Situations de départ
62 Troubles de déglutition ou fausse route.
64 Vertige et sensation vertigineuse.
66 Apparition d’une difficulté à la marche.
71 Douleur d’un membre (supérieur ou inférieur).
74 Faiblesse musculaire.
121 Déficit neurologique sensitif et/ou moteur.
127 Paralysie faciale.
130 Troubles de l’équilibre.
134 Troubles du langage et/ou phonation.
138 Anomalie de la vision.
143 Diplopie.
172 Traumatisme crânien.
183 Analyse du liquide cérébrospinal (LCS).
226 Découverte d’une anomalie du cerveau à l’examen d’imagerie médicale.
227 Découverte d’une anomalie médullaire ou vertébrale à l’examen d’imagerie médicale.
247 Prescription d’une rééducation.
248 Prescription et suivi d’un traitement par anticoagulant et/ou anti-agrégant.
Objectifs pédagogiques
Diagnostiquer un déficit neurologique récent.
Identifier les situations d’urgence et connaître les principes de prise en charge.
Hiérarchisation des connaissances
| Rang | Rubrique | Intitulé | Descriptif |
|---|---|---|---|
| Définition | Définir la notion de déficit neurologique focal versus trouble cérébral diffus | ||
| Diagnostic positif | Reconnaître un déficit récent de cause non neurologique (diagnostic différentiel) | Ostéoarticulaire, vasculaire périphérique, atteinte sensorielle (ORL, ophtalmologique) | |
| Diagnostic positif | Connaître les arguments en faveur d’un déficit récent d’origine somatomorphe | Territoire non anatomique, discordances à l’examen, variabilité des plaintes, comportement non approprié | |
| Diagnostic positif | Distinguer un déficit neurologique récent d’origine périphérique ou centrale | ||
| Diagnostic positif | Connaître la démarche diagnostique syndromique et topographique devant un déficit neurologique récent | ||
| Examens complémentaires | Connaître les indications des examens d’imagerie devant un déficit neurologique récent | ||
| Étiologies | Connaître les principales causes des déficits neurologiques récents centraux | AVC, compression médullaire, traumatisme crânien compliqué, cause infectieuse (méningo-encéphalite, abcès cérébral), état de mal partiel, encéphalopathie | |
| Étiologies | Connaître les principales causes des déficits neurologiques récents périphériques | Syndrome de la queue de cheval, syndrome de Guillain-Barré, mononeuropathie multiple, compression de nerf périphérique, myasthénie | |
| Diagnostic positif | Reconnaître un déficit récent par atteinte de la jonction neuromusculaire ou du muscle | Myasthénie, myosite, rhabdomyolyse | |
| Examens complémentaires | Hiérarchiser les examens complémentaires non radiologiques devant un déficit neurologique récent | ||
| Identifier une urgence | Face à un déficit neurologique récent, identifier une situation d’urgence et connaître les principes de prise en charge | ||
| Étiologies | Connaître les principales causes de déficit neurologique récent transitoire | AIT, crise épileptique partielle, aura migraineuse, hypoglycémie |

51
Un déficit neurologique est la perte d’une fonction liée à une dysfonction temporaire (déficit transitoire) ou lésionnelle (déficit permanent) d’une région du système nerveux. Il est à distinguer d’une souffrance globale du cerveau comme dans les pertes de connaissance, les comas ou dans les syndromes confusionnels, thèmes développés dans d’autres chapitres de cet ouvrage.
Un déficit neurologique récent (moins de 1 mois) est un motif fréquent de consultation aux urgences et en neurologie.
Un déficit neurologique récent témoigne le plus souvent d’une atteinte du système nerveux central, mais il peut aussi être causé par une atteinte du système nerveux périphérique, de la jonction neuromusculaire ou musculaire.
Un déficit neurologique récent peut signer un problème neurologique grave nécessitant un traitement spécifique et urgent, mais peut aussi être un mode d’entrée dans une maladie neurologique chronique.
