit du cerveau, indiquant une accumulation significative de sang. Enfin, l'image D est une autre IRM montrant des zones sombres et claires similaires à l'image B, mais avec une hémorragie plus étendue et des dommages plus visibles au tissu cérébral. Ces images illustrent les différentes présentations des hémorragies intracérébrales et leur impact sur le cerveau. Les hémorragies intracérébrales peuvent être causées par divers facteurs, tels que l'hypertension, les traumatismes crâniens, les anomalies vasculaires ou les troubles de la coagulation. Elles peuvent entraîner des symptômes graves, tels que des maux de tête soudains, des nausées, des vomissements, une perte de conscience, des convulsions et des déficits neurologiques. La reconnaissance rapide et précise des hémorragies intracérébrales à l'aide de scans cérébraux est cruciale pour déterminer le traitement approprié et améliorer les résultats pour les patients.

    • – une atteinte des grosses artères (macroangiopathies) (++);
    • – une atteinte des petites artères (microangiopathies) (++);
    • – une cardiopathie emboligène (++);
    • – un état prothrombotique (rare);
    • – des causes métaboliques (rare).

1 525Macroangiopathies (fig. 28.9)

Elle peut s’accompagner d’un souffle à l’auscultation carotidienne. Elle peut être secondaire aux différents mécanismes suivants :

Le diagramme montre les causes des AVC : 20 % hémorragiques et 80 % ischémiques. Les causes ischémiques incluent l'athérosclérose, les lacunes, l'embolie cardiaque et des causes inconnues.

Fig. 28.9 Figure Explorations des troncs supra-aortiques.  
A. Sténose carotidienne athéromateuse en angio-scanner (flèche bleue). B. Hématome pariétal de dissection carotidienne bilatérale (IRM séquence T1 SPIR – flèches rouges). C. Sténose carotidienne athéromateuse en artériographie. D. Sténose de l’artère sylvienne gauche en angio-IRM.

L'image montre un diagramme des principales étiologies des infarctus cérébraux, également appelés accidents vasculaires cérébraux (AVC). Le diagramme est divisé en deux grandes catégories : les AVC hémorragiques et les AVC ischémiques. Les AVC hémorragiques représentent 20 % des cas, tandis que les AVC ischémiques représentent 80 % des cas. Les AVC ischémiques sont ensuite subdivisés en plusieurs causes spécifiques : Athérosclérose (30 %) Lacunes (20 %) Embolie cardiaque (20 %) Autres causes (5 %) Cause inconnue (25 %) L'athérosclérose est une condition où les artères se durcissent et se rétrécissent en raison de l'accumulation de plaque, ce qui peut réduire ou bloquer le flux sanguin vers le cerveau. Les lacunes sont de petites zones de tissu cérébral endommagé causées par l'obstruction de petites artères. L'embolie cardiaque se produit lorsque des caillots sanguins formés dans le cœur se déplacent vers le cerveau et bloquent une artère. Les autres causes incluent diverses conditions médicales moins courantes. Enfin, dans 25 % des cas, la cause de l'AVC ischémique reste inconnue. Ce diagramme met en lumière les différentes causes des AVC ischémiques, aidant à mieux comprendre les facteurs de risque et les mécanismes sous-jacents de cette condition médicale grave.

a Athérosclérose (fig. 28.9A, B et C)

 

  • • Environ 30 % de l’ensemble des infarctus cérébraux.
  • Figure Diagnostic : présence d’une sténose dite « significative » si > 50 %> d’une artère en amont de l’infarctus cérébral et présence de facteurs de risque vasculaire.
  • • L’athérosclérose peut conduire à un infarctus cérébral par différents mécanismes :

    • – thromboembolique (+++) : fragmentation d’un thrombus sur plaque et occlusion d’une artère distale;
    • – thrombotique : occlusion artérielle au contact de la plaque;
    • – hémodynamique (rare, sur sténose serrée).

 

b Dissections des artères cervico-encéphaliques (fig. 28.7B)

 

  • FigureUne des causes les plus fréquentes des infarctus cérébraux du sujet jeune (environ 20 %).
  • Figure La dissection correspond au développement d’un hématome dans la paroi de l’artère, responsable d’une sténose (avec risque d’embole distal), voire d’une occlusion de l’artère disséquée.
  • • Origine de la dissection :

    • – post-traumatique (choc, hyperextension cervicale) ou spontanée;
    • – elle peut survenir sur une artère pathologique (maladie du tissu conjonctif de type Elhers-Danlos, dysplasie fibromusculaire), mais plus souvent sur une artère saine (sans raison clairement identifiée);
    • – elle est plus fréquente chez les patients ayant une HTA chronique et moins fréquente chez les patients en surcharge pondérale.
  • • La symptomatologie associe une triade inconstante comprenant :    

    • – cervicalgie/céphalée : signe essentiel de la dissection, à rechercher devant tout infarctus cérébral du sujet jeune (céphalée péri-orbitaire sur dissection carotidienne, postérieure sur dissection vertébrale, parfois ressemblant à une céphalée trigeminovasculaire : voir chapitre 11 – item 100);
    • – signes locaux homolatéraux à la dissection :
    •     

      • – syndrome de Claude Bernard-Horner douloureux par compression du plexus sympathique péricarotidien,
      • – paralysie des nerfs crâniens bas (IX, X, XI) par atteinte de l’artère carotide interne dans l’espace sous-parotidien postérieur,
      • – acouphène pulsatile par perception de l’accélération du flux sanguin dans la carotide intrapétreuse;
    • – signes ischémiques : variables en fonction du territoire artériel concerné.
c Causes macroangiopathiques rares

 

  • • Syndrome de vasoconstriction réversible : favorisé par la prise de certains médicaments (inhibiteurs sélectifs de la sérotonine, vasoconstricteurs nasaux, etc.) ou toxiques (cannabis, etc.). Le diagnostic sera évoqué devant l’association d’un facteur déclenchant, de céphalées ictales récurrentes et de vasospasmes observés en imagerie.
  • • Certaines artérites (maladie de Horton, etc.).

2 Microangiopathies (fig. 28.6)

a Infarctus dits « lacunaires »

 

  • Figure Environ 20 % de l’ensemble des infarctus cérébraux.
  • Figure Petit infarctus profond de moins de 20 mm de diamètre en séquence de diffusion.
  • • 526Liés à l’occlusion d’une artériole profonde sur artériopathie locale dont le principal facteur de risque est l’HTA.
  • • Localisation préférentielle des infarctus « lacunaires » :

    • – noyaux gris centraux;
    • – capsule interne (bras postérieur);
    • – pied du pont (ou protubérance) .
  • • On suspecte un infarctus lacunaire chez un patient hypertendu en cas de tableau clinique évocateur (voir plus haut).

 

3 Cardiopathies emboligènes

 

  • Figure Environ 20 % des infarctus cérébraux.
  • • Conséquence d’une atteinte morphologique ou fonctionnelle du myocarde.
  • • La liste des cardiopathies emboligènes est longue (tableau 28.3) : on distingue celles à risque élevé (risque de complication embolique > 5 % par an) de celles à risque modéré ou mal déterminé.

    Tableau 28.3

    B Principales cardiopathies emboligènes.

    Cardiopathies à risque embolique élevé Cardiopathies à risque modéré ou mal déterminé
    • • Prothèse valvulaire mécanique
    • • Rétrécissement mitral avec fibrillation atriale
    • • Fibrillation atriale avec facteur de risque associé
    • • Thrombus dans l’atrium ou le ventricule gauche
    • • Maladie de l’atrium
    • • Infarctus du myocarde récent (< 4 semaines)
    • • Akinésie segmentaire étendue du ventricule gauche
    • • Cardiomyopathie dilatée
    • • Endocardite infectieuse
    • • Myxome de l’atrium
    • • Rétrécissement mitral sans fibrillation atriale
    • • Rétrécissement aortique calcifié
    • • Calcifications annulaires mitrales
    • • Bioprothèse valvulaire
    • • Foramen ovale perméable
    • • Anévrisme du septum interauriculaire
    • • Endocardite non bactérienne

    image

  • • La fibrillation atriale est de très loin la plus fréquente des cardiopathies emboligènes (50 % des cas). Le risque embolique est d’autant plus élevé que le score CHA2DS2-VASc est élevé (tableau 28.4).

