Objectifs pédagogiques
- Chez un sujet se plaignant de vertige, argumenter les principales hypothèses diagnostiques et justifier les examens complémentaires pertinents.
- Connaître les grands principes de prise en charge.
Hiérarchisation des connaissances


Définition
 Le vertige est une illusion de mouvement, soit du patient, soit de l'environnement, qui se traduit le plus souvent par une impression de rotation ou parfois de déplacement linéaire. Il peut s'agir d'un symptôme spontané, déclenché ou majoré par les mouvements de la tête. Il s'accompagne habituellement de signes neurovégétatifs tels que des nausées, des vomissements ou des sueurs. Il n'existe pas de troubles de la conscience au cours de la crise. Le vertige ainsi défini traduit généralement une perturbation fonctionnelle ou lésionnelle du système vestibulaire, de la périphérie à ses connexions centrales.
 Le vertige est une illusion de mouvement, soit du patient, soit de l'environnement, qui se traduit le plus souvent par une impression de rotation ou parfois de déplacement linéaire. Il peut s'agir d'un symptôme spontané, déclenché ou majoré par les mouvements de la tête. Il s'accompagne habituellement de signes neurovégétatifs tels que des nausées, des vomissements ou des sueurs. Il n'existe pas de troubles de la conscience au cours de la crise. Le vertige ainsi défini traduit généralement une perturbation fonctionnelle ou lésionnelle du système vestibulaire, de la périphérie à ses connexions centrales.
Les vertiges sont un motif fréquent de consultation, puisqu'une personne sur sept environ dit en avoir éprouvé au moins une fois. Il s'agit d'un symptôme banal, mais pouvant révéler une cause grave.
Attention, le terme vertige est souvent utilisé par les patients pour désigner bien autre chose qu'un vertige au sens médical du terme. Le premier temps de l'examen est celui d'un interrogatoire méticuleux afin d'éliminer les «pseudo-vertiges». Il s'agit le plus souvent du malaise lipothymique dont les symptômes associent flou visuel, tête lourde, acouphènes, sensations de jambes flageolantes, paresthésies des quatre extrémités, impression de perte de connaissance imminente. Le vertige des hauteurs est un faux vertige d'origine phobique. L'ataxie posturale qui est une sensation d'instabilité ou d'ébriété, parfois augmentée par les mouvements de tête, peut être d'origine vestibulaire mais également d'autre origine comme cérébelleuse ou proprioceptive. Parfois le terme vertige est encore plus largement dévoyé pour décrire «fatigue», «céphalées»...
I. Rappel physiopathologique
 Le système vestibulaire périphérique constitué du labyrinthe postérieur (canaux semi- circulaires, utricule, saccule) est sensible à la position et aux déplacements de la tête dans les trois dimensions. Les crêtes ampullaires des canaux semi-circulaires détectent les mouvements de rotation de la tête. Les macules otolithiques de l'utricule et du saccule détectent les mouvements linéaires de la tête et la direction gravitaire. Les informations issues du labyrinthe postérieur sont véhiculées dans le nerf cochléo-vestibulaire (VIIIe nerf crânien) et sont intégrées dans les noyaux vestibulaires du tronc cérébral. Les noyaux vestibulaires sont étroitement connectés avec le cervelet et les noyaux végétatifs du tronc cérébral. Le système vestibulaire périphérique constitué du labyrinthe postérieur (canaux semi- circulaires, utricule, saccule) est sensible à la position et aux déplacements de la tête dans les trois dimensions. Les crêtes ampullaires des canaux semi-circulaires détectent les mouvements de rotation de la tête. Les macules otolithiques de l'utricule et du saccule détectent les mouvements linéaires de la tête et la direction gravitaire. Les informations issues du labyrinthe postérieur sont véhiculées dans le nerf cochléo-vestibulaire (VIIIe nerf crânien) et sont intégrées dans les noyaux vestibulaires du tronc cérébral. Les noyaux vestibulaires sont étroitement connectés avec le cervelet et les noyaux végétatifs du tronc cérébral.
- Les réseaux neuronaux issus des noyaux vestibulaires participent à trois fonctions principales (figure 13.1) : la perception de nos déplacements et l'orientation spatiale grâce aux voies vestibulo-corticales, la stabilisation du regard pendant nos déplacements grâce au réflexe vestibulo-oculaire et le contrôle postural statique et dynamique grâce au réflexe vestibulo-spinal.
