Situations de départ
64 Vertige et sensation vertigineuse.
Objectifs pédagogiques
Chez un sujet se plaignant de vertige, argumenter les principales hypothèses diagnostiques et justifier les examens complémentaires pertinents.
Connaître les grands principes de prise en charge.
Hiérarchisation des connaissances
| Rang | Rubrique | Intitulé | Descriptif |
|---|---|---|---|
| Éléments physiopathologiques | Mécanismes du syndrome vestibulaire aigu | ||
| Définition | Définition du vertige | ||
| Définition | Savoir reconnaître les diagnostics différentiels d’un vertige | Lipothymie, flou visuel, épilepsie, manifestations phobiques | |
| Diagnostic positif | Savoir mener l’interrogatoire d’un patient vertigineux | Savoir rechercher les éléments sémiologiques : caractère, durée, mode d’apparition, évolution, signes d’accompagnement, antécédents | |
| Diagnostic positif | Devant un vertige, savoir diagnostiquer un syndrome vestibulaire | Connaître les signes en faveur d’une origine centrale ou périphérique | |
| Diagnostic positif | Savoir reconnaître un vertige positionnel paroxystique bénin | ||
| Étiologies | Connaître les arguments, face à un vertige, en faveur des différentes étiologies de vertige | ||
| Étiologies | Connaître les principales causes de vertige unique prolongé | Névrite vestibulaire, accident vasculaire cérébral vertébrobasilaire, fracture trans-labyrinthique du rocher, labyrinthite infectieuse | |
| Étiologies | Connaître les principales causes de vertige récurrent prolongé | Migraine vestibulaire, maladie de Menière, neurinome du VIII | |
| Étiologies | Connaître les principales causes de vertige avec atteinte otologique associée | Labyrinthite infectieuse, fracture du rocher, fistule labyrinthique | |
| Identifier une urgence | Savoir évoquer un accident vasculaire ischémique dans le territoire vertébrobasilaire devant un syndrome vestibulaire central | ||
| Examens complémentaires | Indication des examens d’imagerie devant un vertige* | Si signes neurologiques associés : IRM cérébrale et des conduits auditifs internes Si signes otologiques : TDM os temporal + IRM si besoin Si vertige périphérique typique (ex. : vertige position paroxystique bénin), pas d’imagerie Si vertige atypique, IRM des conduits auditifs internes et de la fosse postérieure* |
|
| Prise en charge | Connaître les principes du traitement symptomatique de la crise vertigineuse* | ||
| Prise en charge | Connaître le principe des manœuvres diagnostique et thérapeutique d’un vertige position paroxystique bénin* | ||
| Contenu multimédia | Reconnaître un nystagmus vestibulaire horizonto-rotatoire | Vidéo clinique d’un nystagmus horizonto-rotatoire |

I 243Définition
Le vertige est une illusion de mouvement, soit du patient, soit de l’environnement, qui se traduit le plus souvent par une impression de rotation ou parfois de déplacement linéaire. Il peut s’agir d’un symptôme spontané, déclenché ou majoré par les mouvements de la tête. Il s’accompagne habituellement de signes neurovégétatifs tels que des nausées, des vomissements ou des sueurs. Il n’existe pas de troubles de la conscience au cours de la crise. Le vertige ainsi défini traduit généralement une perturbation fonctionnelle ou lésionnelle du système vestibulaire, de la périphérie à ses connexions centrales.
Les vertiges sont un motif fréquent de consultation, puisqu’une personne sur sept environ dit en avoir éprouvé au moins une fois. Il s’agit d’un symptôme banal, mais pouvant révéler une cause grave.
Attention, le terme vertige est souvent utilisé par les patients pour désigner bien autre chose qu’un vertige au sens médical du terme. Le premier temps de l’examen est celui d’un interrogatoire méticuleux afin d’éliminer les « pseudo-vertiges ». Il s’agit le plus souvent du malaise lipothymique dont les symptômes associent flou visuel, tête lourde, acouphènes, sensations de jambes flageolantes, paresthésies des quatre extrémités, impression de perte de connaissance imminente. Le vertige des hauteurs est un faux vertige d’origine phobique. L’ataxie posturale qui est une sensation d’instabilité ou d’ébriété, parfois augmentée par les mouvements de tête, peut être d’origine vestibulaire mais également d’autre origine comme cérébelleuse ou proprioceptive. Parfois le terme vertige est encore plus largement dévoyé pour décrire « fatigue », « céphalées »…
II Rappel physiopathologique
Le système vestibulaire périphérique constitué du labyrinthe postérieur (canaux semi-circulaires, utricule, saccule) est sensible à la position et aux déplacements de la tête. Les crêtes ampullaires des canaux semi-circulaires détectent les mouvements de rotation de la tête. Les macules otolithiques de l’utricule et du saccule détectent les mouvements linéaires de la tête et la direction gravitaire. 244Les informations issues du labyrinthe postérieur sont véhiculées dans le nerf cochléovestibulaire (VIIIe nerf crânien) et sont intégrées dans les noyaux vestibulaires du tronc cérébral. Les noyaux vestibulaires sont étroitement connectés avec le cervelet et les noyaux végétatifs du tronc cérébral.
Les réseaux neuronaux issus des noyaux vestibulaires participent à trois fonctions principales (fig. 14.1) : la perception de nos déplacements et l’orientation spatiale grâce aux voies vesti-bulocorticales, la stabilisation du regard pendant nos déplacements grâce au réflexe vestibulo-oculaire et le contrôle postural statique et dynamique grâce au réflexe vestibulospinal.