    Tableau 28.4

    Figure Score CHA2DS2-VASc*.

    Élément Score
    Insuffisance cardiaque/dysfonction ventriculaire gauche 1
    Hypertension 1
    Âge > 75 ans 2
    Diabète 1
    AVC/AIT ou embolie périphérique 2
    Pathologie vasculaire (infarctus du myocarde, artériopathie des membres inférieurs, plaques de l’aorte) 1
    Âge 65–74 ans 1
    Sexe féminin 1
    Score maximum 9

    * CHA2DS2-VASc : Congestive Heart Failure, Hypertension, Age ≥ 75 [Doubled], Diabetes Mellitus, Prior Stroke or Transient Ischemic Attack [Doubled], Vascular Disease, Age 65–74, Female.

    Source : Chen LY, Norby FL, Chamberlain AM, et al. CHA2DS2-VASc Score and Stroke Prediction in Atrial Fibrillation in Whites, Blacks, and Hispanics. Stroke. 2019;50(1):28-33. doi:10.1161/STROKEAHA.118.021453

  • Figure Le mécanisme cardio-embolique est systématiquement évoqué devant des infarctus cérébraux simultanés ou distincts survenant dans des territoires artériels différents.

 

B 527528Hémorragies intraparenchymateuses

1 Microangiopathie associée à l’HTA chronique

 

  • FigureCause de 50 % des hémorragies intraparenchymateuses.
  • • L’hémorragie intraparenchymateuse est secondaire à la rupture des artérioles perforantes, due à l’HTA chronique (fig. 28.7A et B).
  • • L’hémorragie intraparenchymateuse associée à l’HTA est typiquement profonde.

2 Rupture d’une malformation vasculaire

 

  • • Elle ne concerne qu’environ 5 à 10 % des hémorragies intraparenchymateuses, mais au moins un tiers chez le sujet jeune.
  • Figure Il peut s’agir d’un(e) :

    • – malformation artérioveineuse;
    • – cavernome (malformation cryptique, c’est-à-dire non visible à l’angiographie) : il peut être isolé ou multiple (cavernomatose, le plus souvent génétiquement déterminée).

3 Trouble de l’hémostase

 

  • FigureLe trouble peut être d’origine :    

    • – congénitale (hémophilie…);
    • – acquise (anticoagulants, alcoolisme chronique…).
  • Figure Parmi les causes acquises, l’origine iatrogène est prédominante.
  • • Environ 10 % de l’ensemble des hémorragies intraparenchymateuses est lié à la prise d’anticoagulants oraux au long cours. Le risque des antiplaquettaires est beaucoup plus faible.

4 Tumeurs cérébrales

 

  • • Cause de 5 à 10 % des hémorragies intraparenchymateuses.
  • • Les tumeurs malignes sont les plus concernées.
  • • L’hémorragie intraparenchymateuse est souvent révélatrice de la tumeur.

5 529Autres causes

Figure Elles sont nombreuses :

 

  • • angiopathie amyloïde (hémorragies intraparenchymateuses lobaires récidivantes + déficit cognitif), cause fréquente chez le sujet âgé (fig. 28.7C et D);
  • Figure thrombose veineuse cérébrale (fig. 28.10);

    L'image montre différentes techniques d'imagerie des troncs supra-aortiques : angiographie CT, IRM, cathéter et ARM pour évaluer les sténoses des artères carotides.

    Fig. 28.10 Figure Thrombose veineuse cérébrale.  
    A. Thrombose du sinus latéral gauche en scanner sans injection. B. Infarctus veineux hémorragique en scanner. C. Infarctus veineux en séquence IRM FLAIR. D. Infarctus veineux avec remaniement hémorragique en séquence IRM T2*. E. Infarctus veineux avec remaniement hémorragique en séquence IRM diffusion. F. Thrombose du sinus latéral gauche en séquence IRM T1 après injection de gadolinium.

    L'image montre différentes explorations des troncs supra-aortiques à travers plusieurs techniques d'imagerie médicale. L'image A est une angiographie par tomodensitométrie (CT) montrant une sténose de l'artère carotide interne droite, indiquée par une flèche bleue. Cette technique permet de visualiser les vaisseaux sanguins et de détecter les rétrécissements ou les obstructions. L'image B est une coupe axiale d'une IRM (imagerie par résonance magnétique) montrant les artères carotides internes droite et gauche, indiquées par des flèches rouges. L'IRM est utilisée pour obtenir des images détaillées des structures internes du corps, y compris les vaisseaux sanguins. L'image C est une angiographie par cathéter montrant une sténose de l'artère carotide interne gauche. Cette méthode implique l'insertion d'un cathéter dans les vaisseaux sanguins pour injecter un produit de contraste et obtenir des images radiographiques des artères. L'image D est une angiographie par résonance magnétique (ARM) montrant les artères du cercle de Willis, une structure vasculaire à la base du cerveau. Cette technique permet de visualiser les vaisseaux sanguins sans utiliser de rayons X. Ces images sont intéressantes car elles montrent différentes méthodes d'imagerie utilisées pour évaluer les troncs supra-aortiques, qui sont des vaisseaux sanguins importants fournissant du sang au cerveau. Les anomalies détectées dans ces vaisseaux, telles que les sténoses, peuvent avoir des conséquences graves sur la santé, notamment des accidents vasculaires cérébraux.

  • • endocardite infectieuse (rupture d’anévrisme mycotique);
  • • artérites cérébrales;
  • • méningo-encéphalite herpétique.

IV Prise en charge des AVC à la phase aiguë

Figure Le pronostic immédiat (vital) et le pronostic ultérieur (fonctionnel) dépendent de la rapidité et de la qualité de la prise en charge.

La réduction des délais de prise en charge repose sur plusieurs points :

 

  • • contact du 15 sans délai pour tout patient présentant des symptômes évocateurs d’un AVC;
  • • non-médicalisation du transport. Le transport médicalisé doit être réservé aux patients pour lesquels sont rapportés un trouble de la vigilance ou une défaillance cardiorespiratoire associée;
  • • admission dans le centre de proximité adapté à la prise en charge de l’urgence neurovas-culaire défini par deux paramètres :    

    • – possibilité de réaliser une imagerie cérébrale adaptée (IRM ou scanner),
    • – présence d’un neurologue ou d’un système de télémédecine permettant une prise en charge thérapeutique en urgence;
  • • 530information préhospitalière des acteurs de la prise en charge hospitalière (neurologues, urgentistes, radiologues) pour activer la filière de prise en charge et limiter tout retard diagnostique et thérapeutique.

L’AVC justifie une hospitalisation en urgence en unité neurovasculaire pour :

 

  • • confirmation diagnostique par imagerie cérébrale;
  • • prise en charge thérapeutique;
  • • bilan étiologique.

A Imagerie cérébrale

L’IRM est l’examen de référence pour confirmer le diagnostic d’AVC. En cas de non-accessibilité, un scanner peut être réalisé.

1 IRM

 

  • • Sa sensibilité est nettement supérieure à celle du scanner.
  • Figure Elle sera privilégiée par rapport au scanner en première intention.
  • • Le protocole d’urgence comporte trois à quatre séquences : – diffusion (DWI) : 

    • – elle visualise l’infarctus cérébral de manière très précoce (quelques minutes) sous la forme d’une hyperintensité systématisée à un territoire artériel (fig. 28.11),

      Les images montrent différentes manifestations radiologiques de la thrombose veineuse cérébrale (TVC) sur CT et IRM, mettant en évidence les caillots, œdèmes et infarctus cérébraux.

      Fig. 28.11 Figure Signes précoces d’ischémie cérébrale en IRM.  
      A. Hyperintensité en séquence de diffusion. B. Hypo-intensité (œdème cytotoxique) en séquence ADC (coefficient apparent de diffusion). C. Imagerie subnormale en séquence FLAIR. D. Absence d’anomalie en séquence T2*.