 Un processus lésionnel aigu ou subaigu d'une des structures vestibulaires entraîne un fonctionnement asymétrique, d'où l'apparition d'un syndrome vestibulaire aigu. Compte tenu de la triple fonction vestibulaire, ce syndrome associe un vertige (perception anormale de déplacement), un nystagmus (stimulation anormale du réflexe vestibulo-oculaire) et une ataxie posturale (stimulation anormale des voies vestibulo-spinales). Les signes végétatifs : nausées, vomissements et sueurs sont très fréquents. Une atteinte chronique ou progressive ou bilatérale des structures vestibulaires se manifeste essentiellement par une ataxie vestibulaire, sans vertige ni nystagmus. Un processus lésionnel aigu ou subaigu d'une des structures vestibulaires entraîne un fonctionnement asymétrique, d'où l'apparition d'un syndrome vestibulaire aigu. Compte tenu de la triple fonction vestibulaire, ce syndrome associe un vertige (perception anormale de déplacement), un nystagmus (stimulation anormale du réflexe vestibulo-oculaire) et une ataxie posturale (stimulation anormale des voies vestibulo-spinales). Les signes végétatifs : nausées, vomissements et sueurs sont très fréquents. Une atteinte chronique ou progressive ou bilatérale des structures vestibulaires se manifeste essentiellement par une ataxie vestibulaire, sans vertige ni nystagmus.

Fig. 13.1.  Représentation schématique des voies vestibulaires périphériques et centrales, de leurs fonctions et des symptômes du syndrome vestibulaire.
Représentation schématique des voies vestibulaires périphériques et centrales, de leurs fonctions et des symptômes du syndrome vestibulaire.
(Source : CEN, 2019.)

II. Examen du patient vertigineux
L'interrogatoire et l'examen clinique sont fondamentaux dans la conduite diagnostique. Ils permettent de reconnaître le syndrome vestibulaire, de connaître la durée, les facteurs déclenchants et la récurrence des vertiges, les symptômes associés au vertige, notamment neurologiques ou otologiques. L'ensemble de ces données est fondamental pour étayer le diagnostic topographique et étiologique.
A. Interrogatoire
- Caractéristiques : vertige rotatoire ou linéaire, instabilité ou ébriété. Pour la pratique, il est important de demander au patient s'il s'agit une sensation de rotation comme sur un manège, ou de chute prolongée comme le grand huit, les deux définissant le vertige; ou une sensation de déséquilibre postural, de tangage, d'instabilité du sol, définissant plus une instabilité ou sensation d'ébriété.
- Mode d'installation : brutal (vasculaire), rapidement progressif, positionnel. Pour la pratique, il faut demander au patient si le vertige ne survient que dans certaines positions de la tête, notamment en se retournant dans son lit.
- Durée et fréquence : c'est l'élément déterminant de l'interrogatoire qui permet de classer les vertiges en quatre catégories très utiles sur le plan du diagnostic étiologique :
- le grand vertige inaugural continu sur plusieurs heures ;
 le vertige inaugural transitoire (moins d'une heure) ; le vertige inaugural transitoire (moins d'une heure) ;
 les vertiges positionnels paroxystiques (quelques secondes) et récurrents ; les vertiges positionnels paroxystiques (quelques secondes) et récurrents ;
- les vertiges récurrents sous forme de crises répétées de plusieurs minutes à quelques heures.
- Terrain, antécédents : terrain vasculaire, sclérose en plaques, migraines, antécédents traumatiques, passé otitique, terrain psychique, médicaments ototoxiques.
- Symptômes associés vestibulaires (ataxie, ébriété), neurovégétatifs, neurologiques (diplopie, céphalées, paresthésies, dysarthrie, dysphagie, hoquet, maladresse d'un membre, troubles visuels) ou auditifs (surdité, acouphènes, sensation de plénitude auriculaire, otalgie).
B. Examen clinique
1. Examen vestibulaire
L'examen vestibulaire repose sur la mise en évidence d'anomalies oculomotrices (nystagmus) et d'une ataxie vestibulaire.
a. Les anomalies oculomotrices
Nystagmus
 Un nystagmus est un mouvement oculaire régulier de va-et-vient des yeux composé au moins d'une phase lente. Un nystagmus peut être d'origine vestibulaire périphérique, vestibulaire central ou non vestibulaire.
Un nystagmus est un mouvement oculaire régulier de va-et-vient des yeux composé au moins d'une phase lente. Un nystagmus peut être d'origine vestibulaire périphérique, vestibulaire central ou non vestibulaire.  Le nystagmus vestibulaire est dit « à ressort » car composé d'une phase lente et d'une phase de retour rapide (vidéo 13.1).
 Le nystagmus vestibulaire est dit « à ressort » car composé d'une phase lente et d'une phase de retour rapide (vidéo 13.1).
L'examen clinique doit préciser :
- son sens de battement : par convention il est donné par celui de la phase rapide ;
- sa direction : horizontal, vertical, rotatoire, mixte ;
- l'influence de la direction du regard (il doit notamment être recherché dans les regards latéraux).
 La vidéo 13.2 montre un nystagmus vestibulaire périphérique typique.
La vidéo 13.2 montre un nystagmus vestibulaire périphérique typique. Dans le cas d'un vertige positionnel, la manœuvre de Dix et Hallpike (vidéo 13.3) permet de rechercher le nystagmus associé au vertige.
 Dans le cas d'un vertige positionnel, la manœuvre de Dix et Hallpike (vidéo 13.3) permet de rechercher le nystagmus associé au vertige.
Les caractéristiques du nystagmus du vertige positionnel paroxystique bénin sont précisées dans le paragraphe spécifique. Les caractéristiques d'un nystagmus vestibulaire périphérique ou central sont spécifiées dans le tableau 13.1.
