669Questions
QRM 1
Parmi les propositions suivantes, laquelle (lesquelles) caractérise(nt) la Polyneuropathie toxique alcoolique ?
- A elle est secondaire à une toxicité directe de l’alcool
- B elle peut être associée à une carence en thiamine
- C elle épargne les fibres végétatives
- D elle touche les fibres motrices
- E c’est une polyneuropathie démyélinisante
QRM 2
Un patient de 30 ans, sans antécédent, consulte après avoir présenté ce matin, au décours d’un jogging, un trouble de vision « du côté gauche », à type de flou et de « trous » dans son champ de vision, tel qu’en se regardant dans le miroir, il ne se voyait qu’un œil à la fois. L’évolution a été régressive en 10 minutes. Il s’agit (une ou plusieurs propositions exactes) :
- A d’une cécité monoculaire gauche transitoire
- B d’une hémianopsie latérale homonyme gauche
- C d’un tableau compatible avec une aura visuelle de migraine
- D d’un tableau compatible avec un accident isché-mique transitoire dans le territoire basilaire
- E d’un tableau évocateur d’un signe d’Uhthoff
QRM 3
Un homme de 63 ans a présenté sur 3 jours deux épisodes de flou visuel massif de l’œil droit ayant duré une minute. Il présente également des céphalées récentes et inhabituelles. L’examen ophtalmologique de l’acuité visuelle, du fond d’œil et de la tension oculaire est normal. Ce tableau peut correspondre à (une proposition exacte) :
- A des éclipses visuelles dans le cadre d’une hypertension intracrânienne
- B une ischémie transitoire de la rétine dans le cadre d’une maladie de Horton
- C une neuropathie optique ischémique antérieure aiguë
- D un accident vasculaire cérébral dans le territoire carotidien
- E une occlusion de la veine centrale de la rétine
QRM 4
Une femme de 31 ans, migraineuse, diabétique, tabagique et hypertendue, présente une baisse de vision de son œil gauche, qui s’est aggravée sur 4 jours, conduisant à un stade de vision limitée à « compte les doigts à 1 mètre ». L’examen du fond d’œil montre un petit œdème papillaire du côté gauche. Elle décrit également des douleurs rétro-oculaires du côté gauche lorsqu’elle bouge les yeux. Vous l’examinez 5 jours après le début. Elle n’a pas d’autres manifestations cliniques. Parmi les propositions suivantes, laquelle (lesquelles) est (sont) exacte(s) ?
- A vous évoquez une névrite optique rétrobulbaire aiguë
- B il existe très probablement un déficit pupillaire afférent relatif du côté gauche
- C il existe probablement une anisocorie, avec une pupille gauche plus dilatée
- D le diagnostic le plus probable est celui de neuropathie optique ischémique antérieure aiguë
- E il s’agit probablement d’une neuropathie optique Inflammatoire, qui pourrait être la première manifestation d’une sclérose en plaques
QRM 5
Un patient de 62 ans, droitier, hypertendu, présente depuis ce matin un trouble de vision ayant concerné simultanément les deux yeux. Il ne peut décrire précisément son trouble, mais a constaté que depuis lors il ne peut plus lire le journal. Il n’a pas d’autre déficit. L’acuité visuelle est de 10/10 sur chaque œil. L’examen du fond d’œil est normal. Vous vous 670attendez à constater (une ou plusieurs propositions exactes) :
- A un syndrome d’alexie sans agraphie
- B une neuropathie optique ischémique antérieure aiguë bilatérale
- C un déficit pupillaire afférent relatif bilatéral
- D une hémianopsie latérale homonyme droite
- E un AVC dans le territoire sylvien gauche
QRM 6
Un déficit neurologique transitoire peut être causé par (une ou plusieurs propositions exactes) :
- A un accident ischémique transitoire
- B une aura migraineuse
- C une hypoglycémie
- D une hyponatrémie
- E une malformation vasculaire cérébrale
QRM 7
Un syndrome médullaire aigu peut être causé par (une ou plusieurs propositions exactes) :
- A un accident vasculaire médullaire
- B un neurinome
- C un méningiome
- D une myélite
- E une épidurite infectieuse
QRM 8
Parmi les causes de déficit neurologique récent suivantes, laquelle (lesquelles) nécessite(nt) des mesures thérapeutiques immédiates ?
- A myélopathie carentielle
- B hématome sous-dural aigu
- C encéphalopathie de Gayet-Wernicke
- D hémorragie cérébrale
- E méningo-encéphalite
QRM 9
Devant un déficit neurologique, l’imagerie cérébrale (une ou plusieurs propositions exactes) :
- A doit être réalisée dans les 6 heures en cas de suspicion d’AVC aigu
- B doit être réalisée immédiatement en cas de traumatisme crânien
- C doit être réalisée après la ponction lombaire en cas de syndrome méningé associé
- D est inutile si le déficit neurologique dure moins d’une heure
- E doit être réalisée en urgence en cas de syndrome médullaire aigu
QRM 10
Parmi les syndromes neurologiques suivants, lequel (lesquels) est (sont) associé(s) à un déficit moteur des membres ?
- A syndrome de Brown-Séquard
- B syndrome de Parsonage-Turner
- C syndrome de Wallenberg
- D syndrome de Tolosa-Hunt
- E syndrome de Miller-Fisher
QRU 11
Un homme de 52 ans atteint d’un adénocarcinome bronchique se présente pour des douleurs dorsales associées à des troubles de la marche évoluant depuis 2 semaines. Vous réalisez l’IRM suivante (fig. 32.1) et suspectez une épidurite métastatique. Parmi les propositions suivantes, à quelle hauteur avez-vous la plus grande probabilité de retrouver un niveau lésionnel sensitif ?

Édition de quatre épines de la médullaire d'une coupe sagittale. Il a été généré à différents moments et séquences et a montré le cou et la moelle épinière. L'alignement vertébral est généralement respecté et il y a une bonne définition des vertèbres et des disques. Au niveau de la charnière thoracique cervicale dans une séquence particulière, il existe une membrane intramédullaire qui provoque une détresse médullaise ou un œdème local, vraisemblablement associée à une compression chronique. Aucune lésion osseuse destructrice n'est observée, mais la marque semble être soigneusement aplatie à son fond, ce qui peut correspondre au débutant-myéloïde. L'analyse comparative de ces séquences permet l'étendue et le type d'atteinte de la moelle épinière.
- A 671au niveau du cou
- B au niveau des mamelons
- C au niveau de l’appendice xyphoïde
- D au niveau de l’ombilic
- E au niveau des plis de l’aine
QRM 12
Parmi les signes cliniques suivants, lequel (lesquels) est (sont) en faveur d’une sclérose latérale amyotro-phique ?
- A réflexes tendineux vifs et polycinétiques
- B hypoesthésie « en chaussettes »
- C fasciculations diffuses
- D troubles du langage
- E désorientation temporospatiale
QRM 13
Parmi les éléments suivants, lequel (lesquels) permet(tent) d’exclure une mononeuropathie ulnaire au coude devant une suspicion de sclérose latérale amyotrophique ?
- A hypoesthésie du Ve doigt
- B déficit moteur de l’abduction du pouce
- C signe de Tinel à hauteur de la gouttière épitrochléo-olécrânienne
- D sensibilité normale de la tabatière anatomique
- E déficit de l’adduction du pouce
672
QRM 14
Parmi les troubles cognitifs suivants, lequel (lesquels) peu(ven)t être associé(s) classiquement à une sclérose latérale amyotrophique ?
- A troubles du comportement
- B troubles mnésiques
- C désorientation temporospatiale
- D troubles de l’humeur
- E désinhibition
QRM 15
La sclérose latérale amyotrophique (une ou plusieurs propositions exactes) :
- A correspond à une atteinte des racines antérieures (motrices) des nerfs
- B entraîne systématiquement une abolition des réflexes tendineux
- C peut provoquer une atteinte respiratoire
- D est le plus souvent symétrique à sa phase initiale
- E est toujours d’évolution fatale même avec prise en charge médicale
QRM 16
Le syndrome de Guillain-Barré (une ou plusieurs propositions exactes) :
- A est plus fréquent chez la femme jeune
- B est toujours précédé d’un épisode infectieux
- C se manifeste classiquement par une augmentation de la protéinorachie dans le liquide cérébrospinal
- D se manifeste classiquement par des anomalies démyélinisantes à l’électromyogramme
- E récupère sans séquelles
QRM 17
Concernant la symptomatologie du syndrome de Guillain-Barré, quelle(s) est (sont) la (les) proposition(s) exacte(s) ?
- A le déficit moteur peut toucher les muscles respiratoires
- B le déficit moteur peut toucher les muscles oculo-moteurs
- C le déficit moteur peut toucher les muscles pharyn-golaryngés
- D la dysautonomie peut mettre en jeu le pronostic vital
- E le déficit moteur peut être hémicorporel
QRM 18
Le syndrome de Guillain-Barré (une ou plusieurs propositions exactes) :
- A correspond à une neuropathie démyélinisante restreinte aux racines nerveuses
- B entraîne une abolition des réflexes tendineux
- C peut comporter une atteinte sensitive
- D peut provoquer une atteinte respiratoire
- E justifie la mise en route d’une corticothérapie en urgence
QRM 19
Concernant le traitement de la myasthénie, quelle(s) est (sont) la (les) proposition(s) exacte(s) ?
- A les anticholinestérasiques peuvent être à l’origine de sueurs et de crampes musculaires
- B les anticholinestérasiques sont prescrits en cas d’échec de la corticothérapie
- C la thymectomie est proposée en priorité après 50 ans
- D une liste des médicaments contre-indiqués doit être fournie au patient
- E les plasmaphérèses (échanges plasmatiques) sont parfois proposées en cas de crise déficitaire aiguë
QRM 20
La myasthénie auto-immune (une ou plusieurs propositions exactes) :
- A peut être purement oculaire
- B est toujours généralisée
- C doit faire rechercher des anomalies de la loge thy-mique
- D doit faire rechercher des anomalies de la tige pitui-taire
- E est la conséquence d’anticorps anticanaux calciques
QRM 21
Concernant la symptomatologie de la myasthénie auto-immune généralisée, quelle(s) est (sont) la (les) proposition(s) exacte(s) ?
- A le déficit moteur ne concerne que les muscles striés
- B le déficit moteur prédomine sur les muscles proxi-maux
- C le déficit moteur prédomine sur les muscles distaux
- D les réflexes tendineux sont normaux
- E il n’y a pas de trouble sensitif
673
QRM 22
Parmi les éléments suivants, lesquels évoquent une polyneuropathie ?
- A hypoesthésie « en chaussettes »
- B niveau sensitif marqué
- C steppage bilatéral
- D dépilation distale
- E abolition des réflexes achilléens
QRM 23
Quels examens complémentaires parmi les suivants sont recommandés en première intention devant une polyneuropathie ?