      La thrombose veineuse cérébrale (TVC) est une condition rare mais grave où un caillot de sang se forme dans les veines du cerveau, empêchant le sang de s'écouler correctement. Cela peut entraîner une augmentation de la pression intracrânienne, des dommages au tissu cérébral et des symptômes neurologiques variés. L'image montre plusieurs coupes de tomodensitométrie (CT) et d'imagerie par résonance magnétique (IRM) du cerveau, illustrant différents aspects de la TVC. Les images A et B sont des coupes axiales de CT montrant des zones d'hyperdensité, suggérant la présence de caillots sanguins dans les veines cérébrales. Les images C et D sont des coupes axiales de l'IRM en séquence FLAIR et T2*, respectivement, montrant des zones d'hypersignal et d'hyposignal, indiquant des œdèmes et des hémorragies associés à la TVC. L'image E est une coupe axiale de l'IRM en séquence de diffusion, montrant des zones de restriction de diffusion, ce qui est typique des infarctus cérébraux dus à la TVC. Enfin, l'image F est une coupe axiale de l'IRM en séquence T1 avec contraste, montrant une prise de contraste anormale dans les veines cérébrales, confirmant la présence de thrombose. Ces images sont intéressantes car elles montrent les différentes manifestations radiologiques de la TVC, aidant ainsi à son diagnostic et à la compréhension de ses effets sur le cerveau.

    • – 531elle permet le calcul du coefficient apparent de diffusion (apparent diffusion coefficient ou ADC) qui est diminué (noir) en cas d’œdème cytotoxique,
    • – elle permet aussi une mesure du volume de l’infarctus cérébral, contribuant à l’identification d’un « mismatch clinico-radiologique », qui permet d’identifier les patients éligibles à une stratégie de revascularisation au-delà de 4 h 30 après le début des symptômes (fig. 28.11 et 13);

      Les images IRM montrent des signes d'ischémie cérébrale précoce : hyperintensité en DWI, hypointensité en ADC, œdème en FLAIR et artefacts en T2*, essentiels pour un diagnostic rapide.

      Fig. 28.13 Figure Signes précoces d’ischémie cérébrale en scanner sans injection.  
      A. Scanner cérébral normal. B. Hypodensité systématisée au territoire sylvien, effacement partiel du noyau lenticulaire et effacement des sillons corticaux hémisphériques droit (flèche bleue). C. Hyperdensité spontanée de l’artère cérébrale moyenne droite (signe de la sylvienne blanche ou « trop belle artère » – flèche rouge).

      Les signes précoces d’ischémie cérébrale en IRM sont essentiels pour diagnostiquer rapidement et traiter efficacement cette condition. L'image montre quatre coupes transversales du cerveau obtenues par différentes techniques d'IRM. L'image A est une IRM de diffusion (DWI) qui montre une zone hyperintense dans l'hémisphère droit, indiquant une restriction de la diffusion de l'eau, typique d'une ischémie aiguë. L'image B est une carte ADC (coefficient de diffusion apparent) qui montre une zone hypointense correspondant à la même région, confirmant la restriction de diffusion observée en DWI. L'image C est une IRM FLAIR (Fluid-Attenuated Inversion Recovery) qui montre une hyperintensité dans la même région, suggérant un œdème cytotoxique. Enfin, l'image D est une IRM T2* qui montre des artefacts de susceptibilité, souvent associés à des saignements ou à des dépôts de fer, mais dans ce cas, elle aide à visualiser les structures vasculaires et les anomalies de signal. Ces différentes séquences d'IRM permettent de détecter et de caractériser les lésions ischémiques précoces, ce qui est crucial pour une prise en charge rapide et efficace des patients.

  • – T2/FLAIR :

    • – elle visualise l’infarctus cérébral récent au bout de quelques heures et permet aussi l’identification des AVC plus anciens et des anomalies de la substance blanche (leu-coencéphalopathie vasculaire) (fig. 28.6),
    • – l ‘existence d’une lésion sur la séquence de diffusion en l’absence de lésion sur la séquence FLAIR correspond à un « mismatch FLAIR-diffusion » qui traduit une ischémie datant probablement de moins de 4 h 30 (fig. 28.12);

      Les images de TDM montrent des signes précoces d'ischémie cérébrale : perte de différenciation entre la substance grise et blanche, et hypodensité dans le territoire cérébral.Les signes précoces d’ischémie cérébrale en scanner sans injection peuvent être identifiés par plusieurs caractéristiques visibles sur les images de tomodensitométrie (TDM). L’ischémie cérébrale est une condition où le flux sanguin vers une partie du cerveau est réduit, entraînant un manque d'oxygène et de nutriments nécessaires au bon fonctionnement des cellules cérébrales. Sur l'image A, on observe une coupe axiale d'un scanner cérébral sans injection de produit de contraste. Cette image montre une densité normale des tissus cérébraux sans signes évidents d'ischémie. L'image B présente également une coupe axiale d'un scanner cérébral sans injection. Un signe précoce d’ischémie cérébrale visible ici est la perte de différenciation entre la substance grise et la substance blanche, indiquée par une flèche bleue. Cette perte de différenciation est due à l'œdème cytotoxique qui se produit lorsque les cellules cérébrales commencent à gonfler en raison du manque d'oxygène. L'image C montre une autre coupe axiale d'un scanner cérébral sans injection. Un autre signe précoce d’ischémie cérébrale est la présence d'une hypodensité dans le territoire de l'artère cérébrale moyenne, indiquée par une flèche rouge. Cette hypodensité représente une zone de tissu cérébral qui a une densité plus faible que le tissu environnant, suggérant une réduction du flux sanguin et un début de nécrose cellulaire. Ces signes précoces d’ischémie cérébrale sont cruciaux pour un diagnostic rapide et précis, permettant une intervention médicale appropriée pour minimiser les dommages cérébraux et améliorer les chances de récupération du patient.

      Fig. 28.12 Figure Les mismatchs. Identification des mismatchs témoignant :  
       
      • de l’existence d’un parenchyme à sauver de l’ischémie : 1. clinique/radiologique : clinique sévère (NIHSS = 20), volume d’infarctus faible en séquence IRM de diffusion (B) ; 2. diffusion/perfusion : volume d’infarctus faible en séquence IRM de diffusion (B) avec large volume d’ischémie en séquence IRM de perfusion (C) ;
      • – du délai écoulé depuis le début des symptômes : 1. diffusion +/FLAIR – : lésion présente en séquence IRM de diffusion (B) sans anomalie sur la séquence IRM FLAIR (A) réalisée au même moment évoquant un délai probable de début des symptômes < 4 h 30; 2. diffusion –/FLAIR + : lésion négative en séquence IRM de diffusion avec anomalie sur la séquence IRM FLAIR réalisée au même moment évoquant un délai probable de début des symptômes > 15 jours.
    • – T2* (ou écho de gradient) : elle visualise toute lésion hémorragique intraparenchymateuse;
    • – perfusion, qui visualise la zone hypoperfusée. La soustraction entre perfusion et diffusion permet d’identifier la zone de pénombre où les lésions sont réversibles et qui 532constitue la cible des stratégies thérapeutiques de reperfusion. Cette séquence n’est à ce jour pas obligatoire au cours des infarctus pris en charge dans les 6 premières heures. Elle contribue à l’identification d’un « mismatch diffusion-perfusion » permettant d’identifier les patients éligibles à une stratégie de revascularisation endovascu-laire au-delà de la 6e heure après le début des symptômes (voir plus loin) (fig. 28.14A et 28.15).

      L'image présente un AVC avec hémiplégie gauche et hémianopsie, où les scans montrent un mismatch clinico-radiologique. L'angiographie révèle une occlusion de l'artère sylvienne droite.

      Fig. 28.14 Figure Stratégie thérapeutique de la phase aiguë de l’AVC.  
      A. Infarctus cérébral : recanalisation par thrombolyse (altéplase 0,9 mg/kg ou ténectéplase 0,25 mg/kg) et/ou thrombectomie mécanique ou antiagrégant plaquettaire (AAP : aspirine 75 à 325 mg et/ou clopidogrel 300 mg selon sévérité). B. Hémorragie intracérébrale. C. Mesures associées mises en place au sein de l’unité de soins intensifs neurovasculaires. Post TLY : post-thrombolyse; Post TM : post-thrombectomie.