Déficit vestibulo-oculaire
 L'examen clinique doit également rechercher une déficit vestibulo-oculaire lors de la manœuvre du Head-Impulse-Test (HIT, vidéo 13.4), qui teste la fonction vestibulaire canalaire. Elle permet de détecter un déficit vestibulaire périphérique dans le plan horizontal. En pratique, des impulsions brèves et rapides de la tête sont données au patient, soit vers la gauche, soit vers la droite, tandis que le sujet a pour consigne de fixer une cible (le nez de l'examinateur) située en face de lui. Si la fonction vestibulaire est normale, le regard reste fixé sur la cible. Si la fonction vestibulaire est anormale, le patient effectue une saccade de refixation oculaire car il a perdu la cible.
L'examen clinique doit également rechercher une déficit vestibulo-oculaire lors de la manœuvre du Head-Impulse-Test (HIT, vidéo 13.4), qui teste la fonction vestibulaire canalaire. Elle permet de détecter un déficit vestibulaire périphérique dans le plan horizontal. En pratique, des impulsions brèves et rapides de la tête sont données au patient, soit vers la gauche, soit vers la droite, tandis que le sujet a pour consigne de fixer une cible (le nez de l'examinateur) située en face de lui. Si la fonction vestibulaire est normale, le regard reste fixé sur la cible. Si la fonction vestibulaire est anormale, le patient effectue une saccade de refixation oculaire car il a perdu la cible.
b. L'ataxie vestibulaire
 Un syndrome vestibulaire donne généralement des troubles posturaux latéralisés, dont une caractéristique essentielle est son aggravation à la fermeture des yeux.
 Un syndrome vestibulaire donne généralement des troubles posturaux latéralisés, dont une caractéristique essentielle est son aggravation à la fermeture des yeux.
L'examen clinique recherche des troubles posturaux statiques ou dynamiques :
- au lever d'une chaise : embardées, prise d'appui ;
- épreuve de Romberg : sujet debout, pieds joints, yeux ouverts puis fermés. Un sujet normal tient > 6 secondes les yeux fermés. En cas de troubles proprioceptifs, les oscillations du corps se font en tous sens. En cas d'atteinte vestibulaire, on observe une déviation lente de l'axe du corps toujours du même côté ;
- à la marche normale et sur une ligne (funambule) : embardées, chutes ;
- à la marche aveugle : le patient réalise à plusieurs reprises trois pas en avant puis trois pas en arrière. En cas d'atteinte vestibulaire, la déviation latérale de l'axe du corps fait que le sujet ne reste pas sur la même ligne mais se déplace en étoile ;
- manœuvre de Fukuda (vidéo 13.5) : le sujet debout, yeux fermés, marche sur place. En cas d'atteinte vestibulaire, on observe une déviation latéralisée ou une chute ;
- en position assise bras tendus (manœuvre des index, vidéo 13.6) : déviation latéralisée des index.

2. Examen otologique
Au minimum, il est fait d'un examen audiométrique et d'une otoscopie.
3. Examen neurologique
Il recherche au minimum une paralysie oculomotrice, un signe de Claude-Bernard-Horner, une paralysie faciale, un déficit sensitif facial, une atteinte des nerfs mixtes, un syndrome cérébelleux et un déficit sensitivo-moteur hémicorporel.



C. Explorations audiovestibulaires
 Leurs indications sont du domaine du spécialiste.
Leurs indications sont du domaine du spécialiste.
1. Exploration auditives
a. Audiométrie
- L'audiométrie tonale différencie une surdité de transmission d'une surdité de perception.
- L'audiométrie vocale détecte une surdité de perception rétrocochléaire.
b. Potentiels évoqués auditifs
Les potentiels évoqués auditifs (PEA) explorent la totalité de la voie auditive et sont utiles au dépistage d'un scwhannome vestibulaire.
2. Explorations vestibulaires
a. Vidéonystagmographie
Elle permet l'analyse vidéo des nystagmus spontanés ou induits par la stimulation vestibulaire, incluant la rotation du patient ou l'épreuve calorique. Pour cette dernière, le conduit auditif externe droit puis gauche est successivement irrigué par de l'eau chaude puis de l'eau froide. Cette stimulation thermique induit un mouvement des crêtes ampullaires simulant une rotation de la tête. La quantification et la comparaison du nystagmus induit par chacune des stimulations permet d'affirmer un éventuel déficit vestibulaire périphérique unilatéral.
b. Posturographie
Elle permet une exploration statique et dynamique de l'équilibre.
III. Orientation diagnostique d'un vertige
A. Vertiges positionnels paroxystiques
 Un vertige positionnel est déclenché spécifiquement par un changement de position de la tête. L'interrogatoire recherche notamment un vertige déclenché par le retournement dans son lit, le coucher, le lever ou l'hyperextention de la tête. Le patient doit être asymptomatique en dehors de ces positions. Il s'agit le plus souvent d'un vertige paroxystique positionnel bénin. Le diagnostic différentiel principal est le vertige positionnel central.
