CHAPITRE 18: Item 107 Mouvements anormaux

Situations de départ

 

image27 Chute de la personne âgée.

image31 Perte d’autonomie progressive.

image66 Apparition d’une difficulté à la marche.

image128 Tremblements.

image130 Troubles de l’équilibre.

image131 Troubles de mémoire/déclin cognitif.

image178 Demande/prescription raisonnée et choix d’un examen diagnostique.

image183 Analyse du liquide cérébrospinal (LCS).

image192 Analyse d’un résultat de gaz du sang.

image194 Analyse du bilan thyroïdien.

image226 Découverte d’une anomalie du cerveau à l’examen d’imagerie médicale.

image231 Demande d’un examen d’imagerie.

image256 Prescrire un hypnotique/anxiolytique.

image288 Consultation de suivi et traitement de fond d’un patient dépressif.

image298 Consultation et suivi d’un patient ayant des troubles cognitifs.

image309 Patient à risque suicidaire.

image313 Prévention des risques liés à l’alcool.

image327 Annonce d’un diagnostic de maladie grave au patient et/ou à sa famille.

image328 Annonce d’une maladie chronique.

image345 Situation de handicap.

image352 Expliquer un traitement au patient (adulte/enfant/adolescent).

Objectif pédagogique

 

image Savoir décrire et reconnaître les principaux mouvements anormaux.

Hiérarchisation des connaissances

Rang Rubrique Intitulé Descriptif
Figure Diagnostic positif Savoir décrire les principaux mouvements anormaux : tremblement, chorée et dyskinésies, myoclonies, tics, dystonies (crampe de l’écrivain, torticolis spasmodique), blépharospasme et hémispasme facial  
Figure Diagnostic positif Citer les principales causes de tremblement en fonction du type sémiologique (repos ou action) Tremblement parkinsonien, tremblement essentiel et tremblement cérébelleux
Figure Étiologies Citer les principaux médicaments susceptibles d’induire les différents types de mouvements anormaux Neuroleptiques et autres traitements
Figure Contenu multimédia Reconnaître les principaux mouvements anormaux sur des cas vidéo typiques  
Figure Diagnostic positif Connaître les principaux signes cliniques de la maladie de Huntington Mouvements anormaux, troubles cognitifs et psychiatriques
Figure Diagnostic positif Connaître les principales expressions des tics Tics moteurs et tics vocaux
Figure Diagnostic positif Connaître les principales formes de dyskinésies Dyskinésies induites par la L-dopa et par les neuroleptiques

image

 

I 303Pour comprendre

 

  • Figure Les mouvements anormaux et/ou involontaires sont le plus souvent causés par un dysfonctionnement, une lésion ou une pathologie dégénérative des noyaux gris centraux (ou ganglions de la base), dénommés aussi système extrapyramidal (en opposition à la voie centrale de l’exécution volontaire du mouvement dénommée système pyramidal) ou du cervelet.
  • Figure Les ganglions de la base sont responsables de la programmation et de l’exécution automatique des séquences motrices apprises.
  • • Les lésions ou les dysfonctionnements du système cérébello-thalamo-cortical sont parfois impliqués dans la physiopathologie des mouvements anormaux.
  • Figure Les mouvements anormaux sont peu ou pas contrôlés par la volonté.
  • • Le diagnostic positif de ces mouvements anormaux est clinique, mais le diagnostic étio-logique nécessite parfois de faire des examens complémentaires biologiques (y compris génétiques) ou d’imagerie.
  • • La reconnaissance des différents types de mouvements anormaux repose sur l’observation clinique (d’un patient réel, d’une vidéo ou d’un mouvement mimé). Les étudiants pourront se reporter à la vidéothèque du site Internet du Collège des enseignants de neurologie pour visualiser les principales formes sémiologiques de ces mouvements anormaux1.

 

II Différents types de mouvements anormaux

A Tremblement (vidéos 18.1 à 18.5)

Oscillation rythmique involontaire de tout ou partie du corps autour de sa position d’équilibre. On distingue deux grands types de tremblement (fig. 18.1 et vidéos 18.1 à 18.5) :

L'image illustre les manœuvres pour différencier les tremblements de repos, postural et intentionnel en fonction de la posture ou du mouvement, facilitant le diagnostic.

Fig. 18.1 Figure Manœuvres permettant de distinguer un tremblement de repos d’un tremblement d’action (postural et/ou intentionnel).  
Source : remerciements au professeur Emmanuelle Apartis.

Les manœuvres pour distinguer un tremblement de repos d’un tremblement d’action (postural et/ou intentionnel) sont illustrées dans l'image. On y voit trois types de tremblements : de repos, postural et intentionnel. Le tremblement de repos se manifeste lorsque le patient est assis et détendu, sans mouvement volontaire. L'image montre un personnage assis, bras reposant sur une surface, sans activité. Le tremblement postural apparaît quand le patient maintient une position contre la gravité. L'image montre un personnage levant les bras et les maintenant en position, montrant ainsi un tremblement en posture. Le tremblement intentionnel survient lors d’un mouvement volontaire vers une cible. L'image illustre un personnage tendant la main vers un objet, montrant un tremblement pendant le mouvement. Les segments du bras sont numérotés : segment distal (1), segment moyen (2), et segment proximal (3), pour aider à localiser et analyser les tremblements. Ces manœuvres permettent de différencier les types de tremblements en observant les conditions spécifiques où ils se produisent, aidant ainsi à diagnostiquer la nature du tremblement.