- A NFS, plaquettes
- B fonction rénale
- C sérologie VIH
- D anticorps antinucléaires
- E glycémie à jeun
QRM 24
Parmi les éléments suivants, lequel (lesquels) est (sont) évocateur(s) d’une algie vasculaire de la face ?
- A douleur strictement unilatérale
- B douleur périorbitaire
- C douleur en décharge électrique
- D douleur durant 45 minutes
- E douleur déclenchée par une zone gâchette
QRM 25
Parmi les signes suivants, lequel (lesquels) oriente(nt) vers un syndrome d’hypertension intracrânienne ?
- A syndrome confusionnel
- B paralysie d’un nerf moteur oculaire commun (III)
- C éclipses visuelles
- D troubles de la vigilance
- E incontinence urinaire
QRM 26
Parmi les symptômes et signes suivants, quel(s) est (sont) celui (ceux) qui peu(ven)t être présent(s) en cas d’hypertension intracrânienne ?
- A photophobie
- B éclipses visuelles
- C diplopie par atteinte du nerf oculomoteur III
- D diplopie par atteinte du nerf oculomoteur VI signe de Brudzinski
QRM 27
Parmi les caractéristiques sémiologiques suivantes, laquelle (lesquelles) concerne(nt) l’algie vasculaire de la face ?
- A manifestations neurovégétatives homolatérales
- B présence d’une « zone gâchette »
- C douleurs soulagées par le vérapamil
- D douleurs à type de décharges électriques
- E signe de Claude Bernard-Horner possible
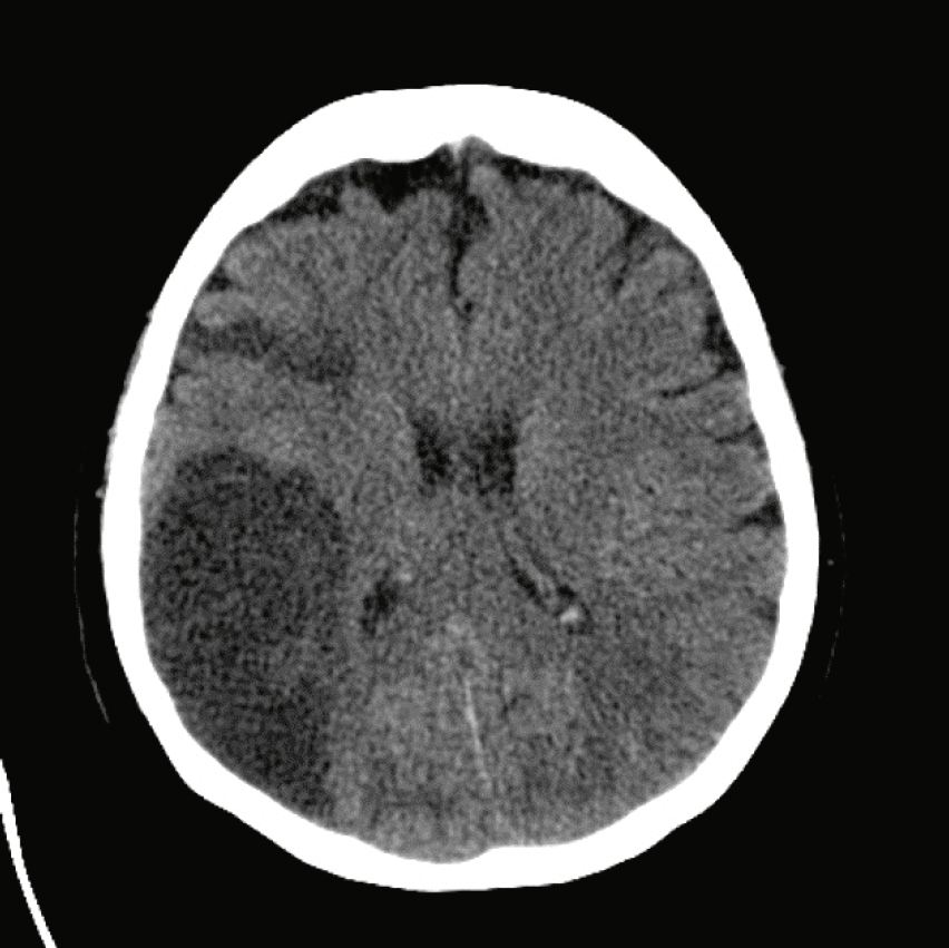
QRM 28
Une patiente de 84 ans présente des céphalées inhabituelles depuis 10 jours. L’imagerie suivante est réalisée (fig. 32.2). À propos de cette imagerie, quelle(s) est (sont) la (les) proposition(s) exacte(s) ?

Cette coupe axiale, faite avec un scanner cérébral sans injection, montre des concentrations faibles diffuses de l'hémisphère cérébral gauche avec une perte de différenciation des substances de matière grise et blanche et d'élimination du sulcus cortical. Ces signes sont typiques de l'origine de l'ischémie aiguë de l'œdème cérébral. L'aspect mondial provoque un infarctus d'expansion des territoires territoriaux intérieurs gauche. L'absence de saignements visibles et d'uniformité de faibles concentrations augmente l'hypothèse d'un grand accident vasculaire cérébral ischémique. La ligne centrale reste le centre du monde, indiquant les premiers niveaux d'urgence, mais nécessite la gestion des urgences pour éviter la dégradation secondaire.
- A IRM cérébrale montrant une atrophie corticale gauche
- B scanner cérébral injecté montrant une prise de contraste arachnoïdienne
- C hémorragie cérébrale
- D hématome sous-dural aigu
- E hématome extradural
QRM 29
En présence d’une paralysie faciale, quel(s) est (sont) l’(les) argument(s) en faveur d’une borréliose de Lyme ?
- A 674association à des troubles sensitivomoteurs asymétriques des membres
- B caractère récidivant de la paralysie faciale
- C association à une ophtalmoplégie bilatérale
- D contexte de piqûre au cours des semaines précédentes
- E amélioration rapide sous corticothérapie
QRM 30
À propos du traitement de la paralysie faciale a frigore,
quelle(s) est (sont) la (les) proposition(s) exacte(s) ?
- A une corticothérapie doit être commencée le plus rapidement possible
- B une corticothérapie par voie injectable est plus efficace que par voie orale
- C l’injection de toxine botulique est utile au cours de la première semaine
- D les larmes artificielles ont pour but de prévenir l’iri-docyclite
- E en l’absence de traitement, l’évolution est le plus souvent défavorable
QRM 31
Dans la liste suivante, relevez l’(les) anomalie(s)
clinique(s) qui peu(ven)t être observée(s) en cas de
paralysie faciale périphérique :
- A préservation du territoire facial supérieur
- B dissociation automaticovolontaire
- C signe de Charles Bell
- D hyperacousie douloureuse
- E agueusie des deux tiers antérieurs de l’hémilangue
QRM 32
Dans la liste suivante, relevez l’(les) anomalie(s)
clinique(s) qui peu(ven)t être observée(s) en cas de
paralysie faciale centrale :
- A préservation du territoire facial inférieur
- B dissociation automaticovolontaire
- C signe des cils de Souques
- D hyperacousie douloureuse
- E préservation du goût
QRM 33
Dans la liste suivante, quelle(s) est (sont) la (les) cause(s) possible(s) d’ophtalmoplégie douloureuse ?
- A anévrisme supraclinoïdien
- B neurinome de l’acoustique
- C maladie de Horton
- D diabète
- E parotidite
QRM 34
Dans la liste suivante, relevez l’(les) anomalie(s) clinique(s) qui peu(ven)t être observée(s) en cas d’atteinte du III extrinsèque :
- A paralysie de l’élévation du globe oculaire
- B ptosis
- C mydriase aréactive
- D déficit du muscle droit médial
- E déficit du muscle oblique supérieur
QRM 35
Dans la liste suivante, relevez la (les) caractéristique(s) du nystagmus en cas de syndrome vestibulaire périphérique :
- A multidirectionnel
- B horizonto-rotatoire
- C aboli par la fixation oculaire
- D bat du côté opposé à la lésion
- E aucune des propositions précédentes
QRM 36
Un grand vertige unique durant plus de 72 heures doit faire évoquer (une ou plusieurs propositions exactes) :
- A un vertige positionnel paroxystique bénin
- B une névrite vestibulaire
- C un accident vasculaire cérébral vertébrobasilaire
- D une fracture du rocher translabyrinthique
- E une maladie de Menière
QRM 37
Chez une patiente suspecte de sclérose en plaques, quelle(s) localisation(s) des hypersignaux visibles à l’IRM en séquence T2 est (sont) évocatrice(s) du diagnostic ?
- A thalamique
- B périventriculaire
- C juxtacorticale
- D cérébelleuse
- E médullaire
QRM 38
Un diagnostic de sclérose en plaques peut être porté devant (une ou plusieurs propositions exactes) :
- A un épisode de neuropathie optique rétrobulbaire associé à une prise de contraste du nerf optique en IRM
- B un épisode de neuropathie optique rétrobulbaire associé à des hypersignaux IRM encéphaliques en T2 675(nombre = 15, dont 5 périventriculaires et 2 juxta-corticaux)
- C un épisode de neuropathie optique rétrobulbaire associé à des hypersignaux IRM encéphaliques en T2 (nombre = 15, dont 5 périventriculaires et 2 juxtacorticaux), et l’apparition d’une prise de contraste sur une IRM réalisée 3 mois plus tard
- D un épisode de neuropathie optique rétrobulbaire associé à des hypersignaux IRM encéphaliques en T2 (nombre = 15, dont 5 périventriculaires et 2 juxtacorticaux), et un antécédent de syndrome médullaire spontanément résolutif 3 ans plus tôt
- E un syndrome médullaire progressif associé à des hypersignaux IRM encéphaliques en T2 (nombre = 15, dont 5 périventriculaires et 2 juxtacorticaux), et un antécédent de neuropathie optique rétrobulbaire
QRM 39
Parmi les symptômes suivants, lequel (lesquels) est (sont) compatible(s) avec une névrite optique rétro-bulbaire ?
- A voile clair devant l’œil atteint
- B cécité complète de l’œil atteint
- C dyschromatopsie rouge-bleu
- D diplopie monoculaire
- E scotome lumineux
QRM 40
Parmi les propositions suivantes, quelle(s) est (sont) la (les) proposition(s) exacte(s) concernant la sclérose en plaques (SEP) ?