 Un vertige positionnel est déclenché spécifiquement par un changement de position de la tête. L'interrogatoire recherche notamment un vertige déclenché par le retournement dans son lit, le coucher, le lever ou l'hyperextention de la tête. Le patient doit être asymptomatique en dehors de ces positions. Il s'agit le plus souvent d'un vertige paroxystique positionnel bénin. Le diagnostic différentiel principal est le vertige positionnel central.
1. Vertige positionnel paroxystique bénin (VPPB)
Il représente le tiers des causes de consultation pour vertiges. Il s'agit d'un vertige bref de moins de 30 secondes, le plus souvent intense, rotatoire ou linéaire (chute dans un trou), avec ou sans nausées. Il est récurrent et déclenché exclusivement par des mouvements spécifiques : se retourner dans son lit, se lever, se coucher, regarder en l'air. La crise de VPPB se répète durant une période de 3 semaines à 1 mois le plus souvent. Il n'y a aucun symptôme associé et le patient est asymptomatique entre deux vertiges. Il peut survenir dans les suites immédiates d'un traumatisme crânien ou à distance d'une névrite vestibulaire, mais le plus souvent, aucune cause n'est retrouvée. Le mécanisme est expliqué dans la figure 13.2.
Le mécanisme est expliqué dans la figure 13.2. Le diagnostic repose sur la provocation du vertige et la mise en évidence du nystagmus positionnel qui lui est associé par la manœuvre de Dix et Hallpike (vidéo 13.3). Le nystagmus apparaît avec un temps de latence, de direction vertico-rotatoire battant vers le sol, épuisable en moins de 30 secondes (vidéo 13.7). En dehors de cette manœuvre, le reste de l'examen clinique vestibulaire, neurologique et otologique est normal. Aucun examen complémentaire (explorations vestibulaires ou imagerie) n'est nécessaire si tous les éléments cliniques sont réunis.
 Le diagnostic repose sur la provocation du vertige et la mise en évidence du nystagmus positionnel qui lui est associé par la manœuvre de Dix et Hallpike (vidéo 13.3). Le nystagmus apparaît avec un temps de latence, de direction vertico-rotatoire battant vers le sol, épuisable en moins de 30 secondes (vidéo 13.7). En dehors de cette manœuvre, le reste de l'examen clinique vestibulaire, neurologique et otologique est normal. Aucun examen complémentaire (explorations vestibulaires ou imagerie) n'est nécessaire si tous les éléments cliniques sont réunis.  Le traitement consiste en une manœuvre thérapeutique qui mobilise les débris otolithiques et les disperse. Deux manœuvres thérapeutiques ont fait la preuve de leur efficacité : la manœuvre libératoire décrite par Semont (figure 13.3) et la manœuvre de repositionnement des particules décrite par Epley (figure 13.4). Elles visent toutes deux à libérer le canal semi- circulaire postérieur des débris d'otoconies, en réalisant une rotation de 180° dans le plan du canal vers l'avant. Ces différentes méthodes thérapeutiques ont une efficacité équivalente, estimée à une guérison dans 80 à 90 % des cas (en une ou deux manœuvres).
Le traitement consiste en une manœuvre thérapeutique qui mobilise les débris otolithiques et les disperse. Deux manœuvres thérapeutiques ont fait la preuve de leur efficacité : la manœuvre libératoire décrite par Semont (figure 13.3) et la manœuvre de repositionnement des particules décrite par Epley (figure 13.4). Elles visent toutes deux à libérer le canal semi- circulaire postérieur des débris d'otoconies, en réalisant une rotation de 180° dans le plan du canal vers l'avant. Ces différentes méthodes thérapeutiques ont une efficacité équivalente, estimée à une guérison dans 80 à 90 % des cas (en une ou deux manœuvres).

Fig. 13.2.  Mécanisme du vertige paroxystique positionnel bénin.
Mécanisme du vertige paroxystique positionnel bénin.
Le mécanisme correspond au détachement de particules otolithiques provenant de la macule se déposant sur la crête ampullaire ou dans l'ampoule du canal semi-circulaire postérieur. Toute stimulation du canal semi-circulaire postérieur induit une déflexion massive de la crête ampullaire du fait de la masse exercée par les dépôts. Le cerveau interprète le signal nerveux issu de cette stimulation comme une rotation massive de la tête.
(Source : CEN, 2019, illustration de Carole Fumat.)

Fig. 13.3.  Manœuvre thérapeutique de Semont.
Manœuvre thérapeutique de Semont.
Le patient est lentement allongé latéralement sur le côté déclenchant le vertige (ici à gauche), la tête tournée de 45° du côté opposé (ici à droite). Le patient est ensuite basculé rapidement dans le plan frontal de 180° sur son côté opposé (ici à droite), la tête maintenue en rotation (ici droite). L'apparition d'un vertige et d'un nystagmus rotatoire (vidéo 13.6) signe la guérison.
(Source : CEN, 2019.)
