CHAPITRE 24: Item 151 Méningites, méningo-encéphalites, abcès cérébral chez l’adulte et l’enfant

Situations de départ

 

image12 Nausées.

image13 Vomissements

image28 Coma et troubles de conscience.

image44 Hyperthermie/fièvre.

image118 Céphalée.

image119 Confusion mentale/désorientation.

image120 Convulsions.

image183 Analyse du liquide cérébrospinal (LCS).

image233 Identifier/reconnaître les différents examens d’imagerie (type/fenêtre/séquences/ incidences/injection).

image236 Interprétation d’un résultat de sérologie.

Objectifs pédagogiques

 

image Connaître l’épidémiologie des méningites et encéphalites chez l’adulte et l’enfant.

image Diagnostiquer un purpura fulminans (voir item 332), une méningite, une méningo-encéphalite.

image Connaître les principaux agents infectieux responsables de méningites, de méningo-encéphalites, d’abcès cérébraux.

image Connaître la conduite à tenir dont le traitement en urgence face à un purpura fulminans, une suspicion de méningite ou de méningo-encéphalite, au domicile, au cabinet médical et aux urgences hospitalières.

image Hiérarchiser les examens complémentaires en cas de suspicion de méningite, de méningo-encéphalite.

image Interpréter le résultat d’un examen du liquide céphalorachidien.

image Connaître le traitement de première intention d’une méningite communautaire présumée bactérienne.

image Connaître les recommandations de la prophylaxie des infections à méningocoque dans l’entourage d’un cas de méningite à méningocoque.

443Hiérarchisation des connaissances

Rang Rubrique Intitulé Descriptif
Figure Définition Connaître la définition des méningites et méningo-encéphalites infectieuses, chez l’adulte et en pédiatrie, d’un abcès cérébral  
Figure Définition Connaître la définition des méningites et méningo-encéphalites infectieuses chez le nouveau-né et le nourrisson  
Figure Diagnostic positif Savoir suspecter cliniquement un syndrome méningé fébrile et connaître les particularités sémiologiques en fonction du terrain (enfant, personne âgée)  
Figure Diagnostic positif Savoir identifier les éléments d’un syndrome encéphalitique et savoir évoquer une méningo-encéphalite herpétique Savoir suspecter cliniquement une méningo-encéphalite
Figure Diagnostic positif Connaître les caractéristiques cliniques détaillées des différentes étiologies infectieuses des méningites purulentes chez l’enfant et l’adulte  
Figure Diagnostic positif Savoir suspecter cliniquement un abcès cérébral  
Figure Éléments physiopathologiques Connaître les éléments de physiopathologie des méningites, des méningo-encéphalites et des abcès cérébraux  
Figure Étiologies Connaître les principales étiologies et l’épidémiologie bactériennes et virales des méningites en fonction de l’analyse cytochimique du liquide cérébrospinal (LCS) et de l’âge du patient  
Figure Étiologies Connaître les principales étiologies et l’épidémiologie infectieuses des méningo-encéphalites  
Figure Étiologies Savoir citer les principales étiologies infectieuses des abcès cérébraux  
Figure Examens complémentaires Indication d’une ponction lombaire Complications, contre-indications
Figure Examens complémentaires Indication et objectifs des examens d’imagerie devant une suspicion de méningite, d’encéphalite ou d’abcès  
Figure Identifier une urgence Connaître les signes cliniques de gravité d’une méningite  
Figure Identifier une urgence Savoir identifier un purpura fulminans  
Figure Prise en charge Connaître la prise en charge thérapeutique d’un purpura fulminans avec posologie des céphalosporines de 3e génération (C3G) par voie intraveineuse  
Figure Prise en charge Connaître la prise en charge immédiate en cas de suspicion de méningite  
Figure Prise en charge Connaître les indications et les modalités de l’antibiothérapie probabiliste devant une méningite présumée bactérienne  
Figure Prise en charge Connaître la prise en charge thérapeutique des méningites infectieuses non purulentes  
Figure Prise en charge Connaître la conduite à tenir immédiate en cas de suspicion de méningo-encéphalite herpétique Connaître la conduite à tenir immédiate en cas de méningo-encéphalite, Indication de l’aciclovir
Figure Suivi et/ou pronostic Connaître les mesures générales à prendre pour la personne atteinte et son entourage en cas d’infection invasive à méningocoque Notification et déclaration obligatoires, précautions complémentaires, isolement gouttelettes

image

 

I 444Pour comprendre

 

  • Figure Les méninges sont constituées de trois membranes enveloppant l’encéphale et la moelle spinale, qui sont, de dehors en dedans :    

    • – la dure-mère : couche superficielle résistante accolée à l’os;
    • – l’arachnoïde : couche moyenne;
    • – la pie-mère : couche interne recouvrant directement le cerveau.
  • • La dure-mère constitue la pachyméninge; l’arachnoïde et la pie-mère forment la leptoméninge.
  • • L’espace sous-arachnoïdien (situé entre l’arachnoïde et la pie-mère) contient le liquide cérébrospinal (LCS).
  • Figure Le terme de méningite désigne l’inflammation des enveloppes méningées. En cas d’atteinte associée du parenchyme cérébral, on parle de méningo-encéphalite.
  • Figure La majorité des méningites et méningo-encéphalites aiguës sont infectieuses par contamination du LCS par un agent infectieux (le plus souvent une bactérie ou un virus). La contamination peut se faire par voie hématogène (le plus fréquemment), par contiguïté à partir des cavités ORL ou, plus rarement, par inoculation directe (traumatisme, chirurgie). L’atteinte encéphalique résulte d’une multiplication de l’agent pathogène ou plus souvent d’une réaction inflammatoire.
  • • Les abcès cérébraux sont rares (incidence de 1/100 000/an). Ils sont constitués d’une cavité purulente au sein du parenchyme cérébral entourée d’une importante zone d’œdème, réalisant un processus expansif. Il existe une phase d’encéphalite pré-suppurative caractérisée par un centre nécrotique avec réaction inflammatoire et présence de germe, entouré d’un œdème, suivie du stade d’abcès avec formation d’une capsule de gliose.
  • • Les localisations préférentielles par ordre de fréquence sont le lobe frontal (un tiers des cas), le lobe temporal (un quart des cas), et le lobe pariétal (un cinquième des cas).
  • • La porte d’entrée se fait, le plus souvent, à partir d’un foyer de contiguïté (infection ORL, ostéite crânienne, thrombose veineuse cérébrale, rarement méningite purulente), par voie hématogène (à partir d’un foyer dentaire, pulmonaire ou cardiaque), ou plus rarement dans les suites d’un traumatisme crânien avec brèche méningée ou d’une neurochirurgie.

II 445Symptomatologie clinique

A Syndrome méningé

Figure Un syndrome méningé est défini comme une symptomatologie en rapport avec une irritation des enveloppes méningées (arachnoïde et pie-mère), quelle qu’en soit l’origine. Il se caractérise par l’association inconstante de la triade céphalées, vomissements et raideur méningée.

1 Céphalées

 

  • • Quasi constantes et précoces.
  • • Intenses, diffuses, continues avec paroxysmes possibles, mal soulagées par les antalgiques habituels.
  • • Exagérées par différents stimuli : mouvements de la tête, examen physique du patient, exposition à la lumière (photophobie) ou au bruit (phonophobie).