 

  • • tremblement de repos : survient sur des muscles au repos (caractéristique du syndrome parkinsonien, plus particulièrement de la maladie de Parkinson) :
  • • tremblement d’action : survient sur des muscles activés (c’est-à-dire à l’action) avec des composantes posturale et intentionnelle souvent associées.

1 304Tremblement de repos (ou tremblement parkinsonien)

 

  • • Présent au repos et disparaissant lors de la contraction musculaire et du sommeil.
  • • Lent (4–6 Hz).
  • • Touchant les membres en distalité, les lèvres ou le menton, jamais le chef et la voix.
  • • Unilatéral ou asymétrique lorsqu’il est bilatéral.
  • • Aggravé par les émotions et l’effort cognitif (calcul mental).
  • • Examiné en position de repos (mains reposant sur un accoudoir chez un patient décontracté). Les mains étant au repos lors de la marche, un tremblement d’une main survenant lors de la marche est habituellement un tremblement parkinsonien (vidéos 18.1 et 18.2, et voir vidéos 18.1Figure à 18.3Figure au chapitre 18 – item 106).
  • • Il est très évocateur d’une maladie de Parkinson (dans ce cas, il est associé au syndrome parkinsonien asymétrique et il existe une bonne réponse au traitement dopaminergique), mais la présence d’un tremblement de repos n’est pas obligatoire pour le diagnostic ou dans le cours évolutif de la maladie de Parkinson (tableau 18.1, vidéos 18.1 et 18.2, et voir vidéos 18.1Figure à 18.3Figure au chapitre 18 – item 106).

    Tableau 18.1

    FigureFigure Principales différences entre le tremblement parkinsonien et le tremblement essentiel.

      Tremblement essentiel Tremblement parkinsonien
    Circonstances de survenue Action (postural, intentionnel) Repos
    Localisation
    • • Bilatéral, symétrique
    • • Peut toucher le chef, la voix
    • • Unilatéral ou asymétrique
    • • Épargne le chef (la tête), peut toucher la langue ou les lèvres
    Fréquence Rapide (6 à 10 cycles/secondes) Lent (4 à 6 cycles/secondes)
    Autres caractéristiques
    • • Contexte familial
    • • Parfois amélioré par l’alcool
    • • Absence de signes extrapyramidaux
    • • Le plus souvent sporadique
    • • Amélioré par la L-dopa et associé à un syndrome akinéto-hypertonique
    DaTSCAN® ou TEP à la fluoro-dopa Normal Dénervation dopaminergique présynaptique

    image

    TEP : tomographie à émission de positons.

  • • Il peut être lié à d’autres causes de syndrome parkinsonien, en particulier la maladie de Wilson ou le syndrome parkinsonien iatrogène le plus souvent dû aux neuroleptiques prescrits comme antipsychotiquess mais aussi cachés (non prescrits comme antipsychotiques), justifiant la recherche systématique de prise de ces médicaments (tableau 18.2). En cas de syndrome parkinsonien lié à un antipsychotique, celui-ci doit être arrêté dans la mesure du possible et remplacé si nécessaire par la clozapine (Leponex® – qui nécessite de faire une NFS toutes les semaines pendant 18 semaines puis tous les mois tant que le traitement est poursuivi en raison du risque d’agranulocytose).

    Tableau 18.2

    Figure Principaux neuroleptiques cachés et autres médicaments pouvant induire un syndrome parkinsonien.

    Classe thérapeutique DCI Nom commercial
    Antinauséeux Métoclopramide Primpéran®
    Métopimazine Vogalène®
    Inhibiteur calcique Flunarizine Sibélium®
    Antihistaminique Alimémazine Théralène®
    Méquitazine Primalan®
    Antiangineux Trimétazidine Vastarel®
    Thymorégulateur Lithium Téralithe®
    Antiarythmique Amiodarone Cordarone®
    Antiépileptique Valproate Dépakine®

    image

    Ne pas hésiter à se référer au Vidal ou à solliciter une unité de pharmaco-vigilance. DCI : dénomination commune internationale.

  • Figure Une scintigraphie cérébrale au DaTSCAN® (ligand du transporteur de la dopamine, présent sur le neurone présynaptique de la synapse dopaminergique) ou une TEP à la fluoro-dopa ne doivent être effectuées que s’il existe un doute entre un tremblement par-kinsonien lié à une maladie de Parkinson et un tremblement parkinsonien lié aux neuroleptiques (DaTSCAN® anormal avec dénervation dopaminergique nigro-striatale en cas de maladie de Parkinson mais normal en cas de prise d’antipsychotique : fig. 18.2).

    La scintigraphie cérébrale DaTSCAN montre une réduction des transporteurs de dopamine dans le striatum chez les patients parkinsoniens, facilitant le diagnostic.

    Fig. 18.2 Figure Scintigraphie cérébrale au DaTSCAN®.  
    A. Fixation dopaminergique nigro-striatale normale chez un sujet sain ou dans le cas d’un syndrome parkinsonien lié aux antipsychotiques (de même que dans le tremblement essentiel). B. Dénervation dopaminergique nigro-striatale avec hypofixation bilatérale prédominant à droite (flèche) du DaTSCAN® dans la maladie de Parkinson.