2. Autres vertiges positionnels
Les lésions cérébelleuses ou du tronc cérébral peuvent induire une séméiologie vestibulaire centrale positionnelle dont le diagnostic différentiel n'est pas toujours aisé avec un VPPB. S'il existe des atypies, des signes neurologiques ou si le tableau résiste aux manœuvres libératoires, une IRM encéphalique est indiquée.
Un intoxication alcoolique aiguë est une cause fréquente de vertige positionnel.
L'association de vertiges positionnels à des signes otologiques conduit à une exploration ORL à la recherche d'une pathologie spécifique : fistule périlymphatique, schwannome vestibulaire.
B. Grand vertige inaugural de plusieurs heures
 Un vertige aigu constant sur plus de 12 heures correspond à un syndrome vestibulaire destructif : vertiges rotatoires intenses, difficulté de maintenir la station debout, nystagmus, recrudescence des vertiges aux mouvements de la tête, intense réaction végétative avec vomissements, intense réaction anxieuse. Quand il est isolé, le diagnostic le plus fréquent est la névrite vestibulaire, et le diagnostic différentiel principal est représenté par l'accident vasculaire ischémique cérébelleux.
 Un vertige aigu constant sur plus de 12 heures correspond à un syndrome vestibulaire destructif : vertiges rotatoires intenses, difficulté de maintenir la station debout, nystagmus, recrudescence des vertiges aux mouvements de la tête, intense réaction végétative avec vomissements, intense réaction anxieuse. Quand il est isolé, le diagnostic le plus fréquent est la névrite vestibulaire, et le diagnostic différentiel principal est représenté par l'accident vasculaire ischémique cérébelleux.

Fig. 13.4.  Manœuvre thérapeutique d'Epley.
Manœuvre thérapeutique d'Epley.
Le patient est couché dans la position de la manœuvre de Hallpike (ici à gauche). La tête est maintenue dans cette position pendant une minute et demie. Ensuite, la tête toujours en hyperextension, deux rotations successives de 90° (1 à 4 et 5 à 8) sont effectuées lentement, avec une pause d'une minute et demie entre chaque rotation. Cette manœuvre est plus longue mais plus simple à mettre en œuvre chez des patients âgés ou difficilement mobilisables.
(Source : CEN, 2019.)
1. Névrite vestibulaire
À la phase aiguë, la névrite vestibulaire se présente sous la forme d'un grand vertige durable (24 à 48 heures), permanent et accentué par les mouvements de tête. Il n'y a aucun signe neurologique ou cochléaire. Elle peut faire suite à un épisode viral. Le syndrome vestibulaire est harmonieux, par exemple pour une lésion droite :
- nystagmus horizonto-rotatoire battant à gauche;
 déficit du réflexe vestibulo-oculaire au HIT du côté droit ; déficit du réflexe vestibulo-oculaire au HIT du côté droit ;
 ataxie latéralisée du côté droit et station debout possible ; ataxie latéralisée du côté droit et station debout possible ;
- signes végétatifs intenses.
Le vertige cède ensuite la place à une grande instabilité jusqu'à compensation du déficit vestibulaire, dans un délai de quelques semaines.
Sur le plan physiopathologique, il s'agit d'un processus viral, inflammatoire ou plus rarement vasculaire. C'est l'équivalent vestibulaire de la surdité brusque ou de la paralysie faciale a frigore.
En l'absence de circonstance étiologique spécifique, c'est le diagnostic le plus fréquent d'un grand vertige durable.
 Le traitement repose :
Le traitement repose :
- à la phase aiguë, sur des médicaments dépresseurs vestibulaires : antihistaminiques (méclozine, Agyrax®; prométhazine, Phénergan®), acétyl-leucine (Tanganil®), antiémétiques (métopimazine, Vogalène® ; domperidone, Motilium®), souvent associés à des médicaments sédatifs nécessaires en raison de l'anxiété (diazépam, Valium® ; clorazépate, Tranxène®) ;
- au delà de 48 heures, les dépresseurs vestibulaires doivent être arrêtés et il faut faire lever le patient, le sortir de son lit, encourager les positions qui déclenchent le vertige, avec pour seule prescription médicamenteuse un anti-émétique (dompéridone, Motilium®). La rééducation vestibulaire, aidant à la compensation vestibulaire, doit être prescrite d'emblée, à raison d'une séance tous les jours la première semaine, à réévaluer ensuite en fonction de l'évolution. Une exploration de la fonction vestibulaire peut être programmée.
2. Accident vasculaire ischémique dans le territoire vertébrobasilaire
a. Le syndrome de Wallenberg
 Il s'agit d'un accident vasculaire de topographie latéro-bulbaire touchant les noyaux vestibulaires (figure 13.5). Les symptômes vestibulaires sont un grand vertige rotatoire, un nystagmus de direction et de sens de battement variable et des troubles posturaux ressemblant à une atteinte périphérique. Ces symptômes vestibulaires d'allure parfois périphérique s'associent à des signes neurologiques qui ne passent pas inaperçus :
 Il s'agit d'un accident vasculaire de topographie latéro-bulbaire touchant les noyaux vestibulaires (figure 13.5). Les symptômes vestibulaires sont un grand vertige rotatoire, un nystagmus de direction et de sens de battement variable et des troubles posturaux ressemblant à une atteinte périphérique. Ces symptômes vestibulaires d'allure parfois périphérique s'associent à des signes neurologiques qui ne passent pas inaperçus :
- une hypoesthésie hémifaciale, un syndrome cérébelleux cinétique, une paralysie vélo-pharyngo-laryngée (dysphonie, dysarthrie, hoquet, signe du voile, signe du rideau), un syndrome de Claude Bernard Horner (myosis, ptosis) du côté de la lésion
- une hypoésthésie thermo-algique hemicorporelle controlotérale à la lésion.