2 Vomissements

 

  • • Inconstants mais en général précoces.
  • • Spontanés, en jet, survenant sans effort.
  • • Pouvant être favorisés par les changements de position.

3 Raideur méningée

 

  • • Secondaire à une contracture des muscles paravertébraux en rapport avec la douleur provoquée par une irritation des méninges.
  • • Peut conduire à une attitude particulière du patient « en chien de fusil » : couché sur le côté, dos tourné à la lumière, tête en hyperextension vers l’arrière, membres semi-fléchis.
  • • Touche particulièrement la nuque :

    • – la flexion de la tête par l’examinateur entraîne une résistance invincible et douloureuse de la nuque;
    • – les manœuvres de rotation et de latéralité de la tête sont conservées mais augmentent la céphalée.
  • • Peut être mise en évidence à l’examen du patient couché sur le dos par :

    • – le signe de Brudziński : flexion involontaire des membres inférieurs (cuisses sur le bassin et jambes sur les cuisses) à la flexion forcée antérieure de la nuque;
    • – le signe de Kernig : impossibilité de s’asseoir sans fléchir les genoux et résistance douloureuse à l’extension complète de la jambe lorsque la cuisse est fléchie.

4 Autres signes accompagnateurs possibles

 

  • • Hyperesthésie cutanée diffuse.
  • • Réflexes tendineux vifs.

 

B 446Syndrome encéphalitique

Il correspond aux manifestations cliniques en lien avec l’inflammation de l’encéphale et peut être présent de manière isolée (encéphalite) ou, le plus souvent, être associé au syndrome méningé (méningo-encéphalite). Il peut comporter :

 

  • • troubles de la conscience de degré variable (de la simple somnolence au coma profond);
  • • syndrome confusionnel et troubles comportementaux;
  • • signes de focalisation : déficit moteur (mono- ou hémiplégie), paralysie d’un ou plusieurs nerfs crâniens, aphasie, mouvements anormaux (tremblement, myoclonies);
  • • crises épileptiques focales (sans ou avec troubles de la conscience) et généralisées, pouvant aller jusqu’à l’état de mal;
  • • troubles neurovégétatifs : irrégularité du pouls, de la pression artérielle et de la température, en faveur d’une souffrance du tronc cérébral.

 

C Syndrome infectieux

Il associe de façon variable :

 

  • • de la fièvre, dont l’intensité varie en fonction du germe responsable, avec parfois frissons, sueurs et myalgies;
  • • des signes d’une infection : pneumopathie, foyer ORL (otite, sinusite, mastoïdite, rhinopha-ryngite, angine), infection urinaire, atteinte digestive (diarrhées), éruption cutanée, atteinte cardiaque (endocardite, myocardite);
  • • un purpura vasculaire qui doit faire évoquer une méningite à méningocoque et représente une urgence vitale. Le tableau gravissime de purpura fulminans lié à une septicémie à méningocoque associe un purpura extensif ulcéro-nécrotique (purpura vasculaire dont les éléments s’étendent rapidement avec au moins un élément nécrotique ou ecchymotique supérieur à 3 mm de diamètre), un choc septique, une coagulation intravasculaire disséminée, et des hémorragies viscérales (par exemple, surrénaliennes).

D Signes cliniques de gravité

L’identification des critères cliniques de gravité est impérative.

 

E Suspecter cliniquement un abcès cérébral

Un abcès cérébral doit être suspecté devant un tableau subaigu s’installant sur 1 à 2 semaines associant, à divers degrés, un syndrome d’hypertension intracrânienne, une atteinte neurologique 447focale dépendant de la localisation, de la taille et du nombre de lésions (hémiparésie, troubles sensitifs, aphasie, hémianopsie latérale homonyme, troubles neurocognitifs en particulier sous-cortico-frontaux), et des crises épileptiques focales ou généralisées. La fièvre est inconstante (50 % des cas), de même que l’altération de l’état général.

Parfois le tableau clinique est plus progressif, réalisant un syndrome tumoral isolé évoluant en tache d’huile, ou au contraire d’installation brutale.

F Particularités sémiologiques des méningites et méningo-encéphalites infectieuses chez le nourrisson et le sujet âgé

1 Chez le nourrisson

Tableau diagnostique clinique plus difficile. Il doit être évoqué devant un enfant geignard, présentant des cris à la mobilisation (hyperesthésie cutanée), des modifications du comportement, une somnolence inhabituelle entrecoupée de périodes d’agitation, un refus répété du biberon, des convulsions fébriles même brèves et apparemment isolées. Une hypotonie axiale remplace souvent la raideur de nuque. Une tension anormale de la fontanelle peut être retrouvée.

2 Chez le sujet âgé

Les signes cliniques peuvent être plus frustes, avec un syndrome infectieux souvent au second plan. Les troubles du comportement et signes focaux peuvent dominer le tableau.

 

III Examens complémentaires

A Ponction lombaire

La ponction lombaire (PL) est l’examen clé permettant d’affirmer le diagnostic de méningite.

1 Conditions de réalisation

 

  • • La PL doit être réalisée en urgence avant instauration d’une antibiothérapie dans la très grande majorité des cas.
  • • Certaines situations imposent la réalisation préalable d’une imagerie cérébrale en extrême urgence de façon à ne pas retarder la PL :

    • – signes de focalisation neurologique ou d’hypertension intracrânienne;
    • – troubles de la conscience avec un score de Glasgow ≤ 11;
    • – crises épileptiques focales ou généralisées après l’âge de 5 ans;
    • – crises épileptiques hémicorporelles avant l’âge de 5 ans.
  • • 448La réalisation de la PL doit être précédée d’un bilan biologique :

    • – bilan d’hémostase : contre-indication habituelle en cas de taux de prothrombine (TP) < 50 % ou temps de céphaline activé (TCA) ratio > 1,5;
    • – numération plaquettaire : contre-indication habituelle en cas de plaquettes < 50 000/mm3.
  • • L’antibiothérapie probabiliste doit être commencée avant réalisation de la PL dans les cas suivants :

    • – purpura fulminans (le traitement doit être instauré au domicile du patient) : administration intraveineuse d’une céphalosporine de 3e génération (C3G), de préférence ceftriaxone (dose : 1 g chez l’adulte; 50 mg/kg sans dépasser 1 g chez le nourrisson et l’enfant) ou, en cas d’indisponibilité, céfotaxime (dose : 1 g chez l’adulte; 50 mg/kg sans dépasser 1 g chez le nourrisson et l’enfant);
    • – prise en charge hospitalière ne pouvant pas être réalisée dans les 60 minutes, notamment si la réalisation d’une imagerie risque de retarder la mise en place d’une antibiothérapie.
  • • Contre-indication à la PL :    

    • – anomalie de l’hémostase (spontanée ou induite par anticoagulants) ou thrombopénie. Attention aux anticoagulants oraux directs pour lesquels certains tests d’hémostase peuvent être pris à défaut;
    • – signes cliniques d’engagement cérébral (mydriase unilatérale, hoquet, mouvements d’enroulement, troubles ventilatoires) ou radiologiques, effet de masse à l’imagerie cérébrale, notamment en cas d’abcès volumineux;
    • – instabilité hémodynamique.