I Identification du déficit neurologique, diagnostic syndromique et topographique
L’interrogatoire et l’examen clinique précisent la nature du déficit qui peut être moteur, sensi-tif, cérébelleux, sensoriel (vision, etc.) ou cognitif (aphasie, etc.).
L’analyse des signes fonctionnels doit être précise; certains termes utilisés par le patient peuvent avoir des significations diverses :
- • un « engourdissement » peut traduire une atteinte sensitive ou motrice;
- • un « vertige » peut aussi bien être un vertige vrai qu’une lipothymie. L’examen clinique est orienté par les symptômes.
L’analyse des symptômes et l’examen clinique permettent d’établir un diagnostic syndromique et topographique.
A Diagnostic syndromique et topographique
-
• L’atteinte peut siéger sur :
- – le système nerveux central : la lésion est alors soit encéphalique (cérébrale ou du tronc cérébral), soit médullaire;
- – le système nerveux périphérique : la lésion peut se situer sur les racines, les plexus, les troncs nerveux;
- – la jonction neuromusculaire ou les muscles.
-
• L’atteinte du système nerveux central est évoquée devant :
- – l’atteinte d’un hémicorps (motrice ou sensitive);
- – la présence de signes d’atteinte corticale : aphasie, hémianopsie latérale homonyme, troubles gnosiques;
- – des troubles de la vigilance associés;
- – l’association à une crise d’épilepsie;
- – une atteinte des paires crâniennes ou de l’oculomotricité associée à une atteinte des voies longues, qui oriente vers une atteinte du tronc cérébral;
- – des signes pyramidaux (réflexes tendineux diffusés, clonus de cheville, signe de Babinski);
- – un niveau sensitif abdominal ou thoracique franc (moelle épinière).
-
• L’atteinte du système nerveux périphérique est évoquée devant :
- – des fasciculations, une amyotrophie;
- – un déficit moteur ou sensitif de topographie radiculaire ou tronculaire systématisé à une (ou plusieurs) racine(s) ou un (ou plusieurs) tronc(s) nerveux;
- – une diminution ou une abolition des réflexes tendineux – non spécifique, car cela est aussi le cas à la phase initiale dite « flasque » d’un déficit moteur d’origine centrale;
- – une atteinte distale des membres inférieurs sans troubles vésicosphinctériens.
-
• 53L’atteinte de la jonction neuromusculaire ou musculaire est évoquée devant :
- – une atteinte motrice pure (pas de trouble sensitif ou vésicosphinctérien);
- – un déficit à prédominance proximal;
- – l’absence d’anomalie des réflexes tendineux et cutanés plantaires.
Au terme de ce raisonnement, l’analyse clinique doit permettre de définir le syndrome et d’établir un diagnostic topographique (atteinte uni- ou multifocale).
C’est une étape fondamentale pour orienter les examens complémentaires neurologiques.
B Diagnostic différentiel : causes non neurologiques de déficit récent
Une perte de la motilité peut être d’origine non neurologique. Il s’agit alors d’une impotence fonctionnelle, qui peut être d’origine :
-
• ostéoarticulaire :
- – fracture, entorse, arthrite, rupture de coiffe, etc.,
- – la douleur (+++) est le plus souvent au premier plan,
- – l’examen clinique et l’imagerie permettent alors de préciser la lésion osseuse ou articulaire en cause;
-
• vasculaire périphérique :
- – occlusion artérielle aiguë (membre très douloureux, blanc ou nécrosé, pouls périphérique non perçu), phlébite, hématome,
- – là aussi, la douleur est quasi constante.
Pour les troubles de l’élocution, de l’équilibre et de la vision, la cause peut être non neurologique, d’origine locale :
- • ORL;
- • ophtalmologique.
Un déficit peut être en lien avec un trouble fonctionnel neurologique (voir chapitre 1 – item 72).