      L'image montre une série de scans cérébraux et des annotations concernant un cas de mismatch clinique et radiologique. En haut, la description clinique indique "Hémiplégie gauche, Déviation tête et yeux à droite, Hémianopsie gauche, NIHSS = 20". Cela signifie que le patient présente une paralysie du côté gauche du corps, une déviation de la tête et des yeux vers la droite, et une perte de vision du côté gauche, avec un score NIHSS de 20, indiquant un AVC sévère. Ensuite, une flèche bleue mène à une boîte intitulée "Mismatch Clinico-radiologique", signalant une discordance entre les symptômes cliniques et les résultats des examens radiologiques. En dessous, trois images de scans cérébraux sont étiquetées A, B et C. L'image A montre un scan FLAIR, l'image B un scan de diffusion, et l'image C une carte de perfusion. Les flèches vertes et rouges indiquent des "Mismatch FLAIR-Diffusion" et "Mismatch Diffusion-Perfusion", soulignant les différences entre les zones affectées visibles sur les différents types de scans. Enfin, l'image D montre une angiographie avec une flèche rouge pointant vers une "Occlusion artère sylvienne droite", indiquant une obstruction dans l'artère cérébrale moyenne droite, cause probable de l'AVC. Cette image illustre un cas complexe d'AVC avec des discordances entre les symptômes cliniques et les résultats radiologiques, ainsi qu'une occlusion artérielle identifiée.

      La stratégie thérapeutique de l'AVC aigu repose sur la thrombolyse IV ou antiagrégants, la thrombectomie mécanique, la gestion de la tension, et la réversion des anticoagulants.

      Fig. 28.15 Figure Désobstruction artérielle par thrombectomie mécanique.  
      A. Artériographie préthrombectomie objectivant une occlusion proximale M1 (artère cérébrale moyenne). B. Désobstruction par stent retriever ou thrombo-aspiration. C. Artériographie post-thrombectomie objectivant une recanalisation du vaisseau.

      La stratégie thérapeutique de la phase aiguë de l'Accident Vasculaire Cérébral (AVC) inclut plusieurs étapes clés. Le traitement médical commence par la thrombolyse IV si un mismatch diffusion-perfusion est détecté. Sinon, on utilise un antiagrégant plaquettaire. Le traitement endovasculaire comprend la thrombectomie mécanique en cas de thrombus proximal dans la circulation antérieure ou le tronc basilaire. La gestion de la tension artérielle vise moins de 140 mmHg en une heure. La réversion des anticoagulants est essentielle : PPSB pour AVK, idarucizumab pour Anti-IIa, andexanet alfa pour Anti-Xa, et sulfate de protamine pour Héparine. Le positionnement varie selon le type d'AVC : 0 à 30° pour un infarctus cérébral, 45° pour une hémorragie. La perfusion se fait avec du sérum salé isotonique. Les cibles de pression artérielle sont 220/120 mmHg sans thrombolyse, 185/110 mmHg après thrombolyse ou thrombectomie. La glycémie doit être maintenue entre 0,5 et 1,8 g/L, la température en dessous de 38°C, et la SaO2 au-dessus de 94%. La fréquence cardiaque doit être surveillée. La surveillance inclut le NIHSS, la vigilance et le bilan de déglutition. Le nursing et la prévention de la thrombose veineuse profonde se font par compression pneumatique intermittente ou HBPM précoce. Il n'y a pas de recommandations pour l'antibiothérapie ou les antiépileptiques préventifs. Cette approche permet une prise en charge rapide et efficace des patients souffrant d'un AVC aigu.

  • Figure L’évaluation du parenchyme sera complétée par une évaluation des artères intra- et extracrâniennes par une angio-IRM des troncs supra-aortiques ou une séquence time of flight (c’est-à-dire « temps de vol », ou 3D-ToF, réalisée sans injection de produit de contraste), permettant l’identification d’un thrombus et/ou d’une sténose.

2 Scanner sans injection

a Dans les premières heures

Il présente les caractéristiques suivantes :

 

  • • en cas d’infarctus cérébral :

    • – souvent normal,
    • Figure signes précoces possibles (fig. 28.13) :

      • – effacement des sillons corticaux,
      • – dédifférenciation substance blanche/substance grise : atténuation du manteau cortical de l’insula, atténuation du noyau lenticulaire,
      • – hyperdensité artérielle (artère sylvienne « trop belle ») témoignant du thrombus dans l’artère;
  • Figure en cas d’hémorragie intraparenchymateuse : hyperdensité spontanée dont on précisera la localisation lobaire ou profonde.
b Au-delà de la 6e heure

 

  • • L’hypodensité de l’infarctus cérébral apparaît et s’accentue les premiers jours :

    • Figure elle est systématisée au territoire artériel infarci (fig. 28.13);
    • – elle entraîne, après plusieurs mois, une dilatation du ventricule en regard et une atrophie localisée du parenchyme.
  • Figure L’évaluation du parenchyme sera complétée par une évaluation des artères intra- et extracrâniennes par un angioscanner des troncs supra-aortiques, permettant l’identification d’un thrombus et/ou d’une sténose.

B 533Unités neurovasculaires (stroke units) (fig. 28.14C)

L’unité neurovasculaire comporte des lits de soins intensifs :

 

  • • elle regroupe médecins et personnel paramédical spécialisés en pathologie neurovasculaire;
  • • elle permet, en urgence et en parallèle, les prises en charge diagnostique et thérapeutique. L’hospitalisation en unité neurovasculaire réduit la morbi-mortalité post-AVC (un décès ou handicap évité pour 20 patients traités).

L’hospitalisation en unité neurovasculaire est justifiée :

 

  • • pour les infarctus cérébraux et les hémorragies intraparenchymateuses;
  • • quels que soient l’âge et le sexe des patients;
  • • quelle que soit la sévérité clinique (de l’AIT à l’AVC grave).

C 534Prise en charge thérapeutique

1 Mesures générales

a Positionnement initial

 

  • • Alitement avec redressement de la tête à 30°.
  • • Mise au fauteuil après exclusion d’une sténose artérielle serrée de la circulation cérébrale (échographie Doppler + Doppler transcrânien ou angio-TDM ou angio-IRM) en cas d’ischémie cérébrale.
b Surveillance rapprochée

 

  • • Neurologique (score NIHSS : National Institutes of Health Stroke Scale, https://www.sfmu.org/calculateurs/NIHSS.htmlFigureLa prise en charge de l'AVC implique une reconnaissance rapide des symptômes, une évaluation neurologique, une gestion thérapeutique adaptée (thrombolyse, thrombectomie), et une rééducation. Les points clés de la prise en charge de l'AVC incluent plusieurs étapes importantes. Tout d'abord, il est crucial de reconnaître rapidement les symptômes de l'AVC en utilisant les critères FAST (Face, Arm, Speech, Time) et d'appeler le 15 sans délai. Ensuite, le médecin régulateur doit confirmer l'alerte AVC et orienter le patient vers un centre hospitalier adapté. À l'hôpital, une évaluation neurologique est réalisée, incluant le score NIHSS et des examens d'imagerie cérébrale (IRM ou scanner) pour déterminer la nature de l'AVC. Les décisions thérapeutiques sont basées sur ces évaluations. L'admission en unité neurovasculaire permet une surveillance étroite des paramètres vitaux et une gestion des traitements spécifiques comme la thrombolyse ou la thrombectomie. Une exploration des troncs supra-aortiques et des examens complémentaires sont effectués pour identifier les causes de l'AVC. Après l'AVC, une rééducation et une évaluation des séquelles sont nécessaires, ainsi que des traitements de prévention secondaire et une évaluation de l'observance thérapeutique.) : en cas d’aggravation, refaire une imagerie cérébrale à la recherche d’une extension de l’ischémie ou d’une complication hémorragique.
  • • Déglutition : troubles de la déglutition à rechercher systématiquement (++) car il y a un risque de pneumopathie de déglutition; donc, en leur présence :    