2 Technique et analyses

La PL est réalisée en conditions d’asepsie stricte à l’aide d’une aiguille au niveau du cul-de-sac lombaire au niveau de l’espace intervertébral L4-L5 ou de l’espace immédiatement sus- ou sous-jacent, le malade étant en position assise, courbé en avant, ou bien couché sur le côté. Il faut privilégier l’usage d’aiguille atraumatique, afin de réduire le risque de syndrome post-PL. L’examen du LCS doit comporter :

 

  • • une inspection de l’aspect macroscopique du LCS (l’aspect normal est « eau de roche »);
  • • une analyse cytologique (globules rouges et blancs avec identification des polynucléaires neutrophiles et des lymphocytes);
  • • une analyse biochimique (protéinorachie, glycorachie, chlorurorachie, lactates);
  • • une analyse microbiologique (bactériologique) comportant un examen direct avec coloration de Gram, mise en culture et antibiogramme systématique en cas de culture positive;
  • • des tubes supplémentaires doivent être prélevés pour analyses complémentaires guidées selon le contexte clinique : PCR dans le cadre d’une méningite ou méningo-encéphalite virale (herpès virus, varicella-zoster virus [VZV], entérovirus) ou bactérienne (méningocoque, pneumocoque, tuberculose), PCR universelle, antigènes solubles pneumococciques.

3 Limites et complications de la ponction lombaire

a Limites

 

  • • Difficultés techniques pour réaliser la PL (scoliose, calcification du ligament interépineux, agitation du patient).
  • • PL blanche : absence d’écoulement du LCS lié à une déshydratation sévère ou une compression médullaire sus-jacente.
  • • PL traumatique avec LCS hémorragique.
b 449Complications

 

  • • Décharge électrique dans un membre par contact avec une racine nerveuse.
  • • Hématome épidural rachidien avec risque de compression.
c Syndrome post-ponction lombaire

 

  • • Hypotension du LCS par écoulement lié à une brèche méningée.
  • • Se caractérise par une céphalée typiquement orthostatique (apparition dans les secondes ou minutes suivant la mise en position debout, amélioration significative, voire disparition, en position allongée), parfois associée à d’autres signes (vision floue, acouphènes non pulsatiles à type de sifflements, baisse d’acuité auditive, distorsion sonore, nausées et vomissements).
  • • Le diagnostic d’hypotension du LCS est clinique.
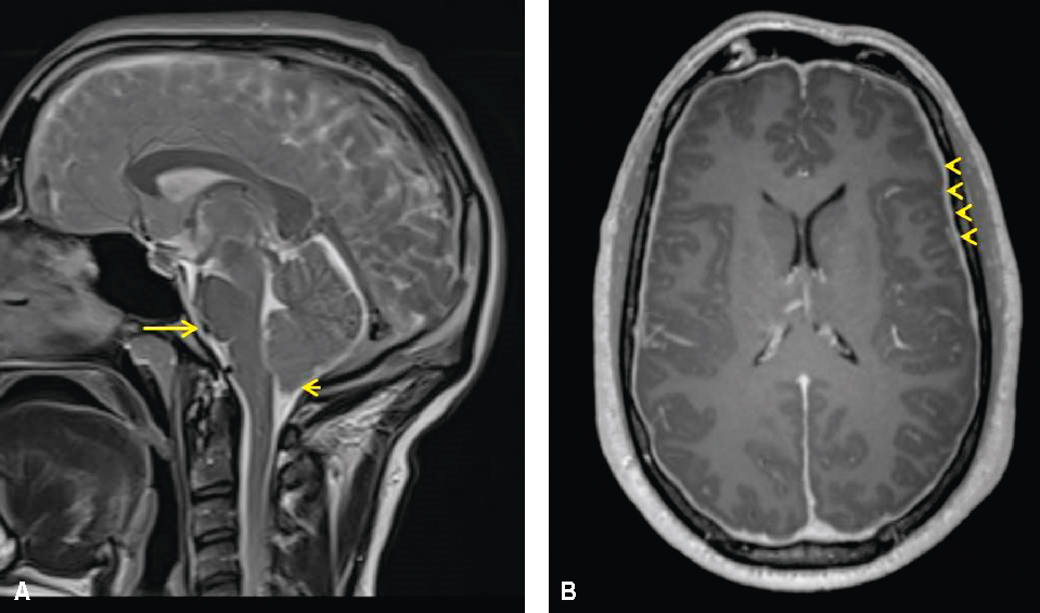
  • • L’IRM peut montrer des anomalies morphologiques en rapport avec le déplacement cranio-caudal de l’encéphale (aspect de ptose amygdalienne cérébelleuse, effacement des citernes prépontiques et chiasmatiques) et une prise de contraste diffuse et régulière des pachymé-ninges (fig. 24.1).

    Les images IRM montrent des signes de syndrome post-ponction lombaire avec hypotension du LCS, indiquant des anomalies dans les structures cérébrales dues à la perte de LCS.

    Fig. 24.1 Figure Patient présentant un syndrome post-ponction lombaire avec hypotension du LCS.   
    IRM cérébrale. A. Séquence T2 (coupe sagittale). B. Séquence T1 avec gadolinium (coupe axiale). Effacement de la citerne prépontique (flèche longue), discrète ptose de l’amygdale cérébelleuse (flèche courte), prise de contraste diffuse et régulière des pachyméninges (têtes de flèches).

    L'image montre deux vues d'une IRM cérébrale d'un patient présentant un syndrome post-ponction lombaire (post-PL) avec hypotension du liquide céphalo-rachidien (LCS). L'image A est une vue sagittale, c'est-à-dire une coupe longitudinale du cerveau, tandis que l'image B est une vue axiale, une coupe horizontale. Dans le contexte de ce syndrome, le patient peut ressentir des maux de tête sévères, souvent aggravés en position debout et soulagés en position couchée. Ce syndrome survient généralement après une ponction lombaire, une procédure où une aiguille est insérée dans le bas du dos pour prélever du LCS à des fins diagnostiques ou thérapeutiques. La fuite de LCS à travers le site de ponction peut entraîner une diminution de la pression du LCS, provoquant des symptômes de maux de tête, nausées, vertiges et parfois des troubles visuels ou auditifs. Les images IRM peuvent montrer des signes de cette hypotension, tels que l'affaissement des structures cérébrales ou des anomalies dans la distribution du LCS. Les flèches sur les images indiquent les zones spécifiques du cerveau où ces anomalies peuvent être observées, aidant ainsi à diagnostiquer et à comprendre les effets de la perte de LCS. En résumé, ces images IRM illustrent les conséquences d'une fuite de LCS après une ponction lombaire, mettant en évidence les changements dans le cerveau associés à une diminution de la pression du LCS.

  • • Le syndrome post-PL peut nécessiter la réalisation d’un blood patch épidural (injection de sang autologue dans l’espace épidural).
  • • Une hypotension du LCS prolongée non traitée peut se compliquer d’hématomes sous-duraux bilatéraux et de thrombose veineuse cérébrale.