Représentation schématique des voies vestibulaires périphériques et centrales, de leurs fonctions et des symptômes du syndrome vestibulaire.La représentation schématique montre les voies vestibulaires périphériques et centrales, leurs fonctions et les symptômes du syndrome vestibulaire. Le schéma est divisé en deux parties principales : le système vestibulaire périphérique et le système vestibulaire central. Le système vestibulaire périphérique comprend le labyrinthe et le nerf vestibulaire, responsables de la détection des mouvements de la tête et de l'équilibre. Le nerf vestibulaire transmet ces informations au cerveau. Le système vestibulaire central comprend les noyaux vestibulaires dans le bulbe rachidien et le cervelet. Ils traitent les informations du système vestibulaire périphérique et les intègrent pour maintenir l'équilibre et la posture. Le schéma montre trois voies efférentes : la voie vestibulo-corticale (perception de l'orientation et du mouvement), la voie vestibulo-oculomotrice (stabilisation du regard) et la voie vestibulo-spinale (stabilisation posturale). Les symptômes du syndrome vestibulaire incluent le vertige, le nystagmus (mouvement involontaire des yeux) et l'ataxie vestibulaire (difficulté à maintenir l'équilibre).
Un processus lésionnel aigu ou subaigu d’une des structures vestibulaires entraîne un fonctionnement asymétrique qui est interprété par le cerveau comme une stimulation relative du côté de l’oreille la plus active. Compte tenu de la triple fonction vestibulaire, le syndrome vestibulaire associe un vertige (perception anormale de déplacement), un nystagmus (stimulation anormale du réflexe vestibulo-oculaire) et une ataxie posturale (stimulation anormale des voies vestibulospinales). Les signes végétatifs – nausées, vomissements et sueurs – sont très fréquents. Une atteinte chronique ou progressive ou bilatérale des structures vestibulaires se manifeste essentiellement par une ataxie vestibulaire, sans vertige ni nystagmus.
Un vertige peut résulter d’une atteinte : 1) du labyrinthe vestibulaire : vertige paroxystique positionnel bénin, maladie de Menière, labyrinthite…; 2) du nerf vestibulaire : schwannome vestibulaire (neurinome de l’acoustique), névrite vestibulaire; 3) des noyaux vestibulaires et des voies vestibulaires centrales dans le tronc cérébral, ou le cervelet : AVC ischémique ou hémorragique, tumeur, migraine.
III 245Examen du patient vertigineux
L’interrogatoire et l’examen clinique sont fondamentaux dans la conduite diagnostique. Ils permettent de reconnaître le syndrome vestibulaire, de connaître la durée, les facteurs déclenchants et la récurrence des vertiges, les symptômes associés au vertige, notamment neurologiques ou otologiques. L’ensemble de ces données est fondamental pour étayer le diagnostic topographique et étiologique.
A Interrogatoire
- • Caractéristiques : vertige rotatoire ou linéaire, instabilité ou ébriété. Pour la pratique, il est important de demander au patient s’il s’agit d’une sensation de rotation comme sur un manège ou de chute prolongée comme le grand huit, les deux définissant le vertige, ou d’une sensation de déséquilibre postural, de tangage, d’instabilité du sol, définissant plus une instabilité ou sensation d’ébriété.
- • Mode d’installation : brutal (vasculaire), rapidement progressif, positionnel. Pour la pratique, il faut demander au patient si le vertige ne survient que dans certaines positions de la tête, notamment en se retournant dans son lit.
-
• Durée et fréquence : c’est l’élément déterminant de l’interrogatoire qui permet de classer les vertiges en quatre catégories très utiles sur le plan du diagnostic étiologique :
- – le grand vertige inaugural continu sur plusieurs heures;
- –
le vertige inaugural transitoire (moins d’une heure); - –
les vertiges positionnels paroxystiques (quelques secondes) et récurrents; - – les vertiges récurrents sous forme de crises répétées de plusieurs minutes à quelques heures.
- • Terrain, antécédents : terrain vasculaire, sclérose en plaques, migraines, antécédents trau-matiques, passé otitique, terrain psychique, médicaments ototoxiques.
- • Symptômes associés vestibulaires (ataxie, ébriété), neurovégétatifs, neurologiques (diplopie, céphalées, paresthésies, dysarthrie, dysphagie, hoquet, maladresse d’un membre, troubles visuels) ou auditifs (surdité, acouphènes, sensation de plénitude auriculaire, otalgie).
B Examen clinique
1 Examen vestibulaire
L’examen vestibulaire repose sur la mise en évidence d’anomalies oculomotrices (nystagmus) et d’une ataxie vestibulaire.
a Anomalies oculomotrices
Nystagmus
Un nystagmus est un mouvement oculaire régulier de va-et-vient des yeux composé au moins d’une phase lente. Un nystagmus peut être d’origine vestibulaire périphérique, vestibulaire centrale ou non vestibulaire.
Le nystagmus vestibulaire est dit « à ressort » car composé d’une phase lente et d’une phase de retour rapide (vidéo 14.1).
L’examen clinique doit préciser :
- • son sens de battement : par convention, il est donné par celui de la phase rapide;
- • sa direction : horizontale, verticale, rotatoire, mixte;
- • 246l’influence de la direction du regard (il doit notamment être recherché dans les regards latéraux).
La vidéo 14.2
montre un nystagmus vestibulaire périphérique typique.