- A la SEP est une maladie génétique
- B la SEP est la conséquence de certaines vaccinations (par exemple, hépatite B)
- C la SEP est plus fréquente dans les pays du Nord que dans les pays du Sud
- D la SEP est plus fréquente chez les femmes que chez les hommes
- E la SEP se déclare préférentiellement après 40 ans
QRM 41
Parmi les symptômes suivants, quel(s) est (sont) celui (ceux) observé(s) dans la sclérose en plaques à sa phase précoce ?
- A céphalées
- B troubles sensitifs complexes
- C diplopie
- D troubles de l’équilibre
- E crises épileptiques
QRM 42
Une jeune femme de 30 ans présente une gêne visuelle rapportée à une ophtalmoplégie internucléaire. Une IRM est pratiquée (fig. 32.3). À propos de cette IRM, quelle(s) est (sont) la (les) proposition(s) exacte(s) ?

Des images de coupe axiale mettent en évidence les ménages de plusieurs petites hyperintensen, que le cerveau MRI conserve dans les séquences et se propage des fusées et se propage dans la matière blanche des deux têtes cérébrales, en particulier les régions périduculo- et sous-corticales. Ces hyperconcludations, bien contrôlées par rapport au tissu cérébral normal, reflètent les changements dans la myéline ou les processus inflammatoires chroniques. L'apparition et la distribution des lésions conduisent à la démultiplication de la pathologie, comme la sclérose en plaques, en particulier en l'absence d'effets de masse ou d'œdème associé.
- A IRM en séquence de diffusion
- B lésions situées dans la substance blanche hémisphérique
- C lésions évocatrices de localisation néoplasique secondaire
- D dissémination spatiale en faveur du diagnostic de sclérose en plaques
- E séquence IRM en T1 injecté nécessaire avant de retenir le diagnostic de sclérose en plaques
QRM 43
Devant une perte de connaissance, quels sont les deux arguments principaux en faveur d’une crise d’épilepsie ?
- A perte d’urines
- B trouble de la conscience ayant duré 20 minutes
- C absence de prodromes
- D morsure latérale de langue
- E cyanose pendant la perte de connaissance
QRM 44
Parmi les propositions suivantes concernant les épi-lepsies, laquelle (lesquelles) est (sont) exacte(s) ?
- A 676les epilepsies sont des maladies cérébrales chroniques
- B les epilepsies se caractérisent uniquement par la répétition de crises épileptiques
- C les epilepsies n’ont pas de conséquence neuropsychologique, psychiatrique ou sociale
- D les epilepsies peuvent débuter à tout âge
- E l’incidence des épilepsies est plus élevée pendant l’enfance et chez les sujets âgés
QRM 45
Parmi les propositions suivantes concernant les crises épileptiques, laquelle (lesquelles) est (sont) exacte(s) ?
- A les crises épileptiques comportent par définition une altération de la conscience
- B une crise épileptique dure habituellement moins de 5 minutes si l’on ne prend pas en compte la phase post-critique
- C les crises épileptiques peuvent comporter des signes psychiques ou cognitifs
- D les crises épileptiques sont caractérisées par une séquence de signes cliniques transitoires qui reflètent la topographie initiale et la propagation de l’hyperactivité neuronale
- E les crises épileptiques résultent habituellement d’une hyperactivité de neurones thalamiques
QRM 46
Parmi les propositions suivantes concernant les crises épileptiques, laquelle (lesquelles) est (sont) exacte(s) ?
- A les crises épileptiques ont un début et une fin progressive
- B pour un patient donné, et un type de crise donné, la séquence des signes cliniques des crises est très reproductible
- C le moment de survenue d’une crise est imprévisible
- D il existe des circonstances favorisantes des crises
- E un même patient peut avoir plusieurs types de crises
QRM 47
Une crise épileptique généralisée est une crise (une ou plusieurs propositions exactes) :
- A qui résulte d’une hyperactivité paroxystique corticale étendue, bilatérale et synchrone
- B Qui résulte d’une hyperactivité paroxystique de tous les neurones corticaux
- C qui comporte toujours des troubles de la conscience
- D qui peut être tonique, clonique ou tonicoclonique
- E qui comporte toujours des signes moteurs paroxystiques
QRM 48
Les absences typiques (une ou plusieurs propositions exactes) :
- A sont des crises généralisées qui durent habituellement une minute
- B peuvent débuter à tout âge avec une prédominance dans l’enfance
- C ne débutent jamais chez l’adulte
- D peuvent comporter des signes moteurs violents
- E peuvent se répéter plusieurs dizaines de fois par jour
QRM 49
Les absences typiques (une ou plusieurs propositions exactes) :
- A ont une définition clinique et électroencéphalo-graphique
- B se caractérisent sur le plan électroencéphalo-graphique par une décharge de pointes-ondes bilatérales < 2 c/s
- C peuvent comporter des myoclonies palpébrales dans 50 % des cas
- D se caractérisent par une décharge épileptique bilatérale, symétrique et synchrone à l’EEG
- E s’accompagnent d’une chute
QRM 50
Les myoclonies épileptiques (une ou plusieurs propositions exactes) :
- A peuvent s’observer dans des épilepsies généralisées
- B surviennent habituellement à l’endormissement
- C sont favorisées par la fatigue et le manque de sommeil
- D sont favorisées par la stimulation lumineuse intermittente
- E peuvent survenir en l’absence de décharge épilep-tique visible concomitante sur l’EEG
QRM 51
Les crises tonicocloniques (une ou plusieurs propositions exactes) :
- A peuvent être secondairement généralisées
- B ont un point de départ partiel lorsqu’elles débutent par une déviation unilatérale de la tête
- C surviennent fréquemment au réveil dans les épile-psies généralisées idiopathiques
- D sont associées à une phase post-critique comportant une dépression respiratoire et un stertor
- E comportent trois phases caractéristiques
677
QRM 52
Parmi les propositions suivantes, citer les différentes propositions vraies concernant la crise d’épilepsie :
- A la morsure de langue touche typiquement la pointe de la langue
- B la morsure de langue touche typiquement les bords latéraux de la langue
- C une durée de perte de connaissance supérieure à 5 minutes est évocatrice de crise
- D elle est souvent responsable d’une syncope à l’emporte-pièce
- E elle est associée à une confusion post-critique
QRM 53
Parmi les effets secondaires suivants, lequel (lesquels) est (sont) classiquement associé(s) à la lamotrigine ?
- A lithiase urinaire
- B tremblement des extrémités
- C hyponatrémie
- D syndrome de Lyell
- E algodystrophie
QRM 54
Les convulsions fébriles simples (une ou plusieurs propositions exactes) :
- A surviennent entre 3 mois et 5 ans
- B sont plus fréquentes chez le garçon
- C sont asymétriques
- D durent 30 à 60 minutes
- E récidivent dans 30 à 40 % des cas
QRM 55
Le syndrome de West se caractérise par (une ou plusieurs propositions exactes) :
- A un début après 2 ans
- B des spasmes en flexion
- C une régression psychomotrice
- D une bonne réponse au traitement corticoïde
- E une hypsarythmie
QRM 56
Face à une crise épileptique, laquelle (lesquelles) des propositions suivantes est (sont) évocatrice(s) d’un point de départ situé en temporal interne ?
- A sensation de déjà-vu/déjà-vécu
- B gêne épigastrique
- C hallucination auditive
- D sensation de peur intense
- E paresthésies chéiro-orales
QRM 57
Vous annoncez le diagnostic d’épilepsie généralisée Idiopathique à une patiente de 25 ans. Fleuriste, elle utilise régulièrement son monospace pour effectuer ses livraisons.
Parmi les propositions suivantes, laquelle (lesquelles) est (sont) exacte(s) ?
- A vous déclarez son épilepsie à la préfecture Ainsi, son aptitude à conduire sera évaluée
- B vous déclarez son épilepsie à son médecin du travail
- C elle doit déclarer son épilepsie à la préfecture. Ainsi, son aptitude à conduire sera évaluée
- D le délai d’un an sans crise et sous traitement bien conduit sera nécessaire pour reprendre la conduite
- E la grossesse et l’allaitement sont possibles selon les traitements pris
QRM 58
Parmi les signes non moteurs suivants, lequel (lesquels) peu(ven)t être en lien avec une maladie de Parkinson ?
- A troubles cognitifs
- B dépression
- C douleurs
- D troubles du sommeil
- E dysautonomie
QRM 59
Parmi les propositions suivantes, quelle(s) est (sont) l’(les) anomalie(s) biologique(s) typique(s) retrouvée(s) dans la maladie de Wilson ?
- A céruléoplasmine sérique augmentée
- B cuivre sérique total augmenté
- C cuivre sérique libre diminué
- D cuivre hépatique augmenté
- E cuprurie diminuée
QRM 60
Vous diagnostiquez une maladie de Parkinson chez un homme de 58 ans, qui se plaint de tremblements et de troubles de la marche entravant sa vie quotidienne. Parmi les traitements suivants, lequel proposez-vous ?
- A lévodopa
- B ICOMT
- C apomorphine
- D agoniste dopaminergique
- E IMAO-B
678
QRM 61
Vous recevez un patient de 56 ans pour suspicion de maladie de Parkinson idiopathique évoluant depuis moins de 6 mois. Parmi les éléments sémiologiques suivants, lequel (lesquels) remet(tent) en cause ce diagnostic ?
- A hallucinations visuelles
- B caractère asymétrique du syndrome extrapyramidal
- C dyskinésies buccofaciales
- D paralysie de la verticalité du regard
- E signe de Babinski bilatéral
QRM 62
Dans la liste suivante, quel(s) est (sont) l’(les) élément(s) du syndrome extrapyramidal ?
- A tremblement de repos
- B adiadococinésie
- C amimie
- D anosognosie
- E hypertonie spastique
QRM 63
Parmi les signes cliniques suivants, lequel (lesquels) doi(ven)t faire remettre en cause le diagnostic de maladie de Parkinson ?
- A hallucinations précoces spontanées
- B syndrome pyramidal
- C tremblement de repos du pied
- D syndrome cérébelleux
- E paralysie de la verticalité du regard
QRM 64
Parmi les examens complémentaires suivants, lequel (lesquels) permet(tent) de poser le diagnostic de maladie de Parkinson ?
- A scintigraphie DaTSCAN®
- B IRM cérébrale
- C bilan hépatique
- D dosage de la cuprémie
- E aucun des examens précédents
QRM 65
Parmi les paramètres suivants, lequel (lesquels) influence(nt) votre choix pour le traitement initial d’une maladie de Parkinson ?
- A âge du patient
- B ancienneté des symptômes
- C présence d’une dysphonie
- D gêne ressentie par le patient
- E profession du patient
QRM 66
Dans la liste suivante, quel(s) trouble(s) de la marche est (sont) évocateur(s) de signes axiaux tardifs associés à la maladie de Parkinson ?