 

B 450Imagerie cérébrale

Une imagerie cérébrale doit être réalisée :

 

  • • soit dans l’optique d’éliminer une contre-indication à la PL dans les situations décrites ci-dessus;
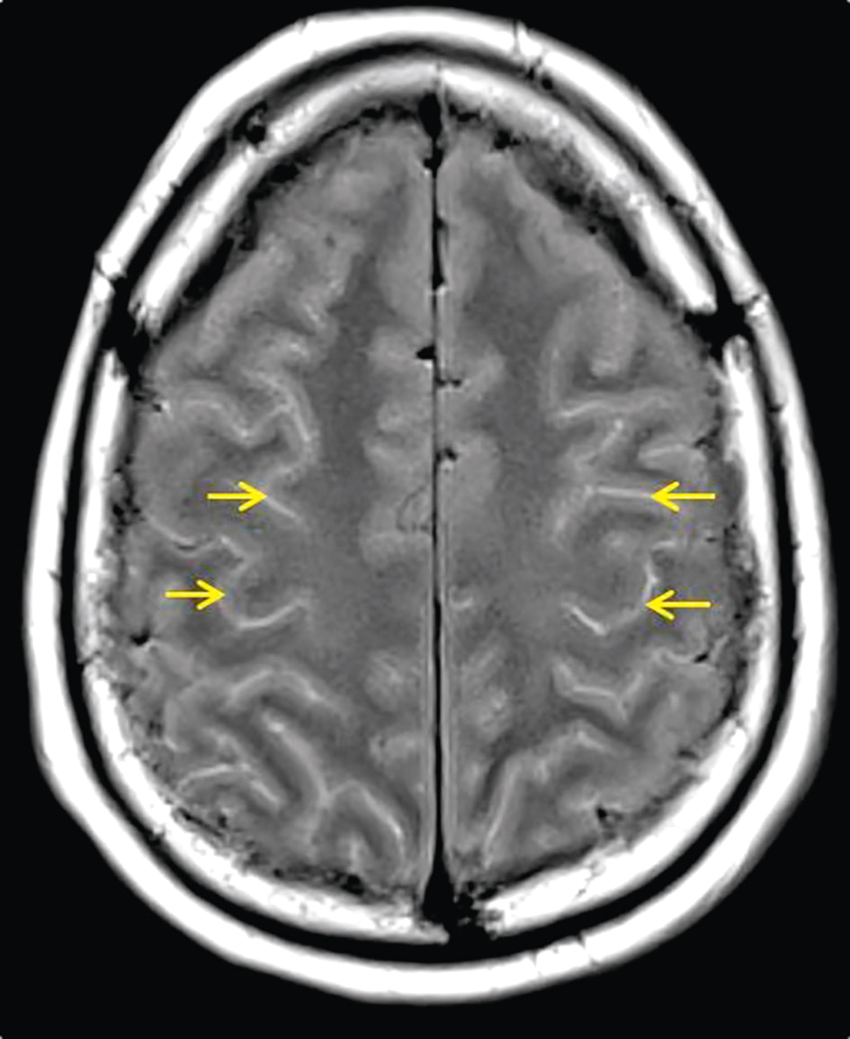
  • • soit à visée étiologique en cas de signes encéphalitiques : dans ce cas, l’IRM cérébrale sans et avec injection de gadolinium doit être privilégiée du fait de sa meilleure sensibilité. Elle peut montrer des lésions parenchymateuses en hypersignal T2 et T2-FLAIR, touchant volontiers les régions temporales et frontales, avec prise de contraste. Une méningite peut être visible sous forme d’hypersignaux diffus en séquences FLAIR au sein des sillons corticaux (fig. 24.2) avec prise de contraste des leptoméninges en séquence T1 gadolinium. D’autres lésions peuvent être retrouvées en fonction du micro-organisme en cause. Néanmoins, une IRM normale n’élimine pas le diagnostic d’encéphalite ou de méningite. À défaut d’IRM, un scanner cérébral sans et avec injection de produit de contraste iodé doit être pratiqué;

    Les hypersignaux des sillons corticaux sur l'IRM en séquence FLAIR suggèrent une inflammation liée à une méningite à pneumocoque, essentielle pour le diagnostic et le suivi.

    Fig. 24.2 Figure IRM cérébrale en séquence FLAIR montrant des hypersignaux diffus des sillons corticaux (flèches) chez un patient présentant une méningite à pneumocoque.

    L'IRM cérébrale en séquence FLAIR montre des hypersignaux diffus des sillons corticaux chez un patient présentant une méningite à pneumocoque. La séquence FLAIR est utilisée pour détecter des anomalies dans le cerveau en supprimant le signal du liquide céphalorachidien, ce qui permet de mieux visualiser les lésions. Les hypersignaux diffus des sillons corticaux, indiqués par des flèches, sont des zones où le signal est anormalement élevé, suggérant une inflammation ou une infection. Dans ce cas, ces hypersignaux sont caractéristiques de la méningite à pneumocoque, une infection bactérienne grave des méninges, les membranes qui entourent le cerveau et la moelle épinière. L'inflammation causée par l'infection entraîne une accumulation de liquide et de cellules inflammatoires dans les sillons corticaux, rendant ces zones visibles sur l'IRM. Ces images sont essentielles pour le diagnostic et le suivi de la méningite à pneumocoque, car elles permettent de visualiser l'étendue de l'inflammation et d'évaluer la réponse au traitement. En résumé, les hypersignaux diffus visibles sur l'IRM en séquence FLAIR indiquent une inflammation due à une méningite à pneumocoque, fournissant des informations cruciales pour le diagnostic et la gestion de cette condition chez le patient.

  • • à la recherche d’un abcès cérébral en cas de situation clinique évocatrice : le scanner cérébral avec injection de produit de contraste révèle une image en cocarde au stade d’abcès encapsulé (hypodensité arrondie entourée d’une prise de contraste annulaire avec œdème périlésionnel et effet de masse). En IRM, la lésion comporte un centre en hyposignal en séquence T1, hypersignal en séquences T2, FLAIR et diffusion (avec coefficient 451apparent de diffusion [apparent diffusion coefficient ou ADC] abaissé, en faveur d’une nécrose), entouré d’une capsule hyperintense en T2 et iso- ou hypo-intense en T1 prenant le contraste de façon marquée après injection de gadolinium (fig. 24.3). Il existe un œdème prononcé sous forme d’hypersignal T2 et FLAIR autour de la lésion.

    Les images montrent un abcès cérébral frontal droit, diagnostiqué grâce à un scanner et à plusieurs séquences IRM, incluant T1 avec gadolinium, diffusion et FLAIR.

    Fig. 24.3 Figure Scanner cérébral sans (A) et avec (B) injection de produit de contraste et IRM cérébrale en séquences diffusion (C), cartographie ADC (D), FLAIR (E), T2 écho de gradient (F), T2 écho de gradient (G) et T1 avec gadolinium (H) révélant un abcès cérébral frontal droit.

    L'image montre différentes coupes d'un scanner cérébral et d'une IRM cérébrale, révélant un abcès cérébral frontal droit. Le scanner cérébral sans injection de produit de contraste (A) montre une zone hypodense dans le lobe frontal droit. Après injection de produit de contraste (B), cette zone devient hyperdense, indiquant une prise de contraste périphérique typique d'un abcès. Les séquences de diffusion de l'IRM (C) montrent une restriction de diffusion dans la même région, ce qui est caractéristique d'un abcès. La cartographie ADC (D) confirme cette restriction de diffusion avec une hypointensité dans la zone concernée. La séquence FLAIR (E) de l'IRM montre une hyperintensité dans le lobe frontal droit, correspondant à l'œdème périlésionnel. La séquence T2 écho de gradient (F) montre également cette hyperintensité, avec une meilleure définition des contours de l'abcès. Enfin, la séquence T1 avec gadolinium (H) montre une prise de contraste périphérique, confirmant la présence de l'abcès. Ces images illustrent les différentes techniques d'imagerie utilisées pour diagnostiquer un abcès cérébral et montrent les caractéristiques typiques de cette pathologie.