Dans le cas d’un vertige positionnel, la manœuvre de Dix et Hallpike (vidéo 14.3
) permet de rechercher le nystagmus associé au vertige.
Les caractéristiques du nystagmus du vertige positionnel paroxystique bénin sont précisées plus loin : voir 1. Vertige positionnel paroxystique bénin (VPPB). Les caractéristiques d’un nystagmus vestibulaire périphérique ou central sont spécifiées dans le tableau 14.1.
Caractéristiques d’un nystagmus vestibulaire périphérique ou central.
| Périphérique | Central |
|---|---|
| Atténué par la fixation oculaire | Non atténué par la fixation oculaire |
| Ne changeant pas de direction | Peut changer de direction, en fonction de la direction du regard |
| Amplifiés et souvent observé uniquement dans la direction de la phase rapide | |
| De direction horizonto-rotatoire ou vertico-rotatoire | Peut être uniquement vertical ou uniquement rotatoire |
| Compensant rapidement | Persistant dans le temps |
Déficit vestibulo-oculaire
L’examen clinique doit également rechercher une déficit vestibulo-oculaire lors de la manœuvre du head impulse test (HIT, vidéo 14.4
), qui teste la fonction vestibulaire canalaire. Elle permet de détecter un déficit vestibulaire périphérique dans le plan horizontal. En pratique, des impulsions brèves et rapides de la tête sont données au patient, soit vers la gauche, soit vers la droite, tandis que le sujet a pour consigne de fixer une cible (le nez de l’examinateur) située en face de lui. Si la fonction vestibulaire est normale, le regard reste fixé sur la cible. Si la fonction vestibulaire est anormale, le patient effectue une saccade de refixation oculaire, car il a perdu la cible.
b Ataxie vestibulaire
Un syndrome vestibulaire donne généralement des troubles posturaux latéralisés, dont une caractéristique essentielle est son aggravation à la fermeture des yeux.
L’examen clinique recherche des troubles posturaux statiques ou dynamiques :
- • au lever d’une chaise : embardées, prise d’appui;
- • épreuve de Romberg : sujet debout, pieds joints, yeux ouverts puis fermés. Un sujet normal tient > 6 secondes les yeux fermés. En cas de troubles proprioceptifs, les oscillations du corps se font en tous sens. En cas d’atteinte vestibulaire, on observe une déviation lente de l’axe du corps toujours du même côté;
- • à la marche normale et sur une ligne (funambule) : embardées, chutes;
- • à la marche aveugle : le patient réalise à plusieurs reprises trois pas en avant puis trois pas en arrière. En cas d’atteinte vestibulaire, la déviation latérale de l’axe du corps fait que le sujet ne reste pas sur la même ligne mais se déplace en étoile;
- • manœuvre de Fukuda (vidéo 14.5
) : le sujet debout, yeux fermés, marche sur place. En cas d’atteinte vestibulaire, on observe une déviation latéralisée ou une chute; - • en position assise bras tendus (manœuvre des index, vidéo 14.6
) : déviation latéralisée des index.
2 247Examen otologique
Au minimum, il est fait d’une otoscopie puis d’un examen audiométrique. Ces examens ont pour but de rechercher certaines causes évidentes (ex. : cholestéatome) et d’identifier une surdité associée pouvant orienter le diagnostic.
3 Examen neurologique
Il recherche au minimum une paralysie oculomotrice, un signe de Claude Bernard-Horner, une paralysie faciale, un déficit sensitif facial, une atteinte des nerfs mixtes, un syndrome cérébelleux et un déficit sensitivo-moteur hémicorporel.
C Explorations audiovestibulaires
Leurs indications sont du domaine du spécialiste.
1 Explorations auditives
a Audiométrie
- •
L’audiométrie tonale différencie une surdité de transmission d’une surdité de perception. - • L’audiométrie vocale détecte une surdité de perception rétrocochléaire.
b Potentiels évoqués auditifs
Les potentiels évoqués auditifs (PEA) explorent la totalité de la voie auditive et sont utiles au dépistage d’un schwannome vestibulaire.
2 Explorations vestibulaires
a Vidéonystagmographie
Elle permet l’analyse vidéo des nystagmus spontanés ou induits par la stimulation vestibulaire, incluant la rotation du patient ou l’épreuve calorique. Pour cette dernière, le conduit auditif externe droit puis gauche est successivement irrigué par de l’eau chaude puis de l’eau froide. Cette stimulation thermique induit un mouvement des crêtes ampullaires simulant une rotation de la tête. La quantification et la comparaison du nystagmus induit par chacune des stimulations permettent d’affirmer un éventuel déficit vestibulaire périphérique unilatéral.
b Posturographie
Elle permet une exploration statique et dynamique de l’équilibre.
IV Orientation diagnostique d’un vertige
A Vertiges positionnels paroxystiques
Un vertige positionnel est déclenché spécifiquement par un changement de position de la tête. L’interrogatoire recherche notamment un vertige déclenché par le retournement dans son lit, le coucher, le lever ou l’hyperextention de la tête. Le patient doit être asymptomatique en dehors de ces positions. Il s’agit le plus souvent d’un vertige paroxystique positionnel bénin. Le diagnostic différentiel principal est le vertige positionnel central.