    • – suspension de l’alimentation orale;
    • – pose au besoin d’une sonde gastrique.
  • • Pression artérielle : respect de la poussée tensionnelle au décours de l’infarctus cérébral, indispensable au maintien d’un débit sanguin cérébral suffisant (risque de nécrose de la zone de pénombre en cas d’abaissement intempestif des chiffres tensionnels). En phase aiguë, on ne traite (de manière progressive) qu’en cas de chiffres très élevés au-delà des valeurs suivantes :

    • Figure infarctus cérébral : tension artérielle (TA) > 220/120 mmHg;
    • – infarctus cérébral si thrombolyse ou thrombectomie endovasculaire : TA > 185/110 mmHg;
    • – hémorragie intraparenchymateuse : TA > 140/90 mmHg (diminuer la TA permet de réduire la croissance de l’hémorragie).
  • Figure Fréquence cardiaque (si possible sous scope) pour recherche de troubles du rythme.
  • • Température : lutte contre l’hyperthermie même en l’absence de cause identifiée : paracé-tamol à partir d’une température supérieure à 38 °C.
  • • 535Saturation en oxygène = lutte contre l’hypoxie et l’hypercapnie :

    • – oxygénothérapie si SaO2 < 95 %;
    • – aspiration si encombrement bronchique.
  • • Glycémie = lutte contre l’hyperglycémie et l’hypoglycémie sévère :

    • Figure insulinothérapie sous-cutanée si glycémie > 1,8 g/L;
    • – glucosé si glycémie < 0,5 g/L.
  • Figure Perfusion (si besoin) avec sérum physiologique et prévention des troubles métaboliques.
  • • Nursing : prévention d’escarres, soins de bouche, etc.
  • • Kinésithérapie motrice précoce pour améliorer la perception d’un membre paralysé, prévenir les attitudes vicieuses et les limitations articulaires.
  • • Prévention de complications systémiques : thromboemboliques (voir plus loin), ulcère gastrique, etc.

2 Thrombolyse (en cas d’infarctus cérébral) (fig. 28.14A)

La thrombolyse par le t-PA (tissue-Plasminogen Activator ; altéplase ou ténectéplase) par voie intraveineuse est bénéfique lorsqu’elle est appliquée dans les 4 h 30 qui suivent l’installation des premiers signes d’infarctus cérébral.

En cas d’horaire indéterminé, l’existence d’un mismatch FLAIR-diffusion en IRM peut être utilisée pour décider de l’administration d’une thrombolyse.

Elle s’accompagne d’un risque élevé d’hémorragie cérébrale et systémique (gastrique). Il s’y associe un risque d’angio-œdème, notamment chez les patients traités par inhibiteurs de l’enzyme de conversion.

La décision de thrombolyse doit donc être prise par un médecin spécialisé en pathologie neu-rovasculaire après évaluation des contre-indications majeures (sévérité de l’AVC, taille de l’infarctus cérébral en imagerie, antécédents, contrôle de la pression artérielle…).

3 Thrombectomie par voie endovasculaire

La thrombectomie mécanique par voie endovasculaire consiste à extraire le thrombus intra-artériel par un stent non implantable dit « retriever » et/ou par thromboaspiration (fig. 28.14A et 28.15).

La thrombectomie mécanique est proposée uniquement aux patients présentant une occlusion proximale (T carotidien, portion M1 et M2 proximale de l’artère cérébrale moyenne, tronc basilaire) d’une artère intracrânienne et peut être effectuée en complément de la thrombolyse intraveineuse pour les patients éligibles à la thrombolyse.

En présence d’une contre-indication à la thrombolyse, la thrombectomie mécanique peut être proposée seule.

Selon les recommandations de la Haute Autorité de santé (HAS), la thrombectomie mécanique est proposée jusqu’à la 6e heure suivant le début des symptômes.

 

4 536Traitements antithrombotiques (en cas d’infarctus cérébral)

 

  • • Prescrits dès l’arrivée ou, dans les 24 heures après réalisation d’une imagerie de contrôle.
  • • Bénéfices attendus :

    • – prévention d’une récidive précoce d’infarctus cérébral :

      • – aspirine entre 75 et 300 mg par jour,
    • Figure clopidogrel en cas de contre-indication à l’aspirine;
    • Figure prévention d’une complication thromboembolique :

      • – héparine à doses isocoagulantes (sous forme d’héparine de bas poids moléculaire en l’absence d’insuffisance rénale chronique) pour prévenir le risque thromboembo-lique veineux en cas d’alitement dû au déficit d’un membre inférieur.

 

5 Antagonisation (en cas d’hémorragie intraparenchymateuse) (fig. 28.13B)

 

  • • Hémorragie sous antivitamine K (AVK) : administration en urgence de concentré de complexe prothrombinique (PPSB) + vitamine K adaptée au poids du patient.
  • • Hémorragie sous antithrombine (anti-IIa) : administration en urgence d’idarucizumab ou de PPSB en cas d’indisponibilié de l’idarucizumab.
  • • Hémorragie sous anti-Xa oral : administration en urgence d’andexanet alfa ou de PPSB ou FEIBA en cas d’indisponibilité de l’andexanet alfa.
  • • Hémorragie sous antiagrégant plaquettaire : absence de démonstration du bénéfice de la transfusion de plaquettes.

En cas d’hémorragie intraparenchymateuse, la prévention d’une complication thromboembo-lique par héparine à doses isocoagulantes (sous forme d’héparine de bas poids moléculaire en l’absence d’insuffisance rénale chronique) sera commencée 24 heures après le début des symptômes. Ce traitement peut être remplacé par l’utilisation d’une contre-pression pneumatique intermittente (traitement de référence en cas d’hémorragie intracérébrale).

6 Autres traitements

 

  • • Ils visent les complications neurologiques de l’AVC.
  • Figure œdème cérébral : risque d’engagement et d’aggravation des lésions ischémiques :

    • – lutte contre l’hypercapnie et l’hyponatrémie;
    • – parfois macromolécules (mannitol) mais pas de corticoïdes (effet délétère et absence d’efficacité car œdème cytotoxique);
    • – 537craniectomie de décompression en cas d’infarctus cérébral étendu dit « malin » :
    •     

      • Figure réservé aux patients de moins de 60 ans avec NIHSS > 16 et troubles de la vigilance),
      • – le bénéfice au-delà de 60 ans peut être évalué au cas par cas (fig. 28.16).

        La thrombectomie mécanique est une procédure pour retirer un caillot sanguin lors d'un AVC ischémique. Elle restaure la circulation, réduisant les séquelles graves.

        Fig. 28.16 Figure Infarctus sylvien malin après craniectomie de décompression (scanner sans injection).

        La désobstruction artérielle par thrombectomie mécanique est une procédure médicale utilisée pour retirer un caillot sanguin d'une artère, souvent en cas d'accident vasculaire cérébral (AVC) ischémique. L'image montre trois étapes de cette procédure. Dans l'image A, une artère cérébrale est obstruée par un caillot sanguin, empêchant le flux sanguin normal et risquant de causer des dommages cérébraux graves. L'image B illustre l'utilisation d'un dispositif de thrombectomie mécanique. Inséré dans l'artère via un cathéter, ce dispositif est guidé jusqu'au caillot pour le capturer et le retirer, rétablissant ainsi le flux sanguin. L'image C montre l'artère après la procédure de thrombectomie, où le caillot a été retiré, rétablissant le flux sanguin et minimisant les dommages au cerveau. Cette procédure offre une option de traitement rapide et efficace pour les patients souffrant d'un AVC ischémique, réduisant les risques de séquelles graves et améliorant les résultats cliniques. La thrombectomie mécanique permet de restaurer la circulation sanguine dans les artères cérébrales obstruées, offrant une meilleure récupération pour les patients.

  • Figure Crises épileptiques : pas de traitement préventif, traitement à discuter en cas de première crise isolée.
  • • Prise en charge neurochirurgicale rarement indiquée :    

    • – infarctus cérébral malin du sujet jeune (craniectomie de décompression);
    • – hématome ou infarctus cérébelleux avec compression du tronc cérébral ou du quatrième ventricule et risque d’engagement des amygdales cérébelleuses ou hydrocéphalie aiguë.