    La scintigraphie cérébrale au DaTSCAN est une technique d'imagerie médicale pour visualiser la densité des transporteurs de dopamine. L'image se divise en deux parties : A et B. Dans l'image A, on voit un cerveau sain. Les zones rouges indiquent une forte densité de transporteurs de dopamine dans le striatum, une région clé pour le contrôle des mouvements. Dans l'image B, on voit un cerveau atteint de la maladie de Parkinson. Les zones rouges sont réduites, montrant une diminution de la densité des transporteurs de dopamine dans le striatum. Cela reflète la perte de cellules productrices de dopamine, typique de la maladie de Parkinson. Ces images aident à différencier les troubles parkinsoniens des autres causes de tremblements et de troubles du mouvement, en visualisant clairement les changements dans la densité des transporteurs de dopamine.

  • • 305306Figure Si le diagnostic de maladie de Parkinson est fortement suspecté et qu’il s’agit d’un individu âgé de plus de 40 ans, aucun examen complémentaire n’est nécessaire.
  • • À l’inverse, une IRM cérébrale et un bilan cuprique comprenant cuprémie, céruléoplasmi-némie, ratio cuivre échangeable/cuivre total (relative exchangeable copper ou REC) et cupru-rie des 24 heures sont nécessaires avant 40 ans pour éliminer une maladie de Wilson.
  • • Le traitement de la maladie de Parkinson est abordé dans le chapitre 17 – item 106.

2 Tremblement d’action

 

  • • Présent lors du maintien d’une posture (tremblement postural), dans le mouvement (tremblement cinétique) et/ou de l’arrivée à la cible (tremblement intentionnel).
  • • Le tremblement essentiel (vidéo 18.4Figure), affection un peu plus fréquente que la maladie de Parkinson, en est la cause la plus fréquente. Il s’agit d’un tremblement d’action, à la fois postural, cinétique et intentionnel (vidéo 18.5Figure) qui évolue lentement sur plusieurs années, parfois plusieurs décennies. Il est mis en évidence lorsque le patient écrit, reproduit une spirale, maintient une posture comme tendre les mains devant lui (manœuvre des bras tendus appelée aussi manœuvre du serment) ou rapprocher sans qu’ils ne se touchent ses index à l’horizontale (manœuvre du bretteur), fait une action comme verser de l’eau d’un verre à l’autre (épreuve des verres) ou tient une note à voix haute (tremblement de la voix). Il peut être handicapant dans la réalisation des gestes de la vie quotidienne (comme manger) et/ou peut provoquer une gêne psychosociale.
  • • Le tremblement essentiel est habituellement bilatéral et symétrique, d’une fréquence de 6 à 12 Hz, touchant les membres supérieurs, le chef (la tête) (vidéo 18.4Figure), la voix et les membres inférieurs. Il est volontiers amélioré par la prise d’alcool mais aggravé par les émotions et la caféine. Il existe souvent des antécédents familiaux de tremblement essentiel (tableau 18.1).
  • • En cas de doute entre un tremblement lié à la maladie de Parkinson et un tremblement essentiel, un DaTSCAN® peut être effectué (il est normal dans le tremblement essentiel), afin d’aider au diagnostic et de commencer un traitement adapté. L’IRM cérébrale est normale dans le tremblement essentiel et ne doit pas être pratiquée quand le tableau est typique.
  • Figure Les traitements les plus efficaces, à débuter s’il existe un retentissement fonctionnel et/ou une gêne psychosociale, sont le bêtabloquant propranolol (Avlocardyl®, 40 à 160 mg/jour) et le barbiturique primidone (Mysoline®, 50 à plus de 500 mg/jour), les antiépileptiques topira-mate (Epitomax®) ou gabapentine (Neurontin®) et la benzodiazépine alprazolam (Xanax®).
  • Figure Dans les formes sévères pour lesquelles le traitement est inefficace ou non toléré, un traitement chirurgical par stimulation électrique chronique à haute fréquence du noyau intermédioventral (Vim) au niveau du thalamus peut être proposé, voire une thalamotomie par gamma knife ou par ultrasons focalisés à haute intensité.

3 Tremblement cérébelleux

 

  • Figure Il s’agit d’un tremblement d’action qui apparaît ou est maximal lors de l’arrivée à la cible (tremblement intentionnel).
  • • Sa fréquence est d’environ 3 Hz. Il est mis en évidence lors d’une action avec intention (boire un verre d’eau, épreuve doigt–nez).
  • • D’autres symptômes cérébelleux peuvent être identifiés : dysarthrie (vidéos 18.6Figure et 18.7Figure), hypermétrie (vidéos 18.8Figure et 18.9Figure) aux manœuvres doigt–nez et talon–genou, asynergie (vidéo 18.9Figure), dyschronométrie, hypotonie, ataxie cérébelleuse avec instabilité et embardées, une danse des tendons à la station debout sans aggravation lors de l’occlusion des yeux (manœuvre de Romberg négative, contrairement à l’ataxie proprioceptive avec signe de Romberg positif : vidéo 18.10) et troubles de la marche et de l’équilibre (vidéos 18.11 et 18.12Figure). La marche cérébelleuse est caractérisée par un élargissement du polygone de 307sustentation, des embardées en tous sens, une instabilité et une incoordination des mouvements.
  • • L’apparition aiguë d’un syndrome cérébelleux justifie d’effectuer en urgence une imagerie cérébrale à la recherche d’un accident vasculaire cérébral ischémique ou hémorragique cérébelleux, qui peut être à l’origine d’une compression du quatrième ventricule responsable d’une hydrocéphalie et d’une hypertension intracrânienne.
  • • De même, un syndrome cérébelleux aigu justifie de doser/supplémenter la vitamine B1 pour rechercher/traiter une encéphalopathie de Gayet-Wernicke.
  • • Les principales causes de syndromes cérébelleux aigus, subaigus et chroniques ainsi que les principaux examens complémentaires correspondants sont indiqués dans le tableau 18.3.