- A démarche ébrieuse
- B festination
- C démarche dandinante
- D fauchage
- E enrayage cinétique (freezing)
QRM 67
Vous voyez en consultation un patient de 72 ans qui vous est adressé pour des épisodes de chute à répétition. Il vous présente l’IRM cérébrale suivante réalisée en externe (fig. 32.4). Quels sont les signes cliniques classiques que peut présenter ce patient en rapport avec le diagnostic suspecté devant les données de l’imagerie ?

Série de quatre coupes axiales d’IRM cérébrale en séquence FLAIR montrant une atrophie cérébrale diffuse prédominante au niveau des ventricules latéraux et du cortex temporal. Les ventricules apparaissent très dilatés de manière symétrique, notamment les cornes frontales et occipitales, traduisant une ex-vacuo dilatation en lien avec une perte de volume cérébral. La largeur des sillons corticaux est augmentée, particulièrement marquée dans les régions pariétales et temporales, avec un effacement partiel de la substance blanche adjacente. Le cortex temporal médian présente des signes d’atrophie bilatérale, visibles par une amincissement et un élargissement des espaces péri-hippocampiques. L’aspect global évoque une encéphalopathie dégénérative, possiblement une maladie d’Alzheimer à un stade évolué. Aucun hypersignal parenchymateux focal, ni effet de masse ou signe d’œdème, n’est identifié sur les différentes coupes analysées.
- A 679une marche à petits pas
- B des céphalées chroniques
- C une démence de type frontale
- D un signe de Babinski bilatéral
- E une incontinence urinaire
QRM 68
Parmi les propositions suivantes, quel(s) est (sont) l’(les) examen(s) complémentaire(s) recommandé(s) en première intention avant de porter le diagnostic de maladie d’Alzheimer ?
- A IRM cérébrale
- B tomographie par émission de positons (TEP) cérébrale
- C ponction lombaire
- D électroencéphalogramme
- E dosage sanguin de la thyroid-stimulating hormone (TSH)
QRM 69
Parmi les propositions suivantes, quelles sont les caractéristiques sémiologiques d’un syndrome confusionnel ?
- A il s’associe à une perplexité anxieuse
- B il accompagne toujours un syndrome démentiel
- C 680¡1 apparaît de manière lentement progressive
- D il est constant dans le temps
- E il existe des troubles attentionnels
QRM 70
Parmi les propositions suivantes, quelles sont les causes fréquentes de syndrome confusionnel chez un patient alcoolique chronique ?
- A ivresse aiguë
- B crise épileptique
- C delirium tremens
- D encéphalopathie hépatique
- E encéphalopathie de Gayet-Wernicke
QRM 71
Face à un tableau démentiel, quels arguments retenez-vous en faveur d’une origine vasculaire ?
- A l’importance des troubles mnésiques antérogrades
- B l’aggravation par à-coups successifs
- C l’existence de troubles du comportement
- D la présence d’une leucoaraiose importante à l’imagerie cérébrale
- E la présence de céphalées associées
- C QRM 72
- Dans la liste suivante, quelle(s) est (sont) la (les) proposition(s) en faveur d’un diagnostic positif de maladie d’Alzheimer ?
-
- A un score au MMSE inférieur aux normes en fonction de l’âge, du sexe et du niveau scolaire
- B un dosage du peptide AB42 dans le LCS inférieur aux normes
- C un dosage du peptide AB42 dans le LCS supérieur aux normes
- D un dosage du peptide P-Tau dans le LCS inférieur aux normes
- E une atrophie bihippocampique à l’IRM
QRM 73
Dans la liste suivante, quelle(s) est (sont) la (les) proposition(s) exacte(s) concernant les syndromes démentiels dégénératifs ?
-
- A les hallucinations visuelles sont précoces dans l’évolution d’une maladie d’Alzheimer
- B les hallucinations visuelles sont parfois inaugurales d’une démence à corps de Lewy
- C la raideur extrapyramidale est précoce dans l’évolution d’une démence à corps de Lewy
- D la raideur extrapyramidale est tardive dans l’évolution d’une maladie d’Alzheimer
- E l’épilepsie est une complication évolutive de la maladie d’Alzheimer
QRM 74
Parmi les pathologies suivantes, quelle(s) est (sont) celle(s) susceptible(s) de provoquer une apraxie précoce ?
-
- A démence parkinsonienne
- B dégénérescence corticobasale
- C paralysie supranucléaire progressive
- D démence à corps de Lewy
- E maladie d’Alzheimer
QRM 75
Vous recevez en consultation un patient de 55 ans pour un tremblement évoluant progressivement depuis 10 mois. Il n’a aucun antécédent et ne prend pas de traitement. Parmi les caractéristiques suivantes, laquelle (lesquelles) est (sont) évocatrice(s) d’un tremblement extrapyramidal ?
-
- A tremblement lent
- B tremblement d’attitude
- C tremblement calmé par le calcul mental
- D tremblement de repos
- E tremblement majoré par le sommeil
QRM 76
Un patient de 72 ans consulte pour des chutes. Parmi les signes d’examen clinique suivants, quel(s) est (sont) celui (ceux) qui vous fait (font) suspecter une paralysie supranucléaire progressive ?
-
- A dystonie d’un membre
- B syndrome cérébelleux
- C paralysie du regard
- D troubles dysexécutifs
- E hypotension orthostatique sévère
QRM 77
Parmi les causes de méningites bactériennes suivantes, laquelle (lesquelles) est (sont) le plus souvent associée(s) à un liquide cérébrospinal clair ?
-
- A méningocoque
- B pneumocoque
- C Listeria monocytogenes
- D Haemophilus influenzae
- E tuberculose
681
QRM 78
Chez un patient présentant un tableau de méningite
bactérienne, quel(s) élément(s) proposé(s) oriente(nt)
vers une maladie de Lyme ?
-
- A douleurs radiculaires des membres inférieurs
- B paralysie faciale périphérique bilatérale
- C bloc auriculoventriculaire
- D insuffisance rénale
- E éruption cutanée vésiculeuse en collerette
QRM 79
Devant un tableau évocateur de méningite bactérienne de l’adulte à examen direct du liquide cérébrospinal négatif, en l’absence d’argument clinique pour une listériose, quelle(s) est (sont) la (les) prise(s) en charge thérapeutique(s) initiale(s) recommandée(s) ?
-
- A amoxicilline seule
- B dexaméthasone et amoxicilline
- C céfotaxime seule
- D dexaméthasone et céfotaxime
- E ceftriaxone seule
QRM 80
Parmi les situations suivantes, laquelle (lesquelles) indique(nt) la réalisation d’une imagerie cérébrale avant ponction lombaire dans le cadre d’une suspicion de méningite aiguë chez un patient de 30 ans ?
-
- A crise épileptique focale avec conscience préservée somatomotrice
- B score de Glasgow à 13
- C vomissements intenses
- D aphasie
- E paralysie de l’adduction d’un œil
QRM 81
Les méningiomes (une ou plusieurs propositions exactes) :
-
- A sont des tumeurs cérébrales malignes
- B peuvent se manifester par un syndrome d’hypertension intracrânienne
- C peuvent se manifester par des crises d’épilepsie
- D se développent aux dépens des cellules astrocy-taires
- E ne se développent jamais en sous-tentoriel
QRM 82
Parmi les manifestations cliniques suivantes, lesquelles peuvent être rencontrées au cours d’une thrombose veineuse cérébrale ?
-
- A céphalée ictale
- B crise d’épilepsie focale
- C vomissements en jet
- D hémiplégie
- E aphasie
QRM 83
Parmi les explorations à visée étiologique suivantes, lesquelles peuvent être proposées devant une hémorragie intracérébrale ?
-
- A IRM encéphalique
- B artériographie des artères cérébrales
- C Échographie transœsophagienne
- D Holter-ECG
- E bilan de coagulation
QRM 84
Parmi les stratégies thérapeutiques suivantes, lesquelles sont recommandées face à une hémorragie intracérébrale capsulothalamique chez un patient de 80 ans avec un Glasgow à 14 ?
-
- A admission en réanimation
- B abaissement de la tension artérielle systolique à moins de 140 mmHg
- C administration d’une héparine de bas poids moléculaire à dose préventive dans les 24 premières heures
- D antagonisation d’un traitement anticoagulant
- E administration d’un traitement antiépileptique préventif
QRM 85
Parmi les éléments cliniques suivants, lesquels sont évocateurs d’un infarctus sylvien superficiel antérieur gauche ?
-
- A hémianopsie latérale homonyme gauche
- B hémiplégie proportionnelle droite
- C aphasie de Broca
- D héminégligence sensitive gauche
- E déficit moteur à prédominance brachiofaciale droite
QRM 86
Une patiente de 85 ans, droitière, hypertendue traitée, est amenée aux urgences pour trouble neurologique de début brutal. L’imagerie suivante est réalisée (fig. 32.5). Sur cette imagerie, quel(s) est (sont) le (les) signe(s) compatible(s) avec cette atteinte ?

Coupe axiale d’un scanner cérébral sans injection de contraste mettant en évidence une hémorragie intraparenchymateuse temporale gauche. La collection hyperdense occupe une partie du lobe temporal médian, avec un effet de masse marqué sur les structures adjacentes. On observe un effacement des sillons corticaux de l’hémisphère gauche et une compression des cornes temporales gauches du ventricule latéral, traduisant une hypertension intracrânienne locale. L’aspect évoque un saignement spontané, probablement hypertensif ou lié à une malformation vasculaire sous-jacente. Il n’y a pas de signes immédiats de saignement intraventriculaire ou sous-arachnoïdien sur cette coupe.
-
- A 682hémiplégie gauche
- B aphasie de Wernicke
- C apraxie idéomotrice gauche
- D diplopie horizontale binoculaire
- E hémianospie latérale homonyme gauche
QRM 87
Un patient de 65 ans, droitier est adressé pour un syndrome d’Anton-Babinski depuis 3 jours. Vous suspectez un infarctus cérébral et réalisez le scanner suivant (fig. 32.6). Parmi les territoires artériels suivants, lequel est concerné ?

Scanner cérébral en coupe axiale sans injection de produit de contraste montrant une image spontanément hyperdense localisée dans le noyau lenticulaire gauche, évoquant un hématome intracérébral profond. On note un effet de masse modéré avec effacement partiel des sillons corticaux adjacents, sans engagement ni déplacement majeur de la ligne médiane. L’aspect hémorragique est net, bien limité, sans extension ventriculaire visible. La calcification physiologique des plexus choroïdes est également visible de manière bilatérale au niveau des ventricules latéraux. L’ensemble est compatible avec une hémorragie hypertensive survenue dans le territoire des artères perforantes.