II Identification du mécanisme et de la cause du déficit neurologique récent
Pour identifier le mécanisme et la cause du mécanisme neurologique, il faut s’appuyer sur l’analyse :
- • du mode d’installation et du profil évolutif;
- • du terrain, du contexte et des signes associés;
- • des examens complémentaires.
A Mode d’installation et profil évolutif
1 Mode d’installation
Le mode d’installation du déficit est un élément majeur d’orientation diagnostique, il peut être :
-
• brutal (secondes ou minutes) = mécanisme vasculaire, migraineux, épileptique, traumatique :
- – 54en cas de déficit brutal d’emblée maximal, le mécanisme est avant tout vasculaire,
- – un déficit installé en quelques dizaines de secondes peut évoquer un mécanisme épilep-tique (« marche épileptique »), en quelques dizaines de minutes un mécanisme migraineux (« marche migraineuse »), mais un mécanisme vasculaire est également possible pour ces modes d’installation;
- • aigu/subaigu (quelques heures ou quelques jours) : cela oriente vers un mécanisme inflammatoire, infectieux, toxique; certaines affections cérébrovasculaires peuvent avoir également ce mode d’installation : thrombophlébite cérébrale, thrombose artérielle in situ (tronc basilaire, etc.);
- • rapidement progressif (quelques semaines) : processus expansif rapide (tumoral malin, abcès, hématome sous-dural), infectieux, métabolique.
2 Profil évolutif
Il faut distinguer :
- • un déficit neurologique transitoire : il n’est pas constaté par le médecin, l’examen clinique est normal, l’anamnèse doit donc être particulièrement minutieuse (patient, témoins); ces déficits sont liés à une atteinte centrale dans la très grande majorité des situations;
- • un déficit neurologique persistant : l’examen clinique permet alors de poser le diagnostic syndromique;
- • un profil évolutif d’amélioration spontanée : il peut être constaté en cas de mécanisme vasculaire ou inflammatoire (poussée de sclérose en plaques);
- • un déficit en « tache d’huile » : en cas d’évolution vers une aggravation, on évoquera un processus expansif.
Plusieurs mécanismes peuvent être intriqués et modifier le profil évolutif d’une affection : par exemple, une tumeur cérébrale peut avoir un début brutal avec une crise d’épilepsie inaugurale si elle se trouve dans une zone fonctionnelle silencieuse.
B Terrain, contexte, signes associés
1 Âge
- • Plus le patient est âgé, plus les causes vasculaires sont fréquentes.
- • La sclérose en plaques débute le plus souvent chez le sujet jeune.
- • Il faut néanmoins être prudent sur cet élément d’orientation, les sujets jeunes sont aussi susceptibles de présenter un AVC (dissection artérielle, malformation vasculaire…).
2 Antécédents
- • Facteurs de risque vasculaire.
- • Immunodépression.
- • Séjour à l’étranger.
- • Toxiques : alcool, drogues.
- • Traitements suivis.
3 Contexte, signes associés
- • Fièvre, constantes vitales, autres signes généraux.
- • Traumatisme, signes externes de contusion crânienne.
- • 55Autres signes neurologiques associés au déficit : céphalées, syndrome d’hypertension intra-crânienne (HTIC), syndrome méningé, douleurs neurogènes, myalgies.
- • Facteurs déclenchants, prise de toxiques.