    Tableau 18.3

    Figure Principales causes de syndromes cérébelleux aigus, subaigus et chroniques, et leurs principaux examens complémentaires.

    Aigus Subaigus Chroniques
    • • Accident vasculaire cérébral ischémique ou hémorragique (imagerie cérébrale)
    • • Encéphalopathie de Gayet-Wernicke (vitamine B1, imagerie cérébrale)
    • • Poussée de sclérose en plaques (imagerie cérébrale, ponction lombaire pour examen du LCS)
    • • Abcès cérébelleux ou cérébellite varicelleuse, listérienne, SARS-CoV2 ou tuberculeuse (imagerie cérébrale, ponction lombaire pour examen du LCS)
    • • Intoxication à la carbamazépine, l’hydantoïne (dosage sanguin), la 5-fluoro-uracile ou la cytarabine, le lithium, le métronidazole
    • • Intoxication alcoolique aiguë (dosage sanguin)
    • • Tumeur de la fosse postérieure : métastase, astrocytome, hémangioblastome (imagerie cérébrale)
    • • Syndrome paranéoplasique (dosage des anticorps onconeuraux, scanner thoraco-abdomino-pelvien, examen du LCS, TEP-scan au FDG du corps entier)
    • • Encéphalites auto-immunes non paranéoplasiques
    • • Maladies auto-immunes systémiques (lupus, syndrome de Gougerot-Sjögren)
    • • Vascularites et autres maladies inflammatoires (maladie de Behçet, maladie de Wegener)
    • • Maladie de Creutzfeldt-Jakob (IRM cérébrale, EEG, ponction lombaire pour examen du LCS)
    • • Maladies infectieuses (tuberculose, maladie de Lyme, syphilis, VIH)
    • • Intoxication alcoolique chronique (bilan hépatique)
    • • Sclérose en plaques (imagerie cérébrale)
    • • Dégénératifs :
    • – acquis : atrophie multi-systématisée (imagerie cérébrale, test d’hypotension orthostatique)
    • – héréditaires : maladie de Wilson (imagerie cérébrale, bilan cuprique, analyse génétique)
    • – maladie de Friedreich et autres atteintes cérébelleuses d’origine génétique (analyse génétique)
    • • Malformation d’Arnold-Chiari (imagerie cérébrale)
    • • Dysthyroïdie (dosage TSH)

    image

    EEG : électroencéphalogramme; FDG : fluorodéoxyglucose; IRM : imagerie par résonance magnétique; LCS : liquide cérébrospinal; SARS-CoV2 : severe acute respiratory syndrome Coronavirus 2 ; TEP : tomographie à émission de positons; TSH : thyroid stimulating hormone ; VIH/ virus de l’immunodéficience humaine.

  • • Le traitement du tremblement cérébelleux repose principalement sur sa cause, aucun traitement symptomatique n’existe à ce jour. Les mesures rééducatives sont primordiales (kinésithérapie, ergothérapie, etc.).

4 308Exagération du tremblement physiologique

De nombreux médicaments (amiodarone, amytriptilline, antidépresseurs, salbutamol, theophylline, tacrolimus, interferon, ciclosporine) ou circonstances particulières (hyperthyroïdie : dosage de la TSH; consommation excessive de caféine) peuvent provoquer une exagération du tremblement physiologique (qui est un phénomène normal, d’origine musculaire, non lié à une atteinte du système nerveux central), qui peut alors être confondu avec un tremblement d’une autre nature.

5 309Tremblement fonctionnel (ou psychogène)

Il s’agit d’un tremblement qui ne correspond à aucune des pathologies neurologiques décrites ci-dessus. Il est habituellement caractérisé par un début brutal (souvent dans un contexte émotionnel ou chez un patient avec des antécédents de psychotraumatisme), une distractibilité (lors d’une tâche concurrente, le tremblement disparaît ou se modifie), un entraînement en fréquence (lors d’une tâche motrice effectuée par le membre controlatéral à une fréquence donnée, le tremblement a tendance à adopter la même fréquence). Il peut être présent à la fois au repos et à l’action (ce qui est inhabituel), disparaître spontanément, présenter un caractère polymorphe et des atypies (anomalies neurologiques non systématisables, discordantes ou incongruentes). Il survient volontiers chez une personne ayant des antécédents de somatisation.

B Chorée

Mouvement brusque, aléatoire, non stéréotypé, anarchique, souvent à type de rotation ou de flexion/extension, arythmique, sans finalité, touchant des territoires variés (visage, cou, tronc, membres), présent au repos et à l’action, survenant sur un fond d’hypotonie (vidéos 18.13Figure et 18.14Figure).

Quand ce type de mouvement est proximal (touchant les racines des membres) et présente une grande amplitude, on parle de ballisme (le plus souvent lié à une lésion vasculaire du noyau subthalamique) (vidéo 18.15Figure).

La chorée peut être chronique et, dans ce cas, la cause en est le plus souvent une maladie dégénérative d’origine génétique telle que la maladie de Huntington. Lorsqu’elle est aiguë ou subaiguë, il faut chercher une cause acquise.