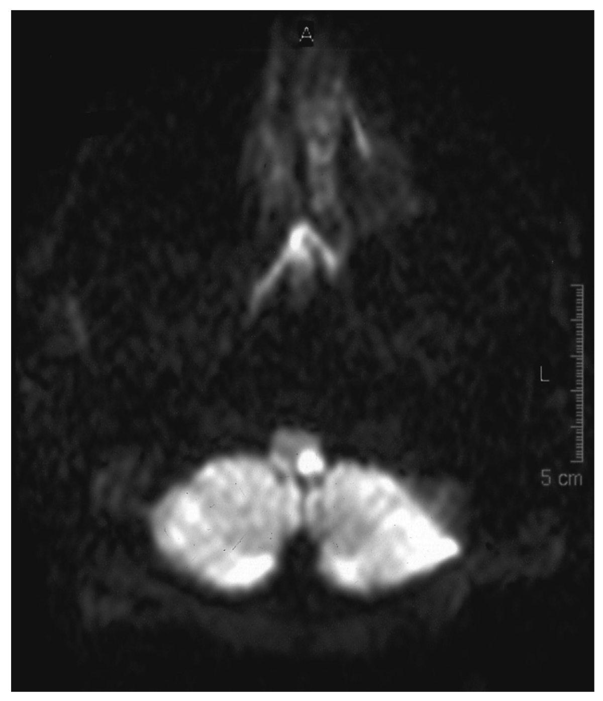
Fig. 13.5.  IRM en séquence de diffusion montrant une lésion ischémique récente en hypersignal, de topographie latérobulbaire gauche.
 IRM en séquence de diffusion montrant une lésion ischémique récente en hypersignal, de topographie latérobulbaire gauche.
Le patient présente un syndrome de Wallenberg.
(Source : CEN, 2019.)
b. Infarctus cérébelleux
Le principal diagnostic différentiel de la neuronite vestibulaire est l'infarctus cérébelleux. Le tableau clinique est dominé par un grand vertige, des nausées et des vomissements. L'examen clinique peut mettre en évidence un syndrome cérébelleux cinétique homolatéral ou une dysarthrie. Ceux-ci peuvent cependant manquer et le tableau n'être constitué que d'un syndrome vestibulaire aigu isolé.
Les drapeaux rouges qui doivent faire évoquer un infarctus du cervelet à la phase aiguë d'un syndrome vestibulaire sont les suivants :
- facteurs de risque cardiovasculaire;
- céphalées ou cervicalgie (dissection vertébrale);
 réponse normale au Head Impulse Test; réponse normale au Head Impulse Test;
 diplopie (verticale) et strabisme vertical; diplopie (verticale) et strabisme vertical;
- nystagmus changeant de direction en fonction de la direction du regard, ou nystagmus vertical pur.
Au moindre doute sur cette étiologie, une prise en charge de type accident vasculaire constitué doit être organisée, notamment une mutation en unité neurovasculaire si les délais de la thrombolyse/thrombectomie sont respectés. Une IRM est plus performante que le scanner cérébral pour mettre en évidence la lésion ischémique (figure 13.6).
3. Autres vertiges aigus durables, associés à des signes otologiques
Ils s'intègrent dans un contexte étiologique précis, évocateur du mécanisme, qui conditionne la conduite thérapeutique. Ils justifient la réalisation d'un scanner du rocher :

Fig. 13.6.  IRM en séquence T2 montrant une lésion ischémique en hypersignal dans le territoire de l'artère cérébelleuse postéro-inférieure gauche.
 IRM en séquence T2 montrant une lésion ischémique en hypersignal dans le territoire de l'artère cérébelleuse postéro-inférieure gauche.
Le patient présente un syndrome vestibulaire aigu isolé. (Source : CEN, 2019.) 
- le vertige aigu au décours d'un traumatisme crânien avec signes otologiques évoque une fracture du rocher translabyrinthique. En l'absence de fracture objectivable, il évoque une commotion labyrinthique. Il justifie dans tous les cas un recours spécialisé. Au décours d'un traumatisme faisant suite à une commotion labyrinthique peut se développer un syndrome post-commotionnel, durable, invalidant, auquel participent des facteurs psychosomatiques et anxieux;
- la labyrinthite infectieuse est une complication rare et grave des otites chroniques : la survenue d'un vertige destructif chez un sujet atteint d'une otorrhée avec otalgie doit conduire au recours au spécialiste en urgence. Elle peut survenir dans le cadre d'un cholestéatome ;
 la thrombose de l'artère auditive interne est rare, et conduit à un déficit vestibulaire et cochléaire unilatéral profond aigu. la thrombose de l'artère auditive interne est rare, et conduit à un déficit vestibulaire et cochléaire unilatéral profond aigu.