- • Atteinte systémique associée : atteinte cardiaque, cutanée (purpura)…
C Examens complémentaires
Les examens complémentaires neurologiques sont orientés par le diagnostic topographique :
-
• IRM cérébrale (ou à défaut scanner) s’il existe des signes orientant vers une atteinte supramédullaire :
- – l’IRM cérébrale pour la plupart des pathologies est préférée en première intention,
- – si l’IRM n’est pas accessible ou contre-indiquée, il faut réaliser un scanner cérébral sans et parfois avec injection,
- – en cas d’infarctus cérébral, une angiographie par résonance magnétique ou un angioscanner cervico-encéphalique sont indispensables pour rechercher une occlusion artérielle;
- • IRM cervico-dorso-lombaire devant un syndrome médullaire ou lombaire devant un syndrome de la queue de cheval;
- • ENMG en cas de suspicion d’atteinte du système nerveux périphérique (racines, plexus, tronc nerveux), de la jonction neuromusculaire ou des muscles;
- • EEG en cas de suspicion de crise d’épilepsie;
-
• ponction lombaire pour étude du liquide cérébrospinal (LCS) :
- – en cas de suspicion de polyradiculonévrite,
- – en cas de suspicion de processus infectieux ou inflammatoire : elle sera réalisée après l’imagerie cérébrale (ou médullaire) étant donné la présence d’un déficit neurologique focal.
Le délai de réalisation de ces examens dépend des hypothèses étiologiques :
-
• tout déficit neurologique brutal ou aigu doit faire suspecter un AVC et nécessite une imagerie cérébrale en urgence (fig. 5.1);

Fig. 5.1
Déficit récent par accident vasculaire cérébral : imagerie cérébrale.
A. IRM cérébrale (diffusion). Infarctus sylvien gauche (hypersignal). B. IRM cérébrale (diffusion). Infarctus sylvien droit (hypersignal). C. Scanner cérébral sans injection. Infarctus sylvien gauche (hypodensité). D. IRM cérébrale (T2*, ou écho de gradient). Hémorragie cérébrale frontale droite (hyposignal).L'image montre quatre scans cérébraux, étiquetés de A à D, utilisés pour diagnostiquer et évaluer les accidents vasculaires cérébraux (AVC). Image A : Une IRM en diffusion montrant une zone hyperintense dans l'hémisphère droit, indiquant une restriction de diffusion typique d'un AVC ischémique aigu. Image B : Une autre IRM en diffusion avec une zone hyperintense plus petite, suggérant un AVC ischémique plus récent ou moins étendu. Image C : Une tomodensitométrie (CT scan) montrant une hypodensité dans l'hémisphère gauche, typique d'un AVC ischémique chronique. Image D : Une IRM en séquence T2* montrant une hémorragie intracérébrale avec une zone hypointense due à la désoxyhémoglobine, indiquant un AVC hémorragique. Ces images illustrent différentes présentations d'AVC, permettant aux professionnels de la santé de déterminer le type d'AVC et de planifier le traitement approprié. L'IRM en diffusion est particulièrement utile pour détecter les AVC ischémiques aigus en raison de sa sensibilité à la restriction de diffusion. En résumé, l'image montre des exemples d'AVC ischémique aigu, d'AVC ischémique récent, d'AVC ischémique chronique, et d'AVC hémorragique, offrant un aperçu complet des types d'AVC et de leurs caractéristiques distinctives sur les scans cérébraux.
- • tout traumatisme crânien avec signes neurologiques focaux nécessite la réalisation immédiate d’un scanner cérébral;
- • l’imagerie en urgence est indispensable pour toute suspicion de pathologie infectieuse encéphalique;
- • l’imagerie médullaire doit être réalisée en urgence devant tout syndrome médullaire ou syndrome de la queue de cheval aigu;
- • dans les déficits d’installation progressive, en l’absence de signe de gravité (troubles de la vigilance…), les examens complémentaires sont à réaliser dans un délai rapide (sous 24 heures).
Les autres examens dépendent des orientations étiologiques : examens biologiques sanguins (prélèvement infectieux, enzymes musculaires, dosage de toxiques…), ECG…
III 56Étiologie
A Déficits neurologiques transitoires
Les trois principales causes neurologiques (tableau 5.1) sont :
Arguments cliniques pour un accident ischémique transitoire (AIT), une crise d’épilepsie, une aura migraineuse.