1 Maladie de Huntington

 

  • Figure Il s’agit d’une pathologie héréditaire, de transmission autosomique dominante et de pénétrance complète, liée à une expansion (nombre anormalement élevé) de triplets CAG sur le gène HTT codant la protéine huntingtine sur le chromosome 4, détectée par une analyse génétique. Plus le nombre de triplets CAG est élevé, plus la maladie débute tôt et est sévère.
  • Figure Les signes cliniques regroupent des mouvements anormaux, des troubles psychiatriques et des troubles cognitifs.
  • • Les mouvements anormaux correspondent avant tout à une chorée s’étendant de façon progressive pouvant toucher les mains, les pieds, le visage et le tronc. Quand la maladie évolue, des mouvements anormaux dystoniques et un syndrome parkinsonien peuvent apparaître.
  • • Les troubles psychiatriques concernant souvent l’humeur et/ou le comportement correspondent initialement à une modification de la personnalité, une désinhibition, une dépression, une anxiété, parfois une tentative de suicide ou une psychose.
  • • Il s’y associe une détérioration cognitive sous-cortico-frontale avec un syndrome dysexécutif évoluant vers la démence. Apathie (manque d’intérêt et de motivation) et anosognosie sont fréquentes.
  • • Il existe le plus souvent des antécédents familiaux. Plus rares sont les formes d’allure spora-dique, qui peuvent induire en erreur, en cas de décès précoce d’un des parents (censure), de fausse paternité ou d’anticipation (c’est-à-dire avec un âge de début de la maladie plus précoce dans la nouvelle génération).
  • • L’évolution se fait de façon inéluctable vers le décès du patient avec une perte progressive de l’autonomie, la grabatisation, la démence avec des troubles de l’élocution et de la déglutition.
a Examens complémentaires
IRM cérébrale

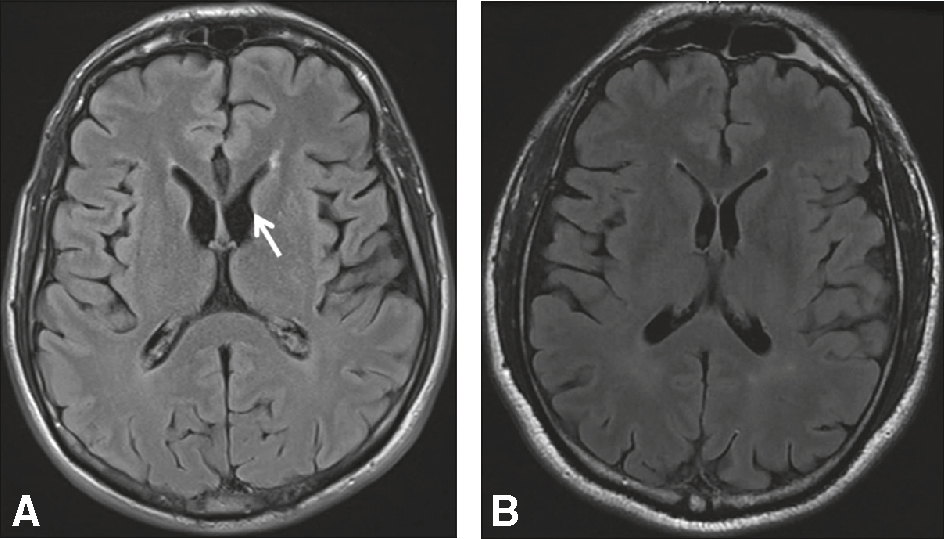
Figure Atrophie des noyaux caudés (fig. 18.3).

Les images IRM montrent une atrophie du noyau caudé, caractéristique de la maladie de Huntington, une maladie neurodégénérative affectant les capacités motrices et cognitives.

Fig. 18.3 Figure Maladie de Huntington. IRM cérébrale (séquence T2/FLAIR, coupe axiale).  
A. Atrophie modérée du striatum gauche (flèche) dans une forme débutante. B. Patient contrôle.

La maladie de Huntington est une affection neurodégénérative héréditaire qui affecte principalement les capacités motrices, cognitives et psychiatriques. L'image montre des coupes transversales du cerveau obtenues par IRM. L'image A met en évidence une atrophie du noyau caudé, indiquée par une flèche, caractéristique de la maladie de Huntington. L'image B montre une autre coupe du cerveau avec des caractéristiques similaires. Cette atrophie est due à la dégénérescence des neurones dans certaines régions du cerveau, entraînant des mouvements involontaires, des troubles de la coordination, des difficultés de mémoire et de pensée, ainsi que des changements de comportement. La maladie est causée par une mutation génétique sur le chromosome 4. Les symptômes apparaissent généralement entre 30 et 50 ans et progressent lentement mais inévitablement. Les images IRM sont utilisées pour diagnostiquer et suivre l'évolution de la maladie en visualisant les changements structurels dans le cerveau. En résumé, les images montrent des signes d'atrophie cérébrale caractéristiques de la maladie de Huntington, permettant de comprendre l'impact de cette maladie sur le cerveau.

Test génétique

 

  • • Le test génétique est effectué chez le sujet symptomatique après signature d’un consentement éclairé écrit, révocable à tout moment.
  • • Nécessité d’un conseil génétique (donner des informations sur la maladie, ses risques de transmission et les mesures qui peuvent être prises pour limiter ce risque) pour les apparentés à risque d’être porteurs de la mutation avec possibilité d’un diagnostic présymptomatique chez les apparentés majeurs à risque et désireux de s’engager dans cette démarche, à l’issue d’une procédure multidisciplinaire dans un centre spécialisé.
  • • Possibilité de diagnostic prénatal, voire de diagnostic préimplantatoire, quand le parent est atteint ou porteur de la mutation.
b Traitement

 

  • • Uniquement symptomatique.
  • • Troubles psychiatriques : antipsychotiques atypiques de type olanzapine (Zyprexa®), aripi-prazole (Abilify®), pimozide (Orap®), rispéridone (Risperdal®).
  • • Chorée : tétrabénazine (Xénazine®), ou antipsychotiques atypiques ou typiques halopéridol (Haldol®), tiapride (Tiapridal®).
  • • Dépression : antidépresseurs inhibiteurs de la recapture de la sérotonine, thymorégula-teurs, antipsychotiques atypiques.
  • • Anxiété, insomnie : anxiolytiques et/ou hypnotiques.
  • • Prise en charge multidisciplinaire (ALD, sociale, kinésithérapie, orthophonie, ergothérapie, diététicien, soutien psychologique du patient et des aidants).