-
- A territoire profond de l’artère cérébrale moyenne droite
- B territoire superficiel de l’artère cérébrale moyenne droite
- C territoire total de l’artère cérébrale moyenne droite
- D territoire de l’artère cérébrale antérieure droite
- E territoire l’artère cérébrale postérieure droite
QRM 88
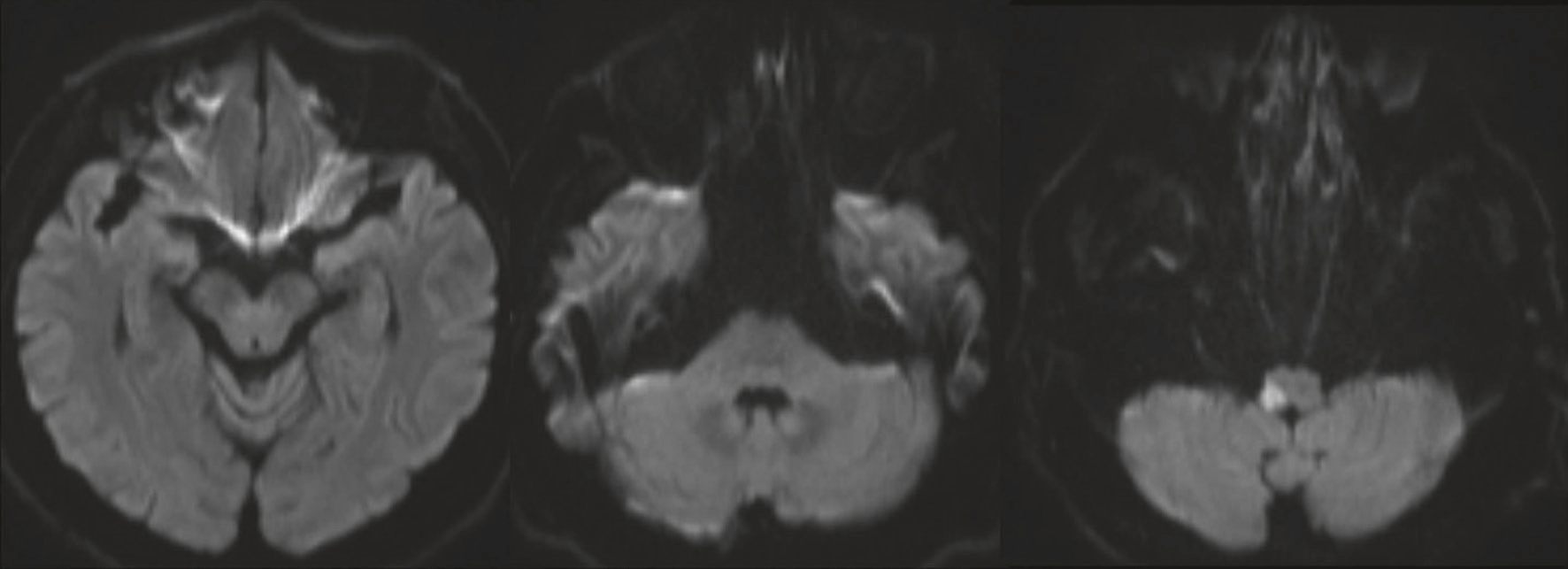
Vous recevez une patiente de 62 ans, hypertendue et diabétique de type 2, pour vertiges intenses apparus de manière soudaine 5 heures auparavant. Une IRM cérébrale en séquence de diffusion vous est présentée (fig. 32.7). Les autres séquences sont normales. Parmi les signes neurologiques suivants, quels sont ceux que vous pouvez classiquement retrouver devant cette lésion ?

Série d’images en coupes axiales obtenues par IRM en séquence de diffusion, montrant plusieurs zones focales en hypersignal situées dans le tronc cérébral, les pédoncules cérébelleux et les hémisphères cérébelleux, bilatéralement. Ces lésions bien visibles traduisent des foyers d’ischémie aiguë multifocale, probablement d’origine embolique. La répartition asymétrique des hypersignaux, touchant différentes structures postérieures, notamment le mésencéphale, le pont et le cervelet, suggère une atteinte vasculaire dans le territoire vertébro-basilaire. L’absence d’effet de masse significatif ou d’œdème périphérique oriente vers un processus ischémique récent. Cet aspect est évocateur d’un accident vasculaire cérébral postérieur, potentiellement invalidant s’il n’est pas pris en charge rapidement.
-
- A 683hémiplégie gauche
- B hypoesthésie faciale droite
- C syndrome cérébelleux cinétique droit
- D signe de Claude Bernard-Horner gauche
- E hypoesthésie au froid hémicorporelle gauche respectant la face
QRM 89
Une hémianopsie latérale homonyme droite peut résulter d’une lésion (une ou plusieurs propositions exactes) :
-
- A du chiasma à droite
- B des bandelettes optiques gauches
- C de radiations optiques gauches
- D du cortex occipital droit
- E du thalamus gauche
QRM 90
Parmi les mesures suivantes, laquelle (lesquelles) doi(ven) t être appliquée(s) à un patient admis à l’hôpital pour une hémiplégie brutale survenue 3 h 30 auparavant ?
-
- A contact immédiat avec une unité de soins intensifs neurovasculaires
- B un traitement de désobstruction artériel d’urgence doit être envisagé
- C un traitement antiépileptique de prévention doit être prescrit
- D le patient doit boire afin d’être parfaitement hydraté
- E la glycémie doit être régulièrement contrôlée
QRM 91
L’hémorragie sous-arachnoïdienne non traumatique est (une ou plusieurs propositions exactes) :
-
- A plus fréquente chez l’homme que chez la femme
- B une pathologie avec un taux de mortalité à 50 %
- C associée à une dépendance chez un tiers des survivants
- D consécutive à la rupture d’une malformation artério-veineuse dans la majorité des cas
- E parfois associée à des complications cardiaques
QRM 92
En cas de suspicion d’hémorragie sous-arachnoïdienne (HSA), si le scanner cérébral est normal (une ou plusieurs propositions exactes) :
-
- A le diagnostic d’HSA est formellement éliminé
- B une ponction lombaire normale réalisée dans les 6 heures qui suivent la céphalée aiguë ne permet pas d’éliminer une HSA
- C une ponction lombaire normale 12 heures après le début de la céphalée permet d’éliminer le diagnostic d’HSA
- D une ponction lombaire montrera une pression d’ouverture du LCS normale en cas d’HSA
- E le rapport érythrocytes/leucocytes sera superpo-sable à celui du sang en cas d’HSA
QRM 93
Parmi les propositions suivantes, citer les propositions exactes concernant la syncope :
-
- A c’est une hypoperfusion cérébrale globale et brève
- B c’est une hypoperfusion cérébrale focale et brève
- C sa prévalence augmente après 40 ans
- D sa prévalence augmente après 70 ans
- E le diagnostic peut être fait dans 50 % des cas grâce à l’interrogatoire, l’examen clinique et l’élec-trocardiogramme
QRM 94
Parmi les signes cliniques et les signes ECG suivants, lesquels justifient un avis cardiologique rapide lors d’une syncope ?
-
- A perte de connaissance survenant en station debout dans une file d’attente
- B perte de connaissance au cours d’un effort physique
- C une histoire d’infarctus du myocarde chez un parent à l’âge de 75 ans
- D la découverte d’une anomalie de conduction à l’ECG
- E un intervalle QT long à l’ECG
QRM 95
Parmi les propositions suivantes concernant la syncope vasovagale, lesquelles sont exactes ?
-
- A elle est associée à une hyperactivité sympathique
- B elle est associée à une hyperactivité parasympathique
- C elle est associée à une chute tensionnelle et une tachycardie
- D elle est associée à une chute tensionnelle et une bradycardie
- E elle n’est pas précédée de prodromes
QRM 96
Parmi les propositions suivantes concernant la syncope vasovagale, lesquelles sont exactes ?
-
- A les prodromes sont typiquement des sueurs, des nausées, une vue brouillée
- B 684les prodromes sont typiquement une vision double, un trouble de l’équilibre, des fourmillements d’un hémicorps, des vertiges
- C en cas de survenue de malaise à répétition, il faut rester debout le plus longtemps possible pour lutter contre la perte de connaissance
- D en cas de survenue de ce malaise à répétition, il faut s’allonger les jambes surélevées
- E elle est favorisée par la chaleur, les émotions vives, la station debout prolongée
QRM 97
Parmi les syncopes suivantes, laquelle (lesquelles) est (sont) classée(s) comme appartenant au groupe des syncopes réflexes ?
-
- A syncopes par bloc auriculoventriculaire
- B syncopes vasovagales
- C syncopes par effort de toux
- D syncopes par hypotension orthostatique
- E syncopes sinocarotidiennes
QRM 98
Parmi les propositions suivantes concernant les caractéristiques des infarctus cérébraux lacunaires liés à la microangiopathie cérébrale, laquelle (lesquelles) est (sont) exacte(s) ?
-
- A ce sont des infarctus de moins de 15 mm de diamètre
- B ils sont secondaires à la lipohyalinose
- C ils touchent le cortex cérébral
- D leur facteur de risque principal est l’hypertension artérielle
- E ils sont responsables fréquemment d’une aphasie de Broca
QRM 99
Un déficit neurologique transitoire peut être causé par :
-
- A un accident ischémique transitoire
- B une aura migraineuse
- C une hypoglycémie
- D une hyponatrémie
- E une malformation vasculaire cérébrale
QRM 100
Un syndrome médullaire aigu peut être causé par :
-
- A un accident vasculaire médullaire
- B un neurinome
- C un méningiome
- D une myélite
- E une épidurite infectieuse
QRM 101
Dans les dysphonies par paralysie laryngée unilatérale la voix peut être :
-
- A grave
- B bitonale
- C rauque
- D soufflée
- E voilée
QRM 102
Les causes les plus fréquentes de dysphonies par paralysie laryngée sont :
-
- A coarctation de l’aorte
- B syndrome de Guillain-Barré
- C sclérose latérale amyotrophique
- D séquelle de chirurgie cervicale
- E néoplasies thyroïdiennes
QRM 103
Les nodules des cordes vocales :
-
- A surviennent surtout chez les patients alcoolo-tabagiques
- B peuvent dégénérer en lésions cancéreuses
- C se caractérisent par des lésions blanchâtres symétriques
- D se situent sur le tiers moyen des cordes vocales
- E sont dus au papillomavirus
QRM 104
En cas de laryngite aiguë l’examen clinique révèle :
-
- A des cordes vocales œdématiées
- B des cordes vocales hypertrophiques
- C des cordes vocales blanches
- D une paralysie le plus souvent unilatérale
- E des dépôts purulents
QRM 105
Les causes les plus fréquentes de dysphonies d’origine neurologique sont :
-
- A maladie de Parkinson
- B syndrome de Guillain-Barré
- C sclérose latérale amyotrophique
- D myasthénie
- E atrophie multisystématisée
685
QRM 106
Concernant le réflexe vestibulo-oculaire, quelle(s) est(sont) la(les) réponse(s) juste(s) ?