 

IV 452Diagnostic étiologique

Figure Le diagnostic étiologique des méningites ou méningo-encéphalites est guidé par les résultats du LCS. L’aspect macroscopique et les données de l’analyse cytologique permettent la distinction entre méningite (ou méningo-encéphalite) purulente (bactérienne) et à liquide clair (bactériennes, virales, parasitaires ou fongiques) (tableau 24.1).

Tableau 24.1

Figure Principales causes de méningites ou méningo-encéphalites en fonction de l’aspect du LCS.

Méningites purulentes Méningites à liquide clair
Aspect classique du LCS
  • • Hypercytose > 20/mm3 et en général > 1 000/mm3 avec nette prédominance de polynucléaires neutrophiles altérés
  • • Protéinorachie > 1 g/L
  • • Hypoglycorachie (≤ 40 % de la glycémie)
  • • Lactates le plus souvent augmentésa
  • • Hypercytose entre 5 à 1 000/mm3 et en général > 100/mm3 à prédominance lymphocytaire ou panachée (lymphocytes et polynucléaires neutrophiles)
  • • Protéinorachie le plus souvent modérée (< 1 g/L)
  • • Glycorachie normale ou basse selon la cause; si glycorachie basse : penser à Listeria ou tuberculose
Causes
• Méningocoqueb • Bactériennes :
• Pneumocoqueb – llstérioseb
Haemophilus Influenzal – tuberculoseb
• Plus rarement : Listeria monocytogenes, streptocoques, bacilles à Gram négatif, staphylocoque – spirochetes (maladie de Lyme, syphilis, leptoslrose)
– autres : brucellose, mycoplasme, rickettsiose
– méningite bactérienne débutante ou décapitée
• Virales :
– herpèsb
– autres : entérovirusb, grippeb, rougeole, oreillons, etc.
• Parasitaires :
– accès pernicieux palustre
– autres : toxoplasmose, cysticercose, trypanosomiase, etc.
Mycosiques :
– cryptocoque
  • – autres : Candida, Aspergillus

image

a Une valeur de lactates dans le liquide cérébrospinal (LCS) < 3,2 mmol/L rend peu probable le diagnostic de méningite bactérienne sans l’éliminer totalement. b Causes les plus fréquentes.Source : CEN, 2021.

A 453Méningites et méningo-encéphalites bactériennes

Les causes de méningites et méningo-encéphalites bactériennes varient en fonction du terrain du patient (âge et comorbidités) (tableau 24.2).

Tableau 24.2

A Causes des méningites ou méningo-encéphalites bactériennes en fonction de l’âge et du terrain.

Terrain Causes principales
Nouveau-né < 3 mois Streptococcus agalactiae (groupe B)    
Escherichia coli et autres entérobactéries    
Neisseria meningitidis    
Listeria monocytogenes
Enfant de 1 à 5 ans Streptococcus pneumoniae    
Neisseria meningitidis    
Haemophilus influenzae (si non vacciné)
Enfant > 5 ans, adolescent et adulte jeune < 24 ans Neisseria meningitidis    
Streptococcus pneumoniae    
Haemophilus influenzae (si non vacciné)
Adulte ≥ 24 ans Streptococcus pneumoniae    
Neisseria meningitides    
Listeria monocytogenes
Immunodépression Micro-organismes habituels    
Mycobacterium tuberculosis    
Mycobactéries atypiques    
Cryptocoque    
Nocardia    
Aspergillus
Splénectomie Streptococcus pneumoniae
Neurochirurgie, valve de dérivation ventrlculalre Staphylococus aureus et Staphylococus epidermidis
Brèche ostéoméningée post-traumatique Streptococcus pneumoniae

1 454Méningites à méningocoque

 

  • • Deuxième cause la plus fréquente des méningites bactériennes chez l’adulte (environ 500 cas par an), mais première cause chez le jeune (15–24 ans).
  • • Neisseria meningitidis est un diplocoque à Gram négatif, aérobie.
  • • Transmission par voie aérienne.
  • • Se rencontrent à tout âge de façon sporadique ou épidémique, avec une recrudescence hivernale.
  • Figure Certains arguments cliniques peuvent orienter le diagnostic :

    • – rhinopharyngite inaugurale;
    • – herpès nasolabial, arthralgies, injection conjonctivale;
    • – purpura pétéchial (membres, tronc, muqueuses);
    • Figure purpura extensif nécrotique (purpura fulminans des septicémies à méningocoque).
  • • LCS : le plus souvent, méningite purulente.

2 Méningites à pneumocoque

 

  • • Streptococcus pneumoniae est un diplocoque à Gram positif, encapsulé.
  • • Première cause de méningite bactérienne chez l’adulte (environ 700 cas/an) associée au pronostic le plus grave.
  • • Recrudescence hivernale.
  • • Peut survenir sur un terrain particulier :
  •     

    • – sujet âgé;
    • – pathologie chronique sous-jacente : diabète, éthylisme chronique, myélome;
    • – immunodépression;
    • – splénectomie.
  • • Peut résulter de :
  •     

    • – brèche ostéoméningée post-traumatique (parfois ancienne);
    • – foyer infectieux de voisinage : pneumopathie, foyer ORL (sinusite, otite suppurée, mastoïdite).
  • Figure Une rhinorrhée ou des signes d’infection des voies aériennes peuvent accompagner le tableau clinique.
  • Figure LCS : le plus souvent, méningite purulente.

3 Méningites à Haemophilus influenzae

 

  • • Haemophilus influenzae est un bacille à Gram négatif intra- et extracellulaire.
  • • Première cause de méningite bactérienne chez le nourrisson et l’enfant de moins de 6 ans non vacciné.
  • Figure Peut s’accompagner d’une otite, épiglottite, arthrite ou pneumopathie.
  • Figure LCS : le plus souvent, méningite purulente mais, parfois, une formule panachée peut être retrouvée.

4 455Méningites et méningo-encéphalites à Listeria monocytogenes

 

  • • Listeria monocytogenes est un bacille à Gram positif intracellulaire facultatif.
  • • Transmission par voie digestive (notamment par consommation de produits laitiers crus).
  • • Une listériose neuroméningée est possible à tout âge, mais doit être particulièrement évoquée dans certaines situations :

    • – sujet âgé;
    • – grossesse;
    • – maladies chroniques : diabète, alcoolisme, cancer, cirrhose;
    • – immunodépression : corticothérapie, chimiothérapie, greffe.
  • Figure Tableau clinique caractérisé par :

    • – début progressif avec phase prodromale sur quelques jours associant fatigue, douleurs abdominales, nausées, vomissements, céphalées;
    • – syndrome méningé parfois fruste, avec fièvre inconstante;
    • – tableau de rhombencéphalite par atteinte du tronc cérébral pouvant associer atteinte des nerfs crâniens (paralysie oculomotrice, paralysie faciale, troubles de la déglutition), syndrome cérébelleux, atteinte des voies longues, troubles de la vigilance, atteinte cardiorespiratoire.
  • Figure LCS : typiquement clair avec pléiocytose à prédominance lymphocytaire ou formule panachée, hyperprotéinorachie modérée, hypoglycorachie ou normoglycorachie; plus rarement, aspect purulent.