1 Vertige positionnel paroxystique bénin (VPPB)
Il représente le tiers des causes de consultation pour vertiges. Il s’agit d’un vertige bref de moins de 30 secondes, le plus souvent intense, rotatoire ou linéaire (chute dans un trou), avec ou sans nausées. Il est récurrent et déclenché exclusivement par des mouvements spécifiques : se retourner dans son lit, se lever, se coucher, regarder en l’air. La crise de VPPB se répète durant une période de 3 semaines à 1 mois le plus souvent. Il n’y a aucun symptôme associé et le patient est asymptomatique entre deux vertiges. Il peut survenir dans les suites immédiates d’un traumatisme crânien ou à distance d’une névrite vestibulaire, mais, le plus souvent, aucune cause n’est retrouvée.
Le mécanisme est expliqué dans la figure 14.2.

Mécanisme du vertige paroxystique positionnel bénin. Le mécanisme correspond au détachement de particules otolithiques provenant de la macule se déposant sur la crête ampullaire ou dans l’ampoule du canal semi-circulaire postérieur. Toute stimulation du canal semi-circulaire postérieur induit une déflexion massive de la crête ampullaire du fait de la masse exercée par les dépôts. Le cerveau interprète le signal nerveux issu de cette stimulation comme une rotation massive de la tête.
Illustration de Carole Fumat.
Le vertige paroxystique positionnel bénin (VPPB) est un trouble de l'oreille interne qui provoque des épisodes de vertige. Il est causé par le déplacement de petites particules de carbonate de calcium, appelées otolithes, dans les canaux semi-circulaires de l'oreille interne. Ces particules, normalement situées dans l'utricule, peuvent migrer et perturber le flux de liquide dans les canaux semi-circulaires, envoyant ainsi des signaux erronés au cerveau concernant la position de la tête. Les otolithes déplacés stimulent de manière inappropriée les cellules sensorielles des canaux semi-circulaires lors des mouvements de la tête, provoquant une sensation de rotation ou de vertige. Les épisodes de vertige sont souvent déclenchés par des mouvements spécifiques de la tête, comme se lever, se coucher ou tourner la tête rapidement. Le VPPB est diagnostiqué par des tests cliniques, comme la manœuvre de Dix-Hallpike, qui permet de reproduire les symptômes et d'observer les mouvements anormaux des yeux (nystagmus) associés au vertige. Le traitement consiste en des manœuvres de repositionnement, telles que la manœuvre d'Epley, visant à déplacer les otolithes hors des canaux semi-circulaires et à les remettre dans l'utricule. En résumé, le VPPB est causé par le déplacement des otolithes dans les canaux semi-circulaires, entraînant des vertiges positionnels.
Le diagnostic repose sur la provocation du vertige et la mise en évidence du nystagmus posi-tionnel qui lui est associé par la manœuvre de Dix et Hallpike (vidéo 14.3
). Le nystagmus apparaît avec un temps de latence, de direction vertico-rotatoire battant vers le sol, épuisable en moins de 30 secondes (vidéo 14.7
). En dehors de cette manœuvre, le reste de l’examen clinique vestibulaire, neurologique et otologique est normal. Aucun examen complémentaire (explorations vestibulaires ou imagerie) n’est nécessaire si tous les éléments cliniques sont réunis.
248
Le traitement consiste en une manœuvre thérapeutique qui mobilise les débris otolithiques et les disperse. Deux manœuvres thérapeutiques ont fait la preuve de leur efficacité : la manœuvre libératoire décrite par Semont (fig. 14.3) et la manœuvre de repositionnement des particules décrite par Epley (fig. 14.4). Elles visent toutes deux à libérer le canal semi-circulaire postérieur des débris d’otoconies, en réalisant une rotation de 180° dans le plan du canal vers l’avant. Ces différentes méthodes thérapeutiques ont une efficacité équivalente, estimée à une guérison dans 80 à 90 % des cas (en une ou deux manœuvres).

Manœuvre thérapeutique de Semont. Le patient est lentement allongé latéralement sur le côté déclenchant le vertige (ici à gauche), la tête tournée de 45° du côté opposé (ici à droite). Le patient est ensuite basculé rapidement dans le plan frontal de 180° sur son côté opposé (ici à droite), la tête maintenue en rotation (ici droite). L’apparition d’un vertige et d’un nystagmus rotatoire (vidéo 14.7
) signe la guérison.La manœuvre thérapeutique de Semont est une technique utilisée pour traiter le vertige positionnel paroxystique bénin (VPPB). Cette manœuvre consiste en une série de mouvements rapides et contrôlés pour repositionner les cristaux de calcium (otolithes) dans l'oreille interne. La procédure commence avec le patient assis sur une table d'examen. Le thérapeute tourne la tête du patient à 45 degrés vers le côté affecté. Ensuite, le patient est rapidement allongé sur le côté opposé, de sorte que la tête soit tournée vers le plafond. Cette position est maintenue pendant environ 30 secondes. Ensuite, sans changer l'orientation de la tête, le patient est rapidement déplacé à travers une position assise et allongé sur le côté opposé. La tête est maintenant tournée vers le sol. Cette position est également maintenue pendant environ 30 secondes. Enfin, le patient est ramené à la position assise initiale. Cette manœuvre permet de déplacer les otolithes hors des canaux semi-circulaires de l'oreille interne, réduisant ainsi les symptômes de vertige. Il est important de noter que cette manœuvre doit être réalisée par un professionnel de la santé formé pour éviter tout risque de blessure ou de complications.

Manœuvre thérapeutique d’Epley. Le patient est couché dans la position de la manœuvre de Hallpike (ici à gauche). La tête est maintenue dans cette position pendant une minute et demie. Ensuite, la tête toujours en hyperextension, deux rotations successives de 90° (1 à 4 et 5 à 8) sont effectuées lentement, avec une pause d’une minute et demie entre chaque rotation. Cette manœuvre est plus longue mais plus simple à mettre en œuvre chez des patients âgés ou difficilement mobilisables.