-
- A il permet d’orienter le regard
- B il permet de stabiliser la posture
- C il permet de stabiliser le regard
- D il est déclenché par une stimulation visuelle
- E il est déclenché par une rotation de la tête
QRM 107
Parmi ces éléments, quel(s) est (sont) celui (ceux) qui doivent évoquer un syndrome vestibulaire ?
-
- A lipothymie
- B vomissements en jet
- C sensation de chute prolongée
- D perte de connaissance
- E ataxie accentuée à la fermeture des yeux
QRM 108
Parmi ces éléments, quel(s) est (sont) celui (ceux) qui doit(vent) évoquer une origine vestibulaire lors d’une ataxie ?
-
- A paresthésie
- B dysarthrie
- C déviation latéralisée à l’épreuve de Romberg
- D vertiges
- E déviation en arrière à la manœuvre des index
QRM 109
Parmi ces diagnostics, quelles sont les étiologies principales à évoquer devant un syndrome vestibulaire aigu isolé, intense, durable et inaugural ?
-
- A accident ischémique transitoire
- B accident vasculaire ischémique constitué cérébelleux
- C névrite vestibulaire
- D maladie de Menière
- E schwannome vestibulaire
QRU 110
Quelle est la durée habituelle de la crise vertigineuse d’un vertige paroxystique positionnel bénin ?
-
- A moins de 30 secondes
Quelques minutes
- C quelques heures
- D 1 à 2 journées
- E 3 à 4 semaines
QRM 111
Parmi les propositions suivantes relatives à la mémoire, laquelle (lesquelles) est (sont) exacte(s) :
- A la mémoire sémantique est la mémoire de nos événements de vie
- B la mémoire épisodique est la mémoire de notre savoir-faire
- C la mémoire de travail permet à la fois le maintien temporaire d’une information et son traitement
- D la mémoire de travail repose sur le cortex préfrontal dorsolatéral
- E la mémoire épisodique repose sur le circuit de Papez
QRM 112
Parmi les propositions suivantes relatives à l’évaluation de la mémoire, laquelle (lesquelles) est (sont) exacte(s) :
- A la mémoire antérograde correspond aux informations anciennes, acquises avant le début des troubles
- B l’incapacité à récupérer une information correctement apprise, malgré la présentation d’indices, relève d’un trouble de l’encodage
- C l’incapacité à récupérer une information correctement apprise, malgré la présentation d’indices, relève d’un trouble du stockage
- D un trouble de l’encodage renvoie à une dysfonc-tion pariétale
- E un trouble du stockage renvoie à une dysfonction temporale interne
QRM 113
Une lésion pariétale gauche (chez le droitier) peut être associée avec un ou plusieurs des symptômes suivants : lequel ou lesquels ?
- A apraxie idéomotrice
- B agraphie
- C acalculie
- D indistinction entre la droite et la gauche
- E syndrome d’Anton-Babinski
QRM 114
Parmi les propositions suivantes relatives à l’héminé-gligence, laquelle (lesquelles) est (sont) exacte(s) ?
- A correspond à une incapacité à répondre ou s’orienter vers les stimuli controlatéraux à une lésion
- B n’intéresse jamais l’espace corporel
- C est recherchée cliniquement par la mise en évidence du phénomène d’extinction
- D 686s’observe le plus souvent après lésion hémisphérique droite
- E peut être associée à une anosognosie de l’hémiplégie
QRM 115
Parmi les propositions suivantes, lesquelles sont vraies ?
- A les infarctus cérébraux représentent 80 % des AVC
- B deux tiers des patients victimes d’AVC sont des hommes
- C deux tiers des patients victimes d’AVC conservent des séquelles physiques
- D les AVC représentent la première cause de démence
- E les AVC représentent la première cause de mortalité chez les femmes en France
QRM 116
Quels sont les facteurs de risque d’AVC parmi les éléments suivants ?
- A hypertension artérielle
- B diabète insipide
- C hyper-HDLémie
- D obésité
- E consommation d’un verre de vin par jour
QRM 117
Quelle recommandation donnez-vous à un patient à risque d’AVC sur l’attitude nécessaire devant la survenue de symptômes évocateurs ?
- A appel du médecin généraliste
- B appel du 15
- C attente 30 minutes avant appel
- D attente en position semi-couchée
- E appel du 112
QRM 118
Parmi les éléments suivants, lesquels font évoquer en première intention une hémorragie cérébrale devant un déficit neurologique focal ?
- A épidémiologie
- B cervicalgies
- C déficit neurologique sévère
- D manifestations transitoires
- E aucune des propositions suivantes
QRM 119
Devant un déficit neurologique focal d’apparition brutale le transport, doit être effectué :
- A par le SAMU
- B en décubitus dorsal strict
- C avec une perfusion de glucosé
- D vers le centre de thrombectomie le plus proche
- E sans délai
QRM 120
Quelles évaluations menez-vous à la phase aiguë d’une suspicion d’AVC ?
- A évaluation de la sévérité du déficit neurologique par l’expanded disability status scale (EDSS)
- B score de Glasgow
- C prise de tension artérielle aux deux bras
- D prise de température
- E glycémie
QRM 121
Dans un contexte d’infarctus cérébral, quels traitements doivent être discutés durant la phase aiguë ?
- A thrombolyse intraveineuse
- B corticoïdes intraveineux
- C revascularisation mécanique
- D thrombectomie chirurgicale
- E antiagrégant en bolus
QRM 122
Quelles sont les trois principales causes d’infarctus cérébral parmi les suivantes :
- A microangiopathie hypertensive
- B athérosclérose
- C dissection des troncs supra-aortiques
- D fibrillation atriale
- E foramen ovale perméable
QRM 123
Quel(s) signe(s) clinique(s) parmi les suivants peu(ven) t s’observer dans le delirium tremens ?
- A syndrome confusionnel
- B zoopsie
- D astérixis
- D crise d’épilepsie
- E nystagmus
QRM 124
Quel(s) signe(s) clinique(s) parmi les suivants peu(ven)t s’observer dans l’encéphalopathie de Gayet-Wernicke ?
- A syndrome confusionnel
- B 687zoopsie
- C astérixis
- D crise d’épilepsie
- E nystagmus
QRM 125
Le diagnostic d’une dysphonie nécessite la réalisation :
- A d’une laryngoscopie directe
- B d’une électromyographie laryngée
- C d’un examen phoniatrique
- D d’une stroboscopie
- E d’aucun examen complémentaire
QRM 126
Dans les dysphonies par paralysie laryngée bilatérale, le tableau clinique est marqué par :
- A une aphonie totale
- B une voix bitonale
- C une voix rauque
- D une voix soufflée
- E une voix voilée
QRM 127
En cas de laryngite aiguë, l’examen clinique révèle :
- A des cordes vocales œdématiées
- B des cordes vocales hypertrophiques
- C des cordes vocales rouges
- D une paralysie le plus souvent unilatérale
- E des dépôts purulents
QRM 128
Dans la liste suivante, quelles sont les propositions exactes concernant la papillomatose laryngée :
- A elle siège au niveau du tiers postérieur des cordes vocales
- B elle se caractérise par des lésions virales muri-formes
- C elle est souvent liée au tabac
- D le risque de dégénérescence maligne est rare
- E un traitement microchirurgical est proposé dans les formes extensives
QRM 129
Un patient de 40 ans, bien suivi pour une migraine sans aura, se présente aux urgences pour une céphalée très brusque lors d’une course en sprint. Quelles sont les propositions exactes ?
- A une imagerie cérébrale est indiquée en externe dans la semaine à venir
- B il peut s’agir d’une hémorragie sous-arachnoïdienne par rupture d’anévrisme
- C en l’absence de fièvre, il peut s’agir d’une méningite
- D un traitement anti-inflammatoire non stéroïdien est indiqué en attente de l’imagerie cérébrale
- E un traitement par triptan est indiqué d’emblée
QRM 130
Devant une céphalée, le scanner cérébral simple (sans injection) permet de détecter efficacement :
- A une dissection carotide
- B un hématome sous-dural
- C une encéphalite
- D un vasospasme artériel
- E une thrombose veineuse cérébrale
QRM 131
Une patiente de 25 ans se présente aux urgences en raison de deux épisodes identiques de céphalées brusques en hémicrânie, d’une durée de 2 heures chacun, cette dernière semaine. Elle n’a jamais eu de céphalées dans le passé. Quelles sont les propositions exactes ?
- A il s’agit d’une migraine sans aura
- B il s’agit d’une céphalée chronique quotidienne
- C il existe une indication d’imagerie cérébrale en urgence
- D en cas d’imagerie normale, il existe une indication à une ponction lombaire
- E une imagerie vasculaire (angioscanner ou angiographie par résonance magnétique) n’est pas utile
QRM 132
La lésion suivante chez un patient droitier (fig. 32.8) peut être associée avec un ou plusieurs des symptômes suivants : lequel ou lesquels ?

Cette coupe axiale d’un scanner cérébral sans injection met en évidence un hématome intracérébral spontané ou post-traumatique siégeant dans le lobe temporal gauche. La collection apparaît spontanément hyperdense, bien limitée, et refoule les structures adjacentes, traduisant un effet de masse modéré. L’hématome s’étend vers la région cortico-sous-corticale et comprime partiellement la corne temporale du ventricule latéral gauche. La ligne médiane est légèrement déviée vers la droite, sans signes francs d’engagement. L’aspect homogène de la densité, sans zones hypo- ou iso-denses, oriente vers un saignement récent. Les sillons corticaux environnants sont effacés, indiquant un œdème périphérique associé. Cette image évoque une hémorragie lobaire isolée, à prendre en charge rapidement pour éviter l’aggravation neurologique.
- A 688troubles visuospatiaux
- B hémi-asomatognosie
- C anosognosie de l’hémiplégie
- D hémi-négligence
- E aphasie de conduction
QRM 133
Vous examinez Monsieur X., droitier, 2 semaines après un AVC ischémique. La copie d’une fleur donne ce résultat (fig. 32.9). Parmi les propositions suivantes, laquelle (lesquelles) est (sont) exacte(s) ?

Le dessin représente une fleur stylisée composée d’un centre circulaire entouré de pétales disposés uniquement sur la moitié droite. La moitié gauche du cercle reste vide, sans aucun pétale. Deux feuilles sont dessinées sur la tige, toutes deux situées du côté droit. L’ensemble présente une asymétrie marquée, avec une absence complète d’éléments floraux sur le côté gauche de la composition. Cette disposition déséquilibrée attire immédiatement l’attention sur la répartition incomplète des éléments, avec un axe de symétrie non respecté autour de la tige centrale.