5 Méningites et méningo-encéphalites tuberculeuses

 

  • • La tuberculose neuroméningée peut survenir lors de la dissémination faisant suite à une primo-infection tuberculeuse ou à distance de celle-ci à partir d’une autre localisation.
  • • Diagnostic difficile, souvent retardé.
  • • Doit être évoqué notamment si :

    • – sujet originaire d’une zone d’endémie;
    • – absence de vaccination par le BCG;
    • – immunodépression;
    • – notion de contage;
    • – tuberculose-maladie autre associée (pulmonaire ou extrapulmonaire…).
  • Figure Tableau clinique :

    • – début progressif sur plusieurs jours ou semaines associant fièvre modérée, sueurs, altération de l’état général avec anorexie et amaigrissement, céphalées progressives, troubles psychiques (irritabilité, insomnie, troubles cognitifs);
    • – signes méningés souvent au second plan;
    • – méningite basilaire (atteinte des méninges de la base du cerveau) souvent rencontrée et associant :

      • – atteinte des nerfs crâniens : paralysie oculomotrice, paralysie faciale,
      • – troubles neurovégétatifs : anomalies du rythme respiratoire, irrégularité du pouls et de la pression artérielle,
      • – troubles de la vigilance,
      • – signes de focalisation par atteinte d’autres structures du système nerveux central possibles : arachnoïdite, épidurite, infarctus localisé, hydrocéphalie.
  • Figure LCS : typiquement clair (parfois trouble) avec pléiocytose à prédominance lymphocytaire, hyperprotéinorachie dépassant souvent 1 g/L, hypoglycorachie constante sauf au début de 456l’évolution. Diagnostic posé sur la positivité de la culture du LCS sur milieu solide de Löwenstein ou sur milieu liquide (plus rapide) ou par PCR.
  • Figure L’imagerie cérébrale peut montrer une prise de contraste méningée à la base du cerveau, des tuberculomes ou des infarctus cérébraux témoignant d’une angéite cérébrale.
  • Figure D’autres localisations tuberculeuses doivent être recherchées, pulmonaires et extrapulmonaires (notamment ophtalmique, péricardique, urogénitale, hépatique, par exemple).

6 Causes plus rares de méningites et méningo-encéphalites de présentation subaiguë ou chronique

a Maladie de Lyme

 

  • • Secondaire à une infection par Borrelia burgdorferi, un spirochète transmis par piqûre de tique en zone d’endémie, survenant en phase secondaire de la maladie, plusieurs semaines ou mois après un contage.
  • Figure Un antécédent d’érythème chronique migrateur doit être recherché à l’interrogatoire du patient, de même que d’autres manifestations de la phase secondaire : arthrites, atteinte cardiaque (bloc auriculoventriculaire, péricardite).
  • • Tableau clinique : comporte classiquement une atteinte pluriradiculaire très douloureuse associée à la méningite (méningo-encéphalite) avec possible paralysie des nerfs crâniens, en particulier le nerf facial (la maladie de Lyme est une cause de paralysie faciale périphérique bilatérale).
  • Figure LCS : typiquement clair avec pléiocytose à prédominance lymphocytaire, hyperprotéino-rachie, normoglycorachie.
  • • Une sérologie dans le sang et LCS doit être réalisée.
b Syphilis

 

  • • Les méningites aiguës à Treponema pallidum se rencontrent au cours de la phase secondaire ou tertiaire de la maladie.
  • Figure Peuvent entrer dans le cadre d’une neurosyphilis associant diverses atteintes neurologiques : méningite chronique, atteinte des nerfs crâniens (paralysie oculomotrice, atteinte du nerf optique ou auditif), signe d’Argyll-Robertson (abolition du réflexe photomoteur avec conservation de la contraction pupillaire à l’accommodation-convergence), tabès, infarctus cérébraux par angéite, démence frontale avec mégalomanie (appelée paralysie générale).
  • Figure LCS : typiquement clair avec pléiocytose à prédominance lymphocytaire, hyperprotéino-rachie, normoglycorachie.

    •  Diagnostic : positivité de la sérologie (VDRL, TPHA, FTA) dans le sang et dans le LCS (même si inconstamment positive à ce niveau-là).

7 Autres méningites et méningo-encéphalites bactériennes

Le diagnostic sera évoqué en fonction du contexte et des atteintes extraneurologiques associées. Parmi les bactéries incriminées, on retrouve :

 

  • • leptospirose;
  • • brucellose;
  • • bactéries intracellulaires : mycoplasme, Chlamydia, Legionella, Coxiella burnetii, Rickettsia.

B 457Méningites et méningo-encéphalites virales

1 Méningo-encéphalite herpétique

 

 

  • • Due à une réplication de l’‘herpes simplex virus de type 1 (HSV-1, 95 % des cas) ou de type 2 (HSV-2, 5 % des cas, avec habituellement un tableau de méningite sans note encé-phalitique) quiescent dans les ganglions nerveux céphaliques.
  • • Survient à tout âge (âge moyen : 40 ans).
  • • Symptomatologie clinique associant à divers degrés :

    • – début rapide à type de syndrome grippal, asthénie, altération de l’état général;
    • – syndrome infectieux avec fièvre quasi constante, souvent élevée;
    • – syndrome méningé plus inconstant, parfois limité aux céphalées;
    • – syndrome encéphalitique :    

      • – syndrome confusionnel avec troubles du comportement (agitation, agressivité),
      • – troubles mnésiques antérogrades marqués (oubli à mesure),
      • – troubles de la vigilance fluctuants, pouvant aller jusqu’au coma,
      • – crises épileptiques partielles simples ou complexes (illusions, hallucinations olfactives, gustatives ou auditives, crises végétatives) avec ou sans généralisation secondaire ou d’emblée généralisées,
      • – troubles du langage : aphasie de Wernicke,
      • – plus rarement, atteinte du champ visuel (quadranospie supérieure) ou motrice (hémiparésie dans les formes graves nécrotiques ou œdémateuses).

 

 

  • • L’étude du LCS permet le diagnostic positif :

    • – typiquement clair avec pléiocytose à prédominance lymphocytaire (souvent < 500/mm3), hyperprotéinorachie généralement modérée (< 1 g/L), normoglycorachie;
    • – du fait de la nécrose associée, un aspect faiblement hémorragique peut être retrouvé (10 à 1 000 hématies/mm3);
    • – dans les formes encéphalitiques pures, l’hypercytose peut être discrète et la protéino-rachie légèrement augmentée;
    • – dans les formes débutantes, le LCS peut être normal;
    • – la recherche dans le LCS d’une réplication virale de HSV par technique PCR est systématique. Elle peut être négative au début de la maladie (jusqu’à 4 jours) et doit être renouvelée en cas de suspicion clinique.