D Diagnostic étiologique

Figure Le diagnostic étiologique commence par l’imagerie cérébrale qui seule permet la distinction entre infarctus cérébral et hémorragie intraparenchymateuse (voir plus haut).

1 En cas d’infarctus cérébral

a Orientation initiale

Elle dépend de :

 

  • • l’interrogatoire : palpitations, traumatisme cervical, contexte vasculaire antérieur (facteurs de risque, médicaments à tropisme vasculaire);
  • • la clinique : atteinte isolée de la motricité ou de la sensibilité d’un hémicorps (syndrome lacunaire), syndrome de Claude Bernard-Horner ou cervicalgie (dissection), souffle cardiaque (endocardite) ou artériel (sténose athéromateuse), etc.;
  • • 538l’imagerie :

    • Figure des infarctus jonctionnels unilatéraux sont évocateurs d’une sténose artérielle sous-jacente, responsable d’une altération hémodynamique (fig. 28.4E),
    • – des infarctus cortico-sous-corticaux bilatéraux sont évocateurs d’une cardiopathie emboligène,
    • – un infarctus sous-cortical de moins de 20 mm de diamètre associé à une leucoencé-phalopathie vasculaire est évocateur d’un infarctus lacunaire (fig. 28.6).
b Examens complémentaires

Figure Ils ont pour objectif de rechercher les différentes causes.

Macroangiopathie extra- et intracrânienne

Examen à réaliser à l’admission :

 

  • • angio-scanner;
  • • ou angio-IRM;
  • • ou échographie Doppler des troncs supra-aortiques avec Doppler transcrânien. L’angiographie conventionnelle n’a pas sa place en première intention.
Microangiopathie (petits infarctus profonds)

 

  • • Le diagnostic repose sur le tableau clinique (voir plus haut) associé aux résultats de l’IRM (voir plus haut), en l’absence d’autre étiologie évidente.
  • • La principale cause de microangiopathie est l’hypertension artérielle.
  • Figure Des causes inflammatoires ou génétiques sont parfois observées.
Cardiopathie emboligène

 

  • Figure Altération fonctionnelle :

    • – ECG (recherche de trouble du rythme) : réalisé dès l’admission après l’imagerie cérébrale;
    • – scope si ECG négatif, holter-ECG si absence de cause évidente;
    • Figure en cas de forte suspicion de fibrillation atriale paroxystique, peuvent être discutés un enregistrement longue durée de type holter (3 semaines) ou l’implantation d’un holter longue durée (3 ans).
  • Figure Altération morphologique :

    • – échographie transthoracique : recherche de valvulopathie, anévrisme ventriculaire gauche, altération de la fraction d’éjection, thrombus intracardiaque apical; à réaliser le plus vite possible en l’absence d’étiologie évidente;
    • Figure échographie transœsophagienne (étude de l’atrium gauche, du septum interauriculaire et de la crosse de l’aorte) après élimination des contre-indications (radiothérapie médiastinale, cancer de l’œsophage, varice œsophagienne.); à réaliser en cas de bilan initial négatif.
Autres causes

 

  • Figure Un état prothrombotique sera recherché sur la NFS-plaquettes et le TP-TCA réalisé à l’admission.
  • • En outre, le bilan biologique initial comprendra ionogramme sanguin avec créatininémie, CRP, glycémie et bilan lipidique afin d’évaluer l’état général du patient et ses facteurs de risque vasculaire.
  • Figure Lorsqu’une cause rare est envisagée, d’autres examens sont discutés au cas par cas : ponction lombaire (artérite cérébrale), biopsies cutanée ou musculaire (maladies du tissu élastique et de surcharge), anticorps antinucléaires, dosage de l’homocystéinémie ou hémostase complète (recherche d’une thrombophilie), etc.

2 539En cas d’hémorragie intraparenchymateuse

 

  • Figure Le bilan étiologique dépend de l’âge du patient et de la localisation de l’hématome. Il comprendra :

    • – une IRM cérébrale;
    • – un bilan de coagulation (plaquettes, TP, TCA);
    • Figure une angiographie des artères intracrâniennes (angio-TDM ou angio-IRM et, plus rarement, une angiographie conventionnelle) en l’absence d’argument pour une hémorragie intraparenchymateuse liée à l’HTA.
  • • Le bilan pourra être complété en fonction d’orientations étiologiques spécifiques (ponction lombaire pour artérite, bilan d’infarctus cérébral pour remaniement hémorragique postinfarctus cérébral.).

V Prévention des AVC

A Prévention primaire

 

  • Figure Elle repose sur la prise en charge des facteurs de risque d’AVC.
  • • Il n’y a pas d’intérêt au plan neurovasculaire à la prise d’aspirine au long cours en l’absence de manifestation d’AIT ou d’infarctus cérébral.
  • • L’administration d’un traitement anticoagulant oral (AVK, antithrombine ou antifacteur Xa) en prévention primaire devant une fibrillation atriale apporte un bénéfice démontré pour un score CHA2DS2VASc > 1.
  • Figure Le bénéfice de la chirurgie par endartériectomie sur sténose carotide asymptomatique serrée est modeste car le risque spontané d’infarctus cérébral est faible (1 % par an), alors que le risque opératoire avoisine 3 %. L’indication est donc discutée individuellement pour les patients ayant une sténose supérieure à 60 % et une espérance de vie supérieure à 5 ans. Elle nécessite une concertation multidisciplinaire (appréciation notamment du pronostic cardiaque).
  • Figure L’information des patients à risque sur les manifestations évocatrices d’un AVC (critères FAST : Face, Arm, Speech, Time) est une étape importante de la stratégie de prévention.

B Prévention secondaire des infarctus cérébraux

La prévention secondaire dépend de la cause de l’infarctus cérébral.

1 Athérosclérose

a Prise en charge des facteurs de risque vasculaire

 

  • • Antihypertenseurs :  

    • Figure privilégier les inhibiteurs de l’enzyme de conversion, diurétiques thiazidiques, et inhibiteurs calciques;
    • – objectif : PA < 140/90 mmHg;
  • Figure Hypocholestérolémiants :

    • Figure privilégier les statines;
    • – une association à l’ézétimibe ou aux inhibiteurs de PSCK-9 doit être proposée en cas d’objectif non atteint;
    • – objectif : low density lipoprotein (LDL)-cholestérol < 0,55 g/L;
  • Figure Antidiabétiques :

    • Figure objectif : hémogolbine glyquée (HbA1c) < 8 % au cours des 6 premiers mois post-AVC puis < 7 %.
  • • 540Figure Règles hygiéno-diététiques;

    • – activités physiques régulières (30 minutes de marche rapide quotidienne);
    • – interruption de la consommation de tabac et réduction de la consommation d’alcool.
b Traitement antiagrégant plaquettaire

Il réduit le risque de récidive d’infarctus cérébral de 20 % environ :

 

  • Figure trois traitements ont fait la preuve de leur efficacité :

    • – aspirine (50 et 300 mg par jour),
    • – clopidogrel (75 mg par jour; Plavix® 1 cp. par jour),
    • – association dipyridamole-aspirine (400 mg/50 mg par jour; Asasantine® 2 cp. par jour);
  • Figure l’association de ces traitements au long cours n’apporte pas de bénéfice et augmente le risque de complications hémorragiques;
  • • les anticoagulants oraux (AVK, antithrombine, anti-Xa) au long cours n’ont pas d’intérêt dans cette indication.
c Prise en charge chirurgicale des sténoses carotidiennes symptomatiques serrées

 

  • • Les sténoses > 70 % à l’origine de l’artère carotide interne représentent l’indication principale; l’indication sera discutée au cas par cas pour les sténoses entre 50 et 70 %.
  • • L’endartériectomie est la technique de référence; à ce jour, il n’y a pas d’indication démontrée de l’angioplastie (± stent) en première intention.
  • • Une intervention dans les 15 jours suivant l’infarctus cérébral est souhaitée; le bénéfice diminue au fur et à mesure qu’on s’éloigne de l’événement initial.
  • • Elle n’est pas indiquée en cas d’infarctus cérébral sévère.