La manœuvre thérapeutique d’Epley est une technique utilisée pour traiter le vertige positionnel paroxystique bénin (VPPB). Cette manœuvre consiste en une série de mouvements de la tête et du corps pour repositionner les cristaux de calcium (otolithes) dans l'oreille interne. Voici les étapes de la manœuvre d’Epley : Le patient commence en position assise sur une table d'examen, avec la tête tournée à 45 degrés vers le côté affecté. Le thérapeute soutient la tête du patient. Le patient est ensuite rapidement allongé sur le dos avec la tête toujours tournée à 45 degrés. Cette position est maintenue pendant environ 30 secondes. La tête du patient est ensuite tournée de 90 degrés dans la direction opposée, de sorte qu'elle soit maintenant tournée à 45 degrés de l'autre côté. Cette position est maintenue pendant environ 30 secondes. Le patient tourne ensuite le corps et la tête de 90 degrés supplémentaires dans la même direction, se retrouvant sur le côté. Cette position est maintenue pendant environ 30 secondes. Enfin, le patient retourne à la position assise initiale. Ces mouvements permettent de déplacer les otolithes hors des canaux semi-circulaires de l'oreille interne, où ils provoquent des vertiges, vers une zone où ils ne causent plus de symptômes. La manœuvre d’Epley est souvent réalisée par un professionnel de la santé, mais peut également être apprise par les patients pour une auto-administration à domicile.
2 Autres vertiges positionnels
Les lésions cérébelleuses ou du tronc cérébral peuvent induire une séméiologie vestibulaire centrale positionnelle dont le diagnostic différentiel n’est pas toujours aisé avec un VPPB. S’il existe des atypies, des signes neurologiques ou si le tableau résiste aux manœuvres libératoires, une IRM encéphalique est indiquée.
Une intoxication alcoolique aiguë est une cause fréquente de vertige positionnel.
L’association de vertiges positionnels à des signes otologiques conduit à une exploration ORL à la recherche d’une pathologie spécifique : fistule périlymphatique, schwannome vestibulaire.
B Grand vertige inaugural de plusieurs heures
Un vertige aigu constant sur plus de 12 heures correspond à un syndrome vestibulaire destructif : vertiges rotatoires intenses, difficulté de maintenir la station debout, nystagmus, recrudescence des vertiges aux mouvements de la tête, intense réaction végétative avec vomissements, intense réaction anxieuse. Quand il est isolé, le diagnostic le plus fréquent est la névrite ves-tibulaire, et le diagnostic différentiel principal est représenté par l’accident vasculaire isché-mique cérébelleux.
1 249250Névrite vestibulaire
À la phase aiguë, la névrite vestibulaire se présente sous la forme d’un grand vertige durable (24 à 48 heures), permanent et accentué par les mouvements de tête. Il n’y a aucun signe neurologique ou cochléaire. Elle peut faire suite à un épisode viral. Le syndrome vestibulaire est harmonieux, par exemple pour une lésion droite :
- • nystagmus horizonto-rotatoire battant à gauche;
- • déficit du réflexe vestibulo-oculaire au HIT du côté droit;
- • ataxie latéralisée du côté droit et station debout possible;
- • signes végétatifs intenses.
Le vertige cède ensuite la place à une grande instabilité jusqu’à la compensation du déficit vestibulaire, dans un délai de quelques semaines.
Sur le plan physiopathologique, il s’agit d’un processus viral, inflammatoire ou plus rarement vasculaire. C’est l’équivalent vestibulaire de la surdité brusque ou de la paralysie faciale a frigore.
En l’absence de circonstance étiologique spécifique, c’est le diagnostic le plus fréquent d’un grand vertige durable.
251Concernant le traitement :
- •
à la phase aiguë, une corticothérapie courte sur 10 jours eput être proposée. Sinon, des antivertigineux : acétyl-leucine (Tanganil®), des antiémétiques (métopimazine : Vogalène®; dompéridone : Motilium®), souvent associés à des médicaments sédatifs nécessaires en raison de l’anxiété (diazépam : Valium®; clorazépate : Tranxène®); - •
au-delà de 48 heures, les antivertigineux doivent être arrêtés et il faut faire lever le patient, le sortir de son lit, encourager les positions qui déclenchent le vertige, avec pour seule prescription médicamenteuse un anti-émétique (dompéridone : Motilium®). La rééducation ves-tibulaire, aidant à la compensation vestibulaire, doit être prescrite d’emblée, à raison d’une séance tous les jours la première semaine, à réévaluer ensuite en fonction de l’évolution. Une exploration de la fonction vestibulaire peut être programmée.