 

458

  • • L’apport des autres examens biologiques est plus limité :

    • – la recherche d’antigènes herpétiques sanguins peut être positive très précocement, mais la technique est peu sensible;
    • – les anticorps (IgM) dans le sang et le LCS sont très spécifiques mais la positivité est tardive (environ 8 jours).
  • • D’autres examens complémentaires peuvent aider au diagnostic :

    • – imagerie cérébrale :

      • – I RM cérébrale : elle peut montrer des hypersignaux sur les séquences T2 et FLAIR, principalement localisés au niveau des lobes temporaux (topographie antérieure évoluant vers la région moyenne et médiale) et des régions frontales orbitaires, le plus souvent bilatéraux mais asymétriques, avec prise de contraste sur la séquence T1 au gadolinium (fig. 24.5). L’évolution vers une atrophie des noyaux amygdaliens et de l’hippocampe est souvent retrouvée,

        L'IRM en séquence FLAIR montre des zones hyperintenses dans le lobe temporal, caractéristiques d'une méningo-encéphalite herpétique, essentielles pour le diagnostic et le traitement.

        Fig. 24.5 Figure IRM cérébrale en séquence FLAIR chez un patient présentant une méningo-encéphalite herpétique.   
        Hypersignal franc des régions antérieure et médiale du lobe temporal droit, avec atteinte plus subtile de la région médiale du lobe temporal gauche.

        L'image montre une IRM cérébrale en séquence FLAIR d'un patient présentant une méningo-encéphalite herpétique. La séquence FLAIR, ou Fluid Attenuated Inversion Recovery, est une technique d'imagerie par résonance magnétique qui permet de supprimer le signal du liquide céphalorachidien pour mieux visualiser les anomalies du parenchyme cérébral. Dans le cas de la méningo-encéphalite herpétique, une infection causée par le virus de l'herpès simplex, cette séquence est particulièrement utile pour détecter les lésions inflammatoires et les œdèmes dans le cerveau. Sur cette image, on peut observer des zones hyperintenses, c'est-à-dire des régions plus claires, qui indiquent la présence d'inflammation et de dommages au niveau du lobe temporal, une localisation typique de cette infection. La méningo-encéphalite herpétique est une condition grave qui nécessite une prise en charge rapide et appropriée pour éviter des complications sévères. L'IRM en séquence FLAIR est donc un outil diagnostique essentiel pour identifier et évaluer l'étendue des lésions cérébrales causées par cette infection. Les zones hyperintenses visibles sur l'image sont des indicateurs clés de l'inflammation, permettant aux cliniciens de mieux comprendre la gravité de la maladie et de planifier le traitement en conséquence. En résumé, cette IRM révèle des lésions inflammatoires caractéristiques de la méningo-encéphalite herpétique, offrant des informations cruciales pour le diagnostic et la gestion de cette affection.

      • – scanner cérébral : moins sensible que l’IRM, il peut mettre en évidence une hypoden-sité avec œdème et prise de contraste gyriforme de ces mêmes régions,
      • – l ‘imagerie cérébrale peut retrouver un effet de masse avec signes d’engagement cérébral dans les formes graves;
    • – EEG : il peut montrer des anomalies paroxystiques séparées par des intervalles réguliers prenant un aspect périodique (LPDs). Les anomalies initialement sont latéralisées plutôt en regard des régions frontales et temporales puis se diffusent dans un second temps avec l’évolution d’agression cérébrale infectieuse.

2 459Autres méningites virales

 

 

  • Figure Principaux virus en cause connus :

    • – enterovirus : coxsackies A et B, échovirus, poliovirus;
    • – myxovirus et paramyxovirus : grippe, rougeole, oreillons;
    • – virus du groupe herpès : VZV (à évoquer devant vésicules cutanées, atteinte d’un nerf crânien ou signes de vasculopathie à l’imagerie cérébrale), Epstein-Barr virus (EBV), cytomégalovirus (CMV), human herpesvirus de type 6 (HHV-6);
    • – arbovirus : tick-borne encephalitis, fièvre de la vallée du Rift, West Nile virus ;
    • – encéphalite japonaise;
    • – primo-infection par le VIH (voir l’item 169 du référentiel des maladies infectieuses).
  • • LCS : clair avec pléiocytose à prédominance lymphocytaire, hyperprotéinorachie modérée (< 1 g/L), normoglycorachie. L’identification du virus par PCR a peu d’intérêt du fait de l’absence de sanction thérapeutique, à l’exception du VIH et du VZV en cas d’encéphalite associée.
  • • L’évolution est favorable en quelques jours.

C Abcès cérébraux

Les agents infectieux impliqués dans les abcès cérébraux dépendent de la porte d’entrée. Chez le patient immunocompétent, les bactéries les plus fréquemment retrouvées sont :

 

  • Figure en cas de porte d’entrée ORL et dentaire : streptocoques oraux et du groupe milleri (Streptococcus anginosus, S. constellatus et S. intermedius), anaérobies. La flore est souvent polymicrobienne;
  • • en cas de porte d’entrée hématogène : Straphylococcus aureus, Listeria (abcès cérébelleux et du tronc cérébral), Mycobacterium tuberculosis ;
  • • en post-traumatique et post-neurochirurgical : Straphylococcus aureus, entérobactéries, Pseudomonas aeruginosa.

Chez le patient immunodéprimé, d’autres agents peuvent être en cause : toxoplasmose cérébrale, nocardioses, champignons (Aspergillus, cryptocoques, Candida).

 

V 460461Prise en charge thérapeutique

A Mesures générales

 

  • Figure En urgence, en milieu hospitalier, dans une unité ayant l’expérience de la prise en charge, et si possible avec une unité de surveillance continue.
  • • Mesures d’isolement infectieux en attente du diagnostic bactériologique.
  • • Le traitement symptomatique comporte :

    • – antipyrétiques;
    • – antalgiques;
    • – correction des troubles hydroélectrolytiques;
    • – traitement antiépileptique si crise épileptique.

 

B Traitement et évolution des méningites et méningo-encéphalites bactériennes

1 Antibiothérapie

 

  • • L’antibiothérapie, urgente, parentérale IV à forte dose, bactéricide, est guidée par les résultats initiaux de l’analyse du LCS (tableau 24.3). Outre les situations imposant de débuter le traitement avant la réalisation de la PL (voir plus haut), l’antibiothérapie doit être administrée avant d’obtenir les premiers résultats du LCS en cas d’aspect trouble de ce dernier.

    Tableau 24.3

    Figure Choix de l’antibiothérapie de première intention en cas d’examen direct positif et après documentation microbiologique des méningites bactériennes aiguës en fonction des données du LCS

    Traitement de première intention en fonction des résultats de l’examen direct (coloration de Gram) Antibiothérapie après confirmation microbiologique    
    Examen direct Antibiotique Documentation microbiologique Poursuite du traitement
    Suspicion de pneumocoque (cocci à Gram positif) C3G (céfotaxime ou ceftriaxone^ Streptococcus pneumoniae Poursuite C3G pour une durée de 10 à 14 jours
    Suspicion de méningocoque (cocci à Gram négatif) C3G (céfotaxime ou ceftriaxone)b Neisseria meningitidis Poursuite C3G ou relais par amoxicllllne IV si la souche n’est pas de sensibilité diminuée, pour une durée de 4 à 7 jours
    Suspicion de listériose (bacille à Gram positif) Amoxicilline + gentamicinec Listeria monocytogenes Amoxicilline (pendant 21 jours) + gentamicine (pendant 5 jours)
    Suspicion de Haemophilus Influenzae (bacille à Gram négatif) C3G (céfotaxime ou ceftriaxone) Haemophilus influenzae Poursuite C3G pour une durée de 7 jours
    Suspicion d’‘Escherichia coli (bacille à Gram négatif) C3G (céfotaxime ou ceftriaxone) + gentamicine si âge < 3 mois Escherichia coli Poursuite C3G pour une durée de 21 jours (+ poursuite gentamicine 5 à 7 jours si âge < 3 mois)

    image

    a En cas d’allergie aux C3G : vancomycine + rifampicine, ou méropénème. b En cas d’allergie aux C3G : ciprofloxacine ou rifampicine. c En cas d’allergie aux p-lactamines : cotrimoxazole en monothérapie. C3G : céphaslosporine de 3e génération; LCS : liquide cérébrospinal.