C. Le vertige inaugural transitoire (quelques minutes à moins d'une heure)
C'est la situation clinique la plus difficile. Il peut correspondre à la première manifestation de vertiges récurrents en lien notamment avec une migraine ou une maladie de Ménière. Cependant, tout vertige transitoire inaugural même isolé doit d'abord faire évoquer un accident ischémique transitoire (AIT) du territoire vertébro-basilaire, même si le vertige isolé n'est pas classé dans les symptômes typiques des AIT. Les vertiges vasculaires sont de survenue brutale, durant quelques minutes, au maximum 1 heure, et généralement associés à d'autres symptômes neurologique de souffrance vasculaire du territoire vertébro-basilaire comme une hémianopsie, des paresthésies, une ataxie, une dysarthrie, une diplopie, un déficit moteur hémicorporel. Dans de rares cas, le vertige peut être le seul symptôme. Il peut exceptionnellement être récurrent depuis quelques jours en cas de sténose artérielle. L'examen clinique est généralement normal. Dans ce cas, en l'absence de pathologie vestibulaire périphérique évidente, la suspicion d'un AIT justifie une prise en charge en urgence en raison du risque d'infarctus vertébrobasilaire : IRM encéphalique à la recherche d'un infarctus, explorations des troncs supra-aortiques et du polygone de Willis pour éliminer une sténose ou une occlusion de l'artère vertébrale ou du tronc basilaire, et ECG pour dépister une fibrillation auriculaire.
D. Les vertiges récurrents
  Il s'agit de vertiges spontané de quelques minutes à quelques heures, récurrents, avec ou sans signes otologiques.
 Il s'agit de vertiges spontané de quelques minutes à quelques heures, récurrents, avec ou sans signes otologiques.
Les deux affections typiques de cette catégorie de vertige sont la maladie de Ménière et la migraine, mais il faut savoir évoquer les accidents ischémiques transitoires lorsque la durée est de moins d'une heure et leur survenue est récente.
1. Maladie de Ménière
La maladie de Ménière est une maladie qui affecte les adultes et se manifeste par l'association de crises de vertiges rotatoires durant quelques heures, au maximum 24 heures, et de signes cochléaires unilatéraux (surdité fluctuante, acouphènes et sensation de plénitude de l'oreille). Typiquement, une crise de vertige débute par des acouphènes unilatéraux, une sensation de plénitude de l'oreille, une majoration de l'hypoacousie. Pendant la crise, le syndrome vestibulaire est harmonieux et le plus souvent controlatéral au côté atteint, car le mécanisme est de type irritatif. La fréquence des crises est variable, de une par an à plusieurs par semaine. Au cours de l'évolution, l'audition s'altère et il s'installe une hypoacousie permanente progressive sur les fréquences moyennes ou graves (figure 13.7), alors que les vertiges sont moins fréquents et remplacés par une instabilité permanente. Une exploration de la fonction auditive est nécessaire au diagnostic. L'évolution est variable selon les patients, mais certaines formes conduisent à une cophose et peuvent se bilatéraliser.
Le diagnostic est généralement aisé, sauf au stade initial de la maladie, lorsque l'affection est purement vestibulaire. La surdité de perception fluctuante et prédominant sur les fréquences graves est le signe caractéristique de l'affection. Les symptômes de la maladie de Ménière sont liés à un hydrops labyrinthique, c'est-à-dire une hyperpression des liquides de l'oreille interne, probablement consécutifs à un défaut de résorption du liquide endolymphatique.
Les symptômes de la maladie de Ménière sont liés à un hydrops labyrinthique, c'est-à-dire une hyperpression des liquides de l'oreille interne, probablement consécutifs à un défaut de résorption du liquide endolymphatique.
Le traitement est d'abord médical, reposant sur des antivertigineux (bétahistine [Serc®, Lectil®, Extovyl®]) et/ou un diurétique (Diamox®). Il est du ressort du spécialiste. L'insuffisance de réponse à un traitement médicamenteux peut conduire à un geste thérapeutique local (injection transtympanique de Gentalline®) ou à un geste chirurgical (neurectomie, labyrinthectomie, décompression du sac endolymphatique) chez des patients dont la fonction auditive est très dégradée.

Fig. 13.7.  Audiogramme d'un patient présentant une maladie de Ménière : il existe une hypo-acousie sur les fréquences moyennes et graves.
 Audiogramme d'un patient présentant une maladie de Ménière : il existe une hypo-acousie sur les fréquences moyennes et graves.
(Source : CEN, 2019.)