2 252Accident vasculaire ischémique dans le territoire vertébrobasilaire
a Syndrome de Wallenberg
Il s’agit d’un accident vasculaire de topographie latérobulbaire touchant les noyaux vestibulaires (fig. 14.5). Les symptômes vestibulaires sont un grand vertige rotatoire, un nystagmus de direction et de sens de battement variable et des troubles posturaux ressemblant à une atteinte périphérique. Ces symptômes vestibulaires d’allure parfois périphérique s’associent à des signes neurologiques qui ne passent pas inaperçus :

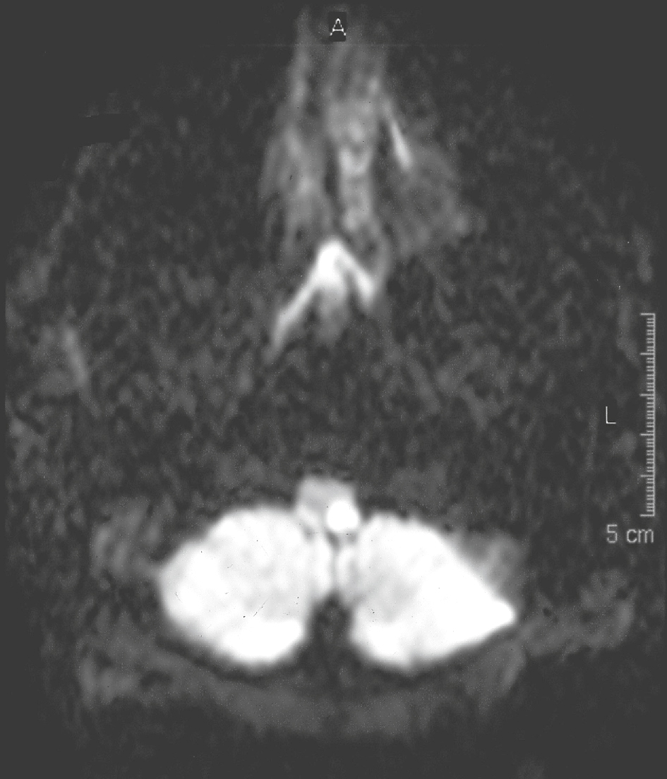
IRM en séquence de diffusion montrant une lésion ischémique récente en hypersignal, de topographie latérobulbaire gauche. Le patient présente un syndrome de Wallenberg.
L'image montre une IRM en séquence de diffusion avec une lésion ischémique récente visible en hypersignal, située dans la région latérobulbaire gauche du cerveau. La séquence de diffusion est une technique d'IRM sensible aux changements dans le mouvement des molécules d'eau, ce qui permet de détecter des lésions ischémiques aiguës. Un hypersignal sur cette séquence indique une restriction de la diffusion des molécules d'eau, typique des infarctus cérébraux récents. La topographie latérobulbaire fait référence à la localisation de la lésion dans la région latérale du bulbe rachidien, une zone du tronc cérébral. Cette localisation est cruciale car le bulbe rachidien joue un rôle important dans le contrôle des fonctions autonomes et des voies nerveuses essentielles. En résumé, l'image d'IRM montre une lésion ischémique récente en hypersignal dans la région latérobulbaire gauche, indiquant un infarctus cérébral aigu avec restriction de la diffusion des molécules d'eau.
- • une hypoesthésie hémifaciale, un syndrome cérébelleux cinétique, une paralysie vélo-pharyngo-laryngée (dysphonie, dysarthrie, hoquet, signe du voile, signe du rideau), un syndrome de Claude Bernard-Horner (myosis, ptosis) du côté de la lésion;
- • une hypoésthésie thermoalgique hémicorporelle controlatérale à la lésion.
b Infarctus cérébelleux
Le principal diagnostic différentiel de la neuronite vestibulaire est l’infarctus cérébelleux. Le tableau clinique est dominé par un grand vertige, des nausées et des vomissements. L’examen clinique peut mettre en évidence un syndrome cérébelleux cinétique homolatéral ou une dysarthrie. Ceux-ci peuvent cependant manquer et le tableau n’être constitué que d’un syndrome vestibulaire aigu isolé.
253
Au moindre doute sur cette étiologie, une prise en charge de type accident vasculaire constitué doit être organisée, notamment une mutation en unité neurovasculaire si les délais de la thrombolyse/thrombectomie sont respectés. Une IRM est plus performante que le scanner cérébral pour mettre en évidence la lésion ischémique (fig. 14.6).

IRM en séquence T2 montrant une lésion ischémique en hypersignal dans le territoire de l’artère cérébelleuse postéro-inférieure gauche. Le patient présente un syndrome vestibulaire aigu isolé.
L'image montre une IRM en séquence T2 d'une coupe axiale du cerveau. On observe une lésion ischémique en hypersignal dans le territoire de l’artère cérébelleuse postéro-inférieure gauche. Cette lésion apparaît plus brillante que les tissus environnants, indiquant une zone de dommage ou de mort cellulaire due à une interruption de l'apport sanguin. Les séquences T2 sont particulièrement utiles pour détecter les anomalies de l'eau dans les tissus, ce qui permet de visualiser les zones d'œdème ou de nécrose. Cette lésion ischémique dans le territoire de l’artère cérébelleuse postéro-inférieure gauche est importante à identifier, car elle peut entraîner des symptômes neurologiques significatifs en raison de son emplacement dans le cerveau. Le cervelet joue un rôle crucial dans la coordination des mouvements, l'équilibre et la posture. Une lésion dans cette région peut donc affecter ces fonctions et entraîner des symptômes tels que des troubles de l'équilibre, des vertiges, des nausées et des difficultés de coordination. L'IRM en séquence T2 permet de visualiser avec précision la zone ischémique, fournissant des informations essentielles pour le diagnostic et la gestion des accidents vasculaires cérébraux. La détection précoce de ces lésions est cruciale pour améliorer les résultats cliniques et offrir des options de traitement appropriées aux patients. En résumé, l'image montre une lésion ischémique en hypersignal dans le territoire de l’artère cérébelleuse postéro-inférieure gauche, mettant en évidence une zone de dommage cellulaire due à une interruption de l'apport sanguin.