2 Autres chorées

a Vasculaires

Responsables d’un tableau d’hémichorée aiguë (voire d’hémiballisme) souvent transitoire (quelques heures à quelques semaines) liée à un infarctus dans le territoire de l’un des noyaux gris centraux; par exemple :

 

  • • le striatum, responsable d’une hémichorée controlatérale;
  • • 310le noyau subthalamique (appelé aussi corps de Luys), responsable d’un hémiballisme controlatéral.
b Médicamenteuses

L-dopa et agonistes dopaminergiques (responsables des dyskinésies de pic de dose appelées aussi dyskinésies de milieu de dose : vidéo 18.16Figure), antipsychotiques (notamment dyskinésies bucco-facio-masticatoires : vidéo 18.17Figure), antiépileptiques, lithium, inhibiteurs calciques, cocaïne, amphétamines ou toxique (monoxyde de carbone).

c Endocriniennes

Contraception orale, grossesse (dosage β-HCG).

d Métaboliques

Thyréotoxicose (dosage de la TSH), hyperglycémie sans cétose (doser la glycémie).

e Infectieuses

Infectieuses (VIH, toxoplasmose, maladie de Creutzfeldt-Jakob) ou post-infectieuses (cho-rées de Sydenham, qui correspondent à la survenue d’une chorée dans les semaines suivant une angine streptococcique non traitée par antibiotique : rechercher les anticorps anti-streptolysine O et anti-streptodornase).

f Inflammatoires et auto-immunes

Lupus (parfois responsable de l’hémichorée lupique), syndrome des antiphospholipides (doser les anticorps antiphospholipides, les anticorps antinucléaires), thyroïdite d’Hashimoto (doser la TSH et les anticorps anti-TPO).

g De cause paranéoplasique

Rechercher les anticorps onconeuraux et un cancer.

C Dystonie

Figure Contractions musculaires involontaires, prolongées, responsables d’une posture anormale et/ou de mouvements répétitifs et stéréotypés, aggravées par les mouvements au voisinage de la zone atteinte. Il peut donc s’agir d’une posture et/ou d’un mouvement anormal.

 

  • • Dystonie focale :

    • – un segment du corps est atteint (vidéo 18.18Figure) :

      • – torticolis spasmodique, aussi appelé dystonie cervicale, caractérisé par une torsion du cou (vidéo 18.19Figure),
      • – blépharospasme lié à une dystonie des muscles orbiculaires des paupières et caractérisé par des occlusions anormales, itératives et prolongées des paupières (vidéo 18.20Figure);
      • – ces dystonies focales peuvent être traitées par des injections focales de toxine botulique.
  • • Dystonie de fonction : la dystonie focale survient lors d’un geste ou d’une fonction particulière (par exemple, crampe de l’écrivain, crampe du musicien). Les dystonies de fonction, comme les autres dystonies focales, peuvent être traitées par injections de toxine botulique.
  • • 311Hémidystonie : atteinte d’un hémicorps.
  • • Dystonie généralisée : atteinte d’au moins un membre inférieur et du tronc.

Devant une dystonie, il faut systématiquement rechercher la prise de neuroleptiques (parfois cachés), faire une enquête familiale (causes héréditaires fréquentes), faire un bilan cuprique à la recherche d’une maladie de Wilson et une IRM cérébrale à la recherche notamment d’une anomalie des ganglions de la base.

Figure Un traitement par L-dopa doit toujours être tenté car il existe des formes de dystonies sensibles à la L-dopa. La trihexyphénydile (Artane®) peut être essayée chez les sujets de moins de 60 ans. Les benzodiazépines (clonazépam : Rivotril®; diazépam : Valium®) ou la tétrabéna-zine (Xenazine®) peuvent parfois avoir une certaine efficacité.

Dans certaines formes de dystonie généralisée ou de dystonie focale sévère résistante aux injections de toxine botulique, la stimulation électrique chronique à haute fréquence du palli-dum interne peut être proposée.

D Myoclonies

Figure Secousses musculaires brusques prenant leur origine au niveau du système nerveux central. Elles peuvent être segmentaires (focales ou multifocales) ou généralisées, isolées (arythmiques) ou répétitives (rythmiques, pouvant donner l’impression d’un tremblement, mais irrégulier). Ces secousses musculaires sont des myoclonies positives, alors que les myoclonies négatives sont de brusques résolutions du tonus musculaire (comme dans l’astérixis ou flapping tremor : vidéo 18.21), souvent observées dans les encéphalopathies métaboliques (notamment J\J hépatiques) ou toxiques. Les myoclonies peuvent être d’origine corticale, sous-corticale (liées à un dysfonctionnement des ganglions de la base), réticulaire pontique ou spinale.