| AIT | Crise d’épilepsie | Aura migraineuse | |
|---|---|---|---|
| Terrain | > 50 ans Facteurs de risque vasculaire |
Variable Antécédent d’épilepsie connu ou d’épisodes identiques (accès stéréotypés) |
< 50 ans Antécédent de migraine |
| Mode d’installation | Évocateur si brutal et d’emblée maximal | Marche épileptique de proche en proche sur quelques dizaines de secondes | « Marche migraineuse » avec extension des troubles sur quelques dizaines de minutes |
| Type des symptômes | « Négatifs » : amputation du champ visuel, perte de la sensibilité | « Positifs » : paresthésies, illusions ou hallucination visuelles | « Positifs » : phénomènes visuels lumineux (scotome scintillant) et/ou colorés Symptômes surtout visuels et sensitifs |
| Signes associés | Souffle vasculaire Cardiopathie | Clonies dans les crises motrices Rupture de contact, amnésie de l’épisode (crises partielles complexes) | Céphalées migraineuses : hémicrânie, photo-sono-phobie, signes digestifs |
| Résolution des symptômes | Rapide | Rapide | Progressive Durée du déficit < 1 h |

- • les accidents ischémiques transitoires (AIT);
- • les crises d’épilepsie; le déficit peut être présent en per-critique et/ou en post-critique;
- • les auras migraineuses.
Les autres causes sont :
- • une hypoglycémie : elle peut donner des signes neurologiques focaux; le contexte est souvent évocateur (diabétique traité); la glycémie capillaire doit être contrôlée devant tout déficit neurologique;
- • un hématome sous-dural, une tumeur cérébrale, une malformation vasculaire ou d’autres lésions cérébrales, qui peuvent également causer un déficit neurologique transitoire; c’est le plus souvent en raison d’une crise d’épilepsie surajoutée;
- • une atteinte périphérique tronculaire par compression posturale ou externe, qui peut également être responsable d’un déficit transitoire (paralysie du radial du samedi soir, etc.) : sa récidive doit faire rechercher une neuropathie héréditaire avec hypersensibilité à la pression par duplication du gène PMP22 (voir chapitre 8 – item 96).
B 57Déficits neurologiques permanents
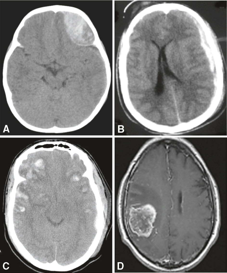
Ils sont répertoriés dans le tableau 5.2 et illustrés à la figure 5.2.
Principales causes des déficits neurologiques récents permanents.
| Atteinte encéphalique |
|
| Atteinte médullaire |
|
| Atteinte du système nerveux périphérique |
|
| Atteinte de la jonction neuromusculaire et des muscles |
|


Exemples de causes de déficit neurologique récent en imagerie. A. Scanner cérébral sans injection. Hématome extradural (hyperdensité biconvexe). B. Scanner cérébral sans injection. Hématome sous-dural aigu (hyperdensité en croissant). C. Scanner cérébral sans injection. Contusion hémorragique (hypo- et hyperdensités). D. IRM cérébrale (T1 avec gadolinium). Tumeur cérébrale (lésion rehaussée par le produit de contraste).
L'image montre quatre scans cérébraux, chacun étiqueté de A à D. Ces scans sont des exemples de causes de déficit neurologique récent. Image A : Montre une hémorragie intracérébrale, qui est une accumulation de sang dans le cerveau due à la rupture d'un vaisseau sanguin. Cela peut causer des dommages aux tissus cérébraux environnants et entraîner des déficits neurologiques. Image B : Illustre un infarctus cérébral, également connu comme l'accident vasculaire cérébral ischémique, qui se produit lorsque l'apport sanguin à une partie du cerveau est interrompu, entraînant la mort des cellules cérébrales dans la zone affectée. Image C : Montre un œdème cérébral, un gonflement du cerveau causé par une accumulation de liquide. Cela peut être dû à des traumatismes crâniens, des infections, ou des tumeurs, entraînant une augmentation de la pression intracrânienne et des déficits neurologiques. Image D : Montre une tumeur cérébrale, une masse anormale de cellules dans le cerveau. Les tumeurs peuvent être bénignes ou malignes et causer des symptômes neurologiques en comprimant les structures cérébrales environnantes. Chaque image illustre une pathologie différente pouvant entraîner des déficits neurologiques récents, soulignant l'importance de l'imagerie médicale pour diagnostiquer et gérer ces conditions
Un déficit neurologique récent peut aussi être un mode d’entrée dans une maladie neurologique plus chronique, comme une tumeur d’évolution lente (tumeur bénigne), une pathologie dégénérative (sclérose latérale amyotrophique, etc.).