2 Petits infarctus profonds (ou « lacunes »)

La prévention repose sur :

 

  • • le traitement des facteurs de risque (HTA ++);
  • • un médicament antiagrégant plaquettaire (voir plus haut 1. Athérosclérose).

3 Cardiopathies emboligènes

 

  • • En cas de fibrillation atriale, les anticoagulants oraux – AVK, antithrombine (dabigatran), anti-Xa (rivaroxaban, apixaban) – constituent le traitement de référence :

    • Figure les anti-Xa (rivaroxaban, apixaban) et antithrombines (dabigatran) comportent un risque hémorragique cérébral moindre et ont une efficacité identique à celle des AVK. Ils doivent donc être proposés en première intention. Ils sont contre-indiqués en cas de fibrillation atriale valvulaire (rétrécissement mitral);
    • – les AVK peuvent être proposés en cas de contre-indication aux anticoagulants oraux directs. L’international normalized ratio (INR) cible se situe entre 2 et 3;
    • – la prescription des anticoagulants doit toujours tenir compte des risques hémorragiques. Ce risque pourra être évalué par le score HAS-BLED (tableau 28.5);

      Tableau 28.5

      Figure Évaluation du risque hémorragique sous anticoagulant : le score HAS-BLED.

      Lettre Caractéristique clinique Nombre de points
      H Hypertension 1
      A Anomalie fonctionnelle hépatique ou rénale (1 point chacun) 1 ou 2
      S Stroke (AVC) 1
      B Bleeding (Saignement) 1
      L Lablllté des INR 1
      E Elderly (âge > 65) 1
      D Drogue ou Alcool (1 point chacun) 1 ou 2
      Un score > 3 témoigne d’un risque hémorragique augmenté

      image

      Source : Pisters R, Lane DA, Nieuwlaat R, de Vos CB, Crijns HJ, Lip GY. A novel user-friendly score (HAS-BLED) to assess 1-year risk of major bleeding in patients with atrial fibrillation: the Euro Heart Survey. Chest. 2010;138(5):1093-1100. doi:10.1378/chest.10-0134

    • – 541en cas de contre-indication aux anticoagulants (risque de chutes traumatisantes, risque d’erreurs dans les traitements, par exemple du fait de troubles cognitifs) :

      • – l’aspirine peut être utilisée, mais son efficacité est incertaine (réduit le risque de récidive entre 0 et 20 %). Sa prescription dépendra des maladies cardiovasculaires associées,
      • – l a fermeture de l’auricule gauche est une méthode alternative pouvant être proposée aux patients ayant une contre-indication définitive aux anticoagulants et un score CHA2DS2-VASc > 4.
  • Figure En cas de prothèses valvulaires mécaniques, les AVK sont les seuls anticoagulants oraux autorisés. L’INR cible est entre 2,5 et 3,5 pour les valves aortiques et entre 3 et 4,5 pour les valves mitrales.
  • Figure En cas de cardiopathies à risque embolique modéré ou mal déterminé, le risque des anticoagulants dépasse habituellement le bénéfice attendu : un antiagrégant plaquettaire est alors recommandé.
  • • En cas d’infarctus cérébral attribué à un foramen ovale perméable de taille moyenne ou large ou associé à un anévrisme du septum interauriculaire chez un patient de moins de 60 ans et en l’absence d’autre étiologie, une fermeture percutanée du foramen doit être proposée en association au traitement antiagrégant plaquettaire au long cours.

4 Autres causes

 

  • • Après dissection artérielle extracrânienne :

    • – les AVK ou l’aspirine peuvent être prescrits;
    • – le choix du traitement dépend de la taille de l’infarctus cérébral et du degré de sténose;
    • – le traitement est interrompu après cicatrisation de l’artère (3 à 6 mois habituellement).
  • • Infarctus cérébral sans cause identifiée : un traitement par antiplaquettaire au long cours est recommandé.

C Prévention secondaire des hémorragies intraparenchymateuses

Figure Elle repose avant tout sur le traitement de l’étiologie :

 

  • • traitement de l’HTA;
  • • traitement endovasculaire ou chirurgical d’une malformation vasculaire;
  • • correction d’un trouble de la coagulation.

 

VI 542Pronostic des AVC

A Mortalité

 

  • • La mortalité après un AVC est de 20 % à 1 mois et de 40 % à 1 an.
  • • La mortalité précoce est plus élevée en cas d’hémorragie intraparenchymateuse que d’infarctus cérébral, en raison de l’effet de masse.
  • • La surmortalité à distance est surtout liée à l’augmentation du risque coronarien (40 % des décès à distance d’un AVC).

B Morbidité

1 À distance d’un AVC

 

  • • Un tiers des survivants sont dépendants.
  • • Un tiers des survivants gardent des séquelles tout en étant indépendants.
  • • Un tiers des survivants retrouvent leur état antérieur.

2 Pronostic fonctionnel

 

  • Figure Le pronostic fonctionnel est meilleur en cas de :

    • – âge jeune;
    • – infarctus cérébral de petite taille;
    • – infarctus cérébral peu sévère;
    • – entourage aidant;
    • – hémorragie intraparenchymateuse plutôt qu’un infarctus cérébral à taille égale (le saignement peut refouler les structures nerveuses sans destruction).
  • • Le pronostic d’un AVC est toujours difficile à établir à la phase aiguë et doit amener le praticien à rester prudent dans les informations délivrées à l’entourage (++).
  • • L’essentiel de la récupération se fait dans les 3 premiers mois, mais elle se poursuit jusqu’à 6 mois.
  • • Au-delà, l’amélioration fonctionnelle est possible et tient à une meilleure adaptation au handicap résiduel.

3 Complications

Figure Les différentes complications potentielles sont :

 

  • • récidive : 30 % à 5 ans;
  • • troubles cognitifs (ou démence vasculaire);
  • • 543troubles de l’humeur post-AVC (dépression, anxiété);
  • • spasticité;
  • • troubles vésico-sphinctériens;
  • • douleurs neuropathiques et syndrome régional complexe;
  • • épilepsie vasculaire;
  • • syndrome parkinsonien vasculaire et mouvements anormaux (chorée, tremblement).

VII Suivi du patient

Les objectifs du suivi post-AVC sont les suivants :

 

  • • évaluer les séquelles :

    • – déficit moteur résiduel,
    • – déficit sensitif résiduel, ataxie proprioceptive,
    • – troubles de l’équilibre et de la marche,
    • – aphasie, dysarthrie,
    • – dysphagie, dysphonie, diplopie;
  • • évaluer les complications neurologiques :

    • – spasticité,
    • – mouvements anormaux et syndromes parkinsoniens,
    • – douleurs neuropathiques,
    • – troubles vésico-sphinctériens,
    • – troubles du sommeil,
    • – troubles de l’humeur (dépression, anxiété),
    • – troubles cognitifs;
  • • confirmer le diagnostic étiologique;
  • • s’assurer de la prescription, tolérance et efficacité du traitement de prévention secondaire :

    • – antithrombotique en cas d’infarctus cérébral,
    • – équilibre des facteurs de risque vasculaire;
  • • évaluer le retentissement des facteurs de risque vasculaire sur les différents organes cibles;
  • Figure suivre l’évolution de l’adaptation du patient dans son lieu de vie, la modalité de reprise de l’activité professionnelle et la réalisation de la consultation auprès de la commission du permis de conduire avant la reprise de la conduite automobile.

Figure Le suivi aura lieu entre 2 et 6 mois après l’événement initial, puis à 1 an. Une adaptation de la fréquence des suivis sera effectuée au cas par cas.

La prise en charge au long cours fera intervenir en fonction des problématiques spécifiques différents intervenants médicaux (neurologues, médecins de médecine physique et réadaptation, cardiologues, médecin généraliste, etc.) et paramédicaux (kinésithérapeute, ergothérapeute, orthophoniste, neuropsychologues, IPA, etc.).

Une information claire et loyale sera donnée au patient et à sa personne de confiance quant aux décisions des choix thérapeutiques et d’investigation ainsi qu’au pronostic fonctionnel.