- A la production de votre patient suggère un trouble de la planification
- B la production de votre patient suggère une héminégligence
- C cette production doit faire rechercher une extinction visuelle gauche
- D cette production doit faire rechercher un trouble des fonctions exécutives
- E l’AVC intéresse probablement l’hémisphère droit
QRM 134
Vous prenez en charge une patiente de 46 ans, hospitalisée en réanimation pour un coma profond suite à une hémorragie méningée majeure avec hypertension intracrânienne. L’évolution est défavorable et vous suspectez une mort cérébrale. Cette patiente ne s’est pas opposée au don d’organes et vous souhaitez confirmer le diagnostic de mort cérébrale. Quel(s) élément(s) est (sont) nécessaire(s) pour confirmer la mort cérébrale de la patiente ?
- A un score de Glasgow entre 4 et 7
- B abolition des réflexes du tronc cérébral
- C un électroencéphalogramme nul et non réactif pendant 30 minutes
- D une angiographie objectivant un arrêt de la perfusion cérébrale
- E absence de ventilation spontanée
QRM 135
Vous accueillez un patient de 52 ans, sans antécédent, qui a présenté à domicile un trouble de la parole suivi d’une crise convulsive de 3 minutes, puis d’un coma. Il n’y a plus de crise. Il présente une hyperther-mie à 39°. Il n’y a aucune lésion cutanée. À la stimulation, il n’ouvre pas les yeux même à la douleur, présente un mouvement de retrait et d’évitement à la douleur mais ne bouge pas son hémicorps droit, il n’y a aucune réponse verbale. Quelle(s) proposition(s) est (sont) correct(e)s ?
- A le score de Glasgow est à 6
- B une ponction lombaire en urgence immédiate est nécessaire
- C un traitement par clonazépam est indispensable
- D une imagerie cérébrale est nécessaire immédiatement
- E une antibiothérapie probabiliste est instaurée en urgence
QRM 136
Parmi les propositions suivantes lesquelles sont vraies ?
- A les infarctus cérébraux représentent 80 % des AVC
- B 6892/3 des patients victimes d’AVC sont des hommes
- C 2/3 des patients victimes d’AVC conservent des séquelles physiques
- D les AVC représentent la première cause de démence
- E les AVC représentent la première cause de mortalité chez les femmes en France
QRM 137
Quels sont les facteurs de risque d’AVC parmi les éléments suivants chez un homme ?
- A hypertension artérielle
- B diabète insipide
- C hyper-HDLémie
- D obésité
- E consommation d’un verre de vin par jour
QRM 138
Quels symptômes fortement évocateurs d’un AVC doivent être communiqués à la population générale ?
- A déficit sensitif brutal d’une main
- B déficit moteur brutal d’une jambe
- C déformation brutale du visage
- D perte brutale du langage
- E diplopie aiguë
QRM 139
Un patient se présente avec une incontinence salivaire et une chute de la commissure labiale gauche avec un simple effacement du sillon nasogénien gauche lors du sourire. Le reste de l’examen neurologique est normal. Quelles sont les localisations possibles pour les lésions ?
- A cortex moteur primaire
- B capsule interne
- C mésencéphale
- D angle pontocérébelleux
- E parotide gauche
QRM 140
Parmi les manifestations suivantes, lesquelles peuvent être observées dans le cadre d’un infarctus sylvien superficiel gauche avec atteinte rolandique chez un patient droitier ?
- A parésie à prédominance brachiofaciale droite
- B hémiparésie proportionnelle droite
- C hémianesthésie brachiofaciale droite
- D troubles de la déglutition
- E hémianospie latérale homonyme droite
QRM 141
Concernant la sémiologie des infarctus cérébraux, quelles réponses sont vraies ?
- A un déficit sensitif proportionnel est possible dans le cadre d’un infarctus de l’artère cérébrale postérieure
- B une hémiplégie proportionnelle est évocatrice d’un infarctus de l’artère cérébrale moyenne superficielle
- C un déficit à prédominance crurale est évocateur d’un infarctus de l’artère cérébrale antérieure
- D une anosognosie est évocatrice d’un infarctus de l’artère cérébelleuse supérieure
- E une quadranopsie est possible dans le cadre d’un infarctus de l’artère cérébrale moyenne superficielle
QRM 142
Parmi les manifestations suivantes lesquelles sont mises en évidence lors d’un syndrome de Wallenberg ?
- A dysphonie
- B dysphagie
- C hémiparésie
- D hémiataxie
- E ptosis
- F diplopie
- G nystagmus multidirectionnel
- I paralysie du VI
QRM 143
Quelles sont les trois principales causes d’infarctus cérébral parmi les suivantes ?
- A microangiopathie hypertensive
- B athérosclérose
- C dissection des troncs supra-aortiques
- D fibrillation atriale
- E foramen ovale perméable
QRM 144
Devant un déficit neurologique focal d’apparition brutale le transport doit être effectué ?
- A par un transport médicalisé
- B en décubitus dorsal strict
- C après mise en place d’une voie veineuse
- D vers le centre de thrombectomie le plus proche
- E sans délai
690
QRM 145
Parmi les étiologies des infarctus cérébraux, quelles sont les réponses vraies ?
- A les infarctus lacunaires représentent 20 % des infarctus cérébraux
- B la fibrillation atriale est en cause dans 50 % des infarctus cérébraux
- C l’athérosclérose des troncs supra-aortiques est impliquée dans 30 % des infarctus cérébraux
- D les causes indéterminées représentent 25 % des infarctus cérébraux
- E une thrombophilie est en cause dans 10 % des infarctus cérébraux
QRM 146
Dans un contexte de suspicion d’accident vasculaire dont les symptômes sont apparus il y a moins de 4 h 30 et sont en cours de régression, quelles sont les réponses vraies concernant l’imagerie ?
- A le scanner cérébral peut être normal
- B l’imagerie cérébrale doit être effectuée uniquement si les manifestations cliniques persistent
- C l’IRM cérébrale aura une meilleure sensibilité que le scanner pour exclure une lésion hémorragique
- D un examen angiographique des troncs supra-aortiques devra systématiquement compléter l’examen parenchymateux
- E une séquence de perfusion est indispensable
QRM 147
La prévention secondaire d’un infarctus cérébral de mécanisme athéromateux repose sur :
- A un traitement antihypertenseur
- B un traitement par fibrates pour la dyslipidémie
- C une insulinothérapie pour tout patient diabétique
- D un anticoagulant oral
- E une endartériectomie en cas de sténose carotidienne symptomatique > 50 %
QRM 148
Dans un contexte d’infarctus cérébral, quels traitements doivent être discutés à la phase aiguë ?
- A thrombolyse intraveineuse
- B corticoïdes intraveineux
- C revascularisation mécanique
- D thrombectomie chirurgicale
- E antiagrégant en bolus
QRM 149
Dans un contexte d’hémorragie intracérébrale sous antithrombotique, quelles sont les réponses vraies ?
- A une évacuation chirurgicale de l’hématome doit être privilégiée
- B une réversion par PPSB (complexe prothrombique humain) d’un traitement par antivitamine K est nécessaire
- C l’administration d’un concentré plaquettaire est justifiée en cas de prise d’antiagrégants plaquet-taires
- D une réversion par sulfate de protamine d’un anticoagulant oral direct de type anti-Xa est recommandée
- E une tension artérielle < 185 mmHg doit être obtenue dans un délai de moins de 1 heure
QRM 150
Quelles sont la (les) proposition(s) exacte(s) concernant cette IRM cérébrale (fig. 32.10) ?

L'assemblage affiche cinq photographies de la coupe axiale du cerveau (A à D) et de l'angiographie par résonance magnétique (à droite) montrant des coups ischémiques dans l'hémisphère gauche. En diffusion, cette photo montre le ventricule frontal du cortex cortitique sur le côté gauche, qui est caractéristique de l'infarctus aigu. L’image B en cartographie ADC révèle une hypointensité concordante avec la restriction de diffusion, confirmant l’ischémie récente. L’image C en séquence FLAIR illustre un hypersignal modéré dans la même région, avec un discret effacement des sillons corticaux. L’image D en T2 montre une hyperintensité similaire, sans effet de masse ni saignement apparent. L’angiographie à droite met en évidence une occlusion ou une réduction de calibre de l’artère cérébrale moyenne gauche, avec un contraste net des vaisseaux du polygone de Willis. L’ensemble est compatible avec un AVC ischémique étendu du territoire de la cérébrale moyenne gauche.
- A 691il existe un AVC ischémique sylvien gauche
- B il existe un hématome intraparenchymateux hémisphérique gauche
- C l’imagerie artérielle montre une occlusion proxi-male intracrânienne
- D on visualise un thrombus sur la séquence T2*
- E il existe une microangiopathie cérébrale étendue
QRM 151
Un homme de 40 ans est admis pour la survenue transitoire d’une aphasie d’expression d’une durée de 20 minutes au décours d’une séance de boxe effectuée 24 heures auparavant. Vous suspectez une dissection carotidienne gauche. Parmi les éléments suivants, lesquels renforcent votre hypothèse ?
- A le patient a présenté un AIT sans AVC constitué
- B il existe un signe de Claude Bernard-Horner
- C l’événement neurologique a été précédé d’une activité physique
- D l’événement neurologique a été précédé d’un traumatisme
- E le patient présente des cervicalgies
- F le patient présente une paralysie du XII
QRU 1
Un homme age de 46 ans vient en consultation accompagne par son épouse. Celle-ci signale que son époux est agite depuis environ un an, gigote de façon anormale, est anxieux, a du mal a se concentrer, et semble un peu déprimé. Il ne prend aucun médicament particulier.
La mère du patient est décédée a l’age de 68 ans d’une démence survenue après l’apparition de troubles psychiatriques, le diagnostic de maladie d’Alzheimer n’ayant pas été formellement retenu. A l’examen neurologique, vous constatez que le patient n’est pas vraiment conscient des mouvements anormaux qu’il présente. Il s’agit de mouvements diffus, brefs, anar-chiques, arythmiques, non stéréotypes et non contrôlables. Vous confirmez qu’il existe un syndrome anxio-depressif.
Quelle est votre principale hypothèse diagnostique ?