IV 58Identification des situations d’urgence et prise en charge
Plusieurs affections causant un déficit neurologique récent nécessitent la mise en œuvre en urgence de mesures thérapeutiques.
Quelle que soit l’étiologie, il faut identifier les signes de gravité, liés au déficit neurologique ou à la maladie sous-jacente, qui risquent de mettre en jeu le pronostic vital : troubles de la vigilance, troubles de la déglutition, atteinte respiratoire ou atteinte hémodynamique.
En cas de déficit neurologique permanent, après la mise en place des mesures thérapeutiques urgentes, une prise en charge de rééducation adaptée au déficit est toujours nécessaire (kinésithérapie en cas de déficit moteur ou ataxie, orthophonie en cas d’aphasie, etc.).
A 59Accidents vasculaires cérébraux
Voir chapitre 28 – item 340.
Devant toute suspicion d’AVC en cours de constitution, il faut déterminer l’heure de début des symptômes. L’évaluation clinique doit être rapide et comprend : examen neurologique (score NIHSS : National Institutes of Health Stroke Scale), glycémie capillaire, constantes vitales. La prise en charge repose les caractéristiques cliniques du patient et les résultats de l’imagerie cérébrale et artérielle réalisés en urgence.
B Traumatisme crânien
Voir item 334 du Collège de neurochirurgie.
- • La présence d’un déficit neurologique dans les suites d’un traumatisme crânien constitue un signe de gravité qui nécessite la réalisation immédiate d’un scanner cérébral sans injection à la recherche d’un hématome extradural ou sous-dural aigu.
- • En cas d’hématome extradural ou sous-dural, le patient est transféré par SAMU en neurochirurgie pour évacuation de l’hématome; les mesures réanimatoires nécessaires seront mises en place.
C Causes infectieuses
Voir chapitre 24 – item 151.
- • Une cause infectieuse doit être évoquée en urgence devant tout déficit neurologique fébrile.
-
• Les méningo-encéphalites infectieuses associent typiquement un syndrome méningé, un syndrome infectieux et des signes neurologiques focaux; la présence d’un déficit neurologique impose la réalisation au minimum d’un scanner cérébral en urgence avant la réalisation de la ponction lombaire (biochimie, cytobactériologie, PCR multiplex, etc.) :
- – en cas de LCS trouble (méningite purulente), une antibiothérapie intraveineuse probabiliste à forte dose est à débuter immédiatement;
-
– en cas de LCS clair (méningite à liquide clair) :
- – si formule lymphocytaire et glycorachie normale : traitement intraveineux antiherpétique et/ou anti-Listeria,
- – si formule panachée et/ou hypoglycorachie : traitement intraveineux antibiotique.
- • Les abcès cérébraux associent des signes focaux et des paramètres infectieux; cependant, la fièvre est absente dans près de 50 % des cas. Des symptômes d’HTIC sont possibles si la lésion est volumineuse. Le diagnostic est évoqué devant l’imagerie cérébrale sans et avec injection (lésion avec prise de contraste annulaire) et doit conduire à la mise en place en urgence d’une antibiothérapie intraveineuse probabiliste.
- • Le bilan systémique doit être large dans toutes ces situations : sérologie du VIH, NFS, CRP, procalcitonine, hémocultures, radiographie de thorax, prélèvements bactériologiques…
D Épilepsie
Voir chapitre 16 – item 105.