Le rapport bénéfice/risque des investigations complémentaires ou prise en charge thérapeutique sera évalué en fonction de l’état clinique de chaque patient. En cas d’évolution clinique défavorable, il sera tenu compte d’éventuelles directives anticipées définies par le patient avant l’AVC. Toute décision de prise en charge en réanimation sera prise 544de façon collégiale en tenant compte des arguments pronostiques neurologiques ainsi que de l’origine de la défaillance viscérale.

VIII Thromboses veineuses cérébrales

Les thromboses veineuses cérébrales, ou thrombophlébites, sont rares (< 2 % des AVC) mais doivent être bien connues car elles sont accessibles à un traitement anticoagulant. Elles touchent un ou plusieurs sinus veineux, exceptionnellement une veine corticale. Elles peuvent provoquer ou non un infarctus cérébral, souvent avec composante hémorragique, dont la topographie ne correspond pas à un territoire artériel.

A Symptomatologie

La triade céphalées-crises d’épilepsie-déficit neurologique focal est fortement évocatrice du diagnostic.

Ces trois signes peuvent être isolés ou associés et leur installation peut être aiguë ou progressive sur quelques semaines. La grande variabilité des présentations cliniques peut rendre le diagnostic difficile.

 

  • • Les céphalées :

    • – témoignent de l’HTIC;
    • – intenses ou modérées, permanentes ou intermittentes, diffuses ou focalisées;
    • – associées à un œdème papillaire;
    • – parfois associées à des troubles de la conscience;
    • – isolées dans 25 % des thromboses veineuses cérébrales.
  • • Les crises épileptiques :

    • – partielles ou généralisées;
    • – hémicorporelles à bascule, rares, mais évocatrices.
  • • Les déficits neurologiques focaux :

    • – inconstants et variables selon la localisation de la thrombose veineuse cérébrale;
    • – par exemple, déficits à bascule en cas de thrombose du sinus longitudinal supérieur, ophtalmoplégie en cas de thrombose du sinus caverneux.

B Diagnostic

1 IRM cérébrale avec angio-IRM veineuse

C’est l’examen de référence, à réaliser devant toute suspicion de thrombose veineuse cérébrale. Elle permet la visualisation (fig. 28.8) :

 

  • Figure du sinus thrombosé :

    • – hypersignal T1 et T2 et hyposignal T2* à la phase d’état,
    • – absence de flux dans le sinus occlus en angio-RM veineuse,
    • – « signe du delta » après injection de gadolinium (prise de contraste de la paroi du sinus thrombosé);
  • • du retentissement sur le parenchyme cérébral :

    • – œdème vasogénique,
    • – infarctus veineux,
    • – 545remaniement hémorragique;
  • • du retentissement ventriculaire : hydrocéphalie;
  • • d’une orientation étiologique :

    • – tumeur cérébrale comprimant un sinus (méningiome),
    • – méningite chronique,
    • – pathologie locorégionale (ORL, mastoïdite).

2 Scanner cérébral et angio-scanner

Figure Moins sensible que l’IRM, il peut montrer (fig. 28.8) :

 

  • Figure un infarctus hémorragique;
  • • une hydrocéphalie aiguë;
  • • une hyperdensité spontanée du thrombus dans le sinus (sinus thrombosé = signe du triangle dense pour le sinus longitudinal supérieur, signe de la corde pour les sinus latéraux);
  • • un « signe du delta » au niveau du sinus après injection de produit de contraste.

3 Examen du liquide cérébrospinal (LCS)

 

  • • Il est réalisé en l’absence de lésion intracrânienne focale responsable d’une HTIC.
  • • Il peut montrer :

    • – une élévation de la pression d’ouverture;
    • – une hyperprotéinorachie;
    • – une pléiocytose de formule variable et quelques hématies.
  • • Il apporte peu d’informations sur le diagnostic positif mais peut orienter le diagnostic étiologique en identifiant une méningite. En outre, il peut soulager les céphalées liées à l’HTIC par défaut de résorption du LCS.

C Étiologie, facteurs de risque

Figure Les causes sont nombreuses et s’associent volontiers chez un même patient. Il est habituel de les séparer en :

 

  • Figure causes générales des états d’hypercoagulabilité : grossesse et post-partum, troubles de l’hémostase congénitaux (déficit en protéine C, protéine S, antithrombine III) ou acquis (anticoagulant circulant, coagulation intravasculaire disséminée, cryoglobulinémie);
  • • causes locorégionales : méningites, otite, mastoïdite, sinusite, traumatisme crânien (tableau 28.6).

    Tableau 28.6

    Figure Principales causes de thromboses veineuses cérébrales.

    Causes et facteurs généraux • Période postopératoire
      • Grossesse et surtout post-partum (méfiance devant toute céphalée dans ce contexte)
      • Contraception orale (risque majoré quand association à un tabagisme).
      • Affections hématologiques
      Troubles de l’hémostase congénitaux (déficit en protéine C, protéine S, antithrombine III) ou acquis (anticoagulant circulant, coagulation intravasculaire disséminée, cryoglobulinémie)
      • Infections (septicémies, endocardite)
      • Cancers et chimiothérapie
      • Maladies inflammatoires (Behçet notamment)
     
    • • Causes diverses (déshydratation sévère, cirrhose, syndrome néphrotique, etc.)
    Causes et facteurs locaux infectieux
    • • Infection de voisinage (otite, mastoïdite, sinusite, infection bucco-dentaire, etc.)
    • • Infection intracrânienne (abcès, empyème sous-dural, méningite)
    Causes et facteurs locaux non infectieux
    • • Traumatisme crânien (ouvert ou fermé, avec ou sans fracture)
    • • Intervention neurochirurgicale
    • • Malformation vasculaire (fistule dure-mérienne)
    • • Cathétérisme jugulaire

    image

D 546Traitement et pronostic

Figure Le traitement comprend :

 

  • • anticoagulation :    

    • – héparinothérapie commencée en urgence (même en cas d’infarctus hémorragique),
    • – relayée par des AVK (minimum 6 mois, parfois plus si une cause persiste);
    • – traitement étiologique (éradication d’un foyer infectieux, arrêt définitif de la contraception orale œstrogénique…);
  • Figure traitement symptomatique :

    • – antiépileptique en cas de crise,
    • – antiœdémateux (mannitol) si signes d’HTIC.

Figure Le pronostic est favorable dans la grande majorité des cas après mise en route du traitement anticoagulant. Les thromboses veineuses cérébrales profondes sont plus souvent d’évolution défavorable.

 

L'infarctus sylvien malin après craniectomie de décompression montre des dommages cérébraux étendus et une déviation de la ligne médiane. La craniectomie réduit la pression intracrânienne.

Fig. 28.17 Figure Points clés de la prise en charge de l’AVC.

L'infarctus sylvien malin après craniectomie de décompression se réfère à un accident vasculaire cérébral sévère affectant la région sylvienne du cerveau. Cette condition survient lorsque la circulation sanguine est bloquée, causant des dommages étendus au tissu cérébral. Les images fournies montrent plusieurs coupes de scanner sans injection de produit de contraste, après une craniectomie de décompression. Cette intervention chirurgicale consiste à retirer une partie du crâne pour réduire la pression intracrânienne et prévenir d'autres dommages cérébraux. Dans l'image A, on observe une large zone hypodense dans l'hémisphère droit du cerveau, indiquant une région de nécrose ou de mort cellulaire due à l'ischémie. L'image B montre une déviation de la ligne médiane, où les structures cérébrales sont déplacées à cause de l'œdème. Cette déviation est un signe critique de l'augmentation de la pression intracrânienne. L'image C présente une vue post-opératoire où l'os retiré est visible, offrant de l'espace pour que le cerveau enflé s'étende et réduise la pression. Ces images sont essentielles pour comprendre l'ampleur des dommages causés par un infarctus sylvien malin et l'importance de la craniectomie de décompression dans la gestion de cette condition. Elles illustrent les changements structuraux dans le cerveau avant et après l'intervention chirurgicale, soulignant l'impact de cette procédure sur le pronostic du patient.

548