- A syndrome de Gilles de la Tourette
- B maladie de Parkinson
- C démence fronto-temporale
- D maladie de Huntington
- E maladie de Wilson
Réponses
QRM 1
Item 96
Vrai : A, B, D
692QRM 2
Item 82
Vrai : B, C, D
QRM 3
Item 82
Vrai : B
QRM 4
Item 82
Vrai : B, E
QRM 5
Item 82
Vrai : A, D
QRM 6
Item 92
Vrai : A, B, C, E
QRM 7
Items 91 et 92
Vrai : A, D, E
QRM 8
Items 151, 334 et 340
Vrai : B, C, D, E
QRM 9
Item 91
Vrai : B
QRM 10
Item 91 et 92
Vrai : A, B
QRM 11
Item 91 et 92
Vrai : C
QRM 12
Item 96
Vrai : A, C
QRM 13
Item 96
Vrai : B, C
QRM 14
Item 96
Vrai : A, D, E
QRM 15
Item 96
Vrai : C, E
QRM 16
Item 97
Vrai : C, D
QRM 17
Item 97
Vrai : A, B, C, D
QRM 18
Item 97
Vrai : B, C, D
QRM 19
Item 98
Vrai : A, D, E
QRM 20
Item 98
Vrai : A, C
QRM 21
Item 98
Vrai : A, B, D, E
QRM 22
Item 96
Vrai : A, C, D, E
QRM 23
Item 96
Vrai : A, B, E
693QRM 24
Item 99
Vrai : A, B, D
QRM 25
Item 100
Vrai : A, C, D
QRM 26
Item 100
Vrai : B, D
QRM 27
Item 99
Vrai : A, C, E
QRM 28
Item 100
Vrai : D
QRM 29
Item 101
Vrai : A, D
QRM 30
Item 101
Vrai : A
QRM 31
Item 101
Vrai : C, D, E
QRM 32
Item 101
Vrai : B, E
QRM 33
Item 102
Vrai : A, C, D
QRM 34
Item 102
Vrai : A, B, D
QRM 35
Item 103
Vrai : B, C, D
QRM 36
Item 103
Vrai : B, C, D
QRM 37
Item 104
Vrai : B, C, D, E
QRM 38
Item 104
Vrai : C, D, E
QRM 39
Item 104
Vrai : A, B
QRM 40
Item 104
Vrai : C, D
QRM 41
Item 104
Vrai : B, C, D
QRM 42
Item 104
Vrai : B, D, E
QRM 43
Item 105
Vrai : B, D
QRM 44
Item 105
Vrai : A, D, E
QRM 45
Item 105
Vrai : B, C, D
694QRM 46
Item 105
Vrai : B, C, D, E
QRM 47
Item 105
Vrai : A, D
QRM 48
Item 105
Vrai : C, E
QRM 49
Item 105
Vrai : A, C, D
QRM 50
Item 105
Vrai : A, C, D
QRM 51
Item 105
Vrai : A, C, D, E
QRM 52
Item 105
Vrai : B, E
QRM 53
Item 74
Vrai : D
QRM 54
Item 105
Vrai : A, B
QRM 55
Item 105
Vrai : B, C, E
QRM 56
Item 105
Vrai : A, B
QRM 57
Item 105
Vrai : C, D, E
QRM 58
Item 106
Vrai : A, B, C, D, E
QRM 59
Item 106
Vrai : D
QRM 60
Item 106
Vrai : D
QRM 61
Item 106
Vrai : A, C, D, E
QRM 62
Item 106
Vrai : A, C
QRM 63
Item 106
Vrai : A, B, D, E
QRM 64
Item 106
Vrai : E
QRM 65
Item 106
Vrai : A, D, E
QRM 66
Item 106
Vrai : B, E
QRM 67
Item 109
Vrai : A, C, E
695QRM 68
Items 108 et 132
Vrai : A, E
QRM 69
Item 108
Vrai : A, E
QRM 70
Item 108
Vrai : A, B, C, D, E
QRM 71
Item 108
Vrai : B, D
QRM 72
Item 108
Vrai : B, E
QRM 73
Items 108 et 132
Vrai : B, C, D, E
QRM 74
Items 108 et 132
Vrai : B, E
QRM 75
Item 107
Vrai : A, D
QRM 76
Item 106
Vrai : A, C, E
QRM 77
Item 151
Vrai : C, E
QRM 78
Item 151
Vrai : A, B, C
QRM 79
Item 151
Vrai : D
QRM 80
Item 151
Vrai : A, D, E
QRM 81
Item 299
Vrai : B, C, D
QRM 82
Item 340
Vrai : A, B, C, D, E
QRM 83
Item 340
Vrai : A, B, E
QRM 84
Item 340
Vrai : B, D
QRM 85
Item 340
Vrai : C, E
QRM 86
Item 340
Vrai : E
QRM 87
Item 340
Vrai : B
QRM 88
Item 340
Vrai : B, C, E
QRM 89
Item 340
Vrai : B, C
696QRM 90
Item 340
Vrai : A, B, E
QRM 91
Item 341
Vrai : B, C, E
QRM 92
Item 341
Vrai : B, C
QRM 93
Item 342
Vrai : A, D, E
QRM 94
Item 342
Vrai : B, D, E
QRM 95
Item 342
Vrai : B, D
QRM 96
Item 342
Vrai : A, D, E
QRM 97
Item 342
Vrai : B, C, E
QRM 98
Item 340
Vrai : A, B, D
QRM 99
Items 91 et 340
Vrai : A, B, C, E
QRM 100
Item 91
Vrai : A, C, D, E
QRM 101
Item 88
Vrai : B, D
QRM 102
Item 88
Vrai : D, E
QRM 103
Item 88
Vrai : C, D
QRM 104
Item 88
Vrai : A, E
QRM 105_
Item 88
Vrai : A, D, E
QRM 106
Item 103
Vrai : C, E
Le réflexe vestibulo-oculaire permet de stabiliser le regard lors des rotations de la tête. Les saccades sont les mouvements d’orientation du regard. Le réflexe vestibulo-oculaire ne participe pas à la stabilisation posturale. Il n’est pas déclenché par une stimulation visuelle.
QRM 107
Item 103
Vrai : C, E
Un syndrome vestibulaire est constitué de la triade : vertiges (sensation de chute prolongée), ataxie sensorielle et nystagmus. Les vomissements sont fréquents mais pas en jet. La lipothymie et la perte de connaissance ne sont pas des vertiges.
QRM 108
Item 103
Vrai : C, D
L’ataxie vestibulaire est une ataxie sensorielle, latéralisée lors d’une atteinte unilatérale. Elle s’accompagne de vertiges et d’un nystagmus. Les paresthésies accompagnent l’ataxie par déficit de la sensibilité profonde et la dysarthrie accompagne l’ataxie cérébelleuse.
697QRM 109
Item 103
Vrai : B, C
QRM 110
Item 103
Vrai : A
Il s’agit d’un vertige bref de moins de 30 secondes. La crise de vertige paroxystique positionnel bénin se répète durant une période de 3 semaines à 1 mois le plus souvent.
QRM 111
Item 103
Vrai : C, D, E
QRM 112
Item 103
Vrai : C, E
QRM 113
Items 91 et 340
Vrai : A, B, C, D
QRM 114
Items 91 et 340
Vrai : A, C, D, E
QRM 115
Item 340
Vrai : A, C, E
QRM 116
Item 340
Vrai : A, D
QRM 117
Item 340
Vrai : B, D, E
QRM 118
Item 340
Vrai : E
QRM 119
Item 340
Vrai : E
QRM 120
Item 340
Vrai : C, D, E
QRM 121
Item 340
Vrai : A, C, E
QRM 122
Item 340
Vrai : A, B, D
QRM 123
Item 76
Vrai : A, B, D
QRM 124
Item 76
Vrai : A, E
QRM 125
Item 88
Vrai : E
QRM 126
Item 88
Vrai : A
QRM 127
Item 88
Vrai : A, C, E
QRM 128
Item 88
Vrai : B, D, E
QRM 129
Item 100
Vrai : B, C
698QRM 130
Item 100
Vrai : B
QRM 131
Item 100
Vrai : C, D
QRM 132
Item 92
Vrai : A, B, C, D
QRM 133
Items 108 et 340
Vrai : B, C, E
QRM 134
Item 336
Vrai : B, D et E
Commentaire : le patient doit être dans un coma aréactif, Glasgow 3; deux EEG aréactifs sur 30 minutes à 4 heures d’intervalle en dehors de toute sédation sont nécessaires.
QRM 135
Items 336 et 342
Vrai : A, D
Commentaires : il s’agit d’un patient présentant un score de Glasgow < 11 ayant fait une crise convulsive avec des signes de focalisation (hémiplégie et trouble phasique). Il est donc contre-indiqué à une ponction lombaire d’emblée et doit d’abord bénéficier d’une imagerie en urgence (TDM cérébrale ou IRM cérébrale selon les possibilités). Ici, il faut évoquer une cause infectieuse, type méningo-encéphalite, mais aucun argument pour une méningite bactérienne devant les signes encéphaliques et l’absence de purpura fulminans. Pas d’antibiothérapie probabiliste. Il n’y a pas d’état de mal épileptique cliniquement donc pas de clonazépam qui pourrait aggraver le trouble de la vigilance.
QRM 136
Item 340
Vrai : A, C, E
QRM 137
Item 340
Vrai : A, D
QRM 138
Item 340
Vrai : B, C, D
Commentaires : les critères FAST (Face-Arm-Speech-Time) doivent être utilisés dans les campagnes de sensibilisation.
QRM 139
Item 91
Vrai : A, B, C
Commentaire : les lésions de l’angle pontocérébelleux et de la parotide peuvent être responsables d’une paralysie faciale périphérique avec atteinte de l’étage supérieur du visage.
QRM 140
Item 340
Vrai : A, C
Commentaire : le déficit moteur proportionnel est évocateur d’une atteinte de la capsule interne qui est vascularisée par la branche profonde de l’artère cérébrale moyenne.
QRM 141
Item 340
Vrai : A, C, E
QRM 142
Item 340
Vrai : A, B, D, E, G
QRM 143
Item 340
Vrai : A, B, D
QRM J44
Item 340
Vrai : E
Commentaire : un transport médicalisé n’est indiqué qu’en cas de défaillance cardiaque ou respiratoire associée ou de troubles de la vigilance ou risque d’inhalation.
QRM 145
Item 340
Vrai : A, C, D
QRM 146
Item 340
Vrai : A, D
699Commentaire : la séquence de perfusion n’est nécessaire que pour discuter de procédures de revascularisa-tion en dehors des délais de 4 h 30 pour la thrombolyse intraveineuse et 6 h pour la thrombectomie mécanique. L’examen angiographique peut être une angiographie par résonance magnétique ou un angioscanner.
QRM 147
Item 340
Vrai : A, E
QRM 148
Item 340
Vrai : A, C, E
QRM 149
Item 340
Vrai : B
QRM 150
Item 340
Vrai : A, C
QRM 151
Item 340
Vrai : B, D, E, F
Commentaire : cervicalgies, syndrome de Claude Bernard-Horner et paralysie du XII sont la conséquence de l’hématome de paroi et de la compression des structures au contact de l’artère. Une activité physique non traumatisante n’est pas un facteur de risque.
QRU 1
Item 107
Vrai : D