Si le déficit neurologique s’inscrit dans le cadre d’un état de mal partiel ou généralisé, la mise en route d’un traitement antiépileptique intraveineux en urgence est nécessaire.
E 60Encéphalopathies carentielles et métaboliques
Voir chapitre 2 – item 76.
1 Encéphalopathie hypoglycémique
- • Tableau de troubles de la vigilance ou de syndrome confusionnel avec sueurs abondantes, parfois crises d’épilepsie et déficit neurologique dans un contexte évocateur (diabétique traité…).
- • Le contrôle immédiat de la glycémie capillaire montre une hypoglycémie qui doit être corrigée en urgence.
2 Encéphalopathie de Gayet-Wernicke
Voir chapitre 2 – item 76.
- • Les signes neurologiques déficitaires (atteinte cérébelleuse et oculomotrice) s’inscrivent dans le cadre d’un tableau d’encéphalopathie dans un contexte associé aux carences en vitamine B1 (alcoolique, dénutrition…).
- • Un traitement par vitaminothérapie B1 à forte dose en parentérale (1 g par jour) doit être commencé sans attendre les résultats des examens complémentaires; l’administration de sérum glucosé est contre-indiquée avant recharge vitaminique (perfusion avec sérum physiologique).
F Syndrome médullaire aigu
Voir chapitre 7 – item 93.
- • Une IRM médullaire doit être réalisée en urgence devant tout syndrome médullaire (ou syndrome de la queue de cheval) d’installation récente à la recherche d’une compression médullaire (ou de la queue de cheval).
- • Toute compression médullaire est une urgence thérapeutique qui nécessite un avis neurochirurgical.
- • Le traitement sera adapté à la cause, il nécessite souvent un transfert pour traitement neurochirurgical.
- • Un syndrome médullaire aigu en l’absence de compression médullaire témoigne le plus souvent d’une myélite : l’étude du LCS et les autres examens complémentaires (IRM cérébrale, etc.) permettront de préciser la nature de l’affection sous-jacente.
- • Les accidents vasculaires médullaires sont une cause rare de syndrome médullaire aigu : le diagnostic est parfois difficile; il ne faut pas méconnaître une dissection aortique qui constitue une cause d’infarctus médullaire.
G Syndrome de Guillain-Barré
Voir chapitre 8 – item 97.
- • Un syndrome de Guillain-Barré est évoqué cliniquement devant une atteinte sensitivo-motrice ascendante avec abolition des réflexes tendineux. Dans 50 % des cas, il survient dans un contexte post-infectieux.
- • Le diagnostic est confirmé par l’étude du LCS (dissociation albumino-cytologique) et de l’ENMG.
- • 61Il faut identifier les signes qui nécessitent un transfert en réanimation : troubles de la déglutition, troubles respiratoires (encombrement, dyspnée, toux inefficace), troubles neurovégétatifs (instabilité tensionnelle, anomalies du rythme cardiaque).
- • Le traitement spécifique repose sur les veinoglobulines ou les plasmaphérèses commencées rapidement devant des arguments diagnostiques convaincants.
H Myasthénie
Voir chapitre 9 – item 98.
- • La crise myasthénique constitue une urgence vitale.
- • Elle survient le plus souvent chez un patient myasthénique connu mais peut être révélatrice. Le bilan doit alors comprendre rapidement un EMG avec recherche d’un bloc neuromusculaire et dosage des anticorps (antirécepteurs de l’acétylcholine et anti-MuSK).
- • La gravité est liée à l’atteinte des muscles respiratoires et des troubles de la déglutition, suspectée devant : fausses routes, toux inefficace, dyspnée, encombrement.
- • Le patient doit être alors transféré en réanimation pour traitement symptomatique (assistance ventilatoire, etc.) et traitement par veinoglobulines ou échanges plasmatiques.
- • Tout déficit neurologique récent d’installation brutale ou aiguë constitue une urgence.