3 Autres vertiges aigus durables associés à des signes otologiques
Ils s’intègrent dans un contexte étiologique précis, évocateur du mécanisme, qui conditionne la conduite thérapeutique. Ils justifient la réalisation d’un scanner du rocher :
- • le vertige aigu au décours d’un traumatisme crânien avec signes otologiques évoque une fracture du rocher trans-labyrinthique. En l’absence de fracture objectivable, il évoque une commotion labyrinthique. Il justifie dans tous les cas un recours spécialisé. Au décours d’un traumatisme faisant suite à une commotion labyrinthique peut se développer un syndrome 254post-commotionnel, durable. Invalidant, auquel participent des facteurs psychosomatiques et anxieux;
- • la labyrinthite infectieuse est une complication rare et grave des otites chroniques : la survenue d’un vertige destructif chez un sujet atteint d’une otorrhée avec otalgie doit conduire au recours au spécialiste en urgence. Elle peut survenir dans le cadre d’un cholestéatome;
- •
la thrombose de l’artère auditive interne est rare, et conduit à un déficit vestibulaire et cochléaire unilatéral profond aigu.
C Vertige inaugural transitoire (quelques minutes à moins d’une heure)
C’est la situation clinique la plus difficile. Il peut correspondre à la première manifestation de vertiges récurrents en lien notamment avec une migraine ou une maladie de Menière. Cependant, tout vertige transitoire inaugural même isolé doit d’abord faire évoquer un accident ischémique transitoire (AIT) du territoire vertébrobasilaire, même si le vertige isolé n’est pas classé dans les symptômes typiques des AIT. Les vertiges vasculaires sont de survenue brutale, durant quelques minutes, au maximum 1 heure, et généralement associés à d’autres symptômes neurologiques de souffrance vasculaire du territoire vertébrobasilaire comme une hémianopsie, des paresthésies, une ataxie, une dysarthrie, une diplopie, un déficit moteur hémicorporel. Dans de rares cas, le vertige peut être le seul symptôme. Il peut exceptionnellement être récurrent depuis quelques jours en cas de sténose artérielle. L’examen clinique est généralement normal. Dans ce cas, en l’absence de pathologie vesti-bulaire périphérique évidente, la suspicion d’un AIT justifie une prise en charge en urgence en raison du risque d’infarctus vertébrobasilaire : IRM encéphalique à la recherche d’un infarctus, explorations des troncs supra-aortiques et du polygone de Willis pour éliminer une sténose ou une occlusion de l’artère vertébrale ou du tronc basilaire, et ECG pour dépister une fibrillation auriculaire.
D Vertiges récurrents
Il s’agit de vertiges spontanés de quelques minutes à quelques heures, récurrents, avec ou sans signes otologiques.
Les deux affections typiques de cette catégorie de vertige sont la maladie de Menière et la migraine, mais il faut savoir évoquer les AIT lorsque la durée est de moins d’une heure et leur survenue récente.
1 Maladie de Menière
La maladie de Menière est une maladie qui affecte les adultes et se manifeste par l’association de crises de vertiges rotatoires durant quelques heures, au maximum 24 heures, et de signes cochléaires unilatéraux (surdité fluctuante, acouphènes et sensation de plénitude de l’oreille). Typiquement, une crise de vertige débute par des acouphènes unilatéraux, une sensation de plénitude de l’oreille, une majoration de l’hypoacousie. Pendant la crise, le syndrome vestibulaire est harmonieux et le plus souvent controlatéral au côté atteint, car le mécanisme est de type irritatif. La fréquence des crises est variable, d’une par an à plusieurs par semaine. Au cours de l’évolution, l’audition s’altère et il s’installe une hypoacousie permanente progressive sur les fréquences moyennes ou graves (fig. 14.7), alors que les vertiges sont moins fréquents et remplacés par une instabilité permanente. Une exploration de la fonction auditive est nécessaire au diagnostic. L’évolution est variable selon les patients, mais certaines formes conduisent à une cophose et peuvent se bilatéraliser.

Audiogramme d’un patient présentant une maladie de Menière : il existe une hypoacousie sur les fréquences moyennes et graves.L'audiogramme présenté montre les résultats d'un test auditif pour un patient atteint de la maladie de Ménière. Sur l'axe horizontal, on trouve les fréquences du son en Hertz (Hz), allant de 125 Hz à 8000 Hz. Sur l'axe vertical, on trouve la perte auditive en décibels (dB), allant de 0 dB à 110 dB. Les points sur le graphique indiquent les niveaux de perte auditive du patient à différentes fréquences. Pour ce patient, on observe une hypoacousie, c'est-à-dire une perte auditive, principalement sur les fréquences moyennes et graves. Les fréquences moyennes se situent autour de 500 Hz à 2000 Hz, et les fréquences graves sont en dessous de 500 Hz. Le graphique montre que la perte auditive est plus marquée dans ces plages de fréquences, avec des valeurs de perte auditive atteignant environ 20 à 30 dB pour les fréquences moyennes et graves. En revanche, les fréquences aiguës, au-delà de 2000 Hz, montrent une perte auditive moins importante, autour de 10 dB. Cette information est cruciale pour comprendre l'impact de la maladie de Ménière sur l'audition du patient, car elle permet de cibler les fréquences spécifiques où la perte auditive est la plus significative. Cela peut aider à adapter les aides auditives ou les traitements pour améliorer la qualité de vie du patient.