  • • En cas d’examen direct négatif et méningite purulente :

    • – en l’absence d’argument clinique pour une listériose, le traitement antibiotique doit comporter une C3G (céfotaxime ou ceftriaxone) par voie IV, en association avec genta-micine chez les nourrissons de moins de 3 mois; en cas d’allergie aux bêtalactamines : association vancomycine + rifampicine;
    • – en présence d’arguments cliniques pour une listériose, le traitement antibiotique doit comporter une C3G (céfotaxime ou ceftriaxone) par voie IV, en association avec amoxi-cilline et gentamicine. En cas d’allergie aux bêtalactamines : association vancomycine + rifampicine + cotrimoxazole.
  • • L’adaptation et la durée totale du traitement sont définies après documentation microbiologique et les résultats de l’antibiogramme de l’agent infectieux identifié. Lorsque aucune documentation microbiologique n’a pu être obtenue et que le diagnostic de méningite bactérienne reste envisagé, l’antibiothérapie initiale est maintenue à l’identique pour une durée de 14 jours.
  • Figure Les autres causes bactériennes nécessitent un traitement spécifique :

    • – méningite tuberculeuse : quadrithérapie rifampicine, isoniazide, pyrazinamide et étham-butol pendant 2 mois, puis bithérapie rifampicine et isoniazide pendant 10 mois;
    • – maladie de Lyme : ceftriaxone par voie IV pendant 3 à 4 semaines;
    • – syphilis : pénicilline G par voie IV pendant 2 à 3 semaines.

2 462Corticothérapie

 

  • Figure La dexaméthasone a une action anti-inflammatoire et son bénéfice est d’autant plus marqué si elle est administrée avant l’antibiothérapie.
  • • Les indications sont :

    • – diagnostic microbiologique chez l’adulte de méningite à pneumocoque ou à méningocoque;
    • – diagnostic microbiologique chez l’enfant ou le nourrisson de méningite à pneumocoque ou à Haemophilus influenzae ;
  • – diagnostic présumé de méningite bactérienne sans certitude microbiologique mais décision de traitement probabiliste par antibiotique chez l’adulte et chez le nourrisson de 3 à 12 mois. Il s’agit des cas suivants :

    • – indication d’une imagerie cérébrale, qui retarde de facto la réalisation de la ponction lombaire,
    • – LCS trouble,
    • – examen direct du LCS négatif, mais les données fournies par les autres examens biologiques du LCS et du sang permettent de retenir le diagnostic de méningite bactérienne.
  • • Si le diagnostic finalement retenu ne correspond pas aux indications de la corticothérapie, celle-ci doit être arrêtée. Elle est contre-indiquée en cas d’immunodépression. Elle ne doit pas être utilisée en cas de forte suspicion de listériose neuroméningée.
  • • Modalités d’administration : injection intraveineuse, première injection immédiatement avant ou de façon concomitante à la première injection d’antibiotique, au plus tard dans les 12 heures qui suivent le début de l’antibiothérapie, pour une durée de 4 jours.

463

3 Mesures associées

 

  • • Méningite à pneumocoque ou Haemophilus influenzae : recherche et prise en charge spécifique d’un foyer infectieux pulmonaire ou ORL.
  • • Méningite à pneumocoque : scanner à la recherche d’une brèche ostéoméningée, en particulier en cas d’antécédent de traumatisme crânien, d’intervention neurochirurgicale ou ORL, d’otorrhée ou de rhinorrhée de LCS, ou de méningites bactériennes récidivantes.
  • • Méningite à méningocoque : déclaration obligatoire au médecin inspecteur de santé publique de l’agence régionale de santé (ARS) afin d’organiser l’antibioprophylaxie et la vaccination éventuelle des contacts du patient.
  • • Méningite tuberculeuse : déclaration obligatoire.
  • • Méningite à pneumocoque chez l’enfant : suivi audiométrique.

 

 

4 Mesures préventives

 

  • Figure Prévention autour d’un cas dans les méningites à méningocoque1 :    

    • – précautions complémentaires de type goutelettes initialement (masque);
    • – 464déclaration obligatoire à l’ARS;
    • – antibioprophylaxie en urgence (dans les 24 à 48 heures suivant le diagnostic, au plus tard dans les 10 jours après dernier contact avec sujet infecté) chez les sujets contacts (médecin de ville ou hospitalier en lien avec médecin en charge de la veille sanitaire de l’ARS chargé d’identifier les contacts : tous les membres vivant sous le même toit que la personne infectée; sujets en contact direct, proche et prolongé, avec sécrétions rhinopharyngées dans les 10 jours qui précèdent; personnel soignant ayant réalisé un bouche-à-bouche ou une intubation ou aspiration orotrachéale sans masque) :

      • – rifampicine per os pendant 2 jours en première intention,
      • – ou si contre-indication ou résistance à la rifampicine : ciprofloxacine orale en dose unique ou ceftriaxone injectable en dose unique;
    • – vaccination en complément de l’antibioprophylaxie aux contacts qui se retrouvent de manière régulière et répétée dans l’entourage proche du cas-index, c’est-à-dire sa communauté de vie (sujets vivant sous le même toit, amis, voisins de classe).
  • • Prévention des méningites à pneumocoque des sujets à risque reposant sur la vaccination des sujets à haut risque : asplénie fonctionnelle ou splénectomie, drépanocytose homozygote, infection à VIH, syndrome néphrotique, insuffisance respiratoire, insuffisance cardiaque, alcoolisme ou hépatopathie chronique, antécédents d’infection pulmonaire ou invasive à pneumocoque, immunosuppression.

C Traitement et évolution des méningites et méningo-encéphalites virales

 

  • Figure Le traitement de la méningo-encéphalite herpétique est une urgence. Il doit être commencé avant d’obtenir les résultats de la recherche PCR. Il repose sur l’aciclovir IV (10 mg/kg toutes les 8 heures) pendant 21 jours. L’aciclovir doit être administré en perfusion lente et associé à une bonne hydratation, afin de limiter le risque d’insuffisance rénale aiguë par tubulopathie obstructive (cristaux d’aciclovir intratubulaires).
  • • Le traitement de l’encéphalite zostérienne (VZV) est identique à celui de l’encéphalite herpétique mais avec une dose d’aciclovir plus élevée (15 mg/kg en IV toutes les 8 heures).
  • • Les autres méningites virales requièrent un simple traitement symptomatique.

 

 

465

 


1Voir instruction no DGS/SP/2018/163 du 2 juillet 2018 relative a la prophylaxie des infections invasives a meningocoque : https://sante.gouv.fr/IMG/pdf/instruction_dgs_sp_2018_163.pdf