2. Migraine
La migraine vestibulaire est définie par l'International Headache Society comme la survenue, chez un sujet migraineux, d'au moins cinq épisodes associant un vertige régressif de 5 minutes à 72 heures, et dont au moins la moitié des épisodes sont associés à au moins l'une des caractéristiques suivantes : céphalées migraineuses (intensité modérée à sévère, pulsatile, uni- latérale, augmentée par l'effort), phonophobie et photophobie, ou aura visuelle. Les épisodes ne pouvant pas être expliqués par une autre pathologie vestibulaire. Contrairement à l'aura, le vertige est contemporain de la céphalée et ne la précède pas.
Chez l'enfant, les crises de vertige paroxystique bénin sont intégrées dans la classification de l'Inte
rnational Headache Society dans les syndromes périodiques précurseurs de la migraine. Il s'agit d'accès brusques de vertige sévère durant de quelques minutes à quelques heures avec résolution spontanée chez un enfant en bonne santé par ailleurs. Il doit être associé à au moins l'un des symptomes suivants : nystagmus, ataxie, vomissement, pâleur ou plénitude de l'oreille. Des pathologies comme une tumeur de la fosse postérieure, une épilepsie ou une pathologie vestibulaire autre doivent être éliminées.
3. Schwannome vestibulaire
Le diagnostic différentiel principal de la maladie de Ménière est représenté par le schwannome vestibulaire ou les autres processus expansifs de la fosse cérébrale postérieure pouvant potentiellement comprimer le nerf cochléo-vestibulaire. Le schwannome vestibulaire (le terme de neurinome de l'acoustique est incorrect) est une tumeur bénigne développée au dépend des cellules de Schwann du nerf vestibulaire. Il est généralement révélé par une surdité de perception, et parfois par des vertiges. Toute surdité de perception accompagnant des vertiges récurrents doit faire l'objet d'une IRM avec injection de gadolinium centrée sur les conduits auditifs internes, recherchant le schwannome (figure 13.8).

Fig. 13.8.  IRM encéphalique en séquence T1 avec injection de produit de contraste, démontrant une lésion de l'angle ponto-cérébelleux.
IRM encéphalique en séquence T1 avec injection de produit de contraste, démontrant une lésion de l'angle ponto-cérébelleux.
Cette lésion est évocatrice d'un schwannome vestibulaire.
(Source : CEN, 2019.)


Compléments en ligne
Des compléments numériques sont associés à cet ouvrage. Ils sont indiqués dans la marge par un pictogramme qui renvoient vers les vidéos ou enregistrements sonores.
Pour accéder à ces compléments, connectez-vous sur www.em-consulte.com/complement/477437 et suivez les instructions pour activer votre accès.
Vidéo 13.1.
Exemple de nystagmus vestibulaire à ressort, de direction horizonto-rotatoire battant à droite.
Il est ici filmé dans l'obscurité (caméra infrarouge).
Vidéo 13.2.
Exemple de nystagmus vestibulaire périphérique.
Ce patient présente un syndrome vestibulaire gauche. L'examen montre un nystagmus à ressort, horizonto-rotatoire, battant vers la droite, dans le regard à droite. Le nystagmus ne s'inverse pas dans le regard à gauche.
Vidéo 13.3.
Manœuvre de Dix et Hallpike gauche.
Le principe est de stimuler le canal semi-circulaire postérieur par une rotation dans son plan vers l'arrière. Le patient est assis sur le lit d'examen, ses membres inférieurs reposant sur le lit. Après lui avoir expliqué la manœuvre, sa tête est tournée de 45° d'un côté, plaçant le canal postérieur ipsilatéral dans un plan sagittal. Puis le patient est rapidement basculé en décubitus dorsal, la tête pendant en dehors du lit de 45° par rapport à l'horizontale, permettant une rotation de la tête dans le plan du canal postérieur. La manœuvre doit être réalisée d'un côté puis de l'autre.
Vidéo 13.4.
Manœuvre du Head-Impulse-Test (manœuvre d'Halmagyi). 
Le patient est assis au bord de la table d'examen, fixant le nez de l'examinateur. Celui-ci réalise une rotation brève et rapide de la tête dans un sens. Le regard du patient reste normalement stable. Si le système vestibulaire est sévèrement hyporéflexique (ici à gauche), les yeux ne compensent pas parfaitement le mouvement de la tête et doivent réaliser une saccade de refixation. Cette saccade, facilement identifiable par l'examinateur, traduit l'hyporéflexie vestibulaire du côté de la stimulation.
Vidéo 13.5. Manœuvre de Fukuda.
Le patient marche sur place (50 pas) les yeux fermés. Dans le cas d'un syndrome vestibulaire périphérique, on observe une déviation latéralisée du corps du côté de la lésion (ici à droite).
Vidéo 13.6. Manœuvre des index.
Le patient est assis au bord du lit, sans appui dorsal ni au sol, les bras tendus, index en regard de ceux de l'examinateur. À la fermeture des yeux, dans le cas d'un syndrome vestibulaire, on observe une déviation latéralisée des index (ici à gauche).
Vidéo 13.7. Nystagmus observé dans le vertige paroxystique positionnel bénin (ici à droite).
Le nystagmus est très rapide, de direction rotatoire, battant ici en direction horaire chez un patient en position de Hallpike du côté droit.