Figure Des myoclonies peuvent être rencontrées dans de très nombreuses affections neurologiques telles que les :

 

  • • encéphalopathies métaboliques (hépatique, respiratoire, rénale), toxiques ou infectieuses :

    • – pathologies neurodégénératives : toute maladie neurodégénérative peut être accompagnée de myoclonies. Elles sont fréquentes dans l’atrophie multisystématisée, la dégénérescence cortico-basale et la maladie de Creutzfeldt-Jakob;
  • • épilepsies myocloniques :

    • – causes iatrogènes médicamenteuses (antidépresseurs, inhibiteurs de la recapture de la sérotonine, L-dopa, valproate).

La conduite à tenir devant une myoclonie est complexe, elle dépend des caractéristiques des myoclonies (voir plus loin) et varie selon que les myoclonies sont au premier plan du tableau (myoclonies iatrogènes) ou plus anecdotiques (en cas d’encéphalopathie, par exemple) avec des signes associés (hyperthermie, épilepsie, démence). Il convient systématiquement de :

 

  • • envisager une cause toxique;
  • • pratiquer : ionogramme sanguin, bilan hépatique, rénal, ammoniémie, gazométrie artérielle, glycémie;
  • • faire une IRM cérébrale (notamment en cas de myoclonies diffuses, focales ou latéralisées), voire médullaire (myoclonies des membres inférieurs);
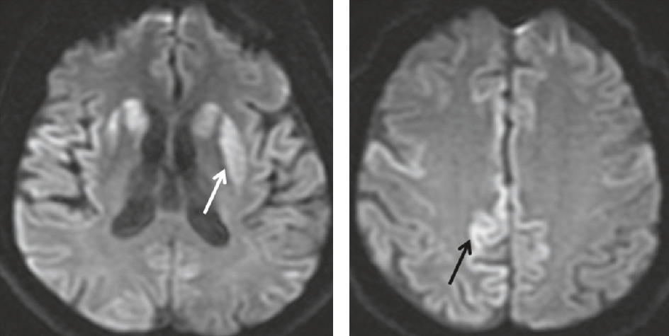
  • • discuter un EEG, une ponction lombaire pour étude du LCS en cas d’hyperthermie faisant suspecter une encéphalite ou en cas de suspicion de maladie de Creutzfeldt-Jakob : recherche de protéine 14-3-3 dans le LCS, d’hypersignaux corticaux et des ganglions de la base en IRM de diffusion (fig. 18.4) et d’activité périodique à l’EEG.

    Les hypersignaux du putamen gauche et du cortex sur l'IRM, caractéristiques de la maladie de Creutzfeldt-Jakob, signalent des lésions cérébrales dans les régions motrices et cognitives.

    Fig. 18.4 Figure Hypersignaux des ganglions de la base et notamment du putamen gauche (flèche blanche), ainsi que du cortex (flèche noire) dans une maladie de Creutzfledt-Jakob (séquence T2/FLAIR).

    L'image montre des hypersignaux des ganglions de la base, en particulier du putamen gauche (indiqué par une flèche blanche sur l'image A), ainsi que du cortex (indiqué par une flèche noire sur l'image B) dans le cadre d'une maladie de Creutzfeldt-Jakob. Ces images sont obtenues par séquence T2/FLAIR, une technique d'imagerie par résonance magnétique (IRM) qui permet de visualiser les anomalies du cerveau. La maladie de Creutzfeldt-Jakob est une maladie neurodégénérative rare et fatale, caractérisée par une détérioration rapide des fonctions cognitives et motrices. Les hypersignaux observés sur ces images sont des indicateurs de lésions cérébrales spécifiques à cette maladie. Le putamen et le cortex sont des régions du cerveau impliquées dans le contrôle des mouvements et des fonctions cognitives. Les anomalies dans ces zones peuvent expliquer certains des symptômes observés chez les patients atteints de la maladie de Creutzfeldt-Jakob, tels que des troubles de la mémoire, des changements de comportement et des difficultés motrices. Ces images sont cruciales pour le diagnostic et la compréhension de cette maladie.

E 312Tic

A Mouvement soudain, bref, intermittent, stéréotypé sans but (aspect de « caricature de geste normal »), répétitif. Il peut être précédé d’une sensation prémonitoire (sensation interne de besoin de bouger précédant le tic, souvent soulagé par la réalisation du tic) et est contrôlable par la volonté pendant quelques secondes ou minutes au prix d’une tension interne croissante et d’un phénomène de rebond survenant après l’effort de contrôle.

Le tic moteur peut être simple et ne toucher que quelques muscles (clignement des yeux, secousse de la tête, haussement des épaules, etc.) ou être complexe et correspondre à une séquence motrice élaborée (mettre sa main droite sous l’aisselle gauche et faire une adduction de l’épaule gauche pour écraser la main droite).

Les tics peuvent aussi être vocaux (cri, reniflement, raclement de gorge, expiration forcée, etc.) avec, rarement, production de mots obscènes appelée coprolalie.

Les tics peuvent être bénins et isolés, transitoires ou chroniques, survenant le plus souvent dans l’enfance et ne pas compromettre l’adaptation socioprofessionnelle, ou correspondre au syndrome de Gilles de la Tourette défini par la combinaison de tics moteurs et vocaux simples et complexes présents tous les jours, ayant un retentissement sur le fonctionnement du patient et son adaptation socioprofessionnelle, et parfois associés à des comorbidités (syndrome de déficit attentionnel avec ou sans hyperactivité, anxiété, troubles obsessionnels compulsifs, dépression, automutilations ou troubles du spectre autistique).

Le diagnostic positif de tic repose sur la clinique, de même que le diagnostic de syndrome de Gilles de la Tourette.