255Le diagnostic est généralement aisé, sauf au stade initial de la maladie, lorsque l’affection est purement vestibulaire. La surdité de perception fluctuante et prédominant sur les fréquences graves est le signe caractéristique de l’affection.
Les symptômes de la maladie de Menière sont liés à un hydrops labyrinthique, c’est-à-dire une hyperpression des liquides de l’oreille interne, probablement consécutifs à un défaut de résorption du liquide endolymphatique.
2 Migraine
La migraine vestibulaire est définie par l’International Headache Society comme la survenue, chez un sujet migraineux, d’au moins cinq épisodes associant un vertige régressif de 5 minutes à 72 heures, et dont au moins la moitié des épisodes sont associés à au moins l’une des caractéristiques suivantes : céphalées migraineuses (intensité modérée à sévère, pulsatile, unilatérale, augmentée par l’effort), phonophobie et photophobie, ou aura visuelle. Les épisodes ne peuvent pas être expliqués par une autre pathologie vestibulaire. Contrairement à l’aura, le vertige est contemporain de la céphalée et ne la précède pas.
Chez l’enfant, les crises de vertige paroxystique bénin sont intégrées dans la classification de l’International Headache Society dans les syndromes périodiques précurseurs de la migraine. Il s’agit d’accès brusques de vertige sévère durant de quelques minutes à quelques heures avec résolution spontanée chez un enfant en bonne santé par ailleurs. Le vertige doit être associé à au moins l’un des symptômes suivants : nystagmus, ataxie, vomissement, pâleur ou plénitude de l’oreille. Des pathologies comme une tumeur de la fosse postérieure, une épilepsie ou une pathologie vestibulaire autre doivent être éliminées.
3 Schwannome vestibulaire
Le diagnostic différentiel principal de la maladie de Menière (et de la névrite vestibulaire) est représenté par le schwannome vestibulaire ou les autres processus expansifs de la fosse cérébrale postérieure pouvant potentiellement comprimer le nerf cochléovestibulaire. Le schwannome vestibulaire (le terme de neurinome de l’acoustique est incorrect) est une tumeur bénigne développée aux dépens des cellules de Schwann du nerf vestibulaire. Il est généralement révélé par une surdité de perception, et parfois par des vertiges. Toute première crise de grand vertige, une surdité de perception unilatérale ou un acouphène unilatéral doivent faire l’objet d’une IRM avec injection de gadolinium centrée sur les conduits auditifs internes, recherchant le schwannome.
256
Pour en savoir plus
Place de la rééducation dans la prise en charge des vertiges d’origine vestibulaire détaillée dans Recommandation de pratique clinique de la SFORL, 2023.
257Compléments numériques
Des compléments numériques sont associés à ce chapitre. Ils proposent des vidéos indiquées dans le texte par un picto. Pour voir ces compléments, connectez-vous sur http://www.emconsulte/e-complement/478607 et suivez les instructions.
Vidéo 14.1. B Exemple de nystagmus vestibulaire à ressort, de direction horizonto-rotatoire battant à droite.
Il est ici filmé dans l’obscurité (caméra infrarouge).
Vidéo 14.2. B Exemple de nystagmus vestibulaire périphérique.
Ce patient présente un syndrome vestibulaire gauche. L’examen montre un nystagmus à ressort, horizonto-rotatoire, battant vers la droite, dans le regard à droite. Le nystagmus ne s’inverse pas dans le regard à gauche.
Vidéo 14.3. B Manœuvre de Dix et Hallpike gauche.
Le principe est de stimuler le canal semi-circulaire postérieur par une rotation dans son plan vers l’arrière. Le patient est assis sur le lit d’examen, ses membres inférieurs reposant sur le lit. Après lui avoir expliqué la manœuvre, sa tête est tournée de 45° d’un côté, plaçant le canal postérieur ipsilatéral dans un plan sagittal. Puis le patient est rapidement basculé en décubitus dorsal, la tête pendant en dehors du lit de 45° par rapport à l’horizontale, permettant une rotation de la tête dans le plan du canal postérieur. La manœuvre doit être réalisée d’un côté puis de l’autre.
Vidéo 14.4. A Manœuvre du head impulse test (manœuvre d’Halmagyi).
Le patient est assis au bord de la table d’examen, fixant le nez de l’examinateur. Celui-ci réalise une rotation brève et rapide de la tête dans un sens. Le regard du patient reste normalement stable. Si le système vestibulaire est sévèrement hyporéflexique (ici à gauche), les yeux ne compensent pas parfaitement le mouvement de la tête et doivent réaliser une saccade de refixation. Cette saccade, facilement identifiable par l’examinateur, traduit l’hypo-réflexie vestibulaire du côté de la stimulation.
Vidéo 14.5. A Manœuvre de Fukuda.
Le patient marche sur place (50 pas) les yeux fermés. Dans le cas d’un syndrome vestibulaire périphérique, on observe une déviation latéralisée du corps du côté de la lésion (ici à droite).
Vidéo 14.6. A Manœuvre des index.
Le patient est assis au bord du lit, sans appui dorsal ni au sol, les bras tendus, index en regard de ceux de l’examinateur. À la fermeture des yeux, dans le cas d’un syndrome vestibulaire, on observe une déviation latéralisée des index (ici à gauche).
Vidéo 14.7. A Nystagmus observé dans le vertige paroxystique positionnel bénin (ici à droite).
Le nystagmus est très rapide, de direction rotatoire, battant ici en direction horaire chez un patient en position de Hallpike du côté droit.