Figure Le traitement du syndrome de Gilles de la Tourette est symptomatique et multidisciplinaire et doit être adapté à la gêne. Une abstention thérapeutique peut être proposée quand la gêne causée par les tics est absente ou minime. En cas de gêne modérée à sévère, un traitement par antipsychotique atypique de type aripiprazole (Abilify®) peut être proposé. Un traitement adapté aux comorbidités (antidépresseur, anxiolytique, amphétamine) peut aussi être proposé. Une psychothérapie (notamment une thérapie cognitivo-comportementale) ainsi qu’une prise en charge du retentissement social du trouble et de ses comorbidités sont le plus souvent indispensables.

F 313Dyskinesie

Littéralement, il s’agit d’un mouvement anormal, sans plus de précision. Il peut mêler différentes composantes précédemment citées. Le plus souvent, il s’agit de mouvements cho-réiques et/ou dystoniques. Le terme de dyskinésie est habituellement réservé soit :

 

  • • aux mouvements anormaux involontaires induits par la L-dopa dans la maladie de Parkinson : dyskinésies de pic de dose (ou de milieu de dose : vidéo 18.16) ou dyskinésies biphasiques (de début ou de fin de dose);
  • • aux dyskinésies induites par les antipsychotiques, parmi lesquelles on distingue :
  • • les dyskinésies aiguës : dystonie cervicale, crises oculogyres, trismus, plus volontiers chez les sujets jeunes et à traiter par injection d’anticholinergique de type tropatépine (Lepticur®) 10 mg en intramusculaire ou en intraveineuse lente,
  • • les dyskinésies tardives lors de cures prolongées : dyskinésies bucco-facio-masticatoires à l’origine de troubles de la phonation, de la déglutition et d’un mauvais état dentaire (vidéo 18.17) difficiles à traiter,
  • • l’akathisie : piétinement incessant.

 

 

image Compléments numériques

Des compléments numériques sont associés à ce chapitre. Ils proposent des vidéos indiquées dans le texte par un picto. Pour voir ces compléments, connectez-vous sur http://www.emconsulte/e-complement/478607 et suivez les instructions.

Vidéo 18.1. A Tremblement de repos des membres supérieurs.

Source : vidéothèque du Collège des enseignants de neurologie (https://www.cen-neurologie.fr/videotheque).

Vidéo 18.2. A Tremblement de repos des membres inférieurs.

Source : vidéothèque du Collège des enseignants de neurologie (https://www.cen-neurologie.fr/videotheque).

Vidéo 18.3. A Tremblement d’attitude.

Source : vidéothèque du Collège des enseignants de neurologie (https://www.cen-neurologie.fr/videotheque).

Vidéo 18.4. A Tremblement de la tête (tremblement essentiel).

Source : vidéothèque du Collège des enseignants de neurologie (https://www.cen-neurologie.fr/videotheque).

Vidéo 18.5. A Tremblement d’attitude et d’action.

Source : vidéothèque du Collège des enseignants de neurologie (https://www.cen-neurologie.fr/videotheque).

Vidéo 18.6. A Ataxie et dysarthrie cérébelleuses.

Source : vidéothèque du Collège des enseignants de neurologie (https://www.cen-neurologie.fr/videotheque).

Vidéo 18.7. A Dysarthrie et hypermétrie cérébelleuses.

Source : vidéothèque du Collège des enseignants de neurologie (https://www.cen-neurologie.fr/videotheque).

Vidéo 18.8. A Hypermétrie cérébelleuse.

Source : vidéothèque du Collège des enseignants de neurologie (https://www.cen-neurologie.fr/videotheque).

Vidéo 18.9. B Asynergie.

Vidéo 18.10. A Signe de Romberg positif.

Source : vidéothèque du Collège des enseignants de neurologie (https://www.cen-neurologie.fr/videotheque).

Vidéo 18.11. A Forme modérée de syndrome cérébelleux.

Source : vidéothèque du Collège des enseignants de neurologie (https://www.cen-neurologie.fr/videotheque).

Vidéo 18.12. A Marche cérébelleuse.

Source : vidéothèque du Collège des enseignants de neurologie (https://www.cen-neurologie.fr/videotheque).

315Vidéo 18.13. A Chorée.

Source : vidéothèque du Collège des enseignants de neurologie (https://www.cen-neurologie.fr/videotheque).

Vidéo 18.14. A Marche choréique.

Source : vidéothèque du Collège des enseignants de neurologie (https://www.cen-neurologie.fr/videotheque).

Vidéo 18.15. A Mouvements choréïques hémicorporels.

Source : vidéothèque du Collège des enseignants de neurologie (https://www.cen-neurologie.fr/videotheque).

Vidéo 18.16. A Dyskinésies de pic de dose.

Source : vidéothèque du Collège des enseignants de neurologie (https://www.cen-neurologie.fr/videotheque).

Vidéo 18.17. A Dyskinésies bucco-faciales.

Source : vidéothèque du Collège des enseignants de neurologie (https://www.cen-neurologie.fr/videotheque).

Vidéo 18.18. B Dystonie du pied.

Source : vidéothèque du Collège des enseignants de neurologie (https://www.cen-neurologie.fr/videotheque).

Vidéo 18.19. B Dystonie cervicale (ou torticolis spasmodique).

Vidéo 18.20. B Dystonie focale (blépharospasme).

Source : vidéothèque du Collège des enseignants de neurologie (https://www.cen-neurologie.fr/videotheque).

Vidéo 18.21. A Flapping tremor (astérixis).

Source : vidéothèque du Collège des enseignants de neurologie (https://www.cen-neurologie.fr/videotheque).